Logo Passei Direto
Buscar
Material
páginas com resultados encontrados.
páginas com resultados encontrados.
left-side-bubbles-backgroundright-side-bubbles-background

Crie sua conta grátis para liberar esse material. 🤩

Já tem uma conta?

Ao continuar, você aceita os Termos de Uso e Política de Privacidade

left-side-bubbles-backgroundright-side-bubbles-background

Crie sua conta grátis para liberar esse material. 🤩

Já tem uma conta?

Ao continuar, você aceita os Termos de Uso e Política de Privacidade

Prévia do material em texto

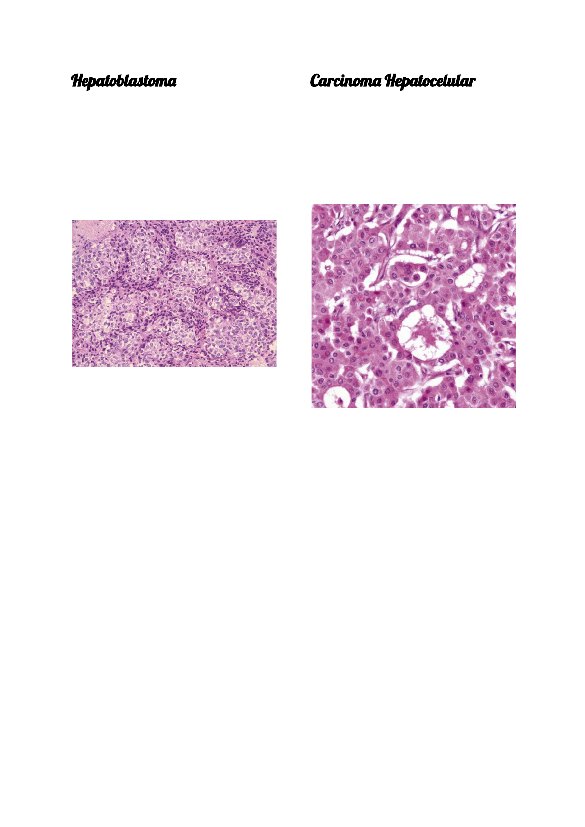
Hepatoblastom�
- Comum na infância.
- Entre 3 a 5 anos.
- Tipo epitelial: composto por
células fetais poligonais ou
células embrionárias menores
formando ácinos, túbulos ou
estruturas papilares.
- Tipo misto (epitelial e
mesenquimal): contém focos de
diferenciação mesenquimal,
podendo ser primitivo, osteóide,
cartilagem e músculo estriado.
Patogenia
- Ativa via WNT > mutação do
APC > aumento da B catenina
se translocando do citoplasma
para o núcleo > Induz a
transcrição e proliferação
celular.
- PAF pode ser uma das
etiologias.
- FOXG1 pode induzir a mutação
da B catenina.
- Síndrome de
Beckwith-Wiedmann, pode ser
também uma das etiologias.
Carcinom� Hepatocelular
- Altas taxas por infecção crônica
em HBV.
- Entre 20 a 40 anos, a cirrose
geralmente é ausente.
- Acima dos 60 anos, é comum o
processo cirrótico.
- Neoplasia unifocal com
hepatócitos malignos crescendo
em versões distorcidas,
incluindo pseudo ácinos e
trabeculas de hepatócitos
espessados.
- Estroma abundante, amarelo
quando há predominância de
gordura e verde quando há
lesões pre malignas. Bem
diferenciados e bile abundante.
Patogenia
- Ativação da B catenina e a não
ativação do p53 são dois
eventos mutacionais comuns.
- Os metabolitos da afloxitina,
sendo uma micotoxina gerada
por Aspergilus interage com o
HBV aumentando mais ainda
os riscos de lesões tóxicas,
evoluindo para o cancer.
(Álcool).
- Esses fatores induzem maiores
ciclos de morte e regeneração
celulares, em estados
inflamatórios crônicos,
aumentando os riscos de
mutações de hepatócitos.
- A IL-6 pode suprimir a
diferenciação dos hepatócitos e
promover a sua proliferação
através da regulação da função
do fator de transcrição HNF4-α.
Colangiocarcinom�
- Neoplasia maligna da árvore
biliar, ocorrendo nos ductos
biliares dentro e fora do fígado.
- Os fatores de risco incluem a
infestação por vermes do fígado
(particularmente as espécies
Opisthorchis e Clonorchis), e
doença inflamatória crônica dos
grandes ductos biliares, como a
colangite esclerosante primária,
hepatolitíase e doença hepática
fibropolicística.
- Hepatite B e C, e hepatite
gordurosas não alcoólicas
também estão entre os fatores
de risco.
- Morfologia: nódulos cinza e
firmes no interior do ducto biliar.
Lesões difusamente infiltrativa,
podem produzir mucina.

Mais conteúdos dessa disciplina