Logo Passei Direto
Buscar
Material
páginas com resultados encontrados.
páginas com resultados encontrados.
left-side-bubbles-backgroundright-side-bubbles-background

Crie sua conta grátis para liberar esse material. 🤩

Já tem uma conta?

Ao continuar, você aceita os Termos de Uso e Política de Privacidade

left-side-bubbles-backgroundright-side-bubbles-background

Crie sua conta grátis para liberar esse material. 🤩

Já tem uma conta?

Ao continuar, você aceita os Termos de Uso e Política de Privacidade

left-side-bubbles-backgroundright-side-bubbles-background

Crie sua conta grátis para liberar esse material. 🤩

Já tem uma conta?

Ao continuar, você aceita os Termos de Uso e Política de Privacidade

left-side-bubbles-backgroundright-side-bubbles-background

Crie sua conta grátis para liberar esse material. 🤩

Já tem uma conta?

Ao continuar, você aceita os Termos de Uso e Política de Privacidade

Prévia do material em texto

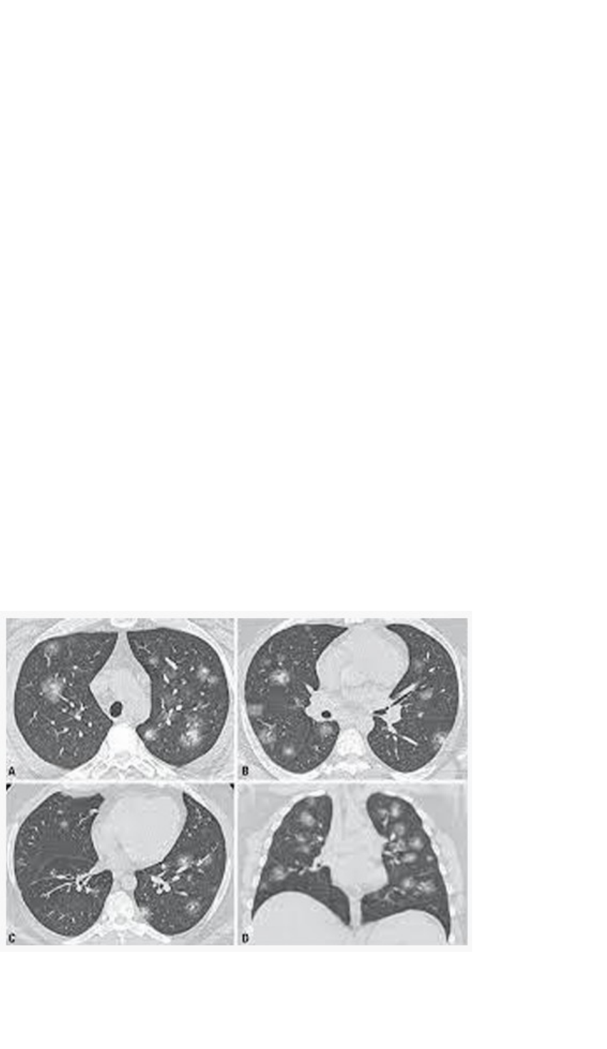
<p>ESTUDO DE CASO</p><p>Homem de 57 anos de idade chega ao hospital com febre, tosse seca e dificuldade para respirar. Ele também relata sentir muito cansaço musculoesquelético e mal estar. Ele tem história de hipertensão, que é controlada com enalapril, além de histórico de infarto no ventrículo esquerdo. Ao exame físico, seu pulso é de 120 bpm, sua temperatura é de 38.7 °C (101.6 °F) e sua saturação de oxigênio é de 88%. Ele parece agudamente doente. Ele é internado em uma sala de isolamento e passa a receber oxigênio, fluidoterapia intravenosa e profilaxia para tromboembolismo venoso. São solicitadas culturas de sangue e escarro. A radiografia torácica demonstra infiltrados pulmonares bilaterais e a tomografia computadorizada torácica revela múltiplas áreas lobulares e subsegmentares bilaterais com opacidade em vidro fosco (figura 1). Um swab nasofaríngeo é enviado para testes de reação em cadeia da polimerase via transcriptase reversa em tempo real, e o resultado é positivo para o coronavírus da síndrome respiratória aguda grave 2 (SARS-CoV-2) algumas horas mais tarde. Diante deste caso, responda:</p><p>Figura 1 - Tomografia Computadorizada infiltrados pulmonares bilaterais</p><p>Tomografia computadorizada com opacidade em vidro fosco no dia 1 após o início dos sintomas (figura superior A e B), e opacidade em vidro fosco bilateral e condensação no dia 7 após o início dos sintomas (Figuras C e D).</p><p>ATIVIDADE PROPOSTA</p><p>1) Quais são as funções do sistema comprometido neste caso.</p><p>O sistema respiratório está comprometido neste caso, e o mesmo tem como principal função a troca gasosa nos pulmões, o transporte de ar aos pulmões liberando o gás carbônico, por meio do ajuste da velocidade/profundidade da respiração regula o ph sanguíneo, e proteção contra agentes patogênicos.</p><p>2) Esquematize o trajeto do ar desde as narinas até os alvéolos.</p><p>· Narinas</p><p>· Cavidade nasal, onde o ar é umedecido, aquecido e filtrado.</p><p>· Faringe</p><p>· Laringe</p><p>· Traqueia</p><p>· Brônquios principais (direito e esquerdo)</p><p>· Brônquios lobares (três no pulmão direito, dois no esquerdo)</p><p>· Brônquios segmentares</p><p>· Brônquiolos</p><p>· Brônquiolos terminais</p><p>· Brônquiolos respiratórios</p><p>· Ductos alveolares</p><p>· Sacos alveolares</p><p>· Alvéolos, onde ocorre a troca gasosa.</p><p>3) Com base no caso, diferencie anatomicamente os pulmões quando aos lobos e fissuras.</p><p>Pulmão Direito: Tem três lobos (superior, médio e inferior) separados por duas fissuras (a fissura obliqua e a fissura horizontal).</p><p>Pulmão Esquerdo: Tem dois lobos (superior e inferior) separados por uma única fissura (a fissura obliqua). O pulmão esquerdo também possui uma estrutura chamada língula, que é uma extensão do lobo superior.</p><p>4) Qual plano de corte é visualizado na figura 1c e 1d?</p><p>Cortes tomográficos axiais, que são transversais ao corpo, o que confirma que a estrutura foi cortada de baixo para cima e proporciona uma visão detalhada de cima para baixo dos pulmões.</p><p>5) Diante do cansaço musculoesquelético e do histórico de hipertensão arterial, diferencie os esses dois tipos de músculos. Com relação ao órgão envolvido com a hipertensão, mencione os nomes das camadas que o compõem.</p><p>· Músculo Esquelético: É voluntário, estriado e responsável pelos movimentos do corpo e postura, estando ligado aos ossos.</p><p>· Músculo Cardíaco (miocárdio): É involuntário, estriado e realiza contrações fortes, contínuas e rítmicas que são geradas automaticamente e serve para bombear sangue.</p><p>O órgão envolvido com a hipertensão é o coração, cujas camadas são:</p><p>· Endocárdio: revestimento interno.</p><p>· Miocárdio: camada muscular média, responsável pela contração.</p><p>· Epicárdio: camada externa que também faz parte do pericárdio visceral.</p><p>6) Tendo em vista o histórico de infarto apresentado pelo paciente, esquematize a circulação envolvida com a câmara cardíaca citada no texto</p><p>A circulação coronariana supre o miocárdio (músculo cardíaco), incluindo o ventrículo esquerdo. A artéria coronária direita e esquerda, ramificam-se da aorta logo acima da válvula aórtica. Os ramos da artéria coronária esquerda incluem a artéria interventricular anterior e a artéria circunflexa, que suprem o ventrículo esquerdo. As veias cardíacas drenam o sangue usado pelo músculo cardíaco de volta ao coração, terminando no seio coronário, que deságua no átrio direito.</p><p>CONCLUSÃO</p><p>Ao final do seu trabalho, você deverá realizar individualmente uma conclusão, expressando seu ponto de vista sobre os desafios durante o desenvolvimento do trabalho.</p><p>Foi desafiador estudar sem o suporte diretor do professor, aquele “bate-bola” em sala de aula, mas ainda assim consigo filtrar muito bem as informações passadas pelo Prof. Fábio – a didática dele é sensacional. Estou me readaptando e buscando me atualizar com novas fontes de pesquisas, as o conteúdo do livre dar um norte para saber o que procurar.</p><p>image1.png</p>

Mais conteúdos dessa disciplina