Logo Passei Direto
Buscar
Material
páginas com resultados encontrados.
páginas com resultados encontrados.
left-side-bubbles-backgroundright-side-bubbles-background

Crie sua conta grátis para liberar esse material. 🤩

Já tem uma conta?

Ao continuar, você aceita os Termos de Uso e Política de Privacidade

left-side-bubbles-backgroundright-side-bubbles-background

Crie sua conta grátis para liberar esse material. 🤩

Já tem uma conta?

Ao continuar, você aceita os Termos de Uso e Política de Privacidade

Prévia do material em texto

Histologia 
 Língua e Parótida 
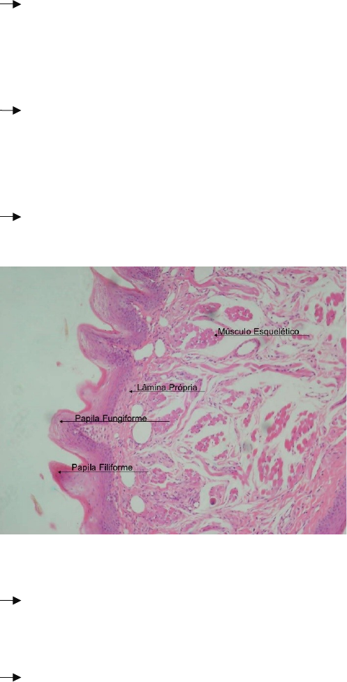
· Língua:
 A língua é uma massa de músculo estriado esquelético revestida por uma camada mucosa cuja estrutura varia de acordo com a região 
 Musculo estriado da língua esta disposto em feixes, possibilitando enorme flexibilidade e precisão nos movimentos da língua.
 Essencial pra fala humana, digestão e deglutição.
· Papilas da Língua:
 são elevações do epitélio oral e lâmina própria
que assumem diversas formas e funções.
 As papilas linguais junto a seus botões degustativos formam a parte mucosa especializada da cavidade oral.
1. Papilas Filiformes 
- Menores e mais numerosas nos humanos, estão sobre toda superfície dorsal da língua, possuem função de fricção.
- Cônicas e alongadas de tecido conjuntivo, cobertas por epitélio estratificado pavimentoso queratinizado e não possuem botões degustativos.
2. Papilas Fungiformes 
- Formato de cogumelos, mais numerosas na ponta da língua, contem poucos botões degustativos. 
- Menos queratinizado e maior vascularização 
3. Papilas Folhadas/ Foliadas 
- Superfície dorsolateral da língua, são separadas por sulcos e possuem muitos botões degustativos.
- Epitélio não queratinizado 
4. Papilas Circunvaladas 
- Localizadas na região V da parte posterior da língua
- Numerosas glândulas serosas (Glândulas de Von Ebner), que liberam secreções 
- Tem muitos botões degustativos 
 
· Glândula Parótida 
 A glândula parótida é uma glândula acinosa e sua porção secretora é constituída exclusivamente por células serosas contendo grânulos de secreção ricos em proteínas e elevada atividade de amilase.
 Como em outras glândulas salivares, o tecido conjuntivo contém muitos plasmócitos e linfócitos.
 O complexo secretor rico em IgA (SigA) é liberado na saliva, sendo resistente à digestão enzimática e constituindo-se em um mecanismo de defesa imunológica contra patógenos da cavidade oral.

Mais conteúdos dessa disciplina