Logo Passei Direto

2do parcial 2DO CUATRI 2020 con respuestas

Herramientas de estudio

Material
¡Estudia con miles de materiales!

Vista previa del material en texto

PRIMER PARCIAL PATOLOGIA1. SEGUNDO CUATRIMESTRE 2020 
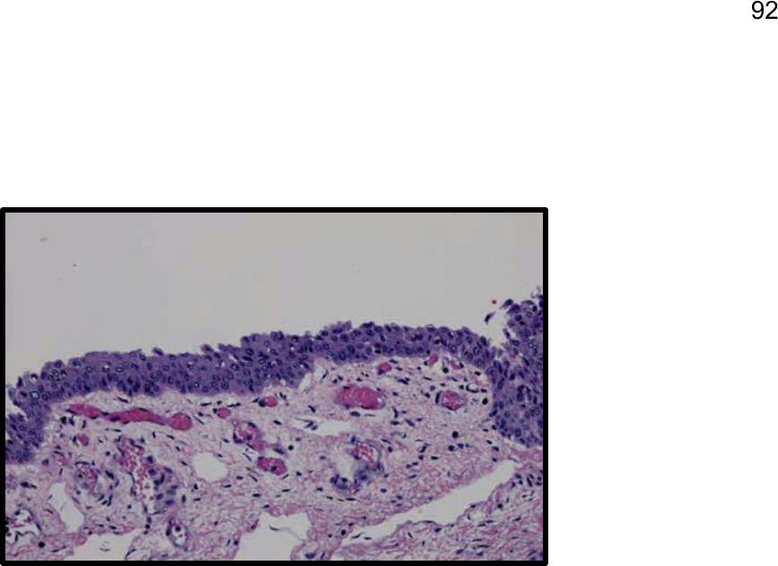
1. En la imagen se observa una sección de la mucosa de la tráquea, donde se evidencia una 
lesión de metaplasia escamosa. El proceso puede ser inducido por cualquier de los siguientes 
factores EXCEPTO (marque la opción que NO se asocia a metaplasia escamosa) 
 
Deficiencia de vitamina A 
Intubación mecánica 
Hipoglucemia 
Inflamación crónica 
Respuesta: La única opción que no está relacionada a la metaplasia escamosa es la 
hipoglucemia. Las irritaciones mecánicas o químicas, como la intubación mecánica o la 
inflamación crónica pueden originarla, así como también el déficit de Vitamina A, que se asocia 
a metaplasia escamosa en distintos órganos. 
 
2. Un niño de 3 años de edad presenta disminución de peso, pérdida de masa muscular y tejido 
celular subcutáneo y anemia. ¿Cuál es el diagnóstico más probable? 
Kwashiorkor 
Raquitismo 
Déficit de vitamina A 
Marasmo 
Respuesta: El marasmo o desnutrición calórica o calórico/proteica afecta más el 
compartimiento somático de proteínas y se caracteriza por pérdida de masa muscular y del 
tejido celular subcutáneo, adelgazamiento, anemia. 
 
92
3. La presencia de queratomalacia y manchas de Bitot a nivel ocular, asociado a metaplasia 
escamosa del tracto urinario es compatible con el déficit de cuál de las siguientes vitaminas 
Vitamina D 
Vitamina C 
Vitamina A 
Vitamina B12 
Respuesta: El déficit de vitamina A, se asocia a alteraciones oculares (ceguera nocturna, 
xeroftalmia, manchas de Bitot, queratomalacia, ceguera irreversible) y alteraciones de la 
diferenciación celular (metaplasia escamosa) que puede afectar al epitelio del tracto urinario 
con formación de cálculos por escamas desprendidas. 
 
4. ¿Con cuál de los siguientes signos y síntomas se asocia al déficit de vitamina D en niños? 
Craneotabes, rosario raquítico, surco de Harrison, arqueamiento de las piernas. 
Osteopenia, cifoescoliosis, pérdida de densidad ósea y del grosor cortical (Radiografía) 
Manchas de Bitot, xeroftalmia, hiperqueratosis en glándulas sudoríparas y sebáceas. 
Craneotabes, rosario raquítico, surco de Harrison, y osteomalacia 
Respuesta: El déficit de vitamina D en niños se asocia a raquitismo (craneotabes, rosario 
raquítico, surco de Harrison y arqueamiento de las piernas son características del mismo). La 
osteopenia, cifoescoliosis, pérdida de densidad ósea y del grosor cortical (radiografía) son 
características de la osteomacia, que se debe al déficit de vitamina D en adultos. Las manchas 
de Bitot, xeroftalmia, hiperqueratosis en glándulas sudoríparas y sebáceas, ceguera nocturna, 
infecciones respiratorias son características del déficit de vitamina A. 
 
5. Un paciente de 70 años sufre la rotura de un aneurisma aórtico abdominal. Al arribar al 
hospital unos 45 minutos más tarde, se encuentra taquicárdico y taquipneico. En el examen 
físico, su presión es de 80/30 mm Hg y su frecuencia cardíaca es de 150 pulsaciones por 
minuto. La piel se presenta pálida, fría y sudorosa. Se lo somete a una cirugía para intentar 
reparar la arteria la cual resulta exitosa. Sin embargo, a las 48 hs., el paciente continúa con 
alteraciones en la función respiratoria que impiden retirar la asistencia respiratoria mecánica y 
fallece. ¿Cuál de las siguientes alteraciones, a nivel pulmonar, explica mejor lo ocurrido con 
este paciente? 
 
Presencia de exudado pulmonar difuso 
 
Acentuada hiperemia de los capilares alveolares y los alvéolos presentan 
microatelectasias, edema y hemorragia. 
 
Aumento del tejido conectivo intersticial con engrosamiento de las paredes alveolares y 
organización del exudado alveolar 
 
93
Se observan fenómenos proliferativos tanto del epitelio alveolar y bronquiolar. Además, hay 
hiperplasia de neumonocitos II. 
 
Respuesta: El paciente está rápidamente entrando en estado de shock a causa del 
traumatismo. El llamado “pulmón de shock”, ocurre a menudo luego de estas situaciones, 
observándose acentuada hiperemia de los capilares alveolares y los alvéolos presentan 
microatelectasias, edema y hemorragia. El exudado es característico de los procesos 
inflamatorios. El aumento del tejido conectivo intersticial con engrosamiento de las paredes 
alveolares y organización del exudado alveolar se observa en la fase tardía (segunda semana) 
de la evolución del pulmón de shock. Al final de la primera semana se observan fenómenos 
proliferativos tanto del epitelio alveolar y bronquiolar. Además, hay hiperplasia de neumonocitos 
II. 
 
6. En la siguiente imagen se observa un preparado, teñido con hematoxilina eosina, obtenido 
de un paciente que ha sufrido un infarto de miocardio. En esta sección de tejido cardíaco se 
observa aumento de la eosinofilia, pérdida de núcleos, pérdida de estriaciones, edema y áreas 
de necrosis. En los bordes existen áreas de edema, presencia de neovasos, fibroblastos, zonas 
de hemorragia e infiltrado de leucocitos. Considerando que el infarto de miocardio representa 
un ejemplo clásico del proceso de inflamación/reparación, ¿A qué momento de la evolución del 
infarto correspondería más probablemente la imagen? 
 
 
Menos de 24 hs 
 
Primeras 72 hs 
 
Alrededor de 9 días 
 
Más de 5 meses 
 
Respuesta: La presencia de tejido de granulación indica que este infarto lleva, al menos, 7 días 
de evolución. Sería imposible la presencia de tejido de granulación en las primeras 72 horas. 
Luego de 5 meses, el tejido debería estar reemplazado por una cicatriz madura. 
94
7. Un hombre de 50 años sufre un infarto de miocardio que compromete la pared anterior del 
ventrículo izquierdo. El paciente recibe terapia con drogas antiarrítmicas y vasopresoras. Se 
encuentra en condición estable hasta el tercer día, en el que desarrolla disnea severa. Un 
ecocardiograma muestra una fracción de eyección marcadamente disminuida. En la radiografía 
de tórax se observan imágenes compatibles con un edema de pulmón. ¿Cuál de los siguientes 
cambios microscópicos es más probable que esté presente en sus pulmones? 
Exudado alveolar 
Trasudado alveolar 
Congestión activa 
Infiltrado celular inflamatorio 
Respuesta: La insuficiencia ventricular izquierda aguda después de un infarto de miocardio 
causa congestión venosa en el lecho capilar pulmonar y aumento de la presión hidrostática, lo 
que conduce a edema pulmonar por trasudación en el espacio alveolar. Se encontrarían 
neutrófilos y fibrina en casos de inflamación aguda del pulmón (es decir, neumonía). La 
congestión activa hace referencia al aumento de sangre en un órgano por incremento del flujo 
de sangre arterial. 
 
8. La hipertrofia ventricular, que precede a la insuficiencia cardíaca, se acompaña de fibrosis. 
¿Qué consecuencias funcionales provoca en el corazón este aumento en la concentración de 
colágeno? 
Caída del volumen minuto 
Dilatación ventricular 
Aumento de la rigidez ventricular 
Isquemia sub-endocárdica 
Respuesta: La acumulación intersticial de colágeno en la hipertrofia concéntrica sin dilatación y 
con función cardiaca conservada, a menudo altera las propiedades diastólicas del miocardio 
aumentando la rigidez, lo que finalmente contribuye a la descompensación del ventrículo. La 
caída del volumen minuto refleja una menor función de bomba del corazón, probablemente por 
modificaciones que afectan la función sistólica. La isquemia sub-endocárdica se observa en la 
hipertrofia por una menor densidad capilar. Finalmente, la dilatación acompaña a la hipertrofia 
descompensada y tiene una causa multifactorial. 
 
9. Un paciente de 24 años sufrió un accidente automovilístico grave que le provocó múltiples 
fracturas. Unos días después del accidente manifiesta de forma súbita síntomas de 
insuficiencia respiratoria aguda, taquicardia y progresa hacia el estado de coma. El examen de 
laboratorio revela anemia y trombocitopenia. El paciente fallece y se realiza la autopsia. La 
siguiente imagen histológica corresponde a una arteria de la circulación pulmonar. ¿Cuál de lassiguientes opciones representa mejor este hallazgo? 
 
95
 
Hipertensión pulmonar crónica 
Congestión pasiva crónica 
Coagulación intravascular diseminada 
Síndrome de embolia grasa 
 
Respuesta: El síndrome de embolia grasa puede desencadenarse entre 1 - 3 días después de 
una lesión. La trombocitopenia se produce por la adherencia de plaquetas a los glóbulos de 
grasa al igual que ocurre con los eritrocitos provocando anemia. Los microémbolos pueden 
ocluir microvasos pulmonares y cerebrales. Es mortal en el 5 - 15% de los casos. El término 
congestión pasiva crónica hace referencia a la estasis de sangre capilar, sinusoidal o venosa 
en órganos como los pulmones o el hígado. Los émbolos de colesterol pueden desprenderse 
de los ateromas arteriales y avanzar distalmente hasta ocluir arterias pequeñas; sin embargo, 
como estos émbolos suelen ser bastante pequeños, casi nunca resultan relevantes 
clínicamente. La coagulación intravascular diseminada se produce por una inadecuada 
activación del fenómeno de hemostasia produciendo microtrombos sistémicos y finalmente el 
agotamiento de los factores de la coagulación con presencia de hemorragias. 
 
10. A las 14 semanas de embarazo, la ecografía de una mujer de 30 años, muestra que el 
útero mide 8 × 5 × 4 cm. En el parto del recién nacido a término, el útero mide 35 × 19 × 13cm. 
¿A qué proceso celular se debe el incremento del tamaño uterino? 
Hipertrofia del estroma endometrial 
Hiperplasia del endotelio vascular 
Hipertrofia de fibroblastos del miometrio 
Hipertrofia de músculo liso 
Respuesta: Justificación: El incremento del tamaño del útero es, básicamente, el resultado de 
un aumento de tamaño de las células del músculo liso del miometrio. El endometrio también se 
agranda, principalmente por hiperplasia, pero sigue siendo un delgado revestimiento de la 
pared muscular y no contribuye al cambio de tamaño. Hay muy poco estroma en el miometrio y 
una mayor proporción en el endometrio, de modo que el estroma contribuye en un porcentaje 
menor que el del músculo al aumento de tamaño. Los vasos son un componente menor, 
aunque necesario, del incremento de tamaño. 
96
11. Marque el enunciado CORRECTO en relación con la metaplasia 
La metaplasia se debe a un cambio en el fenotipo de un tipo celular diferenciado a uno 
indiferenciado. 
Las influencias que predisponen a la metaplasia originan una transformación maligna en el 
epitelio metaplásico. 
La carencia de ácido retinoico induce metaplasia escamosa en el epitelio respiratorio, 
vinculado directamente con la desregulación de este factor de transcripción. 
Los cálculos en los conductos excretores de las glándulas sudoríparas, normalmente revestidos 
de epitelio cilíndrico, también pueden dar lugar a una metaplasia escamosa con sustitución por 
epitelio escamoso estratificado. 
Respuesta: Se observa un vínculo directo entre la desregulación del factor de transcripción y la 
metaplasia en los casos de carencia y exceso de ácido retinoico. El ácido retinoico regula la 
transcripción de genes directamente por medio de los receptores retinoides nucleares, que 
pueden influir en la diferenciación de las progenitoras derivadas de células madre adultas. 
 
12. La hiperplasia patológica 
Se debe a la acción de hormonas o factores de crecimiento ante la necesidad de un aumento 
compensatorio tras una lesión. 
Define un ámbito en el que es posible que se desarrollen con el tiempo proliferaciones 
cancerosas. 
Es una respuesta característica a infecciones víricas, como la del virus del papiloma humano 
que causa cáncer de cuello uterino. 
Es una causa frecuente del sangrado menstrual anómalo dado por un aumento de los valores 
absolutos o relativos en la cantidad de progesterona. 
Respuesta: Aunque hiperplasia y cáncer son procesos diferentes, pueden relacionarse ya que 
la hiperplasia patológica define un ámbito en el que es posible que se desarrollen con el tiempo 
proliferaciones cancerosas. Mientras que, en el cáncer, los mecanismos de control de 
crecimiento celular se alteran o pierden eficacia como consecuencia de aberraciones genéticas 
que determinan una proliferación descontrolada. 
 
La microfotografía corresponde a una biopsia de riñón teñida con PAS. ¿Cuál es el diagnóstico 
más probable?: 
Un aumento de las vacuolas lipídicas (ópticamente negativas) y por lo tanto es un cambio 
graso. 
Edema celular y tumefacción de las células. 
Ampollas en la membrana plasmática. 
97
Nefrosis osmótica. 
 
Respuesta: Células de los túbulos contorneados proximales (ribete en cepillo con la técnica de 
PAS) con múltiples vacuolas en el citoplasma (ópticamente negativas) que provocan un 
aumento del tamaño de las células y una disminución de la luz tubular. Las vacuolas se 
producen como consecuencia de la reabsorción de un azúcar complejo (sucrosa en este 
modelo) en el túbulo contorneado proximal y la posterior entrada de agua por la acción 
osmótica de la misma. Es un ejemplo de injuria celular reversible ya que luego de 
aproximadamente 48 hs. de la injuria inicial (dosis única intraperitoneal de sucrosa) la 
vacuolización desaparece. 
 
14. Los cambios ultraestructurales asociados a la lesión reversible son: 
 
Dilatación del retículo endoplasmático, alteración de la membrana plasmática, núcleo 
con desagregación de elementos granulares y fibrilares, cambios mitocondriales. 
Vesículas en la membrana nuclear, desprendimiento de ribosomas, edema mitocondrial, 
alteraciones citoplasmáticas. 
Mitocondrias con densidades amorfas, figuras de mielina, alteraciones nucleolares, pérdida de 
las microvellosidades. 
Núcleo picnótico, atrofia de la membrana plasmática, degeneración vacuolar, mitocondrias con 
desagregación de elementos granulares y fibrilares. 
 
Respuesta: Entre los cambios ultraestructurales asociados a la lesión reversible se cuentan los 
siguientes: 
-Alteración de la membrana plasmática, con formación de vesículas y atrofia y pérdida de 
microvellosidades. 
-Cambios mitocondriales, con edema y aparición de pequeñas densidades amorfas. 
-Dilatación del RE, con desprendimiento de polisomas; a veces aparecen figuras de mielina 
intracitoplasmáticas. 
98
-Alteraciones nucleares, con desagregación de elementos granulares y fibrilares. 
15. Marque la afirmación CORRECTA para la siguiente microfotografía: 
 
En la zona de mayor eosinofilia, se observa cariólisis en todas las estructuras sin preservación 
de la histoarquitectura. 
Hay focos de infiltrado inflamatorio polimorfonuclear y zonas de hemorragia, que se 
corresponden con la respuesta heterolítica en la necrosis. 
En los túbulos se observa desprendimiento parcial del epitelio, con presencia de detritus en su 
luz e infiltrado inflamatorio, característicos de la pielonefritis. 
Tejido renal afectado de manera difusa que muestra desaparición de los limites celulares, 
acidofilia y tumefacción citoplasmática. 
Respuesta: En la zona de mayor eosinofilia (corte coloreado con hematoxilina-eosina), se 
observa una disminución del número de núcleos en todas las estructuras (cariólisis) con 
preservación de la histoarquitectura, lo que permite seguir identificando las estructuras 
microscópicas características de este órgano. En los túbulos se observa desprendimiento 
parcial del epitelio, con presencia de detritus en su luz. Estas características corresponden a 
una necrosis por coagulación. Focos de infiltrado inflamatorio polimorfonuclear y zonas de 
hemorragia, que se corresponden con la respuesta heterolítica en la necrosis. 
 
16. ¿Cuáles son los patrones específicos de necrosis? 
Necrosis coagulativa, citoesteatonecrosis, necrosis caseosa, necrosis por licuefacción. 
Necrosis caseosa, necrosis por coagulación, necrosis fibrinoide, necrosis gangrenosa. 
Necrosis licuefactiva, necrosis caseosa, necrosis fibrinoide, necrosis coagulativa. 
Necrosis fibrinolítica, necrosis coagulativa, necrosis grasa, necrosis caseosa. 
Respuesta: La necrosis coagulativa es una forma de necrosis en la quela arquitectura del 
tejido muerto queda preservada al menos algunos días. La necrosis licuefactiva se caracteriza 
por la digestión de las células muertas, lo que transforma al tejido en una masa viscosa líquida. 
La necrosis caseosa se registra habitualmente en focos de infección tuberculosa, donde el área 
99
aparece al microscopio como una acumulación desestructurada de células fragmentadas o 
lisadas y de residuos granulares amorfos. La necrosis fibrinoide es una forma especial de 
necrosis observada habitualmente en reacciones inmunitarias que afectan a los vasos 
sanguíneos. En cambio, la necrosis gangrenosa y la necrosis grasa no son patrones 
específicos de necrosis. 
 
17. La apoptosis puede presentarse en diversas situaciones y por distintas causas, tanto 
fisiológicas como patológicas, indique qué agrupación es CORRECTA 
 
Órganos parenquimatosos atróficos por obstrucción de conductos, estrés del retículo 
endoplasmático, pérdida de integridad del ADN, infección por adenovirus. 
 
Atresia folicular ovárica, exposición a radiación, metamorfosis, eliminación de linfocitos 
autorreactivos potencialmente nocivos. 
 
Exposición a fármacos citotóxicos, hepatitis vírica, estrés del retículo endoplasmático, 
hiperplasia hepática. 
 
Metamorfosis, hiperplasia hepática, hipoxia, pérdida de células en poblaciones con proliferación 
celular. 
 
Respuesta: Las causas de apoptosis patológica son: afectaciones del ADN, acumulación de 
proteínas mal plegadas, muerte de las células en determinadas infecciones, atrofia patológica 
en órganos parenquimatosos tras obstrucción de conductos. En cambio, las causas de 
apoptosis fisiológica son: destrucción de las células durante la embriogenia, involución de 
tejidos dependientes de hormonas tras supresión hormonal, pérdida de células en poblaciones 
con proliferación celular, eliminación de linfocitos autorreactivos potencialmente nocivos, 
muerte de células del anfitrión que ya han servido a su propósito. 
18. Se introduce experimentalmente una mutación inactivadora de un gen en una línea celular. 
Se observa que la tasa de células reducidas de tamaño, con acumulaciones de cromatina, 
cariorrexis y ampollas citoplásmicas es menor que en una línea celular sin esa mutación. La 
supervivencia global de la línea celular mutada está aumentada. ¿A cuál de los siguientes 
genes es más probable que afecte esta mutación? 
BCLX 
BCL2 
MCL1 
BAX 
Respuesta: Estos hallazgos histológicos son característicos de la apoptosis. Los productos de 
los genes BCLX, BCL2 Y MCL1 inhiben la apoptosis celular. El producto del gen BAX 
promueve la apoptosis, y una inactivación sería protectora frente a esta, aumentado la 
supervivencia celular. 
 
 
 
100
19. ¿Por qué se produce la lesión por reperfusión? 
 
Porque hay sobrecarga de sodio intracelular, liberación de especies reactivas del oxígeno, 
depleción de ATP, liberación de citocinas. 
 
Porque hay daño en las mitocondrias, inflamación, entrada de potasio, depleción de ATP. 
 
Porque hay liberación de especies reactivas del nitrógeno, sobrecarga de sodio intracelular, 
pérdida de integridad de la membrana, liberación de citocinas. 
 
Porque hay inflamación, sobrecarga de calcio intracelular, activación del sistema de 
complemento, estrés oxidativo. 
 
Respuesta: Los mecanismos propuestos por los cuales se produce la lesión por reperfusión 
incluyen: 
-estrés oxidativo: la nueva lesión puede iniciarse durante la reoxigenación, al incrementarse la 
formación de especies reactivas del oxígeno y del nitrógeno. 
-sobrecarga de calcio intracelular: se exacerba durante la reperfusión, debido al flujo de entrada 
de calcio causado por el daño de la membrana celular y la afectación del retículo 
sarcoplasmático mediado por ERO. 
-inflamación: por aflujo e infiltración de neutrófilos. 
-activación del sistema de complemento: por unión a anticuerpos depositados durante la 
isquemia. 
 
20. La acumulación intracelular de cantidades anómalas de diferentes sustancias resulta 
potencialmente nociva y puede hallarse en el citoplasma, organelas y núcleo. Indique la 
agrupación de ejemplos que correspondan a una misma sustancia acumulada: 
 
Esteatosis, diabetes mellitus, ateroesclerosis, obesidad. 
 
Colesterolosis, xantomas, enfermedad de Niemann-Pick tipo C, ateroesclerosis. 
 
Anorexia, desnutrición proteica, esteatonecrosis, enfermedad de Wilson. 
 
Hígado graso, toxinas, amiloidosis, placa de ateroma. 
 
Respuesta: Las acumulaciones de colesterol y ésteres del colesterol se manifiestan 
histológicamente por vacuolas intracelulares observadas en varios procesos patológicos: 
ateroesclerosis, xantomas, colesterolosis, enfermedad de Niemann-Pick tipo C. 
 
 
21. Marque la afirmación CORRECTA para las calcificaciones patológicas. 
 
La calcificación distrófica es el depósito local de calcio en tejidos que están muriendo y 
se ve acentuada por la hipercalcemia. 
 
La calcificación distrófica se encuentra en áreas de necrosis gangrenosa y las sales de calcio 
aparecen como agregados blanquecinos. 
 
101
La calcificación metastásica se puede deber a la hipercalcemia provocada por el aumento de la 
secreción de la hormona tiroidea. 
 
La calcificación metastásica se localiza principalmente en arterias sistémicas, válvulas 
cardíacas y venas pulmonares. 
 
Respuesta: Cuando el depósito de calcio es local en tejidos que están muriendo, el proceso se 
denomina calcificación distrófica y tiene lugar con independencia de que las concentraciones 
séricas de calcio sean normales y en ausencia de alteraciones del metabolismo del calcio. Sin 
embargo, la hipercalcemia acentúa la calcificación distrófica. 
 
22. Se analiza experimentalmente la actividad enzimática asociada a proliferación celular 
mantenida. ¿Qué tipo de célula es más probable que tenga la mayor actividad de telomerasa? 
 
a. Hepatocito 
b. Célula endotelial 
c. Célula madre mesenquimal 
d. Célula germinal 
 
Respuesta: Las células germinales tienen la máxima actividad de telomerasa, y la longitud del 
telómero puede estabilizarse en ellas. Las células madre tienen actividad de la enzima 
telomerasa, pero en menor medida que las células germinales. Las células somáticas normales 
carecen de actividad telomerasa y los telómeros se acortan progresivamente con cada división 
celular hasta que se produce la detención del crecimiento. 
 
23. Indique que afirmación es CORRECTA para los mecanismos de atrofia 
 
Los mecanismos de atrofia involucran la disminución de la síntesis de proteínas al aumentar la 
actividad de la ubiquitina ligasa. 
 
La atrofia es consecuencia de la disminución de síntesis de proteínas y de la disminución de la 
actividad metabólica de las células. 
 
La degradación de las proteínas celulares se produce, principalmente, mediante la vía de la 
autofagia. 
 
El aumento de la degradación de proteínas y la reducción de la actividad metabólica en 
las células son los principales mecanismos de la atrofia. 
 
Respuesta: La atrofia es consecuencia de la disminución de la síntesis de proteínas y del 
aumento de su degradación en las células. La síntesis proteica se reduce al hacerlo la actividad 
metabólica. 
 
 
 
 
 
 
 
 
102
24. Se realiza un estudio de autopsias para correlacionar los patrones de hemorragia con las 
causas subyacentes. Los pacientes que presentaron una imagen macroscópica de hemorragia 
como la que se observa en la figura, tuvieron una pérdida de sangre mínima, pero muchos 
otros órganos mostraban un aspecto similar al mostrado aquí. ¿Cuál de los siguientes términos 
describe mejor este patrón? 
 
 
Congestión 
 
Equimosis 
 
Hematoma 
 
Petequia 
 
Respuesta: Considerando el tamaño y la presentación de las lesiones mostradas: lesiones 
violáceas puntiformes que se observan a través de la serosa, y conociendo que los pacientes 
presentaban a la vez esas lesiones en otras localizaciones de su organismo, sabemos que esto 
responde a causas sistémicas y que el nombre que se les otorga a las lesiones es petequias. 
 
25. Unamujer de 87 años con diagnóstico de neumonía típica lobar recibe un ciclo de 
tratamiento antibiótico. A las 2 semanas, ya no tiene tos productiva, pero aún presenta fiebre, 
leucocitosis y compromiso del estado general. ¿Cuál de las siguientes complicaciones podría 
presentar la paciente? 
 
Formación de abscesos 
 
Cicatrices fibrosas 
103
Regeneración tisular 
 
Inflamación crónica 
 
Respuesta: Los abscesos son una complicación de los procesos inflamatorios agudos de causa 
infecciosa purulenta y cuando aparecen se manifiestan con persistencia de los signos y 
síntomas sistémicos de la inflamación. No así la regeneración ni las cicatrices fibrosas. La 
inflamación crónica no es una complicación de la neumonía lobar típica. 
 
 
26. La enfermedad de Berger se caracteriza por el depósito de inmunoglobulina A en el 
mesangio de los glomérulos. La forma precisa de diagnosticarla se realiza mediante: 
 
Microscopía de luz convencional 
 
Microscopía óptica de alta resolución 
 
Microscopía electrónica de transmisión 
 
Microscopía óptica con inmunofluorescencia 
 
Respuesta: La inmunofluorescencia es una técnica de inmunomarcación utilizada para 
demostrar la presencia de una molécula determinada. 
 
 
27. Un paciente masculino de 18 años presenta una subluxación del cristalino derecho lo que 
genera ceguera, se le realiza un control general y también se evidencia en el ecocardiograma 
un aneurisma de la aorta. ¿En qué proteína se presenta un defecto genético que puede estar 
presente en este paciente? Marque la opción correcta. 
 
Colágeno 
 
Distrofina 
 
Fibrillina-1 
 
Espectrina 
 
Respuesta: El síndrome de Marfan es un trastorno autosómico dominante causado 
principalmente por una mutación en el gen de la Fibrilina-1. 
 
28. Con respecto a las patologías de la matriz extracelular, cual de todas estas afirmaciones es 
CORRECTA 
El síndrome de Marfan esta causado por una alteración genética en los cromosomas 8. 
El síndrome de Ehlers- Danlos es causado por el déficit de fibronectica 
La enfermedad de Alport se caracteriza por alteraciones del colágeno tipo II 
d. La Osteogénesis imperfecta se asocia a alteraciones en la síntesis de colágeno tipo I 
104
Respuesta: La osteogénesis imperfecta es un trastorno congénito, es decir, presente al nacer, 
que se caracteriza por una fragilidad de hueso excesiva, como consecuencia de una deficiencia 
congénita en la elaboración de una proteína, el colágeno tipo I. La Osteogénesis imperfecta se 
asocia a alteraciones en la síntesis de colágeno tipo I 
 
29. ¿Cuáles de los siguientes eventos son parte de la secuencia de progresión de la 
aterosclerosis? 
Lesión endotelial, incremento de lipoproteínas, adhesión de polimorfonucleares al endotelio, 
adhesión plaquetaria, liberación de citoquinas por parte de plaquetas, macrófagos y células 
parietales, proliferación de células musculares lisas y acumulación de lípidos. 
Disfunción endotelial, acumulación de LDL, adhesión de monocitos al endotelio, agregación 
plaquetaria, liberación de factores por parte de plaquetas, macrófagos y células endoteliales, 
proliferación de células endoteliales y acumulación de lípidos 
Lesión y disfunción endotelial, acumulación de LDL oxidadas, adhesión de macrófagos al 
endotelio, agregación plaquetaria, liberación de factores por parte de plaquetas, macrófagos y 
células parietales, proliferación de células musculares lisas y acumulación de lípidos 
Lesión y disfunción endotelial, acumulación de LDL oxidadas, adhesión de monocitos al 
endotelio, adhesión plaquetaria, liberación de factores por parte de plaquetas, 
macrófagos y células parietales, proliferación de células musculares lisas y acumulación 
de lípidos 
Respuesta: La aterosclerosis progresa desde un lesión y disfunción endotelial que provoca en 
muchos casos trombosis, acumulación de lipoproteínas particularmente LDL oxidadas, 
adhesión de monocitos al endotelio con su posterior migración y transformación a macrófagos, 
adhesión plaquetaria, liberación de factores por parte de plaquetas, macrófagos y células 
parietales que inducen el reclutamiento de células musculares lisas que posteriormente 
proliferan; para finalmente acumularse lípidos intra y extracelularmente. 
 
30. Un hombre de 68 años es hallado muerto en su casa. Al realizar la autopsia se verifica 
cardiomegalia y hepatomegalia. La macroscópia del hígado muestra un patrón de aumento de 
tamaño del órgano, cambio de la coloración con aumento de puntillado negruzco según 
105
muestra la fotografía. En el examen microscópico de este último, se observa congestión de 
sinusoides centrolobulillares. ¿Cuál de estas opciones podría explicar estos hallazgos? 
 
Cirrosis por hepatitis B 
 
Insuficiencia cardíaca 
 
Hemocromatosis 
 
Deficiencia de α₁-antitripsina 
 
Respuesta: La insuficiencia cardíaca derecha provoca congestión hepática crónica. En el 
examen microscópico se observaría intensa congestión centrolobulillar, mientras que el área 
que rodea el espacio porta estaría menos congestionada generando el patrón morfológico de 
hígado en nuez moscada. La hepatitis B, la hemocromatosis y la deficiencia de α₁-antitripsina 
provocan cirrosis y reducción del tamaño del hígado. 
 
31. La apendicitis aguda: 
Es una inflamación flegmonosa de evolución solapada 
Estimula la proliferación de células NK 
Presenta una infiltración difusa de distintos planos del órgano por focos de infiltrado 
inflamatorio con abundantes polimorfonucleares neutrófilos 
Es una inflamación aguda flegmonosa, con infiltrado linfocitario y plasmocitario 
Respuesta: En la inflamación aguda del apéndice en el espesor de la pared se observa la 
separación de los haces de músculo liso y distintos planos del órgano producida por los focos 
de infiltrado inflamatorio con abundantes polimorfonucleares neutrófilos (flemón). 
 
 
 
106
32. Señale cuál de las siguientes es un ejemplo de inflamación granulomatosa 
Ampolla por frotamiento 
Granulación exhuberante 
Pericarditis reumática 
Enfermedad de Crohn 
Respuesta: En la enfermedad de Crohn (Enfermedad intestinal inflamatoria) ocurren 
granulomas no necrotizantes en la pared intestinal, con denso infiltrado inflamatorio crónico. 
 
33. Una inflamación fibrinosa 
Se caracteriza por la presencia de exudado rico en fibronectina 
Suele presentarse en cavidades corporales 
Presenta una infiltración difusa del tejido por material purulento 
Se caracteriza por la presencia de fibroblastos y fibrosis 
Respuesta: El exudado fibrinoso es característico de la inflamación del revestimiento de 
cavidades corporales. 
 
34. Señale cuál de las siguientes afirmaciones es CORRECTA 
La presencia de un infiltrado linfo-plamocitario y fibrosis establece el diagnóstico en el 
caso de una inflamación crónica 
La presencia de un infiltrado con abundantes PMN eosinófilos permite diagnosticar una 
infección parasitaria 
La presencia de un infiltrado con abundantes PMN neutrófilos establece el diagnóstico en el 
caso de una inflamación subaguda 
La presencia de vasos de neoformación establece el diagnóstico en el caso de una inflamación 
sobreaguda 
Respuesta: La inflamación crónica se caracteriza por un infiltrado inflamatorio mononuclear 
linfoplasmocitario (± monocitos/macrófagos), fibroblastos activos y fibrosis 
 
35. En la inflamación 
Los neutrófilos son siempre las primeras células que llegan al foco inflamatorio 
Cuando es de etiología viral, las células predominantes son los eosinófilos 
107
El tipo de leucocito que infiltra el tejido depende de la fase de evolución y del tipo de 
estímulo inflamatorio 
Los linfocitos son siempre las primeras células que llegan a la zona de lesión 
Respuesta: La naturaleza del infiltrado varía en función de la duración de la respuesta 
inflamatoria y del tipo de estímulo. 
36. Un hombre de 64 años con dolor precordial de larga duración y antecedentes de 
hipertensión arterial muere por un accidente cerebrovascular hemorrágico. En la autopsia,el 
corazón parece de aspecto globoide. La pared del ventrículo izquierdo mide 2,9 cm en sección 
transversal. Esta adaptación a la lesión crónica fue mediada principalmente por cambios en la 
concentración intracelular de ¿cuál de los siguientes componentes? 
Glucógeno 
Lípido 
ARNm 
Colágeno 
Respuesta: los miocitos hipertróficos tienen núcleo y citoplasma más grande que los normales, 
no se sabe con certeza los mecanismos moleculares, pero está claro que el paso final es el 
incremento de proteínas, ARNm y ARNr. Las demás opciones no son correctas, la 
degeneración hidrópica se observa en la injuria aguda. 
37. Un paciente de 40 años presenta disnea y dolor torácico. Se le realiza una radiografía de 
tórax y revela nodularidades bilaterales en ambos pulmones. En la biopsia se observa la 
siguiente imagen con abundante celularidad y células grandes multinucleadas. ¿De qué células 
derivan estas células grandes con múltiples núcleos? 
 
Macrófagos 
Miofibroblastos 
Basófilos 
Células musculares lisas. 
108
Respuesta: Los nódulos en placa torácica revelan granulomas constituidos por las células 
gigantes multinucleadas (células de Langhans) derivan de la fusión de múltiples macrófagos. 
Las demás opciones son incorrectas. 
 
38. Marque la opción correcta con respecto a la descripción de la siguiente imagen 
 
 
La imagen muestra glomérulos difusamente comprometidos por un incremento de matriz 
en la región mesangial que le confiere un aspecto nodular. Las paredes capilares de los 
glomérulos aparecen difusamente engrosadas a expensas de engrosamiento de la 
membrana basal. Algunos glomérulos aparecen globalmente esclerosados. Se observa 
engrosamiento de las paredes vasculares. Hay marcada pérdida de túbulos y con 
remanentes que aparecen atróficos y el Intersticio muestra fibrosis y elementos 
leucocitarios. 
La imagen muestra todos los glomérulos completamente esclerosados teniendo un aspecto de 
glomérulos en oblea, las paredes de los capilares glomerulares se observan sin engrosamiento 
de la membrana basal. Se observa engrosamiento de las paredes vasculares. Hay marcada 
pérdida de túbulos y con remanentes que aparecen atróficos y el Intersticio muestra fibrosis y 
elementos leucocitarios. 
La imagen muestra glomérulos difusamente comprometidos por un incremento de matriz en la 
región mesangial que le confiere un aspecto nodular. Las paredes capilares de los glomérulos 
aparecen difusamente engrosadas a expensas de engrosamiento de la membrana basal. 
Algunos glomérulos aparecen globalmente esclerosados. Las paredes vasculares se observan 
sin alteraciones estructurales. Hay marcada pérdida de túbulos y con remanentes que 
aparecen atróficos y el Intersticio muestra fibrosis y elementos leucocitarios. 
La imagen muestra glomérulos difusamente comprometidos por un incremento de matriz en la 
región mesangial que le confiere un aspecto nodular. Las paredes capilares de los glomérulos 
aparecen difusamente engrosadas a expensas de engrosamiento de la membrana basal. 
Algunos glomérulos aparecen globalmente esclerosados. Se observa engrosamiento de las 
paredes vasculares. Los túbulos se encuentran sin alteraciones manteniendo su estructura con 
un epitelio cubico simple. El intersticio muestra fibrosis sin infiltrado polimorfonuclear. 
109
Respuesta: Lo descripción en esta opción corresponde a una imagen de un riñón diabético. El 
resto de las descripciones tienen alteraciones que no son compatibles con un riñón con 
diabetes, como muestra la figura. 
 
39. Un hombre de 44 años ha tenido un aumento del dolor que padece por artritis, hinchazón 
de los pies y menor tolerancia al ejercicio durante los últimos 3 años. Una radiografía de tórax 
muestra derrames pleurales bilaterales, edema pulmonar y cardiomegalia. Se somete a una 
biopsia de hígado; la apariencia microscópica de una muestra de biopsia teñida con H&E 
(panel derecho) y azul de Prusia (panel izquierdo) se muestra en la figura. Con base en estos 
hallazgos, ¿Cuál de las siguientes patologías es más probable que parezca este este paciente? 
 
Hemosiderosis 
Hemocromatosis 
Cirrosis alcoholica 
Cirrosis a causa de Hepatitis D 
Respuesta: Este paciente tiene características clínicas e histológicas de la hemocromatosis 
genética. En esta condición, ocurre una sobrecarga de hierro debido a la absorción excesiva de 
hierro en la dieta. El hierro absorbido se deposita en muchos tejidos, incluido el corazón, 
páncreas e hígado, dando lugar a insuficiencia cardíaca, diabetes, y cirrosis. La tinción positiva 
con Azul de Prusia revela el depósito de hierro en el tejido. 
 
40. La respuesta inmediata transitoria vascular es producida principalmente por: 
Lesión endotelial directa con necrosis y desprendimiento de células endoteliales 
Reorganización del citoesqueleto de las células endoteliales y de los mecanismos de unión 
entre células endoteliales 
Contracción de las células endoteliales con ensanchamiento de las uniones 
interendoteliales 
110
Aumento de transcitosis 
Respuesta: La respuesta inmediata transitoria vascular es producida principalmente por la 
histamina, quien produce contracción de las células endoteliales con incremento de los 
espacios Inter-endoteliales 
 
111
RECUPERATORIO PRIMER PARCIAL. SEGUNDO CUATRIMESTRE 2020 
IMPORTANTE: EN LOS EXAMENES LAS PREGUNTAS Y LAS OPCIONES FUERON 
ALEATORIAS. EN CONSECUENCIA, ES POSIBLE QUE EL ORDEN NO COINCIDA CON EL 
PRESENTADO EN ESTE DOCUMENTO 
 
1. Marque la afirmación correcta para la siguiente microfotografía 
 
a. Hay focos de infiltrado inflamatorio a predominio de polimorfonucleares y zonas de 
eosinofilia, que se corresponden con la respuesta heterolítica en la necrosis. 
b. Se observa aumento de la basofilia y cariólisis en algunas de las estructuras sin preservación 
de la histoarquitectura. 
c. El parénquima renal está reemplazado por un material amorfo eosinófilo con algunos 
fragmentos basófilos pequeños, correspondiendo a detritus celulares. 
d. Hay una afectación de manera difusa que muestra desaparición de los limites 
celulares, acidofilia y tumefacción citoplasmática. 
 
Correcta D. Se observa el tejido renal afectado de manera difusa que muestra desaparición de 
los limites celulares, acidofilia y tumefacción citoplasmática (producto de la digestión de las 
células muertas por sus propias enzimas). Los núcleos se observan con variable grado de 
preservación. 
 
2. Una mujer de 50 años tiene un carcinoma de pulmón con metástasis y recibe quimioterapia 
como tratamiento. Un mes después, el examen histológico de una lesión metastásica muestra 
múltiples focos en los que las células tumorales individuales están reducidas de tamaño y muy 
eosinófilas. Sus núcleos tienen agregados de cromatina condensados bajo la membrana 
nuclear. El estudio de actividad de caspasas, muestra un aumento significativo de su actividad. 
112
¿Cuál de las siguientes moléculas es más probable que haya desencadenado el proceso 
patológico de estas células tumorales reducidas de tamaño? 
a. APAF1 
b. BCLX 
c. BCL2 
d. Citocromo c 
 
Correcta D. Justificación: La liberación del citocromo c de las mitocondrias es un paso clave en 
muchas formas de apoptosis y conduce a la activación de las caspasas. La APAF1 es una 
proteína que se une al citocromo c liberado al citosol y forma el apoptosoma pero no es capaz 
de desencadenar la apoptosis sin el citocromo c. La BCLX y BCL2 son proteínas 
antiapoptóticas que impide la liberación de citocromo c y la activación de las caspasas. 
 
3. Los linfocitos T citotóxicos provocan la muerte de los hepatocitos infectados por virus de la 
hepatitis. Los linfocitos T citotóxicos liberan perforina para posibilitar la entrada de sus gránulos. 
¿Cuál de las siguientes sustancias activa directamente la muerte celular programada? 
a. p53 
b. Endonucleasa 
c. Óxido nítrico 
d. Granzima B 
 
Correcta D. Justificación: La granzima B es una proteasa de serina presente en loslinfocitos T 
citotóxicos que puede desencadenar directamente la apoptosis. Los linfocitos T citotóxicos 
expresan el ligando Fas sobre la superficie y, al contactar con los receptores de Fas en la 
célula diana, el ligando induce la apoptosis por la vía extrínseca (iniciada por el receptor de 
muerte). El óxido nítrico ayuda a destruir los microbios fagocitados. Las endonucleasas se 
generan tras la activación de las caspasas y conducen a la fragmentación nuclear. La apoptosis 
se inicia cuando la p53 resulta activada por daño intrínseco del ADN durante la proliferación 
celular. Las mutaciones de p53 pueden permitir la acumulación de daños genéticos, proceso 
que promueve el crecimiento celular no regulado (neoplasia). 
 
4. ¿Qué tipos de pigmentos endógenos están descriptos? 
a. Lipofucsina, carbón, ferritina. 
b. Melanina, tinta, cobalto. 
c. Hemosiderina, pigmento pardo-negro formado por la oxidación de la tirosina, 
pigmento de desgaste. 
113
d. Pigmento pardo-amarillento derivado de la peroxidación de lípidos poliinsaturados, carbón, 
bilirrubina 
 
Correcta C. Justificación: los pigmentos endógenos son lipofucsina (lipocromo o pigmento de 
desgaste) que deriva de la peroxidación de lípidos poliinsaturados, melanina que deriva de la 
oxidación de la tirosina y hemosiderina que deriva de la hemoglobina. 
 
5. Marque la afirmación correcta para calcificaciones patológicas. 
a. La calcificación metastásica afecta a tejidos patológicos con hipercalcemia por aumento de 
secreción de hormona tiroidea. 
b. La calcificación metastásica es secundaria a la hipercalcemia dada por insuficiencia 
hepática. 
c. La calcificación distrófica se encuentra en áreas de resorción de tejido óseo, consecuencia 
de tumores primarios de médula ósea. 
d. La calcificación metastásica puede verse en casos de intoxicación por vitamina D. 
 
Correcta D. Justificación: La calcificación metastásica puede afectar tejidos normales siempre 
que haya hipercalcemia. Cuatro son las causas principales de hipercalcemia: aumento de la 
secreción de hormona paratiroidea, resorción de tejido óseo, trastornos asociados con la 
vitamina D (como intoxicación por vitamina D), insuficiencia renal. 
 
6. La desregulación de la sensibilidad a nutrientes en el envejecimiento está asociada a: 
a. Actividad de la telomerasa y IGF1 
b. Restricción calórica y CMYC 
c. Activación de genes supresores de tumores y BAX 
d. Circuitos neurohormonales que regulan el metabolismo 
Correcta D. Justificación: La restricción calórica aumenta la duración de la vida en todas las 
especies eucariotas. Es por eso que se ha estudiado el papel que desempeña la sensibilidad a 
nutrientes en el envejecimiento. Los dos circuitos neurohormonales que regulan el metabolismo 
asociados a la sensibilidad a nutrientes son la vía de señalización de IGF1 y las sirtuinas. 
 
 
 
 
114
7. Observe la siguiente imagen y responda a qué tipo de adaptación celular o lesión celular 
reversible corresponde: 
 
 
 
 
 
 
 
 
 
 
a. Esteatosis 
b. Atrofia 
c. Metaplasia 
d. Hiperplasia 
Respuesta correcta: A. La imagen corresponde a esteatosis hepatica, es una lesión celular 
reversible. atrofia, metaplasia e hiperplasia son mecanismos de adaptacion celular. 
 
8. Una mujer de 34 años con obesidad ha presentado acidez por reflujo gástrico tras ingerir 
comidas copiosas en los últimos 5 años. Se le realiza una endoscopia digestiva alta y se 
obtiene una muestra de biopsia del esófago distal. ¿Cuál de los siguientes cambios 
microscópicos, mostrado en la figura, es más probable que se haya producido? 
a. Metaplasia cilíndrica 
b. Hiperplasia de células caliciformes 
c. Atrofia de la lámina propia 
d. Displasia epidermoide 
Respuesta correcta A. La inflamación debida al reflujo de ácido gástrico ha determinado la 
sustitución del epitelio escamoso normal del esófago por epitelio cilíndrico de tipo intestinal con 
células caliciformes. Esa conversión de un tipo celular adulto en otro se denomina metaplasia y 
tiene lugar cuando los estímulos reprograman las células madre. Las células caliciformes no 
son componentes normales de la mucosa esofágica y constituyen una parte poco importante de 
este proceso metaplásico. La lámina propia presenta algunas células inflamatorias, pero no 
está atrofiada. 
115
 
 
9. Una mujer de 82 años con enfermedad de Alzheimer muere a causa de insuficiencia 
cardiaca. En la imagen se muestra el cerebro de la autopsia. ¿Cuál de las siguientes 
adaptaciones celulares se observa en la imagen? 
 
 
a- Atrofia. 
b- Hiperplasia 
c- Metaplasia 
d- Displasia 
Correcta A: la atrofia se reconoce como una disminución del tamaño y la función de un órgano. 
En el cerebro se puede observar circunvoluciones adelgazadas y los surcos más prominentes, 
que es lo que se observa en la foto. 
 
116
10. Paciente de 15 años es evaluado por tos persistente sudoración nocturna y fiebre. 
Radiografía de tórax revela hallazgos compatibles con complejo de Gohn. En el cultivo del 
esputo crecen bacilos acido alcoholes resistentes. La biopsia del ganglio se observa un 
material amorfo eosinófilo con numerosos fragmentos basófilos pequeños, correspondiendo a 
detritus celulares, restos nucleares que forman el llamado “polvillo nuclear”. ¿Cuál de las 
siguientes alteraciones se observa en el ganglio hiliar? 
a. Necrosis licuefactiva 
b. Necrosis caseosa 
c. Necrosis coagulativa 
d. Necrosis fibrinoide 
Respuesta: B Justificación: En el ganglio lo que se observa es necrosis caseosa, que suele 
estar presentes en los granulomas, asociados a infecciones por tuberculosis. 
 
11. En un experimento realizado en un animal de laboratorio, se realiza una oclusión de una 
rama de la arteria renal. Un día después, se observa un área focal, en el que las células del 
parénquima renal muestran cariólisis y cariorrexis. Los contornos de las células aún son 
visibles, pero los núcleos han perdido la tinción basófila y el citoplasma es eosinófilo. ¿Cuál de 
los siguientes tipos de necrosis celular está presente? 
a. Coagulativa 
b. Caseosa 
c. Licuefactiva 
d. Fibrinosa 
Respuesta correcta: A. Tanto la causa que se plantea como las características histológicas que 
se relata que presenta se correlacionan con necrosis de coagulación. 
 
 
 
 
 
 
 
 
 
 
117
12. Observe la siguiente imagen correspondiente a un preparado histológico de una arteria y 
marque la opción correcta: 
 
a) Se observa una placa de ateroma no complicada. 
b) Se observa una placa de ateroma complicada con calcificación metastásica. 
c) Se observa una placa de ateroma complicada con hemorragia intraplaca 
d) Se observa una placa de ateroma complicada con calcificación distrófica. 
Respuesta correcta: D. Esta imagen corresponde a una placa de ateroma calcificada 
(calcificación distrófica porque ocurre en tejidos no viables o con muerte celular), siendo la 
calcificación una de las posibles complicaciones de la placa de ateroma. 
 
13. Un niño de 3 años de edad presenta disminución de peso, diarrea, edema en miembros 
inferiores, anemia e hipoalbuminemia. El diagnóstico más probable es: 
a. Kwashiorkor 
b. Raquitismo 
c. Déficit de vitamina A 
d. Marasmo 
Respuesta correcta: A El kwashiorkor o desnutrición proteica o proteico-calórica se caracteriza 
por perdida severa del compartimiento de proteínas viscerales, hipoalbuminemia y edema, 
intolerancia a la lactosa, anemia. 
 
14. El déficit de vitamina D en adultos se asocia a: 
a. Craneotabes, rosario raquítico, surco de Harrison, arqueamiento de las piernas. 
118
b. Osteopenia, cifoescoliosis, pérdida de densidad ósea y del grosor cortical 
(Radiografía) 
c. Manchas de Bitot, xeroftalmia, hiperqueratosis en glándulas sudoríparas y sebáceas. 
d. Ceguera nocturna, infecciones respiratorias. 
Respuesta correcta: B. La osteopenia, cifoescoliosis, pérdida de densidad ósea y del grosor 
cortical (radiografía)son características de la osteomalacia que se debe al déficit de vitamina D 
en adultos. El déficit de vitamina D en niños se asocia a raquitismo (craneotabes, rosario 
raquítico, surco de Harrison y arqueamiento de las piernas son características del mismo). 
manchas de Bitot, xeroftalmia, hiperqueratosis en glándulas sudoríparas y sebáceas, ceguera 
nocturna, infecciones respiratorias son características del déficit de vitamina A. 
 
15. La presencia de demencia, diarrea y dermatitis es compatible con: 
a. Déficit de vitamina C 
b. Déficit de vitamina B12 
c. Déficit de tiamina o vitamina B1 
d. Déficit de niacina 
Respuesta correcta: D. La pelagra (demencia, diarrea y dermatitis) es característica del déficit 
de niacina. 
 
16. Un adolescente de 18 años, mientras jugaba a la pelota, comienza a sentir un intenso dolor 
testicular que le impide caminar. Sus compañeros lo asisten rápidamente y lo llevan a la 
guardia. En el hospital le realizan un examen físico urológico y deciden intervenir 
quirúrgicamente al adolescente ya que sospechan una lesión grave por oclusión venosa ¿Qué 
tipo de lesión sospecha el equipo médico? 
a. Absceso 
b. Empiema 
c. Infarto hemorrágico 
d. Lesión por reperfusión 
Respuesta correcta: C. Los infartos secundarios a una oclusión venosa o que afectan a tejidos 
esponjosos suelen ser hemorrágicos. Que una oclusión vascular ocasione o no el infarto del 
tejido viene determinado por el aporte de sangre a través de colaterales, por la velocidad a la 
que se desarrolla la obstrucción, por la susceptibilidad intrínseca del tejido a la lesión isquémica 
y por la oxigenación de la sangre 
 
 
119
17. Una mujer de 25 años de edad concurre al servicio de ginecología debido a que desde 
hace más de un mes comenzó con sangrados intermitentes por fuera del período de 
menstruación. Refiere que al principio pensó que era flujo vaginal, pero luego se dio cuenta que 
era sangre. Dice que ya no puede calcular cada cuanto es su ciclo menstrual. La médica le 
menciona que, a su edad, es muy probable que el sangrado anómalo se deba a un 
desequilibrio hormonal. ¿Qué sospecha diagnóstica tiene la médica? 
a. Infección de la cavidad uterina debido a la presencia del exudado purulento y hemorragia. 
b. Atrofia de endometrio y lesión traumática, teniendo en cuenta la edad de la mujer 
c. Hiperplasia patológica de endometrio, teniendo en cuenta la edad y el probable 
trastorno hormonal 
d. Infección vaginal con lesión traumática, según los signos descritos. 
 
RESPUESTA CORRECTA: C. La mayoría de las formas de hiperplasia patológica están 
causadas por una estimulación excesiva de tipo hormonal o de factores de crecimiento. Por 
ejemplo, después de un período menstrual normal hay un brote de proliferación epitelial uterina 
que, habitualmente, se halla regulada de modo muy ajustado, estimulada por hormonas 
hipofisarias y estrógenos ováricos, e inhibida por la progesterona. Sin embargo, si se altera el 
equilibrio entre el estrógeno y la progesterona, se produce una hiperplasia endometrial, causa 
común de un sangrado menstrual anómalo”. 
 
18. Un paciente de 50 años de edad concurre a su médico de cabecera para realizarse un 
chequeo anual. Refiere no tener síntomas al momento del examen. Entre los antecedentes, es 
hipertenso desde hace 10 años y tabaquista. El médico le indica un laboratorio y un 
electrocardiograma. Tras su realización, le informa que en el último estudio se ven cambios en 
el corazón, como la desviación del eje y aumento de la masa cardíaca. Le explica que esto se 
debe a su patología de base e insiste con la cesación tabáquica y con la adhesión al 
tratamiento antihipertensivo. El paciente le informa que él está bien, aunque a veces siente 
dolor en las piernas cuando camina. El médico le informa que esto puede deberse a una lesión 
en los vasos de las piernas por lo que le solicitará un ecodopler para ver el flujo sanguíneo. 
¿Cuáles son las sospechas diagnósticas del médico? 
a. Insuficiencia cardíaca congestiva y aterosclerosis en miembros inferiores 
b. Hipertrofia cardíaca y ateroesclerosis en miembros inferiores 
c. Hipertrofia cardíaca y edema en miembros inferiores 
d. Hipertrofia cardíaca y trombosis venosa profunda de miembros inferiores 
 
Respuesta B. Un ejemplo de hipertrofia celular patológica sería el aumento de tamaño del 
corazón asociado a hipertensión o a una valvulopatía aórtica. Las consecuencias de la 
hipoperfusión arterial crónica debida a la ateroesclerosis en varios lechos vasculares 
120
comprenden isquemia intestinal, muerte súbita cardíaca, CPI crónica, encefalopatía isquémica 
y claudicación intermitente. 
 
19. Una mujer de 60 años concurre al médico laboral con los análisis que le pidieron en una 
empresa donde va a comenzar a trabajar. El médico le informa que los análisis de laboratorio 
son normales, pero que en la radiografía de tórax observa una imagen radiopaca, por lo que le 
pegunta por sus antecedentes respiratorios. La mujer comenta que es tabaquista desde joven y 
que hace años tuvo tuberculosis, pero que recibió tratamiento, aunque fue advertida de que 
podían quedarle algunas cicatrices. De ser la imagen una secuela de la enfermedad, ¿Qué 
lesión sospecharía? 
a. Aterosclerosis en la arteria pulmonar debido a un proceso inflamatorio crónico secundario a 
la enfermedad. 
b. Calcificación distrófica en un área de necrosis caseosa en el pulmón o un ganglio 
linfático debido a la infección tuberculosa. 
c. Estenosis aórtica calcificada secundaria al tabaquismo 
d. Absceso por evolución complicada de un proceso inflamatorio aguda 
Respuesta correcta. B. Aunque la calcificación distrófica puede ser un hallazgo incidental 
indicativo de una lesión celular pasada insignificante, también puede causar la disfunción de un 
órgano. La calcificación distrófica es frecuente en las áreas de necrosis caseosa por 
tuberculosis. En ocasiones, un ganglio linfático tuberculoso se convierte, esencialmente, en una 
piedra radiopaca. 
 
20. Un niño 6 meses de edad es llevado al centro de salud por su padre para ser vacunado. La 
enfermera observa que el niño tiene algunas características que le llaman la atención, como las 
facies toscas, opacidad en las córneas y cierto retraso madurativo. Le pregunta al padre si ha 
hecho los controles pediátricos para su edad, el cual responde que sí, y que el niño tiene una 
enfermedad denominada mucopolisacaridosis. Teniendo en cuenta las características descritas 
por la enfermera y la enfermedad que tiene el niño (marque la CORRECTA): 
a. Presenta una sola variante y es de herencia autosómica dominante. 
b. Se caracteriza por tener lesiones secundarias a la acumulación de glucocerebrócido en las 
células mononucleares fagocíticas. 
c. Presenta como amenazas más habituales la hepatoesplenomegalia, las deformidades 
óseas, las lesiones de las válvulas cardíacas y los depósitos subendoteliales arteriales. 
d. Es frecuente en la población general, aunque es subdiagnosticada. 
Respuesta correcta C. Presenta como amenazas más habituales la hepatoesplenomegalia, las 
deformidades óseas, las lesiones de las válvulas cardíacas y los depósitos subendoteliales 
arteriales. 
121
21. Una mujer de 28 años puérpera, presenta área eritematosa en el pezón de la mama 
izquierda. Al examen físico se observa que drena material amarillento a través de una fisura y 
aumento de la temperatura del área. ¿Qué celularidad predomina en el análisis citológico? 
a. Neutrófilos 
b. Plasmocitos 
c. Mastocitos 
d-Linfocitos 
Justificación: el fluido amarillento que drena representa un exudado purulento, probablemente 
un absceso lo cual también explica el aumento de la temperatura de la zona. Este tipo de 
exudados se asocian a infecciones bacterianas, en las que predominan los leucocitos 
polimorfonucleares (neutrófilos). Los mastocitos se suelen observar en respuesta a alérgenos. 
Los linfocitos yplasmocitos en respuestas inflamatorias crónica. 
 
22. Un paciente de 70 años con fiebre y expectoración mucopurulenta. El cultivo del esputo 
revela diplococos Gram positivos. ¿Cuál de los siguientes mediadores de la inflamación 
promueven la quimiotaxis de las células inflamatorias al espacio alveolar? 
a. Bradiquinina 
b. Histamina 
c. Mieloperoxidasa 
d. Péptidos N-formilados 
Justificación: los factores quimiotácticos más potentes para los leucocitos son proteínas del 
complemento (C5a), productos bacterianos como péptidos N-Formilados, productos del 
metabolismo del ac. Araquidónico (LTB4) y quimioquinas (interleuquina-1 e interferón ϒ). Los 
demás no son quimiotácticos. 
 
23- Un paciente de 8 años con antecedentes de asma, presenta historia de alergia e 
infecciones respiratorias. ¿Cuál de los siguientes mediadores de la inflamación es el que más 
poder broncoconstrictor tiene? 
a. Proteínas del complemento 
b. Interleukina-1 
c. Leucotrienos 
d. Factor de necrosis tumoral α 
Justificación: El Asma es una enfermedad respiratoria crónica causada por una respuesta 
exagerada de la vía aérea a múltiples estímulos. Mediadores de la inflamación crónica 
estimulan la producción de moco y la broncoconstricción. Entre estos mediadores los 
122
leucotrienos promueven la contracción del musculo liso bronquial. Las demás opciones son 
mediadores de la inflamación, pero no son potentes broncoconstrictores. 
 
24. Un paciente de 75 años con antecedentes de infecciones respiratorias a repetición 
desarrolla una neumonía bilateral y requiere internación. A las 48 hs presenta derrame pleural 
que se drena y el examen citológico revela abundantes neutrófilos. ¿Cuál de las siguientes 
complicaciones presenta? 
a. Empiema 
b. Absceso 
c. Flemón 
d. Ulcera 
Justificación: La presencia de un exudado rico en neutrófilos en una cavidad preformada, como 
la pleura es lo que define a un empiema. El empiema es una de las complicaciones de la 
neumonía. 
 
25. La fagocitosis de una partícula se lleva a cabo en tres pasos: 
a. Reconocimiento, englobamiento y degradación 
b. Quimiotaxis, opsonización y destrucción 
c. Reconocimiento, destrucción y degradación 
d. Opsonización, englobamiento y activación 
Respuesta correcta: a La fagocitosis evoluciona en una secuencia de: 1) reconocimiento y 
fijación; 2) atrapamiento; y 3) destrucción y degradación 
 
26. La inflamación purulenta se caracteriza por: 
a. Infiltración difusa del tejido por linfocitos como consecuencia de una infección por gérmenes 
piógenos. 
b. Presencia de exudado constituido por neutrófilos, líquido de edema y células 
necróticas. 
c. Presencia de exudado focal con abundante necrosis de caseificación. 
d. Infiltración difusa del tejido por exudado purulento. 
Respuesta correcta: b. Una inflamación purulenta se caracteriza por la producción de pus, un 
exudado formado por neutrófilos, residuos licuados de células necróticas y líquido de edema. 
 
 
123
27. Con referencia a la curación de una herida: 
a) Las metaloproteasas favorecen la formación de los enlaces cruzados entre las moléculas de 
colágeno mediante la escisión de los prepropéptidos. 
b) En la contracción de la herida participan miofibroblastos. 
c) Siempre va precedida por abundante tejido de granulación. 
d) La presencia de vitamina C (ácido ascórbico) es fundamental al permitir la glucuronización 
de las moléculas de colágeno. 
Respuesta correcta: b. La cicatriz experimenta retracción, mediada principalmente por la acción 
de miofibroblastos. 
 
28. Un granuloma no necrotizante: 
a. Es una forma de inflamación crónica 
b. Es una forma de inflamación subaguda 
c. Es una forma de inflamación aguda 
d. Es una forma de inflamación inespecífica 
Respuesta correcta: A. Es una forma de inflamación crónica caracterizada por proliferación 
focalizada de macrófagos transformados en células epiteloides, cuyo nombre deriva de su 
parecido con las células epiteliales, sus citoplasmas son amplios, granulares, de límites poco 
precisos, próximos entre sí, sin espacio intersticial. 
 
29. ¿Cuál es el rol de los ácidos grasos libres (FFA) en la relación obesidad-diabetes tipo II?: 
a. El aumento de la aterosclerosis inducida por el aumento de FFA contribuye a la destrucción 
de los islotes de Langerhans 
b. Los FFA actúan como “adipoquinas” que promueven hiperglucemia y inflamación 
c. La acumulación dhe metabolitos tóxicos de los FFA inhibe la señalización de los 
receptores ligados a quinasas de tirosina 
d. Los FFA se depositan en la matriz mesangial glomerular contribuyendo a formar los nódulos 
de Kimmelstiel-Wilson 
Respuesta correcta: C. Los FFA actúan inhibiendo la señalización de los receptores de insulina, 
como forma principal de inducir la resistencia a la insulina. Los FFA no aumentan el riesgo 
aterosclerótico significativamente y tampoco contribuyen de esa forma a la destrucción de los 
islotes. Las adipoquinas son sustancias distintas a los FFA. Los FFA no se depositan en la 
matriz mesangial. 
 
124
30. La siguiente imagen representa un corte histológico teñido con PAS de un riñón con 
diabetes mellitus. La flecha señala una arteriola con la la pared engrosada. ¿A qué se debe 
dicho aspecto morfológico? 
a. Depósitos de inmunocomplejos y proteínas 
b. Acumulación de lípidos y proteínas 
c. Acumulación de hidratos de carbono 
d. Depósitos de hidratos de carbono y proteínas 
 
Respuesta correcta: B. El aumento patológico de la permeabilidad facilita la salida de 
sustancias como lípidos y proteínas que se depositan en la pared del vaso. Los depósitos de 
inmunocomplejos son característicos de enfermedades autoinmunes. Los hidratos de carbono 
en el riñón diabético se depositan en la matriz mesangial y en las membranas basales. 
 
31. ¿Por qué algunos individuos obesos presentan un riesgo de diabetes mucho mayor 
comparado a otros, en base a su distribución del tejido adiposo? 
a. La obesidad periférica de ciertos individuos los predispone a un mayor riesgo cardiovascular 
lo cual a su vez aumenta el riesgo de desarrollo de diabetes tipo II 
b. El tejido adiposo visceral es comparativamente más lipolítico, lo cual en última 
instancia contribuye a aumentar la resistencia a la insulina 
c. La distribución ginecoide (en forma de pera) del tejido adiposo suele corresponderse con un 
mayor riesgo de complicaciones, incluida la diabetes, cuando se la compara con la distribución 
androide (en forma de manzana) 
d. El patrón de distribución subcutáneo se asocia a una mayor secreción de adipoquinas como 
la adiponectina que contribuyen a la insulinorresistencia 
125
Respuesta correcta: B. El tejido adiposo visceral libera más ácidos grasos libres a la circulación 
lo cual contribuye a aumentar la insulinorresistencia. Todas las otras descripciones sugieren 
que la distribución periférica del tejido adiposo es la más nociva, pero la realidad es a la 
inversa. 
 
32. Un hombre de 65 años presenta dolor abdominal crónico y acude al hospital. En la 
exploración manifiesta pigmentación cutánea, aumento del perímetro abdominal, los estudios 
revelan hepatomegalia y niveles elevados de hierro y glucosa plasmáticos La siguiente imagen 
macroscópica representa el aspecto del hígado del paciente. ¿Cuál de las siguientes opciones 
describe mejor la patología de base? 
 
a. Deficiencia de α1-antitripsina 
b. Colangitis esclerosante primaria 
c. Infección por el virus de hepatitis E 
d. Hemocromatosis 
Respuesta correcta: D. La hemocromatosis es más frecuente en varones y en estadíos 
avanzados se manifiesta con hepatomegalia, dolor abdominal, pigmentación cutánea, 
alteraciones en la homeostasis de la glucosa o diabetes mellitus. La deficiencia de α1-
antitripsina también puede producir cirrosis, pero los niveles séricos de hierro no deberían estar 
alterados. De las diversas formas de hepatitis vírica, las causadas por el VHB o el VHC son lasque tienen más riesgo de ocasionar cirrosis. Esta complicación es infrecuente o no aparece 
nunca en relación con las infecciones por el VHA, el VHG y el VHE. En la colangitis 
esclerosante se produce fibrosis portal, pero no regeneración nodular, de forma que el hígado 
es verde y duro, y tiene un aspecto finamente granular. 
 
33. Elija la opción que mejor describa un preparado de arteriolosclerosis hiperplásica: 
a. Engrosamiento rosado homogéneo de la pared arteriolar, con aspecto de “vidrio coloreado”, 
debido a material proteináceo 
b. Engrosamiento multilaminado de la túnica media con hiperplasia de células 
musculares lisas y reduplicación de la membrana basal 
126
c. Engrosamiento fibroso de la capa íntima por hiperplasia fibrocítica, a expensas de la luz 
arteriolar, que es mayormente responsable de la esclerosis 
d. Engrosamiento de la capa media con hiperplasia de macrófagos modificados, conteniendo 
diversas vesículas fagocíticas, ocasionalmente se observa depósito de cristales de calcio 
Respuesta correcta: B. La única descripción que coincide es la opción B. La primera opción se 
correspondería con arteriolosclerosis hialina. La tercera sería similar (si bien no técnicamente 
correcta) a una arteriolosclerosis por hipertensión pulmonar. La cuarta se asemeja 
(nuevamente sin ser una descripción del todo correcta) a una placa de ateroma. 
 
34. Elija la opción correcta sobre hemostasia: 
a. La trombomodulina es una proteína asociada a la membrana endotelial que presenta efectos 
antiagregantes impidiendo que las moléculas se unan a la matriz extracelular en condiciones 
normales. 
b. Las lesiones endoteliales exponen la matriz extracelular y las plaquetas se unen a 
ésta, principalmente, por medio del factor Von Willebrand 
c. La lesión endotelial expone la matriz extracelular y las plaquetas se unen principalmente al 
colágeno, de manera directa, y esa unión es suficiente para vencer la fuerza del flujo 
sanguíneo. 
d. La contracción del tapón plaquetario ocurre por acción de fibroblastos que se intercalan con 
las plaquetas permitiendo la fusión irreversible de las mismas originando el tapón hemostático 
definitivo. 
Respuesta correcta: B. Las plaquetas se unen a la matriz extracelular, en gran parte, por medio 
del factor de Von Willebrand que funciona como un puente entre los receptores de la superficie 
plaquetaria GpIb y el colágeno expuesto. También se unen a otros elementos de la MEC pero 
la unión con vWF y GpIb son necesarias para vencer la fuerzas del flujo. La trombomudulina 
tiene efectos anticoagulantes. La contracción del tapón plaquetario se da por acción del 
citoesqueleto de las plaquetas, no hay fibroblastos presentes en el tapón. 
 
 
 
 
 
 
 
 
 
127
35. La lesión que se observa en la siguiente imagen probablemente corresponda a: 
 
 
a. Un trombo primario en la vasculatura arterial bronquial 
b. Un trombo primario en la vasculatura arterial pulmonar 
c. Un tromboembolismo pulmonar de origen venoso 
d. Un accidente de placa en el circuito derecho 
Respuesta correcta: La imagen muestra un trombo-émbolo de origen venoso en la vasculatura 
arterial pulmonar. Se observa que la lesión no está fuertemente adherida a las paredes, lo cual 
sugiere que es un émbolo. Además, al ser vasculatura pulmonar, lo más probable sería el 
diagnóstico de émbolo incluso sin observar las características de la lesión. 
 
36. Marcar la opción correcta sobre trombosis 
a. El infarto agudo provoca alteraciones en el flujo que favorecen la formación de 
trombos. 
b. Los trombos arteriales pueden recanalizar mientras que los venosos no. 
c. Los trombos fragmentados de la TVP producen embolismo pulmonar que casi siempre se 
manifiesta clínicamente 
d. Los trombos arteriales y venosos pueden ser diferenciados de los coágulos post mortem por 
la presencia de las líneas de Zahn 
Respuesta correcta: A. El infarto provoca lesión del endocardio, que, en este caso, actúa como 
un endotelio. Además, la ausencia de contracción del área infartada provoca alteraciones en el 
flujo. Tanto el daño endocárdico como el cambio en el flujo favorecen la formación de trombos. 
Tanto los trombos venosos como los arteriales pueden recanalizar. La mayor parte de los 
émbolos pulmonares no producen clínica, porque son pequeños. Con el tiempo se organizan y 
128
se incorporan a la pared vascular formando una red fibrosa y delicada. Las líneas de Zahn 
pueden ser observadas en los trombos arteriales y en los coágulos post mortem pero no en los 
trombos venosos. 
 
37. Con respecto a la glomeruloesclerosis diabética, marque la opción correcta: 
a. La primera alteración morfológica es el aumento de tamaño del glomérulo. 
b. La primera alteración morfológica es el engrosamiento de la membrana basal 
c. La glomeruloesclerosis difusa aparece frecuentemente a los 6 meses de haberse 
manifestado la enfermedad. 
d. Es poco frecuente que se realicen depósitos hialinos en etapas precoces de la 
glomeruloesclerosis 
Respuesta correcta: La primera alteración morfológica es el aumento de tamaño del glomérulo 
y luego ocurre el engrosamiento de la membrana basal. La glomeruloesclerosis difusa aparece 
frecuentemente a los 5-6 años de haberse manifestado la enfermedad. Finalmente, en 
cualquiera de las formas de compromiso glomerular pueden presentarse depósitos hialinos 
olipohialinos con complejos inmunes. 
 
38. La presencia de linfocitosis se asocia generalmente a: 
a. Infecciones parasitarias agudas 
b. Infecciones por rickettsias 
c. Infecciones virales 
d. Desviación a la izquierda 
Respuesta correcta: c. Las infecciones virales suelen condicionar un aumento absoluto del 
número de linfocitos 
 
39. Una paciente de sexo femenino de 68 años, refiere fatiga de 8 meses de evolución. Los 
resultados de laboratorio reflejan un valor de creatinina 4.6 mg/dL y de urea de 44 mg/dL. Se le 
realiza una ecografía abdominal que muestra riñones simétricos pero disminuidos de tamaño. 
Se le realiza una biopsia renal y la imagen microscópica de los riñones muestra arteriolas con 
proliferación hialina marcada, engrosamiento de la pared, indicativo de arterioesclerosis hialina. 
Estos hallazgos son compatibles con: 
a) Sífilis 
b) Diabetes mellitus con hipertensión arterial 
c) Cáncer 
d) Hemocromatosis 
129
Respuesta correcta: B. La descripción de una arteriola con proliferación hialina y marcada 
engrosamiento de la pared son hallazgos indicativos de arterioesclerosis hialina. La debilitación 
que acompaña al cáncer tiende a disminuir la enfermedad vascular causada por aterosclerosis. 
La sífilis puede causar una vasculitis que afecta la vasa vasorum, principalmente de la aorta. 
 
40. Marcar la opción CORRECTA 
a) Los exudados fibrinosos son característicos de las cavidades corporales y con el tiempo son 
eliminados por los neutrófilos circundantes 
b) La inflamación específica es aquella que no permite reconocer un agente o una patogenia 
determinada. 
c) La ulceración es un tipo de inflamación que puede o no comprometer la membrana basal 
según el tejido en el que se encuentre. 
d) Si el proceso inflamatorio es defectuoso puede retrasar la cicatrización de las heridas. 
Respuesta correcta D. La respuesta correcta es la D. El proceso inflamatorio es fundamental 
para eliminar los tejidos dañados y los restos celulares, y aporta el estímulo necesario para 
estimular el proceso de reparación, una alteración de este proceso puede retrasar la 
cicatrización. Los exudados fibrinosos son característicos de las cavidades corporales y con el 
tiempo son eliminados por los macrófagos. La inflamación INESPECÍFICA no permite 
reconocer al agente causal o a la patogenia. La ulceración no compromete la membrana basal, 
independientemente del tejido en el que se presente. 
 
130
SEGUNDO PARCIAL PATOLOGIA 1 
1. Paciente de sexo femenino, de 22 años, consulta por presentar dolor pélvico de 3 
meses deevolución. Al examen físico se palpa una masa anexial izquierda. Se realiza 
una ecografía que muestra masa quística ovárica de 7.5 cm de diámetro. Se realiza 
extirpación quirúrgica de la masa. Al analizarla presenta superficie externa lisa sin 
adherencias a estructuras pélvicas circundantes. Microscópicamente, el revestimiento 
del quiste consiste en un epitelio simple con cilios que puede ser columnar o plano. Se 
le hacen pruebas de marcadores tumorales y dan negativos. ¿Cuál de los siguientes 
diagnósticos es más probable? 
Cistoadenoma 
Hamartoma 
Rabdomiosarcoma 
Teratoma 
Rta: Por edad, localización, morfología quística y por presentar histológicamente componentes 
que describen un tumor benigno epitelial en ausencia de marcadores tumorales positivos. Los 
rabdomiosarcomas son tumores malignos del músculo esquelético, presentan morfología de 
tumores malignos (pleomorfismo, mitosis, etc.). Los hamartomas con proliferaciones de tejidos 
propios del órgano en el que se encuentran). Los teratomas presentan histológicamente 
componentes maduros derivados de las tres capas germinales, (Robbins pág 267 de la 9ª 
edición) 
 
2. Paciente de sexo masculino, de 62 años consulta por manifestar una sensación de 
inflamación en el cuello. Al evaluarlo se constata un área fija y firme de 3 x 5 cm en el 
lado izquierdo del cuello. Se realiza una tomografía axial computada que muestra la 
presencia de una masa sólida y bien circunscrita en el lóbulo tiroideo izquierdo. Se 
realiza una biopsia de la lesión que a su observación histológica muestra la presencia de 
focos papilares ramificados con un tallo fibrovascular cubierto con una o varias capas 
de células cúbicas que se encuentran ordenadas, uniformes y se asemejan al epitelio de 
origen ¿Cuál de los siguientes términos es el que mejor describe a esta neoplasia? 
Neoplasia anaplásica 
Neoplasia bien diferenciada 
Neoplasia displásica 
Neoplasia con metaplasia 
Rta: La descripción histológica es de un tumor bien diferenciado, donde las células tumorales 
aún asemejan tanto en morfología como en funcionalidad al tejido del cual se originaron. La 
anaplasia describe una morfología celular tumoral en su grado máximo de indiferenciación, y 
cuenta con las características de células pleomórficas, indiferenciadas, con abundantes mitosis 
atípicas. La displasia alude a cambios morfológicos donde puede comparase con el tejido en 
cual se originó el tumor, por ejemplo, en un epitelio con displasia mencionaríamos el aumento 
131
de la basofilia, la pérdida de la polaridad. En la metaplasia hay sustitución de un tipo celular 
maduro por otro también maduro, pero no los cambios observados en este caso. (Robbins pag 
268 – 9ª edición) 
 
3. Un hombre de 52 años asiste a consultorio de dermatología por presentar las lesiones 
que se muestran en la imagen. Las mismas tienen una evolución de 3 años 
aproximadamente. Las lesiones son maculares eritematosas con centro hipocrómicos e 
hipoestésicas. Al evaluarlo, se palpa engrosamiento del nervio cubital izquierdo, 
constatable a nivel del canal olecraneano. Luego de interrogarlo, se recaban datos que el 
paciente vive en estado de regular hacinamiento y tienen bajos recursos que se reflejan 
en una nutrición inadecuada. Se toma biopsia para confirmar diagnóstico de lepra ¿En 
qué forma pudo haber sido contraída esta enfermedad? 
 
Por mantener relaciones sexuales sin protección 
Por contacto estrecho con secreciones respiratorias de un paciente bacilífero. 
Por contacto ocasional con un paciente con lepra 
Por comer carne de cerdo cruda o mal cocida 
 
Rta: Las lesiones que presenta el paciente, sumadas al engrosamiento del nervio cubital, el 
tiempo de evolución y el estado de regular nutrición que tiene una implicancia en el sistema 
inmune, son todos factores que llevan a tener a la lepra como principal sospecha diagnóstica. 
Por lo cual se tomó biopsia a fin de confirmarlo. En este contexto, se sabe que la vía de 
trasmisión de esta enfermedad es por medio de la exposición a secreciones respiratorias de 
132
una paciente bacilífero y no por otra vía de las que figuran en las opciones. Este hecho se ve 
propiciado por el estado de hacinamiento en el que vive el paciente. (Clase 21 – Lepra I – Med. 
Silvia Saucedo). 
 
Un hombre de 52 años asiste a consultorio 4. Llevan a consulta a un niño de 2 años y 3 
meses a fin de completar su ficha médica para ingreso al jardín de infantes. Al evaluarlo, 
llama la atención un arqueamiento de convexidad anterior en ambas piernas y lesiones 
en piel. También se constatan deformidades dentales y el niño no responde a órdenes 
verbales, lo que hace sospechar posible sordera. Tras interrogar a los padres, ellos 
refieren que se trasladaron desde un área rural recientemente, durante el embarazo su 
mamá no acudió a controles ni tampoco el niño hasta ese momento. ¿Cuál es su 
principal sospecha diagnóstica? 
Lepra lepromatosa 
Toxoplasmosis congénita 
Chagas congénito 
Sífilis congénita 
Rta: El caso relatado cuenta con las manifestaciones clínicas y antecedentes de una sífilis 
congénita tardía. La lepra lepromatosa se manifiesta con lesiones subcutáneas que pueden 
producir deformidad sobre todo en rostro pero no altera la audición ni la dentadura ni desvía la 
tibia. La toxoplasmosis congénita se manifiesta con hidrocefalia, macro o microcefalia, 
encefalitis, y lesiones oculares: coriorretinitis y ceguera, además linfadenopatías. Y el Chagas 
congénito suele ser asíntomático y en caso contrario se manifiesta en forma más temprana. 
(Material complementario aportado por la cátedra) 
 
5. Se hizo un relevamiento epidemiológico en donde se reclutaron datos de pacientes 
con patología intersticial pulmonar. De entre ellos se seleccionaron aquellos que fueron 
diagnosticados con algún tipo de neumoconiosis. ¿Qué característica histológica 
pulmonar presentaron en común aquellos que fueron diagnosticados con asbestosis? 
Áreas de enfisema, intercaladas con nódulos de centro necrótico y tejido conectivo denso 
periférico, predominantemente en los lóbulos superiores 
Reacción inflamatoria crónica con presencia de granulomas 
Múltiples placas de adherencia pleural y como hallazgo tumor maligno del sistema 
digestivo 
Áreas de enfisema y macrófagos con pigmento negruzco en su citoplasma 
Rta: Dentro de las neumoconiosis, la asbestosis da placas de adherencia pleural y puede 
producir carcinoma de colon. La silicosis cursa con formación de nódulos como los descriptos y 
afecta áreas superiores de los pulmones. La beriliosis es la única que da una reacción 
granulomatosa. y la neumoconiosis de los trabajadores del carbón se manifiesta con áreas de 
enfisema y macrófagos con pigmento negruzco en su citoplasma. 
133
6. La imagen corresponde a un corte histológico de riñón teñido con hematoxilina y 
eosina donde se puede observar relativa conservación de las estructuras glomerulares 
con severa afectación del tejido túbulo-intersticial con desaparición de túbulos y un 
intenso infiltrado linfoplasmocitario; formación de estructuras redondeadas constituidas 
por una corona linfocitaria que rodea a numerosas células epitelioides ¿Cuál de las 
siguientes opciones representa mejor el diagnóstico presuntivo? 
 
Nefropatía lúpica 
Rechazo agudo de transplante 
Pielonefritis tuberculosa 
Pielonefritis aguda bacteriana 
Rta: La imagen corresponde a un riñón con pielonefritis tuberculosa, se observa la presencia de 
una respuesta inflamatoria crónica granulomatosa. En la nefropatía lúpica, en general hay 
afectación glomerular y no hay formación de granulomas al igual que en el rechazo de 
trasplante donde esperamos encontrar extensas zonas de necrosis, afectación glomerular, 
necrosis fibrinoides, etc. La pielonefritis aguda bacteriana predomina el infiltrado de neutrófilos, 
no encontraríamos una respuesta granulomatosa crónica. Fuente: Robbins Foto: CD interactivo 
7. En un corte histológico de pulmón con sarcoidosis ¿Cuál de las siguientesopciones 
describe mejor las características histológicas que espera observar en esta patología? 
Nódulos de fibrosis, con presencia de macrófagos activados y abundantes fibroblastos, donde 
se pueden evidenciar cristales que muestran birrefringencia 
Granulomas no caseificantes, formados células epitelioides, eventualmente con 
presencia de cuerpos asteroides y cuerpos de Schaumann 
134
Granulomas caseificantes, formados células epitelioides, eventualmente con presencia en 
cuerpos de formas estrelladas en las células gigantes multinucleadas 
Focos de necrosis caseosa, frecuentemente con presencia de células gigantes e infiltrado 
linfocitario abundante. 
Rta: La sarcoidosis afecta múltiples órganos. Los tejidos afectados evidencian granulomas de 
células epitelioides, puede haber células gigantes multinucleadas de tipo Langhans o de tipo 
cuerpo extraño y no se demuestra necrosis central. Cuando la enfermedad tiene años de 
evolución los granulomas suelen estar delimitados por una banda fibrosa o ser reemplazados 
por cicatrices fibrosas. Como hallazgos distintivos, propios de los granulomas de la sarcoidosis, 
pueden encontrarse: los cuerpos asteroides (formas estrelladas en las células gigantes 
multinucleadas) y los cuerpos de Schauman (imágenes nodulares laminares de calcio y 
proteínas). En la periferia de los granulomas se ubican los linfocitos y algunos macrófagos. No 
se observan cristales ni tejido neoplásico. Generalmente los granulomas no presentan necrosis 
caseosa. Fuente: Material complementario. 
8. Un paciente de 5 años presenta irritabilidad, trastornos de la conducta y anemia 
crónica desde hace varios meses. Al no poder hallar la causa de la anemia, se realiza 
una punción-aspiración de médula ósea, donde con una tinción de azul de prusia se 
observan las siguientes alteraciones en los eritroblastos. ¿Cuál de las siguientes 
descripciones se corresponde con la imagen?: 
 
 Acumulaciones de hierro en mitocondrias 
Cuerpos ferruginosos 
Puntillado basófilo por acumulación de ARN ribosomal 
Cuerpos de Howell-Jolly 
Rta: La tinción marca acumulaciones de hierro como las de este paciente que está sufriendo de 
saturnismo. El saturnismo a menudo pasa desapercibido en pacientes infantiles que se 
exponen sin saberlo a fuentes de plomo como son algunas pinturas de juguetes o 
establecimientos, o aguas y suelos contaminados. Los cuerpos ferruginosos son lesiones 
135
típicas de la asbestosis. El puntillado basófilo puede ocurrir en contexto de saturnismo, pero no 
se observaría en esta tinción de azul de prusia, sino con alguna tinción básica. Los cuerpos de 
Howell-Jolly son remanentes nucleares que a veces pueden hallarse en los eritrocitos de 
pacientes asplénicos. 
9. Marcar la opción CORRECTA sobre trastornos genéticos 
La enfermedad de Huntington es un trastorno hereditario y congénito 
Múltiples mutaciones a lo largo del ADN pueden tener los mismos efectos fenotípicos 
que la mutación de un gen pleiotrópico 
Todos los individuos que presenten las mismas mutaciones genéticas manifiestan el mismo 
fenotipo de la enfermedad 
Las mujeres portadoras de mutaciones ligadas al cromosoma X no manifiestan la enfermedad 
debido a que presentan un alelo sano que siempre se expresa por sobre el enfermo 
Rta: La heterogeneidad genética permite que varias mutaciones en el genoma puedan generar 
el mismo fenotipo que la única mutación de un gen pleiotrópico. La enfermedad de Huntington 
es un trastorno hereditario pero se manifiesta a edades avanzadas de la vida por lo tanto no es 
congénita. La variabilidad genética dentro de la población permite que dos personas con la 
misma alteración genética puedan manifestar fenotipos distintos de la enfermedad. Las mujeres 
portadoras de mutaciones ligadas a X pueden manifestar la enfermedad por silenciamiento del 
alelo sano. Fuente: Teórico genética. 
10. Elija la respuesta que mejor defina a un protooncogén: 
Es la forma normal (“fisiológica”) de un gen que normalmente promueve el crecimiento 
celular 
Es la forma alterada (“patológica”) de un gen que normalmente promueve el avance 
crecimiento celular 
Es la forma normal (“fisiológica”) de un gen que normalmente inhibe el crecimiento celular 
Es la forma alterada (“patológica”) de un gen que normalmente inhibe el crecimiento celular 
Rta: Los protooncogenes son los alelos normales de genes que codifican para diversas 
proteínas que promueven el avance del ciclo celular, la replicación del ADN y de otros 
componentes celulares necesarios para el crecimiento, desarrollo y división celular. Los 
oncogenes son alelos mutados de estos genes que por diversos motivos culminan en una 
actividad aumentada de su producto de traducción. Ya sea por codificar versiones 
constitutivamente activas o por trastornos en la regulación que lleven a la sobreexpresión de la 
proteína, entre otros mecanismos 
11. Indique la afirmación correcta sobre el Síndrome de Inmunodeficiencia Adquirida 
(SIDA): 
La cantidad de virus al final de la fase aguda refleja el equilibrio alcanzado entre el virus y la 
respuesta del anfitrión y es un factor predictivo de la velocidad de disminución de los linfocitos 
T CD4+. 
136
Aparecen infecciones oportunistas graves, neoplasias secundarias o enfermedad 
neurológica clínica después de un período variable. 
Se caracteriza por organización de las defensas del anfitrión, aumento considerable de la 
viremia y enfermedad clínica grave y potencialmente mortal. 
Son síntomas inespecíficos como faringitis, mialgias, fiebre, pérdida de peso y astenia. Algunos 
pacientes pueden presentar además exantema, adenopatía vírica, vómitos o diarrea. 
Rta: En la fase final, el paciente típicamente consulta con fiebre prolongada (mayor a un mes), 
astenia, pérdida de peso y diarrea. Después de un período variable, aparecen infecciones 
oportunistas graves, neoplasias secundarias o enfermedad neurológica clínica y se dice que el 
paciente ya presenta SIDA. La cantidad de virus al final de la fase aguda es previa al SIDA. La 
presencia de SIDA se correlaciona con la presencia e produce por la DESORGANIZACION de 
las defensas del anfitrión, aumento considerable de la viremia y enfermedad clínica grave y 
potencialmente mortal. Finalmente el síndrome retrovírico agudo, que es la manifestación 
clínica de la propagación inicial del virus y de la respuesta del anfitrión, no es característico de 
SIDA Fuente: Material complementario inmunopatología. 
12 ¿Qué opción cumple con los criterios necesarios, según el grupo de consenso 
europeo, para que un paciente sea diagnosticado con síndrome Sjögren?: 
Síntomas oculares: sensación de ojo seco por más de 2 meses; síntomas orales: sensación de 
boca seca, hinchazón de glándula tiroidea y/o dificultad para tragar; signos oculares: test de 
Schirmer y rosa de bengala positivos; positividad de autoanticuerpos: Ro o La o ANA o FR. 
 Signos oculares: test de Schirmer y rosa de bengala positivos; compromiso objetivo de 
glándulas salivales: sialografía parotídea o sialometría sin estimulación menor a 20 mm en 15 
min; síntomas orales: sensación de boca seca, hinchazón de glándula parótidas y/o dificultad 
para tragar; hallazgos histológicos en biopsia de glándula salivar mayor: presencia de más de 
un foco de células mononucleares por 4 mm2 de tejido glandular. 
Positividad de autoanticuerpos: Ro o La o ANA o FR; hallazgos histológicos en biopsia de 
glándula salivar menor: presencia de más de un foco de células mononucleares por 4 mm2 de 
tejido glandular; síntomas orales: sensación de boca seca, hinchazón de glándula parótidas y/o 
dificultad para tragar. 
Compromiso objetivo de glándulas salivales: sialografía parotídea o sialometría sin 
estimulación menor a 10 mm en 15 min; síntomas orales: sensación de boca seca, 
hinchazón de glándula parótidas y/o dificultad para tragar; hallazgos histológicos en 
biopsia de glándula salivar menor: presencia de más de un foco de células 
mononucleares por 4 mm2 de tejido glandular; síntomasoculares: sensación de ojo 
seco por más de 3 meses. 
 
Rta: Los criterios de clasificación diagnóstica de la enfermedad más utilizados en la actualidad 
son los criterios del grupo de consenso europeo que determinó que para que un paciente sea 
diagnosticado con SS debe cumplir con 4 de 6 de los siguientes criterios: 1) síntomas oculares: 
sensación de ojo seco por más de 3 meses; 2) síntomas orales: sensación de boca seca, 
hinchazón de glándula parótidas y/o dificultad para tragar; 3) signos oculares: test de Schirmer 
137
y rosa de bengala positivos; 4) hallazgos histológicos en biopsia de glándula salivar menor: 
presencia de más de un foco de células mononucleares por 4 mm2 de tejido glandular; 5) 
compromiso objetivo de glándulas salivales: sialografía parotídea o sialometría sin estimulación 
menor a 10 mm en 15 min y; 6) positividad de autoanticuerpos: Ro o La o ANA o FR. Los 
cirterios que se mencionan a continuacion son sintomas erroneos y estan presentes en otras 
dos opciones: “Síntomas oculares: sensación de ojo seco por más de 2 meses; síntomas 
orales: sensación de boca seca, hinchazón de glándula tiroidea y/o dificultad para tragar” y 
“compromiso objetivo de glándulas salivales: sialografía parotídea o sialometría sin 
estimulación menor a 20 mm en 15 min; …hallazgos histológicos en biopsia de glándula salivar 
mayor: presencia de más de un foco de células mononucleares por 4 mm2 de tejido glandular”. 
La opcion “ Positividad de autoanticuerpos: Ro o La o ANA o FR; hallazgos histológicos en 
biopsia de glándula salivar menor: presencia de más de un foco de células mononucleares por 
4 mm2 de tejido glandular; síntomas orales: sensación de boca seca, hinchazón de glándula 
parótidas y/o dificultad para tragar” es incorrecta porque sólo tiene 3 criterios y para 
diagnosticar SS se necesitan al menos 4 de los 6 criterios. 
Fuente: Material complementario inmunopatología. 
13. Marque la opción correcta para las micosis: 
La coccidioidomicosis es una enfermedad granulomatosa en el pulmón que puede progresar a 
la forma diseminada, con compromiso cutáneo, articulaciones, aparato digestivo, hígado, bazo 
y sistema nervioso central. 
La candidiasis es una infección aguda o crónica, que afecta la piel, las mucosas, los tallos 
pilosos, las uñas y puede afectar órganos parenquimatosos. 
El hongo que provoca la esporotricosis penetra en la piel por una lesión traumática y 
genera un chancro que, dependiendo de la respuesta inmune del huésped, se disemina 
por los linfáticos regionales y causa lesiones nodulares cutáneas. 
Los micetomas se asocian frecuentemente a deformidad de las extremidades superiores, por 
inflamación, nódulos, abscesos, fístulas y fibrosis, que les dan a las zonas afectadas, 
consistencia firme. 
 
Rta: La esporotricosis se la considera una enfermedad ocupacional, de los jardineros, floristas, 
alfareros, carpinteros, agricultores, horticultores. El hongo se encuentra en la tierra y en 
material vegetal fresco o seco, como la paja, astillas, espinas, juncos, musgos, pasto y flores. 
El hongo penetra en la piel por una lesión traumática y genera un chancro esporotricósico que, 
dependiendo de la respuesta inmune del huésped, se disemina por los linfáticos regionales y 
causa lesiones nodulares cutáneas. La opcion de la coccidioidomicosis es incorrecta porque en 
esta enfermedad la infección pulmonar aguda suele resolverse espontáneamente o puede 
progresar a la forma diseminada, con compromiso cutáneo, cavitaciones pulmonares, lesiones 
osteolíticas, compromiso del sistema nervioso central y afectación ganglionar. La de la 
candidiasis es incorrecta porque son infecciones agudas o crónicas, que afectan la piel, las 
mucosas, las uñas y pueden afectar órganos parenquimatosos, pero NO afectan los tallos 
pilosos. La respuesta de los micetomas es incorrecta porque estos se presentan clínicamente 
con deformidad de las extremidades inferiores, particularmente del o los pies, por inflamación, 
138
nódulos, abscesos, fístulas y fibrosis, que les dan a las zonas afectadas, consistencia firme. No 
son frecuentes en miembros superiores 
Fuente: Material complementario Patología Infecciosa. 
14. Marque la opción correcta para patologías genéticas y del desarrollo: 
En la hipercolesterolemia familiar, los heterocigotos tienen defectos en el transporte de LDL 
que produce alteraciones en el metabolismo por vías dependientes del receptor de alta afinidad 
para LDL y se produce una disminución del 50% de las concentraciones plasmáticas de LDL. 
En el síndrome de Turner, la ausencia del segundo cromosoma X que condiciona una pérdida 
acelerada de los ovocitos durante la embriogenia hace que los ovarios queden convertidos en 
hebras fibrosas atróficas sin óvulos ni folículos antes del nacimiento. 
Los síndromes de Ehlers-Danlos (SED) comprenden un grupo de trastornos heterogéneos a 
nivel clínico y genético. El SED de tipo vascular se debe a alteraciones del colágeno tipo II. 
El fenotipo característico en el síndrome del X frágil incluye macroorquidia, orejas 
grandes evertidas, cara larga con mandíbula grande y retraso mental con CI entre 20 y 60 
en los hombres afectados. 
 
Rta: En el síndrome del cromosoma X frágil, los hombres afectados muestran retraso mental 
con un CI entre 20 y 60. Expresan un fenotipo característico que incluye cara larga con 
mandíbula grande, orejas grandes evertidas y testículos grandes (macroorquidia). La de la 
hipercolesterolemia familiar es incorrecta porque los heterocigotos con hipercolesterolemia 
familiar sólo tienen un 50% del número normal de receptores de alta afinidad para LDL, porque 
sólo tienen un gen normal. Como consecuencia de este defecto del transporte, se producen 
alteraciones del catabolismo de LDL por vías dependientes del receptor y se produce un 
incremento de aproximadamente al doble de las concentraciones plasmáticas de LDL. La 
respuesta respecto al síndrome de Turner es incorrecta porque los ovarios fetales se 
desarrollan con normalidad al principio de la embriogenia, pero la ausencia del segundo 
cromosoma X condiciona una pérdida acelerada de ovocitos, que llega a ser completa a los 2 
años de edad. En cierto sentido, la menopausia se produce antes de la menarquia, y los 
ovarios queden convertidos en hebras fibrosas atróficas sin óvulos ni folículos. La respuesta del 
síndrome de Ehlers-Danlos es incorrecta el SED de tipo vascular se debe a alteraciones del 
colágeno tipo III. 
Fuente: Robbins 9na edición, Cap. 5. 
 
15. Marque la opción correcta para patologías ambientales: 
El plomo es un metal fácilmente absorbible que se une a grupos sulfhidrilos en las proteínas. La 
mayor parte del plomo absorbido (80-85%) se incorpora en el torrente sanguíneo, pelo y uñas. 
La cocaína puede precipitar arritmias mortales al intensificar la actividad simpática, así 
como alterar el transporte normal de iones en el miocardio. Estos efectos no están 
relacionados necesariamente con la dosis. 
139
La radiación no produce cambios estructurales en los cromosomas, pero el uso mitótico a 
menudo se torna desordenado, pero no se registran poliploidía y aneuploidía. 
 El tabaquismo se asocia al desarrollo de ateroesclerosis e infarto de miocardio debido a una 
disminución de la demanda de oxígeno y un aumento del umbral para fibrilación ventricular. 
 
Rta: La cocaína puede precipitar arritmias mortales al intensificar la actividad simpática, así 
como alterar el transporte normal de iones (K+, Ca+2, Na+) en el miocardio. Estos efectos 
tóxicos no están relacionados necesariamente con la dosis, y puede ocurrir un suceso mortal 
en un consumidor que la utiliza por primera vez con la que sería una dosis típica que altera el 
ánimo. La respuesta del plomo es incorrecta porque la mayor parte del plomo absorbido (80-
85%) se incorpora en al hueso y los dientes en desarrollo, donde compite con el calcio. La 
respuesta de la radiacion es incorrecta porque las células que sobreviven al daño de la energía 
radiantemuestran una amplia variedad de cambios estructurales en los cromosomas, 
relacionados con discontinuidades en la doble cadena de ADN, como deleciones, 
traslocaciones y fragmentación. El uso mitótico a menudo se torna desordenado, y SI PUEDEN 
REGISTRARSE poliploidía y aneuploidía. La respuesta del tabaquismo es incorrecta porque 
fumar cigarrillos está fuertemente ligado al desarrollo de ateroesclerosis y su principal 
complicación, el infarto de miocardio. Los mecanismos causales se relacionan con varios 
factores, incluyendo el aumento de la agregación plaquetaria, disminución del aporte de 
oxígeno al miocardio acompañada de un aumento de la demanda de oxígeno, y una 
disminución del umbral para fibrilación ventricular. 
Fuente: Robbins 9na edición, Cap. 9. 
 
16. Corte histológico coloreado con la técnica de hematoxilina eosina. En el preparado 
se observan epitelio pavimentoso estratificado, fibras musculares y acinos mucinosos y 
serosos. En un sector se puede identificar una proliferación de células neoplásicas que 
se disponen formando nidos infiltrando por debajo del epitelio. Marque la opción 
correcta: 
 
 
Se pueden observar células con marcada anisocitosis, anisocariosis, aumento del 
tamaño del núcleo, mitosis atípicas, nucléolos prominentes. En la periferia de estos 
nidos se observa reacción desmoplásica e infiltrado inflamatorio linfoplasmocitario. 
140
El tumor tiene un sector constituido por células musculares dispuestas de manera 
arremolinada, cortadas de manera transversal y longitudinal, similares morfológicamente a las 
células musculares normales. 
Los acinos tienen células atípicas que se disponen formando nidos que invaden la pared del 
tejido normal. A mayor aumento las células neoplásicas presentan cromatina grumosa, y otras 
hipercromasia, núcleos aumentados de tamaño y figuras de mitosis. 
Se identifica una proliferación constituida por células con distinto grado de diferenciación y 
pleomorfismo y algunas áreas de necrosis. Alrededor de los acinos, se observa tejido conectivo 
denso e infiltrado inflamatorio linfoplasmocitario. 
 
Rta: Corte histológico coloreado con la técnica de hematoxilina eosina. En el preparado se 
observan epitelio pavimentoso estratificado, fibras musculares y acinos mucinosos y serosos. 
En un sector se puede identificar una proliferación de células neoplásicas que se disponen 
formando nidos infiltrando por debajo del epitelio. A mayor aumento se pueden observar células 
con marcada anisocitosis, anisocariosis, aumento del tamaño del núcleo, aumento de la 
relación núcleo/citoplasma, mitosis atípicas, nucléolos prominentes muchas de estas células 
tienen citoplasma amplio y eosinófilo. En la periferia de estos nidos se observa tejido conectivo 
denso (reacción desmoplásica) e infiltrado inflamatorio linfoplasmocitario. Las otras opciones 
corresponden a las descripciones de leiomioma y adenocarcinoma de colon. 
Fuente: TP7-Neoplasias, Carcinoma escamoso de lengua. 
17. Con respecto a la nefritis lúpica, cual de las siguientes afirmaciones NO corresponde 
a la nefritis lúpica difusa (clase IV): 
Presencia de estructuras en “asa de alambre” por depósitos de complejos inmunes a nivel 
subendotelial. 
Afectación de la mitad o más de los glomérulos. 
Presencia de semilunas celulares que llenan el espacio de Bowman. 
Esclerosis de más del 90% de los glomérulos. 
Rta: La afirmación que NO corresponde a la nefritis lúpica difusa (clase IV) es la esclerosis del 
más del 90% de los glomérulos dado que es característica de la nefritis lúpica esclerosante 
avanzada (clase VI). 
 
18. Elegir la opción que corresponda a una reacción de hipersensibilidad de tipo II: 
a. Anafilaxia 
b. Esclerosis múltiple 
c. Reacción de Arthus 
d. Enfermedad de Graves 
141
Rta: La enfermedad de Graves es producida por anticuerpos que estimulan los receptores TSH 
de las células tiroideas, un ejemplo de hipersensibilidad de tipo II. La anafilaxia es un ejemplo 
de hipersensibilidad de tipo I. La esclerosis múltiple es un ejemplo de hipersensibilidad de tipo 
IV mediada por células T. La reacción de Arthus ocurre por formación de inmunocomplejos, 
usualmente inducida experimentalmente, siendo un ejemplo clásico de hipersensibilidad de tipo 
III. 
19. ¿Cuál de las siguientes combinaciones de signos y síntomas es más probable hallar 
en un paciente que padece Lupus? 
Anemia hemolítica, pleuritis, leucopenia, anticuerpos anti-ADN de doble cadena (anti-
dsDNA) 
Sinovitis proliferativa erosiva, nódulos subcutáneos, vasculitis necrotizante, anticuerpos 
antinucleares (ANA) 
Hipertensión pulmonar, fibrosis cutánea difusa, insuficiencia renal, anticuerpos anti 
topoisomerasa I de ADN 
Queratoconjuntivitis, dispareunia, xerostomía, anticuerpos anti SS-A (Ro) 
Rta: La primera opción describe tres criterios clínicos y uno inmunológico de los designados 
hasta 2012 como criterios diagnósticos para LES. Hoy en día sin embargo es más común 
utilizar la clasificación de 2019, según los cuales este paciente también quedaría diagnosticado 
como paciente lúpico. La opción B se corresponde con algunos de los hallazgos probables en 
pacientes con artritis reumatoidea. La opción C se corresponde con algunos de los hallazgos 
probables en pacientes con esclerosis 
20. Elija la respuesta correcta sobre el patrón de diseminación miliar de la tuberculosis: 
La llegada a los órganos afectados es predominantemente por medio de la vía linfática 
 
Es la forma más frecuente de expresión de la tuberculosis primaria progresiva 
 
Puede ocurrir tanto en tuberculosis primaria progresiva como en la tuberculosis 
secundaria progresiva 
 
Se refiere a cualquier forma de tuberculosis extrapulmonar 
Rta: La diseminación miliar puede ocurrir como complicación en cualquiera de las etapas de la 
tuberculosis, si bien es más frecuente que ocurra durante la tuberculosis secundaria progresiva. 
La tuberculosis miliar pulmonar ocurre más frecuente con el egreso de los bacilos a los 
linfáticos y el reingreso al pulmón por medio del circuito venoso pulmonar. La tuberculosis miliar 
sistémica ocurre generalmente con el pasaje del bacilo al circuito arterial sistémico, donde 
podrá observarse como un patrón miliar solamente si se observan múltiples lesiones en esos 
órganos. No toda lesión extrapulmonar constituye un patrón miliar. 
21. En una autopsia de un paciente que murió por complicaciones asociadas al cáncer, 
se observa el siguiente engrosamiento generalizado de la pleura, con invasión del 
pulmón. ¿Cuál es la patología que más probablemente predispuso la formación de esta 
lesión que corresponde a una neoplasia maligna de la pleura?: 
142
 
 
 
Asbestosis 
Radioterapia 
Silicosis 
Tabaquismo 
Rta La lesión observada es un mesotelioma, que está casi exclusivamente asociado a la 
exposición a asbestos. La radioterapia puede causar fibrosis pulmonar y pleuritis, pero no es 
frecuente el desarrollo de mesotelioma. La silicosis y el tabaquismo tampoco están 
relacionadas significativamente con el desarrollo de mesotelioma. 
22. En la Esclerodermia limitada (CREST) ¿Cuál es estos anticuerpos se presenta en 
altos porcentajes? 
Anticuerpos anti-histona 
Anticuerpos anti Ro 
Anticuerpos anti La 
Anticuerpos anti-centrómero 
 
143
Rta: Anticuerpos anti-centrómero. Los anticuerpos anti-histonas están presentes en el Lupus 
eritematoso sistémico, los anticuerpos anti Ro y anti La se presentan en altos porcentajes en el 
síndrome de Sjogren. 
23. Paciente de 62 años con cardiomegalia y arritmias oriundo de la provincia de 
Santiago del Estero, se le realiza una biopsia intracardiaca y se observa un diagnostico 
compatible con enfermedad de chagas crónico. ¿Qué lesiones espera encontrar en este 
paciente? 
Edema intersticial, necrosis difusa de células miocárdicas y abundantes pseudoquistes con 
parásitos 
Infiltrado intersticial y perivascular linfoplasmocitario y monocitario, y focos aislados de 
células necróticas y fibrosis 
Necrosis difusa de célulasmiocárdicas, abundantes pseudoquistes con parásitos, trombos 
murales y dilatación aneurismática 
Edema intersticial y necrosis difusa de células miocárdicas, siendo las lesiones más notorias en 
el ápex del ventrículo derecho 
 
Rta: Es característico que la miocarditis chagásica crónica presente infiltrados intersticiales y 
perivasculares de linfocitos, células plasmáticas y monocitos, y focos dispersos de necrosis 
miocárdica y fibrosis intersticial. Por otra parte, el edema intersticial, la necrosis difusa de 
células miocárdicas y los pseudoquistes son característicos de la miocarditis aguda. 
24. Las células de Hürthle: 
Se asocian con fibrosis que sobrepasa la cápsula. 
Son características de la tiroiditis de Hashimoto cuando se asocian con una población 
linfocítica heterogénea en la punción con aguja fina. 
Son características de la tiroiditis de Hashimoto cuando se asocian con una población de 
leucocitos en la punción con aguja fina. 
Células parenquimatosas que también se observan en la enfermedad de Graves. 
Rta: En muestras de biopsia con aguja fina la presencia de células de Hürthle y de una 
población una población linfoicítica heterogénea es característica de la tiroiditis de Hashimoto. 
Son células epiteliales, pero no sintetizan colágeno ni reemplazan al parénquima normal. La 
fibrosis que sobrepasa la cápsula es característica de la tiroiditis de Riedel. 
25. ¿Cuál de las siguientes es una característica del síndrome de Down? 
Mas del 80% de los afectados muere antes de los 30 años de edad. 
Casi todos los que superan los 40 años de edad desarrollan alteraciones características 
de la enfermedad de Alzheimer. 
Se destacan las malformaciones congénitas cardíacas, alteración de la función de linfocitos T e 
hipoplasia tímica. 
144
Se asocia con un riesgo mayor (10 a 20 veces) de sufrir una leucemia crónica. 
Rta: Los pacientes mayores de 40 años sufren cambios neuropatológicos característicos de 
enfermedad de Alzheimer. La edad media de muerte es de 47 años. La hipoplasia tímica es 
característica del síndrome de Di George. Se asocia con un riesgo mayor (10 a 20 veces) de 
sufrir una leucemia aguda. 
26. La estadificación de una neoplasia: 
Está basada en el aspecto citológico y tiene gran utilidad clínica. 
Tiene mayor utilidad clínica que la gradación. 
Se basa en que la diferenciación y el comportamiento de un tumor guardan relación entre sí. 
Permite orientar la búsqueda de metástasis. 
Rta: La estadificación se establece mediante técnicas de imagen y exploración quirúrgica, y 
reviste mayor utilidad clínica que la gradación. Considera la presencia o no de metástasis, no 
permite orientar su búsqueda. 
27. Con respecto a la displasia: 
Es siempre una lesión neoplásica. 
Con frecuencia las células displásicas presentan grandes núcleos hipercromáticos y menos 
figuras mitóticas que el epitelio normal. 
Es siempre una lesión preinvasiva. 
Puede preceder al cáncer en el esófago de Barret. 
Rta: En el esófago de Barret la displasia epitelial severa a menudo precede al cáncer. Con 
frecuencia las células displásicas presentan grandes núcleos hipercromáticos y hay más figuras 
mitóticas que en el tejido sano. Sólo la displasia intensa y que afecta a todo el espesor es 
considerada una neoplasia, de tipo preinvasiva. 
28. Indique la asociación tumor/tinción inmunohistoquímica que ayudaría a identificar el 
tumor: 
Tumores de ovario / CA-125 
Linfoma / Antígeno carcinoembrionario (CEA) 
Leiomiosarcoma / Alfa-fetoproteína (AFP) 
Carcinoma epidermoide de pulmón / Enolasa específica neuronal 
Rta: El CA-125 es un marcador de uso frecuente para los tumores de ovario. El CEA se utiliza 
en los carcinomas de colon, páncreas, estómago y mama. La AFP es producida por el 
hepatocarcinoma. La enolasa específica neuronal es útil en el neuroblastoma. 
 
145
29. La presencia de lesiones cutáneas con adelgazamiento de la epidermis, pérdida de 
crestas interpapilares, fibrosis dérmica y engrosamiento hialino de las paredes de 
arteriolas y capilares le sugiere el diagnóstico de: 
Lupus eritematoso discoide 
 
Esclerodermia 
 
Dermatomiositis en fase edematosa 
 
Lepra lepromatosa 
 
Rta: Las alteraciones mencionadas son características de la esclerodermia. 
30. Paciente trasplantado de riñón presenta aumento de creatinina. En el examen 
histológico se observa engrosamiento de la íntima e inflamación, glomerulopatía con 
duplicación de la membrana basal, capilaritis peritubular, fibrosis intersticial y atrofia 
tubular. ¿Qué tipo de rechazo está padeciendo? 
Hiperagudo 
Celular agudo (mediado por células) 
Rechazo agudo mediado por anticuerpos 
Rechazo crónico 
Rta: El rechazo crónico engrosamiento de la íntima e inflamación, glomerulopatía con 
duplicación de la membrana basal, capilaritis peritubular, fibrosis intersticial y atrofia tubular. EL 
rechazo crónico se caracteriza por las lesiones histológicas mencionadas en el enunciado. El 
rechazo hiperagudo se produce inmediatamente o luego de horas del transplante y presenta 
daños endoteliales, trombos y necrosis cortical. El agudo mediado por anticuerpos presenta 
inflamación en glomérulos y capilares peritubulares. El rechazo celular agudo (mediados por 
células) se caracteriza por tubulitis y endotelitis. 
31. Paciente de 25 años con antecedente de viaje a Machu Pichu hace 2 meses, presente 
lesión ulcerada que no se cura, en mejilla. Observe la siguiente imagen que muestra 
inflamación granulomatosa con amastigotes intracelulares e indique cual es el 
diagnostico mas probable. 
146
 
El diagnostico corresponde a: 
Leishmaniasis 
Hidatidosis 
Triquinosis 
Herpes 
Rta: La hidatidosis se caracteriza por formar quistes en el hígado o pulmón, el Herpes produce 
vesículas, y el examen histológico presenta células multinucleadas con amoldamiento y 
cromatina marginada. La triquinosis compromete musculatura estriada. La leishmaniasis 
muestra inflamación granulomatosa con amastigotes intracelulares. 
32. Un niño presenta al nacer un solo alelo funcional de un gen supresor de tumores. A 
la edad de 5 años manifestación de una neoplasia. Se le realiza resección de la misma y 
se observa la siguiente microscopia ¿Cuál de las siguientes neoplasias puede surgir a 
través de este mecanismo y corresponder con esta histología? 
 
Leucemia mieloide aguda 
Retinoblastoma 
147
Rabdomiosarcoma 
Linfoma de Hogkin 
Rta: El gen RB es el ejemplo clásico de la teoría del doble hit para la pérdida de supresión 
tumoral. La gran mayoría se da esporádicamente, al perder el segundo alelo y permitir la 
proliferación de las células blastemales. La imagen histológica es característica del 
retinoblastoma, por la presencia de rosetas y seudorosetas. El resto de las lesiones 
mencionadas no coinciden en histología ni se asocian a dicho mecanismo fisiopatogénico. 
33. Un neonato es traído por su madre, ya que presenta dificultad para tragar y episodios 
de tos con cianosis. Se intenta realizar una endoscopia y existe impedimento para pasar 
una sonda esofágica y, al realizar una radiografía de tórax contrastada, se ve la 
presencia de gas abdominal. Usted sospecha una Fistula Traqueo Esofágica, una 
anomalía congénita que se caracteriza por la comunicación entre la tráquea y el esófago 
con grados variables de atresia esofágica asociada. Dadas estas características. ¿De 
qué tipo de alteración se trata? 
Agenesia 
hipotrofia 
Malformación 
Disrupción 
Rta: Este tipo de alteraciones, donde el órgano se genera pero con alteraciones puntuales, la 
denominación correcta es de Malformación congénita. No es una agenesia dado que los 
órganos (esófago y tráquea) siguen estando, tampoco una hipotrofia ya que no hay una 
reducción del número celular, sino una alteración en la comunicación de ambos órganos 
tubulares. Tampoco se puede considerar una Disrupción, ya que el desarrollo de ambos 
órganos fue anómalo desde su génesis. 
 
34. Una mujer de 22 años A-, que ya tiene unhijo de 2 años AB+, da a luz a las 35 
semanas, a un bebe que pesa 2900gr, de aspecto ictérico e hidrópico (edematoso 
generalizado), sin malformaciones visibles. Se le realiza un hemograma que evidencia 
Hemoglobina de 7,5 mg/dl y los glóbulos rojos marcadamente disminuidos. La placenta 
presenta un tamaño aumentado y aspecto edematoso también, sin indicios de proceso 
inflamatorio infeccioso acompañante. ¿Cuál de las siguientes entidades explicaría estos 
hallazgos al nacimiento del infante? 
Rubeola congénita. 
Diabetes gestacional 
Anormalidades cromosómicas 
148
Anticuperpos AntiRH trasplacentarios. 
Rta: El cuadro clínico corresponde a Eritroblastosis fetal inmune o hidropesía fetal inmune, 
donde la madre, previamente inmunizada por su primer hijo RH +, durante el segundo 
embarazo, trasfirió los Ac anti RH a su feto, activando una respuesta inmunológica inflamatoria 
con marcada anemia hemolítica y edema generalizado. 
 
35. Un paciente adolescente que consulta por notar una deformidad y dolor en su 
rodilla derecha. Al realizarse una resonancia, se constata una lesión intraósea, 
irregular, que se expande por canal medular e invade partes blandas. Dado el 
cuadro se decide resecar el hueso. Esta es la imagen macroscópica de la pieza 
quirúrgica: De acuerdo a su diagnóstico, ¿Cuál es la vía inicial más común para las 
metástasis de este tipo de lesión? 
 
 
Linfática 
Cavidad pleural 
Hematógena 
Expansión satélite al miembro. 
Rta: Tanto el cuadro clínico y de imágenes del paciente como la macroscopía deben hacernos 
pensar en un osteosarcoma, menos probable, otro tipo de sarcoma. Cualquiera sea el caso, se 
tratará de un SARCOMA, y la principal y primera vía de diseminación, será la hematógena. En 
estos pacientes es fundamental realizar tomografías para comprobar que no tenga ya, al 
momento del diagnóstico, metástasis a nivel pulmonar (primera llegada por vía sanguínea). La 
vía linfática es característica de los carcinomas, así como la translocación celomica en 
cavidades. La satelitosis, si bien es posible de encontrar sarcomas, asi como en melanomas, 
no sería la forma más común y en lo primero que debemos pensar. 
149
36. Paciente de sexo masculino de 63 años de edad, ex tabaquista, con antecedentes de 
enfisema diagnosticado hace 5 años y en tratamiento. En una radiografía de control, se 
observa una imagen nodular densa a nivel hiliar derecho, de bordes difusos de 1 cm de 
diámetro mayor. Se realiza lobectomía superior derecha. En la macroscopía se describe 
una lesión blanquecina, con sectores irregulares y límites difusos que se infiltra el tejido 
pulmonar. La Microfotografía muestra planchas de células atípicas escamosas que 
queratinizan en la parte central de dichas planchas. ¿Cuál sería el diagnóstico más 
probable de la lesión descripta en el informe de anatomía patológica? 
 
 
 
Adenocarcinoma indiferenciado de pulmón 
Carcinoma anaplásico de pulmón queratinizante 
Carcinoma escamoso bien diferenciado de pulmón 
Hamartoma pulmonar con extenso componente escamoso. 
Rta: El carcinoma escamoso de pulmón es el carcinoma de pulmón que está altamente 
relacionado con el tabaquismo. Son de localización central (hiliar). En la fotografia se observan 
planchas de células atípicas escamosas, queratinizan en la parte central de dichas planchas 
(por eso son bien diferenciados) 
37. La utilidad del sistema de estadificación tumoral es: 
Permite hacer el diagnóstico diferencial entre un tumor maligno y uno benigno 
Permite determinar exclusivamente el pronóstico de un tumor benigno 
Permite determinar el pronóstico y el tipo de tratamiento de un tumor benigno 
Permite determinar el pronóstico y el tipo de tratamiento de un tumor maligno 
 
150
Rta: El sistema de estadificación (TNM es el más utilizado) es utilizado para evaluar el tamaño 
tumoral, el compromiso ganglionar y la presencia de metástasis en los tumores malignos. Y 
permite con esos 3 parámetros definir el tratamiento y el pronóstico del paciente. El resto de las 
opciones no son correctas porque no se usa para tumores benignos, no es solo para pronóstico 
sino también tratamiento. 
38. Cuál de los siguientes no corresponde a un Criterio de Jones. 
Eritema marginado en tronco, brazos y piernas 
Pancarditis con roce pericárdico 
Poliartritis migratoria de pequeñas articulaciones 
Nódulos subcutáneos en superficies extensoras 
Rta: Es una poliartritis migratoria de grandes articulaciones. El resto de las opciones describen 
manifestaciones que son parte de los criterios mayores de Jones. 
39. Un niño de 4 años de edad es traído a la guardia por sus padres porque esta mañana 
amaneció con puntos rojos en el cuerpo. Refieren que hace dos días presenta diarrea 
con sangre y lo notan decaído. Están preocupados porque desde ayer que no orina y 
hoy lo ven con tendencia al sueño. El laboratorio informa aumento de leucocitos, anemia 
y plaquetopenia, urea y creatinina aumentadas.¿ Cuál es el mecanismo por el cual se 
explican los síntomas del paciente? 
Hipersensibilidad tipo 1. 
Vasculitis. 
Microangiopatía trombótica. 
Endarteritis obliterante. 
Rta: El niño presenta síndrome urémico hemolítico cuya patogenia corresponde a una 
microangiopatía trombótica con consumo de plaquetas motivo por el cual las petequias que 
presenta el paciente y el resto de los síntomas. Las opciones a, b y d no sólo no justifican los 
síntomas del paciente sino que tampoco dan origen al síndrome urémico hemolítico. 
40. Un paciente de 25 años de edad que volviendo de vacaciones se detuvo en puesto 
ubicado a un costado de la ruta y compró diferentes embutidos y miel, los cuales les 
aclara “estaban muy buenos”. El paciente le consulta diciendo que empezó con dolores 
musculares y fiebre. Entre los estudios que solicita, pide un hemograma esperando 
encontrar: 
Anemia 
Plaquetopenia 
Eosinofilia 
Leucopenia 
151
Por el antecedente de ingesta de embutidos y las mialgias actuales se sospecha triquinosis. La 
misma es una enfermedad parasitaria que provoca una intensa eosinofilia periférica y fiebre. No 
se afectan los glóbulos rojos ni las plaquetas por eso las opciones a y b son incorrectas. 
Asimismo, tampoco produce disminución de glóbulos blancos por lo cual la opción D es 
incorrecta. 
152
RECUPERATORIO SEGUNDO PARCIAL PATOLOGIA 1 (segundo cuatrimestre 2020) 
1. Un paciente masculino de 14 años se somete a un examen genético por 
recomendación médica. Dicho paciente presenta un coeficiente intelectual normal, 
hipogonadismo y un aspecto físico particular con piernas anormalmente largas, 
ginecomastia, testículos pequeños atróficos asociados a un pene pequeño y ausencia de 
características sexuales secundarias. ¿Cuáles de los siguientes genotipos o 
enfermedades es más probable que presente el paciente? 
Sindrome de Turner 
47, XX + 21 
47 XX + 18 
Sindrome de Klinefelter 
Rta: El paciente manifiesta características compatibles con el síndrome de Klinefelter (47, XXY 
en el 90% de los casos), el único rasgo que comparten todos los pacientes con este síndrome 
es el hipogonadismo, el resto de las características pueden ser variables entre individuos. Los 
demás genotipos no son compatibles con las características del paciente, 45X corresponde al 
síndrome de Turner, se manifiesta en niñas, un rasgo importante de estos pacientes es la talla 
baja, no suelen superar el 1,5 mts de altura. Los genotipos 47 XX + 21 y 47 XX + 18 
corresponden al síndrome de Down y Edwards respectivamente, las manifestaciones de estos 
síndromes son detectables durante el desarrollo. 
2. Paciente de 6 meses de edad presenta tumor en mediastino posterior. En el 
laboratorio se detectan niveles de catecolaminas elevadas. La microfotografía que se 
observa a continuación muestra neuroblastos y células en diferenciación ganglionares. 
En otro corte histológico se observa focos de necrosis y calcificación. ¿Cuál es el 
diagnostico más probable? 
 
Feocromocitoma 
Neuroblastoma153
Linfoma 
Tumor de Wilms 
Rta: La descripción microscópica releja las características de un neuroblastoma en 
diferenciación que muestra neuroblastos y células en diferenciación a ganglionares. Presenta 
además abundante neuropilo. Esas características no se observan en las demás opciones. 
3. La vía de diseminación más frecuente del carcinoma de mama es: 
Siembra a cavidades. 
Vía linfática. 
Vía hematógena. 
Ninguna de las anteriores. 
Rta. Si bien las tres vías mencionadas son vias de diseminación de neoplasias malignas, en el 
caso de los carcinomas la via linfática es la más frecuente. 
4. Un paciente de 30 años de edad se presenta en la consulta con una lesión eritematosa, 
sobreelevada, no dolorosa, de consistencia firme (chancro) en pene, de varios días de 
evolución. ¿Qué encontraría si usted observara un preparado histológico de esa lesión? 
Infiltrado inflamatorio de células plasmáticas, linfocitos y eosinófilos. 
Infiltrado inflamatorio de células plasmáticas, linfocitos y macrófagos con endarteritis 
obliterante. 
Fibrosis. 
Edema e infiltrado polimorfonuclear. 
Rta: La lesión que presenta el paciente corresponde a la lesión característica de la sífilis 
primaria histológicamente se observa infiltrado inflamatorio crónico y la endarteritis obliterante 
que la caracteriza. 
5. Paciente de sexo masculino de 67 años que presenta anemia y deposiciones 
sanguinolentas. Al examen endoscópico se evidencia a nivel de sigma formación 
tumoral exofítica friable y en la histopatología se observan áreas necróticas de 3,5 x 3 
cm aproximadamente y formaciones de aspecto glandular con anisocitosis y 
anisocariosis. Señale la afirmación CORRECTA. 
La lesión más probable es una neoplasia mesenquimática maligna 
El primer sitio de metástasis son los ganglios regionales 
Probablemente se trata de una lesión benigna 
Se trataría de un carcinoma escamoso 
Rta: La lesión descripta corresponde a un adenocarcinoma colónico (lesión maligna epitelial 
glandular) por lo cual los ganglios regionales son el primer sitio metastásico. 
154
6. Tumoración de partes blandas de muslo izquierdo que a la microscopia evidencia 
proliferación neoplásica constituida por células ahusadas de citoplasma eosinófilo con 
marcado pleomorfismo nuclear. Presencia de frecuentes figuras mitóticas atípicas y 
áreas de necrosis. ¿Cuál es el diagnóstico más probable? 
Adenocarcinoma 
Condrosarcoma 
Leiomiosarcoma 
Liposarcoma 
Rta: El tumor representa la descripción característica de un leiomiosarcoma, una lesión 
fusocelular mesenquimática maligna. Las restantes opciones no se corresponden con el cuadro 
morfológico. 
7. Señale la respuesta correcta con respecto a la tiroiditis de Hashimoto 
Presenta extensos infiltrados neutrofílicos 
Suele ser una enfermedad aguda 
Suele cursar con hipertiroidismo 
Presenta folículos linfoides hiperplásicos 
Rta: Suele ser una enfermedad crónica que cursa con hipotiroidismo y presenta infiltrados 
linfoides estromales con formación de folículos hiperplásicos. 
8. Señale cuál de las siguientes entidades NO representa un diagnóstico diferencial 
histológico de tuberculosis 
Histoplasmosis 
Paracoccidiomicosis 
Coccidiomicosis 
Triquinosis 
Rta: La histoplasmosis, la paraccocidiomicosis y la coccidiomicosis son enfermedades que 
cursan generalmente con granulomas por lo cual son diagnostico diferencial histológico de 
TBC. Triquinosis no suele cursar con granulomas. 
9. ¿Cuáles son las características morfológicas de la anaplasia? 
Pleomorfismo, morfología nuclear anormal, figuras mitóticas atípicas y perdida de la 
polaridad. 
Pleomorfismo, morfología nuclear anormal, aumento en el número de figuras mitóticas y perdida 
de la polaridad. 
Glándulas de forma y tamaño irregulares, y no se parece a las glándulas normales del órgano de 
origen. 
155
Las células tumorales son notablemente similares a las células epiteliales normales. 
Respuesta correcta Pleomorfismo, morfología nuclear anormal, figuras mitóticas atípicas y 
perdida de la polaridad. El número de mitosis no es necesariamente elevado. 
 
10.La fiebre reumática es: (marque la opción CORRECTA) 
La miocarditis aguda por estreptococos grupo A (Strepcoccus pyogenes) 
La respuesta autoinmune que sigue a faringitis por estreptococos grupo A (Strepcoccus 
pyogenes) 
Una enfermedad inflamatoria crónica que afecta principalmente a las pequeñas articulaciones. 
Una patología que se caracteriza por una fibrosis excesiva en todo el organismo 
Rta. La respuesta autoinmune que sigue a una faringitis por estreptococos grupo A 
(Strepcoccus pyogenes). La miocarditis por estreptococos grupo A (Strepcoccus pyogenes) es 
incorrecta porque los pacientes no presentan infección del miocardio sino una respuesta 
autoinmune a una infección en la garganta. Tampoco es una enfermedad inflamatoria crónica 
que ataca principalmente a las pequeñas articulaciones porque es característica de Artritis 
Reumatoide. No genera principalmente fibrosis excesiva en el organismo. 
11. La imagen A (izq) muestra inflamación asociada a un rechazo de trasplante, en los 
capilares y la imagen B (der) muestra la tinción con inmunoperoxidasa. Seleccione la 
repuesta correcta: 
 
Las lesiones consisten en una inflamación de los glomérulos y capilares peritubulares, 
asociada a un depósito del producto de escisión del complemento C4d, que se produce 
durante la activación del sistema del complemento por la vía clásica. 
Las lesiones consisten en una extensa inflamación intersticial con infiltración de los túbulos y 
lesión tubular focal, asociada a un depósito del producto de escisión del complemento C4d, que 
se produce durante la activación del sistema del complemento por la vía clásica. 
156
Las lesiones consisten en una marcada endotelitis e inflamación de los glomérulos, asociada a 
un depósito del producto de escisión de la inmunoperoxidasa, que marca la expresión de la 
cadena α del receptor para IL-2. 
Las lesiones consisten en una inflamación de los capilares peritubulares y atrofia tubular, 
asociada a un depósito del producto de escisión de la inmunoperoxidasa, que marca la 
expresión de la cadena α del receptor para IL-2. 
 
Respuesta correcta: El rechazo agudo mediado por anticuerpos se manifiesta principalmente 
por un daño de los glomérulos y de los vasos sanguíneos pequeños. Las lesiones consisten de 
forma típica en una inflamación de los glomérulos y capilares peritubulares, asociada a un 
depósito del producto de escisión del complemento C4d, que se produce durante la activación 
del sistema del complemento por la vía clásica. La B es incorrecta porque las lesiones que 
describe son características del patrón tubulointersticial del rechazo agudo mediado por 
linfocitos T. La C es incorrecta porque las lesiones que describe son características del patrón 
vascular del rechazo agudo mediado por linfocitos T y el depósito que muestra la imagen B es 
de C4d. La D es incorrecta porque las lesiones que describe son características del rechazo 
crónico y el depósito que muestra la imagen B es de C4d.is excesiva en todo el organismo 
porque es característica de esclerodermia. 
12. Marque la opción CORRECTA para las enfermedades granulomatosas de 
etiopatogenia aún no resuelta: 
Enfermedad crónica, granulomatosa, necrotizante, sistémica, que afecta principalmente a los 
ojos, los pulmones, el hígado, el bazo, los ganglios linfáticos y la piel, pero puede comprometer 
cualquier órgano y/o tejido. 
Enfermedad crónica, granulomatosa, necrotizante, sistémica, de etiología desconocida que 
afecta principalmente el hígado, los pulmones, el peritoneo, los riñones, el sistema nervioso, los 
huesos, el corazón, la piel y los músculos. 
Los tejidos afectados evidencian granulomas de células epitelioides (semejantes a los 
queratinocitos epidérmicos), puede haber células gigantes multinucleadas de tipo 
Langhans o de tipo cuerpo extraño y no se demuestranecrosis central. 
Los tejidos afectados evidencian granulomas que se acompañan de los cuerpos estrellados y 
nódulos laminares de calcio y fibrina. En la periferia de los granulomas se ubican los neutrófilos 
y algunos eosinófilos. 
 
Respuesta correcta: El enunciado se refiere a la definición de la sarcoidosis, los tejidos 
afectados evidencian granulomas de células epitelioides (semejantes a los queratinocitos 
epidérmicos), puede haber células gigantes multinucleadas de tipo Langhans o de tipo cuerpo 
extraño y no se demuestra necrosis central. Cuando la enfermedad tiene años de evolución los 
granulomas suelen estar delimitados por una banda fibrosa o ser reemplazados por cicatrices 
fibrosas. La A es incorrecta porque la sarcoidosis es una enfermedad crónica, granulomatosa, 
no necrotizante, de etiología desconocida, sistémica, que afecta principalmente a los ojos, los 
pulmones, el hígado, el bazo, los ganglios linfáticos y la piel, pero puede comprometer 
157
cualquier órgano y/o tejido. La B es incorrecta porque la sarcoidosis es una enfermedad 
crónica, granulomatosa, no necrotizante, de etiología desconocida, sistémica, que afecta 
principalmente a los ojos, los pulmones, el hígado, el bazo, los ganglios linfáticos y la piel, pero 
puede comprometer cualquier órgano y/o tejido. La D es incorrecta porque como hallazgos 
distintivos, propios de los granulomas de la sarcoidosis, pueden encontrarse: los cuerpos 
asteroides (formas estrelladas en las células gigantes multinucleadas) y los cuerpos de 
Schauman (imágenes nodulares laminares de calcio y proteínas). En la periferia de los 
granulomas se ubican los linfocitos y algunos macrófagos. 
13. Marque la opción CORRECTA para los mecanismos lesivos de los agentes 
infecciosos 
El V. cholerae secreta una toxina que está formada por una subunidad con actividad 
enzimática (A) y otra que se une a receptores celulares (B) y que permite que la 
subunidad A penetre en el citoplasma de la célula. 
Los lipopolisacáridos (LPS) funcionan como endotoxinas bacterianas gracias a la actividad del 
lípido L y la respuesta que generan en el huésped es perjudicial, aún a bajas concentraciones, 
ya que induce la producción de citocinas como TNFα, IL-1 e IL-2. 
El virus del herpes simple tiene efectos citopáticos indirectos ya que produce ARNm que inhibe 
la síntesis de proteínas de la matriz de andamiaje intracelular y proteínas que degradan el ADN 
del anfitrión. 
Los linfocitos natural killer (NK) son importantes frente a las infecciones víricas oncogénicas 
pero pueden originar lesiones tisulares al destruir proteínas inhibidoras de supresores 
tumorales esenciales. 
 
Respuesta correcta: Las exotoxinas son proteínas secretadas por las bacterias, dentro de este 
grupo podemos encontrar algunas que alteran las vías reguladoras o de señalización 
intracelular. La mayoría de estas, se componen de una subunidad con actividad enzimática (A) 
y otra que se une a receptores celulares (B) y que permite que la subunidad A penetre en el 
citoplasma de la célula. Entre las múltiples bacterias que secretan estas toxinas A-B se 
encuentra el V. cholerae. La B es incorrecta porque la actividad como endotoxina del LPS se 
debe a la presencia del lípido A. La respuesta frente al lípido A es beneficiosa, en el sentido de 
que activa el sistema inmunitario de varias maneras. Sin embargo, las concentraciones 
elevadas de endotoxina desempeñan un papel patógeno mediante la inducción de 
concentraciones excesivamente altas de citocinas como TNFα, IL-1 e IL-2. La C es incorrecta 
porque el virus del herpes simple produce proteínas de efecto citopático directo ya que inhiben 
la síntesis del ADN y ARNm de la célula, así como otras proteínas que degradan el ADN del 
anfitrión. La D es incorrecta porque los linfocitos T citotóxicos son importantes frente a las 
infecciones víricas, pero pueden originar lesiones tisulares. Por otro lado, los virus oncógenos 
pueden estimular el crecimiento y supervivencia celular mediante la expresión de proteínas 
víricas inhibidoras de supresores tumorales esenciales. 
14. La imagen corresponde a un corte histológico coloreado con la técnica de 
hematoxilina eosina en el que se observa cámara del cuerpo vítreo ocupada por una 
proliferación de células neoplásicas. Maque la opción correcta: 
158
 
Las rosetas de Flexner-Wintersteiner son células pequeñas, redondas, de núcleos 
hipercromáticos con escaso citoplasma que se disponen rodeando una luz central contiene 
glucosaminoglicanos. 
Las rosetas formadas por células cúbicas o columnares de núcleo basal, orientados 
hacia una luz central que contiene glucosaminoglicanos y se encuentra limitada por una 
membrana eosinófila representan los sectores diferenciados de la neoplasia. 
Las rosetas de Homer-Wright son células que rodean una trama fibrilar, una luz o vasos y 
suelen confundirse con pseudorosetas. Los sectores donde se encuentran las rosetas se 
intercalan con extensas áreas de necrosis. 
Las rosetas verdaderas están formadas por células cúbicas o columnares de núcleo central que 
se disponen hacia una luz central ópticamente negativa y limitada por la membrana limitante 
externa de la retina normal. 
 
Respuesta correcta: Los sectores con diferenciación se evidencian por la aparición de rosetas 
formadas por células cúbicas o columnares de núcleo basal, orientados hacia una luz central 
que contiene glucosaminoglicanos y se encuentra limitada por una membrana eosinófila, similar 
a la membrana limitante externa de la retina normal (rosetas de Flexner-Wintersteiner). La A es 
incorrecta porque las rosetas de Flexner-Wintersteiner están formadas por células cúbicas o 
columnares de núcleo basal, orientados hacia una luz central que contiene 
glucosaminoglicanos y se encuentra limitada por una membrana eosinófila. La C es incorrecta 
159
porque las rosetas de Homer-Wright están formadas por células que rodean una trama fibrilar y 
no una luz. Por otro lado, las células viables alrededor de vasos forman las pseudorosetas. La 
D es incorrecta porque las rosetas de Flexner-Wintersteiner están formadas por células cúbicas 
o columnares de núcleo basal, orientados hacia una luz central que contiene 
glucosaminoglicanos y se encuentra limitada por una membrana eosinófila, similar a la 
membrana limitante externa de la retina normal. 
15. Marque la opción CORRECTA para metástasis: 
Las fases del desarrollo de las metástasis vía linfática comprenden: desprendimiento celular, 
evasión del sistema inmune, penetración vascular, transporte intravascular, embolización con 
muerte celular y colonización. 
En las metástasis sin vascularización, las células tumorales no pueden diseminarse, pero los 
factores angiogénicos pueden ser producidos por los macrófagos sin la necesidad que se 
produzca un cambio a fenotipo angiogénico de las células tumorales. 
El modelo vascular de diseminación sanguínea y las condiciones locales determina que 
las metástasis tengan mayor o menor frecuencia en ciertas localizaciones. Por ej, las 
metástasis hematógenas son poco frecuentes en órganos como el bazo y el riñón. 
La invasión de las capas subyacentes a la mucosa o permeación linfática corresponden a una 
diseminación por vía linfática en cáncer de tubo digestivo o de la vía urinaria, en los que se 
produce otro carcinoma en el mismo órgano. 
Respuesta correcta: Es notoria la escasa frecuencia de metástasis hematógenas en órganos 
muy vascularizados como el bazo y el riñón, o muy extensamente distribuidos como la piel y los 
músculos esqueléticos. Esto se explica no solo por el modelo vascular de diseminación 
sanguínea (porta, vertebral, cava), además por las condiciones locales que favorecen o inhiben 
el desarrollo de metástasis. Esta mayor receptividad depende de algunas propiedades de la 
superficie de las células neoplásicas como la presencia de moléculas de adhesión. La A es 
incorrecta porque las fasesdel desarrollo de las metástasis comprenden: desprendimiento 
celular, invasión, penetración vascular, transporte intravascular, embolización con muerte 
celular y colonización. La B es incorrecta porque en las metástasis sin vascularización, las 
células tumorales no pueden diseminarse. Los tumores, por tanto, producen factores que 
desencadenan la formación de nuevos capilares; estos nuevos capilares se pueden formar de 
novo por el reclutamiento de los precursores de las células tumorales, o por brotes de capilares 
existentes al igual que en la angiogénesis fisiológica; a diferencia de ésta, los capilares son 
tortuosos y permeables. Los factores angiogénicos pueden ser producidos por las células 
tumorales y por células inflamatorias (macrófagos, por ejemplo). Los factores más importantes 
son el VEGF y el bEGF. Al principio del crecimiento del tumor, no se induce angiogénesis. En 
fases más avanzadas se produce un cambio a fenotipo angiogénico ("cambio angiogénico"). 
(factor de crecimiento fibroblástico básico). La D es incorrecta porque la vía canalicular se 
observa en ocasiones en un cáncer de tubo digestivo o de la vía urinaria, en los que se produce 
otro carcinoma en el mismo órgano. La explicación lógica es que la segunda neoplasia 
corresponda a una diseminación de la primera por invasión de las capas subyacentes a la 
mucosa, o por permeación linfática; igual de frecuente en dichos órganos es la aparición de un 
segundo tumor primario. 
160
16. Marque la opción CORRECTA sobre las bases moleculares del cáncer: 
Los efectos de las células inflamatorias y de las células estromales residentes que favorecen el 
cáncer comprenden la producción de TGF-β, liberación de proteasas, regulación en alza de la 
telomerasa, evasión de la destrucción inmunitaria. 
Con el fin de escapar a la eliminación, las células tumorales tienen la capacidad de configurar y 
moldear sus propiedades inmunógenas mediante la selección de subclones que no son 
inmunotolerantes. 
La sobreexpresión de la telomerasa es poco frecuente en le cáncer, en el 85-95% de los casos 
el alargamiento de los telómeros se da por un mecanismo alternativo que depende de la 
recombinación del ADN. 
Las mutaciones de los genes reparadores del ADN no son, por sí mismas, oncógenas. 
Sin embargo, sus anomalías aumentan notablemente la aparición de mutaciones en 
otros genes durante la división celular normal. 
 
Respuesta correcta: Las mutaciones de los genes reparadores del ADN no resultan oncógenas 
por sí mismas, pero sus anomalías aumentan notablemente la aparición de mutaciones en 
otros genes durante la división celular normal. La A es incorrecta porque los efectos de las 
células inflamatorias y de las células estromales residentes que favorecen el cáncer 
comprenden la liberación de factores que inducen la proliferación, eliminación de supresores 
del crecimiento, aumento de la resistencia a la muerte celular, inducción de angiogenia, 
activación de la invasión y la metástasis y evasión de la destrucción inmunitaria. La B es 
incorrecta porque el término inmunoedición del cáncer se ha empleado para describir la 
capacidad del sistema inmunitario para configurar y moldear las propiedades inmunógenas de 
las células tumorales, de forma que, al final, se produce una selección darwiniana de los 
subclones más dotados para evitar la eliminación inmunitaria. La C es incorrecta porque el 
mantenimiento de los telómeros se encuentra en casi todos los tipos de cánceres y obedece en 
el 85-95% de los casos a la regulación al laza de la telomerasa. Los demás tumores recurren a 
otro mecanismo para mantener los telómeros, denominado alargamiento alternativo de los 
telómeros, que probablemente dependa de la recombinación del ADN. 
17. Una mujer de 38 años presenta debilidad muscular progresiva, simétrica y proximal 
en especial hacia el final del día de dos meses de evolución. No tiene artralgias ni 
mialgias. En el examen físico su fuerza motora va de 5/5 a 4/5 con movimientos 
repetitivos de las extremidades. El laboratorio informa anticuerpos antinucleares 
negativo. ¿Cuál es el mecanismo por el cual se produce su enfermedad? 
Formación de complejo inmune local. 
Reacción cruzada con antígenos tisulares. 
Anticuerpos anti-receptor. 
Desgranulación de mastocitos. 
El cuadro corresponde a miastenia gravis, una enfermedad autoinmune que presenta 
anticuerpos anti receptor de acetilcolina postsináptico (hipersensibilidad tipo II) afectando así la 
161
contracción muscular y originando la clínica que presenta la paciente. La formación de 
complejo inmune local corresponde a hipersensibilidad tipo III y la desgranulación de 
mastocitos a Hipersensibilidad tipo I. La reacción cruzada con antígenos tisulares no es 
correcto ya que si bien hay anticuerpos, éstos no presentan reacción cruzada con antígenos 
tisulares sino que están dirigidos específicamente al receptor de acetilcolina. 
18. Un hombre de 50 años, con pérdida de peso del 15% en los últimos 6 meses, 
presenta tos crónica. El examen físico es normal. Tiene una radiografía de tórax que 
evidencia una masa hilar derecha. Se realiza una biopsia y en la microscopía se observa 
lo siguiente imagen compatible con una neoplasia maligna primaria. Se le realiza 
inmunomarcación, dando positivo para citoqueratina ¿Cuál es la vía inicial más común 
para las metástasis de esta lesión? 
 
Sangre 
Bronquios 
Extensión contigua a la pared torácica 
Linfáticos 
Rta: El paciente tiene una neoplasia maligna primaria que es positiva para citoqueratina, lo cual 
define su origen epitelial: carcinoma epidermoide de pulmón; el cual es más frecuente que 
disemine vía linfática. Esta neoplasia no hace metástasis en bronquios sino que se origina en 
ellos. Una metástasis es una diseminación a sitios físicamente alejados del tumor primario, con 
lo cual la extensión a pared torácica no es una metástasis. 
19. Una paciente de 30 años consulta por dificultad al deglutir y sensación de 
entumecimiento y palidez marcada en los extremos de los dedos ante el frio. Al examen 
físico el médico detecta una laceración irregular en el dedo índice derecho que no cura 
correctamente. Dado el cuadro clínico, el primer diagnóstico a estudiar es: 
Esclerosis sistémica. 
162
Enfermedad de Raynaud 
Crioglobulinemia 
Intolerancia al frio 
Rtas: Las características de los síntomas y hallazgos físicos corresponden a la esclerosis 
sistémica. La enfermedad de Raynaud se caracteriza por el fenómeno de Raynaud idiopático, 
sin embargo, la paciente presenta asociada disfagia e inadecuada curación de heridas, estas 
características clínicas corresponden a Esclerodermia. La crioglobulinemia no presenta 
afectación digestiva y puede estar asociada a enfermedades más complejas como LES. 
Finalmente, la intolerancia al frio es un síntoma, no una entidad en sí misma. 
20. Con respecto a la lepra, marque la opción CORRECTA: 
La lepra tuberculoide es más contagiosa que la lepromatosa. 
La lepra lepromatosa se caracteriza por la presencia de granulomas con células epitelioides. 
Pueden aparecer focos de depósito de amiloide AL en diversos órganos. 
La lepra lepromatosa presenta invasión de las células de Schwann por las micobacterias 
Rta: En la lepra lepromatosa las bacterias invaden masivamente las células de Schwann. La 
lepra lepromatosa es multibacilar mientras que la tuberculoide es paucibacilar, de allí el menor 
riesgo de contagio de la tuberculoide. La presencia de granulomas con células epitelioides es 
típica de la lepra tuberculoide. Si se asocia con amiloidosis el amiloide depositado es de tipo 
21. El mesotelioma se asocia a: (marque la opción CORRECTA) 
Silicosis 
Antracosis 
Amianto 
Blastomicosis 
Rta: Los trabajadores expuestos al amianto desarrollan ASBESTOSIS, que se relacione y 
predispone mesoteliomas pleurales y peritoneales. No se observa relación entre el 
mesotelioma y las otras opciones.22. ¿Cuáles de los siguientes son rasgos de la fibrosis quística? 
Infecciones pulmonares a repetición y cor pulmonale. 
Anomalías pancreáticas y lesiones ampollares cutáneas. 
Alteraciones de las gándulas salivales y sudoríparas. 
Ileo meconial e hipovitaminosis K. 
Respuesta: Las infecciones pulmonares persistentes, la enfermedad pulmonar obstructiva y el 
cor pulmonale son la causa más frecuente de muerte en pacientes con fibrosis quística. En 
ninguna variante se encuentran alteraciones de las glándulas sudoríparas ni lesiones 
ampollares cutáneas ni alteración de los niveles de vitamina K. 
163
23. Con respecto al sarcoma de Kaposi asociado al SIDA, marque la opción CORRECTA: 
Es una forma de linfoma. 
Se caracteriza por la proliferación de células fusiformes que expresan marcadores de células 
endoteliales y musculares estriadas. 
Tiene tendencia a la diseminación: piel y mucosas, tubo digestivo, ganglios linfáticos y 
pulmones 
Es un tumor vascular maligno. 
Rta: En los sujetos infectados por VIH el sarcoma de Kaposi es habitualmente generalizado, 
afectando piel, mucosas, tubo digestivo, ganglios linfáticos y pulmón. Se caracteriza por la 
proliferación de células fusiformes que expresan marcadores de células endoteliales y 
musculares lisas. Es un tumor vascular donde muchas características hacen pensar que no es 
maligno. 
24. Paciente de 48 años de edad oriundo de Santa Rosa, La Pampa consulta por episodios de 
dispepsia. Al examen físico presenta signos de y síntomas compatibles con hipertensión portal; 
además, se observan lesiones cutáneas con hiperqueratosis que presentan las características 
histológicas de la fotografía. ¿Qué patología es factible que presente el paciente? 
Hidroarsenicismo crónico regional endémico 
Intoxicación aguda con arsénico 
Enfermedad de WilsonCirrosis alcohólica 
Respuesta correcta: A. El paciente presenta complicaciones características del HACRE que se 
acompaña con los antecedentes de hiperqueratosis en las palmas de las manos y residir en 
región endémica de hidroarcenisismo crónico regional endémico. 
 
25. Mujer de 35 años con hematuria e hipertensión. Antecedentes de artritis y exantema 
facial. Se efectuó biopsia de riñón que evidencia en 8 de 10 glomérulos evaluables, 
164
proliferación de células endoteliales, mesangiales y epiteliales. Depósitos 
subendoteliales con engrosamiento de la pared capilar. Inmunofluorescencia: depósitos 
de IgA, IgG, C3, C1q y fibrinógeno en paredes capilares. ¿Qué tipo de glomerulopatia 
diagnostica? 
Nefritis membranosa lúpica 
Nefritis lupica proliferativa difusa 
Nefritis lúpica focal 
Nefritis lúpica mesangial. 
Rta: Glomerulonefritis proliferativa difusa. En la nefritis membranosa se observa 
ensanchamiento difuso de las paredes capilares por depósitos subepiteliales. La 
glomerulonefritis focal compromete menos del 50% de los glomérulos y la proliferativa 
mesangial no tiene afectación de capilares glomerulares. 
26. Se hizo un relevamiento epidemiológico en donde se reclutaron datos de pacientes 
con patología intersticial pulmonar. De entre ellos se seleccionaron aquellos que fueron 
diagnosticados con algún tipo de neumoconiosis. ¿Qué característica histológica 
pulmonar presentaron en común aquellos que fueron diagnosticados con beriliosis? 
Áreas de enfisema, intercaladas con nódulos de centro necrótico y tejido conectivo denso 
periférico, predominantemente en los lóbulos superiores 
Reacción inflamatoria crónica con presencia de granulomas 
Múltiples placas de adherencia pleural 
Áreas de enfisema y macrófagos con pigmento negruzco en su citoplasma 
Rta: Dentro de las neumoconiosis, la beriliosis es la única que da una reacción granulomatosa. 
La asbestosis da placas de adherencia pleural, entre otras manifestaciones y la neumoconiosis 
de los trabajadores del carbón se manifiesta con áreas de enfisema y macrófagos con 
pigmento negruzco en su citoplasma. La silicosis cursa con formación de nódulos como los 
descriptos y afecta áreas superiores de los pulmones. 
27. Un niño de 4 años va a control pediátrico. Al evaluarlo, llama la atención un 
arqueamiento de convexidad anterior en ambas piernas y lesiones en piel. También se 
constatan deformidades dentales y el niño no responde a órdenes verbales, lo que hace 
sospechar posible sordera. ¿Cuál es su principal sospecha diagnóstica? 
Lepra lepromatosa 
Toxoplasmosis congénita 
Chagas congénito 
Sífilis congénita 
Rta: El caso relatado cuenta con las manifestaciones clínicas y antecedentes de una sífilis 
congénita tardía. La lepra lepromatosa se manifiesta con lesiones subcutáneas que pueden 
producir deformidad sobre todo en rostro, pero no altera la audición ni la dentadura ni desvía la 
165
tibia. La toxoplasmosis congénita se manifiesta con hidrocefalia, macro o microcefalia, 
encefalitis, y lesiones oculares: coriorretinitis y ceguera, además linfadenopatías. Y el Chagas 
congénito suele ser asíntomático y en caso contrario se manifiesta en forma más temprana. 
28. Elegir la opción que describa correctamente el rol de los neutrófilos en la 
hipersensibilidad de tipo IV: 
El perfil Tfh induce la proliferación de neutrófilos y linfocitos CD8+, lo que perpetúa la acción 
lesiva 
El perfil Th1 favorece el reclutamiento de neutrófilos que asisten con la formación del 
granuloma 
El perfil Th2 favorece el reclutamiento de neutrófilos que contribuye al establecimiento de una 
respuesta antiparasitaria efectiva 
El perfil Th17 favorece el reclutamiento de neutrófilos que promueven la inflamación 
local 
Rta: La activación de las células T en el perfil Th17 induce el reclutamiento de neutrófilos y 
monocitos que contribuyen a sostener la inflamación. El perfil Th1 induce una respuesta de 
activación de los macrófagos, en general culminando en la formación de un granuloma, pero 
sin contribución de los neutrófilos. Los otros dos perfiles no tienen que ver con la 
hipersensibilidad tipo IV. 
29. Paciente masculino de 50 años con tos de origen desconocido y persistente, se le 
hace una biopsia de pulmón y la imagen muestra: Lesiones de 1 a 2 mm de diámetro y 
nódulos compuestos por macrófagos y fibras de colágeno localizados en el lóbulo 
superior y algunas zonas con enfisema lobulillar. Este diagnóstico es compatible con: 
(marque la opción CORRECTA) 
Antracosis 
Neumoconiosis de los trabajadores del carbón simple 
Neumoconiosis de los trabajadores del carbón complicada 
Silicosis 
Rta: La descripción es compatible con la neumoconiosis de los trabajadores del carbón simple. 
En la antracosis solo evidencia macrófagos negros cerca de los hilios, en la neumoconiosis de 
los trabajadores del carbón complicada hay fibrosis masiva progresiva y múltiples cicatrices de1 
o más cm con centro necrótico. La silicosis genera nódulos de fibrosis. 
30. Marque la opción CORRECTA sobre hipersensibilidad: 
Las lesiones por depósito de inmunocomplejos son siempre irreversibles 
La principal manifestación morfológica del daño por depósitos de inmunocomplejos es 
la necrosis fibrinoide en los vasos donde se depositan 
Los granulomas tanto de cuerpo extraño como los inmunitarios desarrollan una respuesta 
inmune antígeno - específica 
166
La fiebre reumática aguda es un ejemplo de hipersensibilidad de tipo III 
Respuesta Los inmunocomplejos se depositan típicamente en las paredes de los vasos, 
aunque, en ocasiones, pueden hacerlo en sitios extravasculares en los que el antígeno se 
depositó previamente. En las paredes de los vasos, los depósitos de inmunocomplejos, 
proteínas y complemento producen un depósito eosinófilo amorfo, similar a la fibrina 
denominado necrosis fibrinoide. Si la enfermedad por depósito de inmunocomplejos se debe a 
una única exposición intensa, las lesiones tienden a resolverse como consecuencia del 
catabolismo de los inmunocomplejos. La inflamación granulomatosa se asocia a una respuesta 
intensa de linfocitosT con producción de citoquinas. En los granulomas de cuerpo extraño se 
activan los macrófagos, sin desencadenar una respuesta inmune antígeno - específica. La 
fiebre reumática aguda es un ejemplo de hipersensibilidad de tipo II. 
31. En la siguiente imagen macroscópica de pulmón pueden observarse lesiones 
parenquimatosas gris blanquecinas localizadas a nivel subpleural en la parte inferior del 
lóbulo superior y también se observan ganglios linfáticos hiliares con caseificación 
central. Si usted toma una muestra de la zona afectada y la analiza al microscopio. ¿Cuál 
de las siguientes opciones describe mejor las características que esperaría observar? 
 
 
 
Áreas de necrosis caseosa y hemorragia, con abundante infiltrado de polimorfonucleares y 
células epitelioides 
167
Áreas de necrosis caseosa, con abundante infiltrado de polimorfonucleares y células gigantes 
multinucleadas dispersas 
Áreas de necrosis, algunas con caseificación central rodeadas por células gigantes 
multinucleadas, con infiltrado linfocitario escaso y disperso 
Áreas de necrosis caseosa rodeadas de células epitelioides y algunas células gigantes 
multinucleadas, con infiltrado linfocitario 
Respuesta correcta: La foto muestra un pulmón con tuberculosis donde se puede observar el 
complejo de Ghon. A nivel microscópico se espera observar granulomas con centro de necrosis 
que puede o no ser caseosa formados por células epitelioides, una corona de linfocitos y 
fibroblastos y células gigantes multinucleadas. Como es una respuesta inflamatoria crónica no 
puede predominar el infiltrado de polimorfonucleares. 
32. Un joven de 20 años es alérgico al polen, sin pensar en esto, ingresa a un jardín de 
invierno, una hora más tarde desarrolla estornudos, secreciones oculares y rinorrea, los 
síntomas se resuelven a las pocas horas, pero reaparecen a la mañana siguiente cuando 
está trabajando en la oficina. Los síntomas persisten durante 3 días ¿Cuál de los 
siguientes tipos celulares es más probable que predomine y sea responsable de la 
respuesta inmune en esta última etapa? 
Células dendríticas 
Macrófagos 
Eosinófilos 
Mastocitos 
Respuesta correcta: Este cuadro es típico de la reacción de fase tardía en la hipersensibilidad 
de tipo I. La respuesta rápida inicial está causada, mayormente, por la desgranulación de los 
mastocitos. Después aparece la reacción de fase tardía sin más exposición al antígeno, y está 
caracterizada por un infiltrado más intenso de células inflamatorias, como neutrófilos, 
eosinófilos, basófilos, monocitos y linfocitos CD4+ Th2. Hay más destrucción tisular en esta 
fase tardía. La célula más característica en las secreciones de una respuesta alérgica es el 
eosinófilo. En el epitelio permanecen células dendríticas, linfocitos y mastocitos. 
33. Elija la respuesta que describa adecuadamente la morfología más frecuente de los 
granulomas de un paciente en el polo tuberculoide de lepra teñido con hematoxilina y 
eosina: 
Lesiones aisladas próximas a un nervio intradérmico, compuestas por macrófagos activados, 
muchos de ellos con apariencia espumosa 
Lesiones confluentes intradérmicas, compuestas por macrófagos activados, muchos de ellos 
con apariencia espumosa 
Lesiones aisladas próximas a un nervio intradérmico, compuesta por macrófagos 
activados, presencia de células gigantes y corona de linfocitos 
Lesiones confluentes intradérmicas, compuestas por macrófagos activados, presencia de 
células gigantes y corona de linfocitos 
168
Rta. Los granulomas del polo tuberculoide suelen ser paucibacilares y por lo tanto la aparición 
de macrófagos espumosos es extremadamente inusual. Las lesiones suelen ser aisladas, bien 
delimitadas y próximas a un nervio o anexo epidérmico (glándulas, folículos, etc.) 
34. ¿En cuál de estos grupos etarios sería más frecuente encontrar un osteosarcoma?: 
0 a 20 años 
20 a 40 años 
40 a 60 años 
60 a 80 años 
Respuesta correcta: El 75% de los osteosarcomas ocurren antes de los 20 años. Hay un 
segundo pico de incidencia de mucho menor magnitud luego de los 65 años, en general 
producto de otras enfermedades predisponentes como la enfermedad de Paget, infartos óseos 
o exposición a radiación. 
35. ¿Cuál de las siguientes NO es un método recomendado para la cesación tabáquica? 
Cigarrillo electrónico o vapers 
Farmacoterapia 
Intervenciones psicosociales 
Parches o chicles de nicotina 
Rta: Los cigarrillos electrónicos o vapers no han demostrado efectividad para la cesación 
tabáquica y, además, se desconocen los efectos a largo plazo que pueden tener los 
componentes de los líquidos utilizados. Las demás opciones han demostrado efectividad, como 
fue discutido en el teórico. Fuente: Teórico de tabaquismo y https://www.who.int/news-
room/fact-sheets/detail/tobacco. 
 
36. Tomando en cuenta la siguiente microfotografía, cuál sería la descripción 
macroscópica relacionada con esta histología que corresponde a un adenocarcinoma de 
colon: 
 
169
https://www.who.int/news-room/fact-sheets/detail/tobacco
https://www.who.int/news-room/fact-sheets/detail/tobacco
Pieza de colectomía que presenta una formación polipoide de crecimiento exofítico que crece 
hacia la luz del colon 
Pieza de colectomía que presenta una formación de crecimiento exofítico y endofítico en 
colon 
Pieza de colectomía que presenta una formación de crecimiento exofítico y de límites netos 
Pieza de colectomía que presenta una formación de bordes difusos con crecimiento endofítico 
exclusivamente 
Respuesta B: se observa en la foto un adenocarcinoma de colon infiltrante con crecimiento 
exofítico y endofítico, así se describe en la microscopía. No tiene aspecto polipoide, el 
adenocarcinoma no tiene límites netos, tampoco el crecimiento es exclusivo endofítico. 
37. El autoanticuerpo Scl-70 se asocia a: 
Esclerosis sistémica 
Lupus Eritematoso Sistémico 
Lupus Eritematoso Sistémico y Síndrome de Sjogren 
Todas son correctas 
 
Respuesta correcta: Esclerosis sistémica. cada especificidad de los anticuerpos se detecta en 
el 30 al 90% de los pacientes que tienen una enfermedad determinada. En particular este 
autoanticuerpo tiene una correlación alta entre la especificidad del anticuerpo y la enfermedad. 
38. Paciente trasplantado con células madres hematopoyéticas hace una semana cursa 
con exantema generalizado, de que patología sospecho: 
Enfermedad de Injerto contra huésped aguda 
Inmunodeficiencia 
Enfermedad de Injerto contra anfitrión crónica 
Todas las anteriores son correctas 
Respuesta correcta: La enfermedad de injerto contra huésped aguda se produce a los días o 
semanas del trasplante de células madres hematopoyéticas. Las principales manifestaciones 
clínicas se deben a la afectación del sistema inmunitario, de la piel, del hígado y del intestino. 
La afectación de la piel se manifiesta en forma de un exantema generalizado que puede llevar 
a la descamación en los casos graves. 
39.Un niño de 8 meses presenta malformaciones con microcefalia, paladar hendido y 
labio leporino, polidactilia y anomalías esqueléticas en los pies como antecedente 
familiar tiene madre de 40 años. ¿Cuál de las siguientes enfermedades es más frecuente 
que presente? 
Síndrome de Down 
170
Síndrome de Pateau 
Síndrome de Turner 
Síndrome de Klinefelter 
Respuesta correcta: Las características de cuadro corresponden al síndrome de Patau. Los 
individuos presentan trisomía 13. La mayoría de los casos se presentan por falta de separación 
durante la meiosis y se asocian a una copia extra, completa, del cromosoma 13. Se asocia una 
edad materna avanzada. Es raro que los lactantes sobrevivan hasta llegar al año de vida. 
40. Se le realiza una autopsia a una paciente con adicción a drogas endovenosas, y a 
nivel cardiaco se observan lesiones valvulares vegetantes, que inmediatamente hacen 
pensar en una endocarditis bacteriana como punto de partida de la sepsis. ¿Cuáles 
consideraque serían esos hallazgos morfológicos macroscópicos característicos? 
Hilera de pequeñas vegetaciones verrugosas a lo largo de las líneas de cierre valvular. 
Grandes masas irregulares sobre las cúspides valvulares que se extienden hacia las 
cuerdas tendinosas. 
Pequeñas vegetaciones lisas, insertadas en la línea de cierre. 
Vegetaciones pequeñas y medianas en uno o ambos lados de las válvulas. 
Respuesta correcta: La endocarditis bacteriana, a diferencia de las endocarditis autoinmunes, 
más delimitadas y menos destructivas, presenta lesiones más voluminosas e irregulares que 
pueden producir ruptura directa de las cuerdas y valvas. Al ser un paciente con antecedentes 
de uso de drogas endovenosas, hay que sospechar a la endocarditis bacteriana como posible 
foco de inicio de infección que llevo al shock séptico. 
 
 
 
171