Logo Passei Direto
Buscar
Material
páginas com resultados encontrados.
páginas com resultados encontrados.
left-side-bubbles-backgroundright-side-bubbles-background

Crie sua conta grátis para liberar esse material. 🤩

Já tem uma conta?

Ao continuar, você aceita os Termos de Uso e Política de Privacidade

Prévia do material em texto

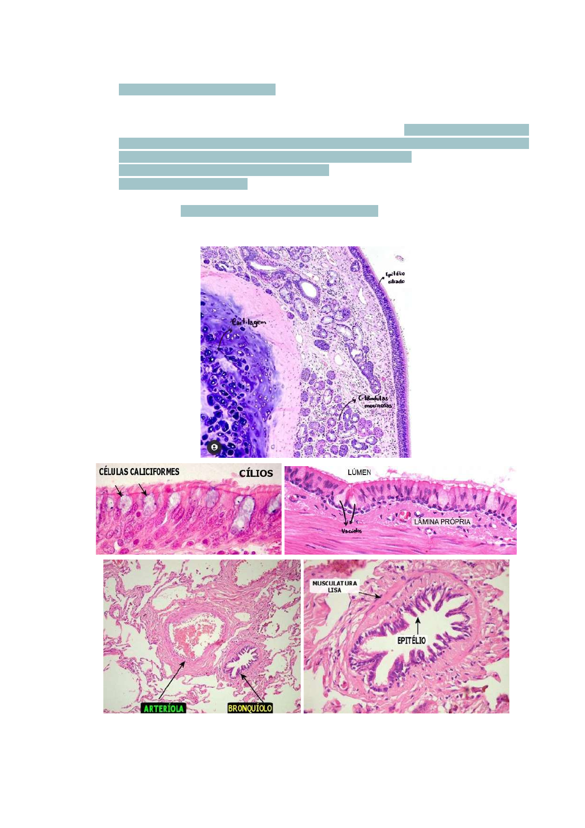
● Alterações tardias/crônicas: aumento das células caliciformes nas pequenas
vias aéreas contribui para a produção excessiva de muco e obstrução das vias
aéreas;
● O aumento da porcentagem da parede brônquica é ocupada por glândulas
mucosas submucosas, isso se correlaciona diretamente com a produção de
escarro, metaplasia escamosa, bronquiolite obliterante.
● Infiltrados inflamatórios crônicos variam de ausentes a proeminentes.
● Metaplasia escamosa: não é neoplásico, mas não tem cílio e nem produz
muco para a defesa da via aérea;
● Há também excesso de muco intracitoplasmático;
● DPOC: presença de bronquite e de enfisema em graus diferentes;

Mais conteúdos dessa disciplina