Logo Passei Direto
Buscar

Exerccios_20230609104308

Ferramentas de estudo

Questões resolvidas

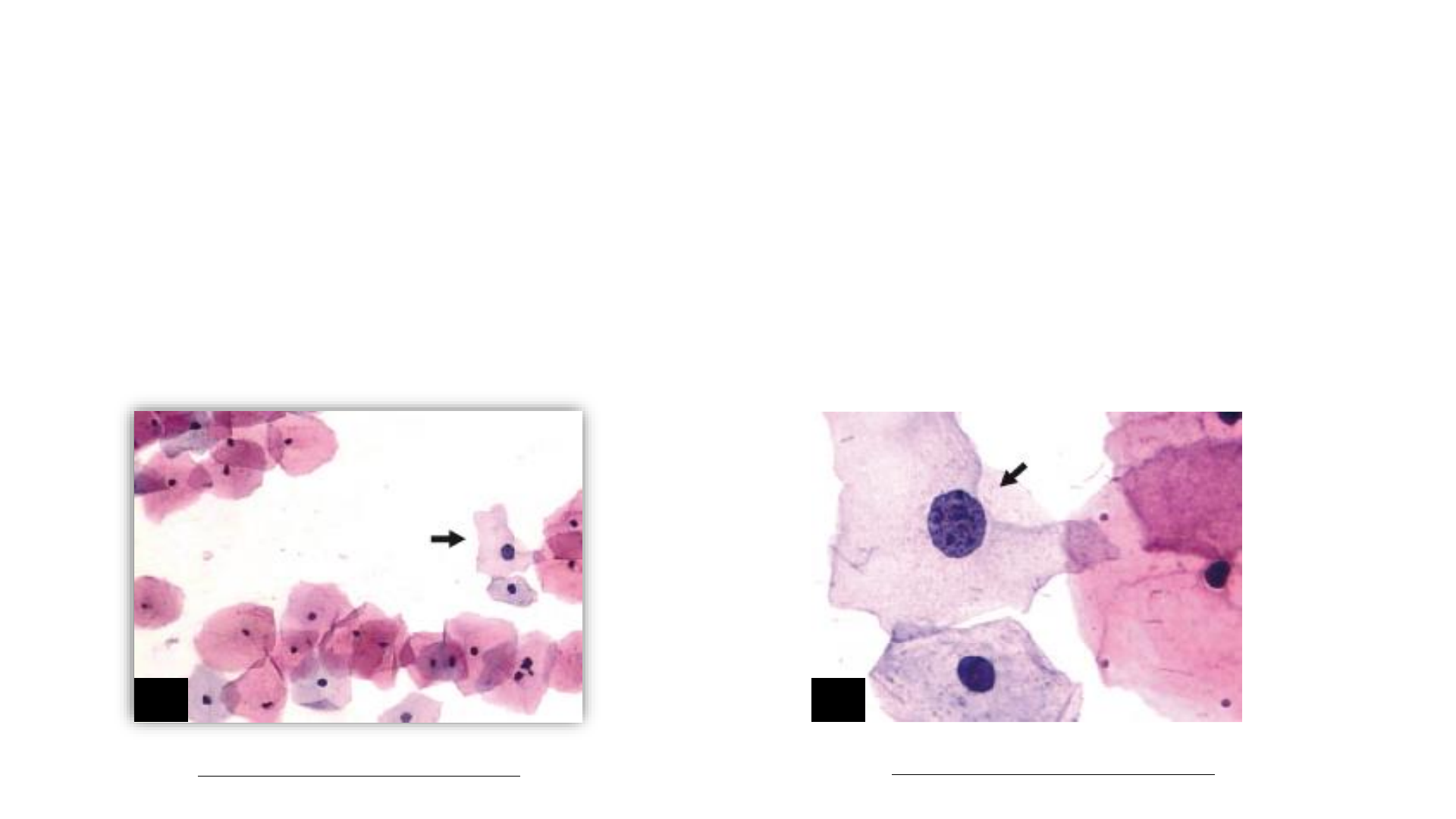
Observe as imagens a seguir e descreva o subgrupo correspondente:

- Atipia de células escamosas de significado indeterminado (ASC-US)
- Atipia de células escamosas, não sendo possível excluir lesão intraepitelial escamosa de alto grau (ASC-H)
1: ASC-US
2: ASC-US
3: ASC-H
4: ASC-US
5: ASC-H
6: ASC-H

Observe as imagens a seguir e descreva o subgrupo correspondente, indicando as anormalidades visualizadas:

- Lesão Intraepitelial Escamosa de Baixo Grau
- Lesão Intraepitelial Escamosa de Alto Grau
7: Baixo grau. Coilócitos, núcleo aumentado
8: Baixo grau. Coilócitos, binucleação
9: Alto grau. Célula intermediária e algumas células metaplásicas escamosas imaturas, com aumento de volume nuclear e da relação nucleocitoplasmática, leve alteração na forma nuclear
10: Baixo grau. Coilócitos
11: Alto grau (NIC 2). Aumento de volume nuclear, alteração da relação nucleocitoplasmática, cromatina granular
12: Alto grau (NIC 3/ carcinoma in situ). Anormalidades nucleares, citoplasma escasso e mal delimitado.

Material
páginas com resultados encontrados.
páginas com resultados encontrados.
left-side-bubbles-backgroundright-side-bubbles-background

Crie sua conta grátis para liberar esse material. 🤩

Já tem uma conta?

Ao continuar, você aceita os Termos de Uso e Política de Privacidade

left-side-bubbles-backgroundright-side-bubbles-background

Crie sua conta grátis para liberar esse material. 🤩

Já tem uma conta?

Ao continuar, você aceita os Termos de Uso e Política de Privacidade

left-side-bubbles-backgroundright-side-bubbles-background

Crie sua conta grátis para liberar esse material. 🤩

Já tem uma conta?

Ao continuar, você aceita os Termos de Uso e Política de Privacidade

left-side-bubbles-backgroundright-side-bubbles-background

Crie sua conta grátis para liberar esse material. 🤩

Já tem uma conta?

Ao continuar, você aceita os Termos de Uso e Política de Privacidade

left-side-bubbles-backgroundright-side-bubbles-background

Crie sua conta grátis para liberar esse material. 🤩

Já tem uma conta?

Ao continuar, você aceita os Termos de Uso e Política de Privacidade

left-side-bubbles-backgroundright-side-bubbles-background

Crie sua conta grátis para liberar esse material. 🤩

Já tem uma conta?

Ao continuar, você aceita os Termos de Uso e Política de Privacidade

Questões resolvidas

Observe as imagens a seguir e descreva o subgrupo correspondente:

- Atipia de células escamosas de significado indeterminado (ASC-US)
- Atipia de células escamosas, não sendo possível excluir lesão intraepitelial escamosa de alto grau (ASC-H)
1: ASC-US
2: ASC-US
3: ASC-H
4: ASC-US
5: ASC-H
6: ASC-H

Observe as imagens a seguir e descreva o subgrupo correspondente, indicando as anormalidades visualizadas:

- Lesão Intraepitelial Escamosa de Baixo Grau
- Lesão Intraepitelial Escamosa de Alto Grau
7: Baixo grau. Coilócitos, núcleo aumentado
8: Baixo grau. Coilócitos, binucleação
9: Alto grau. Célula intermediária e algumas células metaplásicas escamosas imaturas, com aumento de volume nuclear e da relação nucleocitoplasmática, leve alteração na forma nuclear
10: Baixo grau. Coilócitos
11: Alto grau (NIC 2). Aumento de volume nuclear, alteração da relação nucleocitoplasmática, cromatina granular
12: Alto grau (NIC 3/ carcinoma in situ). Anormalidades nucleares, citoplasma escasso e mal delimitado.

Prévia do material em texto

Exercícios
Observe as imagens a seguir e descreva o subgrupo correspondente:
- Atipia de células escamosas de significado indeterminado (ASC-US)
- Atipia de células escamosas, não sendo possível excluir lesão intraepitelial escamosa de alto grau (ASC-H)
1 2
3 4
5
6
Gabarito
• 1: ASC-US
• 2: ASC-US
• 3: ASC-H
• 4: ASC-US
• 5: ASC-H
• 6: ASC-H
Exercícios
Observe as imagens a seguir e descreva o subgrupo correspondente, indicando as 
anormalidades visualizadas:
- Lesão Intraepitelial Escamosa de Baixo Grau
- Lesão Intraepitelial Escamosa de Alto Grau
7 8
10
11
12
9
Gabarito
• 7: Baixo grau. Coilócitos, núcleo aumentado
• 8: Baixo grau. Coilócitos, binucleação
• 9: Alto grau. Célula intermediária e algumas células metaplásicas
escamosas imaturas, com aumento de volume nuclear e da relação 
nucleocitoplasmática, leve alteração na forma nuclear
• 10: Baixo grau. Coilócitos
• 11: Alto grau (NIC 2). Aumento de volume nuclear, alteração da 
relação nucleocitoplasmática, cromatina granular 
• 12: Alto grau (NIC 3/ carcinoma in situ). Anormalidades nucleares, 
citoplasma escasso e mal delimitado.

Mais conteúdos dessa disciplina