Logo Passei Direto
Buscar
Material
páginas com resultados encontrados.
páginas com resultados encontrados.
left-side-bubbles-backgroundright-side-bubbles-background

Crie sua conta grátis para liberar esse material. 🤩

Já tem uma conta?

Ao continuar, você aceita os Termos de Uso e Política de Privacidade

left-side-bubbles-backgroundright-side-bubbles-background

Crie sua conta grátis para liberar esse material. 🤩

Já tem uma conta?

Ao continuar, você aceita os Termos de Uso e Política de Privacidade

Prévia do material em texto

CASO CLÍNICO - NEUROPARASITOSE 
 
Nos Estados Unidos, um homem de 65 anos compareceu em um hospital local apresentando 
confusão, alterações de comportamento e convulsões. O paciente era um fazendeiro aposentado, até 
então saudável, e não tomava nenhuma medicação. Durante a admissão encontrava-se afebril e 
demonstrava problemas de memória e dificuldade em ler. O paciente relatou ter feito uma viagem à 
Tailândia 5 meses antes. 
 
 
 
 
 
 
 
 
 
 
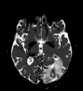
Uma ressonância magnética com contraste do cérebro revelou uma lesão em anel de 16 mm no lobo 
occipital esquerdo, rodeado por edema. O paciente foi tratado com Levetiracetam e transferido para o 
departamento de Neurocirurgia com suspeita de um abscesso cerebral. 
Foram realizados exames laboratoriais de cultura e microscopia com coloração de Gram e de Ziehl 
(azul metileno) que não revelaram presença de micro-organismos descartando possíveis infecções por 
bactérias. Fez-se, ainda, a retirada de materiais para biópsia da lesão que mostrou necrose, sem sinais 
de abcesso ou malignidade, e não havia exudato visível. 
Foi iniciado tratamento com meropenem, ácido fusídico e metronidazol, mas o paciente não 
apresentou melhora. Uma tomografia computadorizada com contraste feita 2 semanas depois mostrou 
aumento das lesões. Uma cirurgia foi feita e uma secção de 30 mm de tecido foi removido. As análises 
microbiológicas e histopatológicas foram similares à primeira biópsia. Os sintomas neurológicos 
progrediram, e o paciente apresentava dificuldades em exercer atividades diárias. 
Cinco dias após a cirurgia, o paciente foi transferido ao departamento de Doenças Infecciosas 
para investigações mais profundas. Uma história mais detalhada do paciente revelou que ele havia feito 
várias viagens à Tailândia para visitar sua namorada, e após isso foi feito um teste para VIH que deu 
positivo. Além disso, relatou que na fazenda mantinha atividade diária no manejo de animais e que cães 
e gatos circulavam no peridomicílio. Informou ainda que boa parte das hortaliças e frutas eram oriundas 
da própria fazenda. 
A contagem de células T CD4 foi de 20 células por microlitro (normal: 390-1700 células). A 
contagem de glóbulos brancos estava normal assim como a dosagem de proteína C reativa (PCR) 
também, porém o exame clínico ainda revelou confusão mental, memória pobre e falta de consciência de 
sua própria condição. O exame de fezes não evidenciou a presença de parasitos e o exame de urina não 
estava alterado. 
Foi solicitado exame de sequenciamento de DNA para verificar a presença de bactérias, fungos e 
parasitos que revelou 99% (16S) e 100% (D2LSU) de compatibilidade com sequências de um 
determinado protozoário, normalmente oportunista em pacientes com SIDA. Foi realizado diagnóstico 
molecular (reação da cadeia da polimerase – PCR) nas biópsias iniciais junto com análise histológica 
usando um anticorpo específico para esse micro-organismo para confirmar o diagnóstico, além de exame 
sorológico (IgG positivo/IgM negativo). No exame, histopatológico revelou processo inflamatório crônico 
circundando material necrótico, permeado por células linfomononucleares, a maioria das quais, 
macrófagos vacuolizados (células grânulo gordurosas). 
Após diagnóstico confirmado o paciente foi tratado com sulfadiazina e pirimetamina, além de 
terapia antirretroviral. As condições clínicas do paciente melhoraram após o tratamento. 
 
 
Perguntas 
 
1 - Qual foi o diagnóstico encontrado após exames moleculares? Quais as características do micro-
organismo achado? 
2- Qual foi a finalidade do uso de Levetiracetam para o tratamento do paciente? Essa escolha foi 
adequada? 
3- O contexto de vida do paciente foi relevante para se chegar ao diagnóstico final? 
4- Por que os exames laboratoriais feitos inicialmente não revelaram a presença de micro-organismos? 
5- Por que o segundo grupo de medicamentos prescritos não foi eficiente? 
6- Qual a relevância da contagem de células T CD4 para o quadro clinico do paciente? 
7- Quais informações a dosagem de PCR e o leucograma podem fornecer? 
8- Após descoberto o diagnóstico, o tratamento com pirimetamina e sulfadiazina foi adequado? Por que? 
9-Discuta o valor da sorologia, do exame molecular PCR e do sequenciamento para o diagnóstico deste 
parasito. 
10-Como a SIDA pode afetar o quadro clínico desta parasitose?

Mais conteúdos dessa disciplina