Logo Passei Direto
Buscar

Lista de questões de TRAUMA

User badge image
Natally Sato

em

Ferramentas de estudo

Questões resolvidas

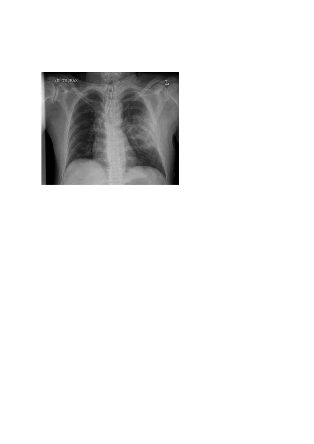
Paciente de 18 anos, vítima de trauma, apresenta o r-X ilustrado a seguir. Nesse momento, é recomendável
A. punção de alívio no 2º espaço intercostal, linha hemiclavicular.
B. drenagem no tórax 5º espaço intercostal, linha axilar média
C. pericardiocentese.
D. toracotomia de emergência.
E. ventilação e oxigenação.

A avaliação do paciente politraumatizado segue diversos protocolos para o seu atendimento inicial. O mais comumente utilizado em nosso meio é o ATLS. Nesse protocolo, a letra D da sequência mnemônica ABCDE, refere-se à:
A. Permeabilidade da via aérea.
B. Avaliação do estado neurológico inicial.
C. Avaliação da circulação periférica e síndromes compartimentais.
D. Ausculta cárdiopulmonar e avaliação da parada cárdiorrespiratória.
E. Exposição e exame, com remoção de roupas, colares, anéis, etc.

No atendimento ao paciente politraumatizado, qual das opções abaixo é condição que ameaça a vida?
A. Laceração lingual.
B. Fratura de costela.
C. Hematúria.
D. Fratura traqueal.
E. Fratura do úmero.

Para o manejo de urgência das possíveis lesões na coluna cervical em pacientes politraumatizados com mais de 65 anos, com estado mental alterado, que sofreram queda de alguns lances de escada, tendo em vista os índices significativamente menores de exames com resultados falso-negativos, o exame diagnóstico preferencial é:
A. Exame físico para avaliar a sensibilidade.
B. Anamnese clínica.
C. Tomografia computadorizada.
D. Radiografia de coluna cervical em extensão.
E. Radiografia de coluna cervical em flexão.

No atendimento pré-hospitalar de uma fratura exposta, devemos:
A. Reduzir a fratura.
B. Suturar o ferimento.
C. Lavar o ferimento.
D. Cobrir o ferimento com material limpo.
E. Remover corpos estranhos do ferimento.

No traumatismo de crânio, deve-se avaliar preferencialmente:
A. resposta motora, pupilas e condição ventilatória.
B. sensibilidade, resposta motora e pupilas.
C. resposta motora, resposta verbal e abertura ocular.
D. resposta motora, condição ventilatória e crise convulsiva.
E. sensibilidade, pupilas e condição ventilatória.

Paciente vem ao pronto-socorro referindo que, após uma altercação em um bar próximo, tem uma faca presa na coxa esquerda. Já avaliado, sem perigo de morte. Ao raio X, a faca encontra-se em região profunda da coxa, porém sem fratura. Diante desse quadro, assinale a alternativa que apresenta a conduta correta.
A. Retirar a faca da coxa no pronto-socorro.
B. Avaliar a função neurológica antes e depois de retirar a faca no pronto-socorro.
C. A faca deve ser retirada no centro cirúrgico, pelo risco de destamponamento eventual de um grande vaso.
D. A faca pode ser retirada tanto no pronto-socorro como no centro cirúrgico. Se retirada no PS, deve ser usado um garrote pneumático na coxa para evitar sangramentos.
E. A faca pode ser retirada no pronto-socorro, desde que se proceda com a assepsia e antissepsia da região.

Na avaliação da cinemática do trauma, são lesões consideradas esperadas no trauma com impacto frontal, exceto:
A. Fratura de coluna cervical.
B. Secção de aorta.
C. Fratura de clavícula.
D. Fratura ou luxação de quadril e/ou de joelho e tornozelo.

No atendimento pré-hospitalar de uma vítima politraumatizada, a abordagem primária é subdividida em duas fases: a abordagem primária rápida e a abordagem primária completa. Baseada em uma sequência de passos a ser cumpridos pelos socorristas, convencionalmente denominada ABCD do trauma, a abordagem primária completa de uma pessoa politraumatizada inicia-se com a:
A. observação da vítima para avaliar se está consciente e respirando, bem como se é capaz de falar.
B. avaliação das vias aéreas da vítima, com atenção à possível existência de corpos estranhos na cavidade oral.
C. palpação do pulso radial ou do pulso carotídeo da vítima.
D. verificação da coloração da pele e do enchimento capilar da vítima.
E. aproximação frontal à vítima a fim de assegurar o controle de sua coluna cervical.

O Trauma Cranioencefálico (TCE) é causado por uma agressão ou por uma aceleração ou desaceleração de alta intensidade do cérebro dentro do crânio. Esse processo causa comprometimento estrutural e funcional do couro cabeludo, crânio, meninges, encéfalo ou de seus vasos. O TCE é um trauma que não apresenta origem degenerativa ou congênita, e pode causar diminuição ou alteração de consciência, resultando em alterações que afetam diretamente o funcionamento físico, cognitivo (memória, aprendizado e atenção), comportamental ou emocional. Sabendo que um paciente vítima de TCE deu entrada no Setor de Emergência, analise as assertivas abaixo sobre a conduta adequada adotada pelos profissionais da saúde: I. Garantir a estabilização manual da coluna cervical e garantir permeabilidade de via aérea. II. Oferecer O2 sob máscara não reinalante 10 a 15 L/min se SatO2 < 94% e monitorizar a oximetria de pulso. III. Avaliar precocemente a Escala de Coma de Glasgow e controlar sangramentos externos. IV. Avaliação da reação pupilar e aferição dos sinais vitais. V. Realizar a mobilização cuidadosa e a imobilização adequada da coluna cervical, tronco e membros, em prancha longa com alinhamento anatômico. Quais estão corretas?
A. Apenas I e V.
B. Apenas II e IV.
C. Apenas I, II e III.
D. Apenas III, IV e V.

Material
páginas com resultados encontrados.
páginas com resultados encontrados.
left-side-bubbles-backgroundright-side-bubbles-background

Crie sua conta grátis para liberar esse material. 🤩

Já tem uma conta?

Ao continuar, você aceita os Termos de Uso e Política de Privacidade

left-side-bubbles-backgroundright-side-bubbles-background

Crie sua conta grátis para liberar esse material. 🤩

Já tem uma conta?

Ao continuar, você aceita os Termos de Uso e Política de Privacidade

left-side-bubbles-backgroundright-side-bubbles-background

Crie sua conta grátis para liberar esse material. 🤩

Já tem uma conta?

Ao continuar, você aceita os Termos de Uso e Política de Privacidade

left-side-bubbles-backgroundright-side-bubbles-background

Crie sua conta grátis para liberar esse material. 🤩

Já tem uma conta?

Ao continuar, você aceita os Termos de Uso e Política de Privacidade

Questões resolvidas

Paciente de 18 anos, vítima de trauma, apresenta o r-X ilustrado a seguir. Nesse momento, é recomendável
A. punção de alívio no 2º espaço intercostal, linha hemiclavicular.
B. drenagem no tórax 5º espaço intercostal, linha axilar média
C. pericardiocentese.
D. toracotomia de emergência.
E. ventilação e oxigenação.

A avaliação do paciente politraumatizado segue diversos protocolos para o seu atendimento inicial. O mais comumente utilizado em nosso meio é o ATLS. Nesse protocolo, a letra D da sequência mnemônica ABCDE, refere-se à:
A. Permeabilidade da via aérea.
B. Avaliação do estado neurológico inicial.
C. Avaliação da circulação periférica e síndromes compartimentais.
D. Ausculta cárdiopulmonar e avaliação da parada cárdiorrespiratória.
E. Exposição e exame, com remoção de roupas, colares, anéis, etc.

No atendimento ao paciente politraumatizado, qual das opções abaixo é condição que ameaça a vida?
A. Laceração lingual.
B. Fratura de costela.
C. Hematúria.
D. Fratura traqueal.
E. Fratura do úmero.

Para o manejo de urgência das possíveis lesões na coluna cervical em pacientes politraumatizados com mais de 65 anos, com estado mental alterado, que sofreram queda de alguns lances de escada, tendo em vista os índices significativamente menores de exames com resultados falso-negativos, o exame diagnóstico preferencial é:
A. Exame físico para avaliar a sensibilidade.
B. Anamnese clínica.
C. Tomografia computadorizada.
D. Radiografia de coluna cervical em extensão.
E. Radiografia de coluna cervical em flexão.

No atendimento pré-hospitalar de uma fratura exposta, devemos:
A. Reduzir a fratura.
B. Suturar o ferimento.
C. Lavar o ferimento.
D. Cobrir o ferimento com material limpo.
E. Remover corpos estranhos do ferimento.

No traumatismo de crânio, deve-se avaliar preferencialmente:
A. resposta motora, pupilas e condição ventilatória.
B. sensibilidade, resposta motora e pupilas.
C. resposta motora, resposta verbal e abertura ocular.
D. resposta motora, condição ventilatória e crise convulsiva.
E. sensibilidade, pupilas e condição ventilatória.

Paciente vem ao pronto-socorro referindo que, após uma altercação em um bar próximo, tem uma faca presa na coxa esquerda. Já avaliado, sem perigo de morte. Ao raio X, a faca encontra-se em região profunda da coxa, porém sem fratura. Diante desse quadro, assinale a alternativa que apresenta a conduta correta.
A. Retirar a faca da coxa no pronto-socorro.
B. Avaliar a função neurológica antes e depois de retirar a faca no pronto-socorro.
C. A faca deve ser retirada no centro cirúrgico, pelo risco de destamponamento eventual de um grande vaso.
D. A faca pode ser retirada tanto no pronto-socorro como no centro cirúrgico. Se retirada no PS, deve ser usado um garrote pneumático na coxa para evitar sangramentos.
E. A faca pode ser retirada no pronto-socorro, desde que se proceda com a assepsia e antissepsia da região.

Na avaliação da cinemática do trauma, são lesões consideradas esperadas no trauma com impacto frontal, exceto:
A. Fratura de coluna cervical.
B. Secção de aorta.
C. Fratura de clavícula.
D. Fratura ou luxação de quadril e/ou de joelho e tornozelo.

No atendimento pré-hospitalar de uma vítima politraumatizada, a abordagem primária é subdividida em duas fases: a abordagem primária rápida e a abordagem primária completa. Baseada em uma sequência de passos a ser cumpridos pelos socorristas, convencionalmente denominada ABCD do trauma, a abordagem primária completa de uma pessoa politraumatizada inicia-se com a:
A. observação da vítima para avaliar se está consciente e respirando, bem como se é capaz de falar.
B. avaliação das vias aéreas da vítima, com atenção à possível existência de corpos estranhos na cavidade oral.
C. palpação do pulso radial ou do pulso carotídeo da vítima.
D. verificação da coloração da pele e do enchimento capilar da vítima.
E. aproximação frontal à vítima a fim de assegurar o controle de sua coluna cervical.

O Trauma Cranioencefálico (TCE) é causado por uma agressão ou por uma aceleração ou desaceleração de alta intensidade do cérebro dentro do crânio. Esse processo causa comprometimento estrutural e funcional do couro cabeludo, crânio, meninges, encéfalo ou de seus vasos. O TCE é um trauma que não apresenta origem degenerativa ou congênita, e pode causar diminuição ou alteração de consciência, resultando em alterações que afetam diretamente o funcionamento físico, cognitivo (memória, aprendizado e atenção), comportamental ou emocional. Sabendo que um paciente vítima de TCE deu entrada no Setor de Emergência, analise as assertivas abaixo sobre a conduta adequada adotada pelos profissionais da saúde: I. Garantir a estabilização manual da coluna cervical e garantir permeabilidade de via aérea. II. Oferecer O2 sob máscara não reinalante 10 a 15 L/min se SatO2 < 94% e monitorizar a oximetria de pulso. III. Avaliar precocemente a Escala de Coma de Glasgow e controlar sangramentos externos. IV. Avaliação da reação pupilar e aferição dos sinais vitais. V. Realizar a mobilização cuidadosa e a imobilização adequada da coluna cervical, tronco e membros, em prancha longa com alinhamento anatômico. Quais estão corretas?
A. Apenas I e V.
B. Apenas II e IV.
C. Apenas I, II e III.
D. Apenas III, IV e V.

Prévia do material em texto

Lista de questões de TRAUMA
1. (VUNESP - 2019) Paciente de 18 anos, vítima de trauma, apresenta o r-X ilustrado a
seguir.
Nesse momento, é recomendável
A. punção de alívio no 2º espaço intercostal, linha hemiclavicular.
B. drenagem no tórax 5º espaço intercostal, linha axilar média
C. pericardiocentese.
D. toracotomia de emergência.
E. ventilação e oxigenação.
Resposta E - ventilação e oxigenação
2. (FEPESE - 2018) A avaliação do paciente politraumatizado segue diversos protocolos
para o seu atendimento inicial. O mais comumente utilizado em nosso meio é o ATLS.
Nesse protocolo, a letra D da sequência mnemônica ABCDE, refere-se à:
A. Permeabilidade da via aérea.
B. Avaliação do estado neurológico inicial.
C. Avaliação da circulação periférica e síndromes compartimentais.
D. Ausculta cárdiopulmonar e avaliação da parada cárdiorrespiratória.
E. Exposição e exame, com remoção de roupas, colares, anéis, etc.
Resposta B - Avaliação do Estado neurológico inicial
3. (FUNDATEC - 2019) No atendimento ao paciente politraumatizado, qual das opções
abaixo é condição que ameaça a vida?
A. Laceração lingual.
B. Fratura de costela.
C. Hematúria.
D. Fratura traqueal.
E. Fratura do úmero.
Resposta D - Fratura traqueal
4. (FUNDATEC - 2019)Para o manejo de urgência das possíveis lesões na coluna cervical
em pacientes politraumatizados com mais de 65 anos, com estado mental alterado, que
sofreram queda de alguns lances de escada, tendo em vista os índices significativamente
menores de exames com resultados falso-negativos, o exame diagnóstico preferencial é:
A. Exame físico para avaliar a sensibilidade.
B. Anamnese clínica.
C. Tomografia computadorizada.
D. Radiografia de coluna cervical em extensão.
E. Radiografia de coluna cervical em flexão.
Resposta C - Tomografia computadorizada
5. (FUNDATEC - 2019) No atendimento pré-hospitalar de uma fratura exposta, devemos:
A. Reduzir a fratura.
B. Suturar o ferimento.
C. Lavar o ferimento.
D. Cobrir o ferimento com material limpo.
E. Remover corpos estranhos do ferimento.
Resposta D - Cobrir o ferimento com material limpo
6. (IBADE - 2020) No traumatismo de crânio, deve-se avaliar preferencialmente:
A. resposta motora, pupilas e condição ventilatória.
B. sensibilidade, resposta motora e pupilas.
C. resposta motora, resposta verbal e abertura ocular.
D. resposta motora, condição ventilatória e crise convulsiva.
E. sensibilidade, pupilas e condição ventilatória.
Resposta C - Resposta motora, resposta verbal e abertura ocular
7. (VUNESP - 2019) Paciente vem ao pronto-socorro referindo que, após uma altercação
em um bar próximo, tem uma faca presa na coxa esquerda. Já avaliado, sem perigo de
morte. Ao raio X, a faca encontra-se em região profunda da coxa, porém sem fratura. Diante
desse quadro, assinale a alternativa que apresenta a conduta correta.
A. Retirar a faca da coxa no pronto-socorro.
B. Avaliar a função neurológica antes e depois de retirar a faca no pronto-socorro.
C. A faca deve ser retirada no centro cirúrgico, pelo risco de destamponamento
eventual de um grande vaso.
D. A faca pode ser retirada tanto no pronto-socorro como no centro cirúrgico. Se
retirada no PS, deve ser usado um garrote pneumático na coxa para evitar
sangramentos.
E. A faca pode ser retirada no pronto-socorro, desde que se proceda com a assepsia e
antissepsia da região.
Resposta C - A faca deve ser retirada no centro cirúrgico, pelo risco de destamponamento
eventual de um grande vaso.
8. (MS CONCURSOS - 2019) Na avaliação da cinemática do trauma, são lesões
consideradas esperadas no trauma com impacto frontal, exceto:
A. Fratura de coluna cervical.
B. Secção de aorta.
C. Fratura de clavícula.
D. Fratura ou luxação de quadril e/ou de joelho e tornozelo.
Resposta C - Fratura de clavícula
9. (FUNDATEC- 2017) No atendimento pré-hospitalar de uma vítima politraumatizada, a
abordagem primária é subdividida em duas fases: a abordagem primária rápida e a
abordagem primária completa. Baseada em uma sequência de passos a ser cumpridos
pelos socorristas, convencionalmente denominada ABCD do trauma, a abordagem primária
completa de uma pessoa politraumatizada inicia-se com a:
A. observação da vítima para avaliar se está consciente e respirando, bem como se é
capaz de falar.
B. avaliação das vias aéreas da vítima, com atenção à possível existência de corpos
estranhos na cavidade oral.
C. palpação do pulso radial ou do pulso carotídeo da vítima.
D. verificação da coloração da pele e do enchimento capilar da vítima.
E. aproximação frontal à vítima a fim de assegurar o controle de sua coluna cervical.
Resposta B - avaliação das vias aéreas da vítima, com atenção à possível existência de
corpos estranhos na cavidade oral.
10. (FUNDATEC- 2017) O Trauma Cranioencefálico (TCE) é causado por uma agressão ou
por uma aceleração ou desacelaração de alta intensidade do cérebro dentro do crânio. Esse
processo causa comprometimento estrutural e funcional do couro cabeludo, crânio,
meninges, encéfalo ou de seus vasos. O TCE é um trauma que não apresenta origem
degenerativa ou congênita, e pode causar diminuição ou alteração de consciência,
resultando em alterações que afetam diretamente o funcionamento físico, cognitivo
(memória, aprendizado e atenção), comportamental ou emocional. Sabendo que um
paciente vítima de TCE deu entrada no Setor de Emergência, analise as assertivas abaixo
sobre a conduta adequada adotada pelos profissionais da saúde: I. Garantir a
estabilização manual da coluna cervical e garantir permeabilidade de via aérea. II. Oferecer
O2 sob máscara não reinalante 10 a 15 L/min se SatO2 < 94% e monitorizar a oximetria de
pulso. III. Avaliar precocemente a Escala de Coma de Glasgow e controlar sangramentos
externos. IV. Avaliação da reação pupilar e aferição dos sinais vitais. V. Realizar a
mobilização cuidadosa e a imobilização adequada da coluna cervical, tronco e membros,
em prancha longa com alinhamento anatômico. Quais estão corretas?
A. Apenas I e V.
B. Apenas II e IV.
C. Apenas I, II e III.
D. Apenas III, IV e V.
E. I, II, III, IV e V.
Resposta A - Apenas I e V.

Mais conteúdos dessa disciplina