Logo Passei Direto
Buscar
Material
páginas com resultados encontrados.
páginas com resultados encontrados.
left-side-bubbles-backgroundright-side-bubbles-background

Crie sua conta grátis para liberar esse material. 🤩

Já tem uma conta?

Ao continuar, você aceita os Termos de Uso e Política de Privacidade

Prévia do material em texto

ATIVIDADE DE APRENDIZAGEM – ESTUDO DOS COMPONENTES SANGUÍNEOS
NOME: ___________________________________________________________________________________ DATA: ___________
1. Qual a função do sangue?
2. Qual a composição do plasma?
3. Os leucócitos são divididos em dois grupos: granulócitos e agranulócitos. Cite quais células fazem parte de cada grupo.
4. Explique a morfologia e a função das hemácias. 
5. Qual o nome de uma importante proteína encontrada no interior das hemácias que confere coloração vermelha às mesmas?
6. Explique a morfologia e a função dos neutrófilos. 
7. Explique a morfologia e a função dos eosinófilos.
8. Explique a morfologia e a função dos monócitos.
9. Explique a morfologia e a função dos linfócitos.
10. Quais são as características morfológicas das plaquetas? Qual a função desempenhada por elas?
11. Julgue as afirmativas a seguir em Verdadeiras ou Falsas e justifique as falsas. 
	( )
	O sangue é composto de glóbulos vermelhos, brancos e soro.
	( )
	Os glóbulos vermelhos transportam principalmente CO2 do sangue para os tecidos.
	( )
	As plaquetas participam da hemostasia.
	( )
	As betaglobulinas são os anticorpos.
	( )
	Os monócitos são células que possuem núcleo lobulado, com três a cinco lóbulos.
12. Ao realizar um exame de DNA a partir de amostra sanguínea a fim de confirmar autoria de um crime, o perito forense estará utilizando DNA extraído de qual célula sanguínea?
a) Hemácias
b) Plaquetas
c) Glóbulos vermelhos
d) Glóbulos brancos
e) Plasma
13. CONCURSO PÚBLICO – MÉDICO HEMATOLOGISTA PARÁ – SESPA (ADAPTADA)
Em relação às características de um neutrófilo normal, é INCORRETO afirmar:
a) É o leucócito predominante do sangue periférico;
b) É um fagócito;
c) Tem núcleo lobular segmentado, sendo também chamado de segmentado e\ou polimorfonuclear;
d) Apresenta citoplasma reduzido com grânulos grosseiros.
14. A Trombocitopenia é condição que leva a uma dificuldade na coagulação, gerando uma propensão a sangramentos e é encontrada em pacientes com dengue na forma grave. Com base nestas informações a trombocitopenia é:
a) Redução na quantidade de leucócitos
b) Redução na quantidade de monoblastos
c) Aumento de linfócitos T CD8
d) Redução na quantidade de plaquetas
e) Aumento na quantidade de linfócitos T
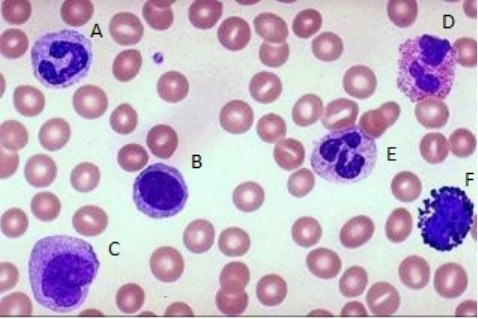
15. Identifique os glóbulos brancos A, B, C, D, E, F:

Mais conteúdos dessa disciplina