Logo Passei Direto
Buscar
Material
páginas com resultados encontrados.
páginas com resultados encontrados.
left-side-bubbles-backgroundright-side-bubbles-background

Crie sua conta grátis para liberar esse material. 🤩

Já tem uma conta?

Ao continuar, você aceita os Termos de Uso e Política de Privacidade

Prévia do material em texto

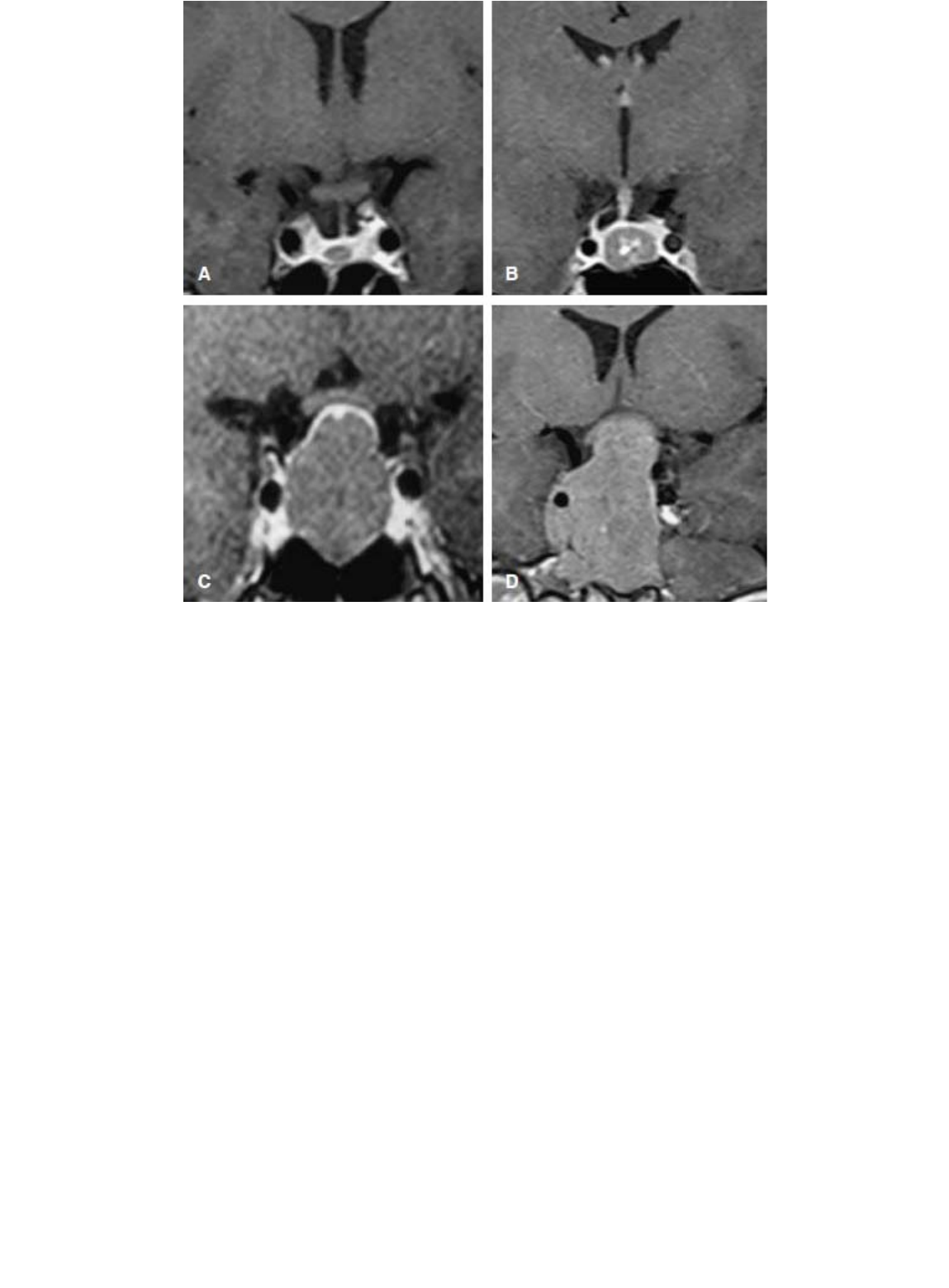
Figura 7.1 Exemplos de ressonância magnética de sela túrcica pré-operatória de pacientes com acromegalia curados com
tratamento primário cirúrgico (corte coronal, sequência pesada em T1, após administração de gadolínio). A. Microadenoma
intrasselar. B. Macroadenoma intrasselar. C. Macroadenoma com expansão infrasselar e suprasselar com rechaço superior
do quiasma óptico. D. Macroadenoma com expansão infrasselar e suprasselar com compressão de quiasma óptico e
parasselar direita (a possível invasão de seio cavernoso à direita não se confirmou durante o procedimento cirúrgico).
Cuidados perioperatórios
Na presença de hipotireoidismo e/ou insuficiência adrenal centrais, as deficiências hormonais devem ser corrigidas antes da
cirurgia. Em caso de deficiência corticotrófica, o glicocorticoide durante a cirurgia deve ser prescrito para cobertura de situação
de estresse cirúrgico. A função corticotrófica deve ser reavaliada com 1 semana de cirurgia, e as funções tireoidiana e gonadal
devem ser reavaliadas com 4 semanas de pós-operatório. Caso a avaliação seja normal, não há necessidade de reavaliação
posterior. Pode haver recuperação da função hipofisária após a retirada do adenoma.3
Nos pacientes com queixa visual antes da cirurgia e/ou com tumores tocando as vias ópticas, deve ser solicitada campimetria
visual manual (pelo método de Goldmann) e a mesma deve ser repetida após 1 mês de cirurgia.
Complicações da cirurgia
Considerando as cirurgias pela via transesfenoidal, a mortalidade pós-operatória é baixa (< 1%) e as complicações se
correlacionam inversamente com a experiência do cirurgião; as mais frequentes são diabetes insípido (DI) transitório (20 a
30%) ou permanente (2 a 7%), secreção inapropriada do hormônio antidiurético (SIADH, 10 a 20%), sinusite (8%), fístula
liquórica (5%), epistaxe (2%), meningite (1%), paralisias oculomotoras, perda visual e lesão da carótida (raras).4,6,8
É necessário o monitoramento do balanço hídrico por até 2 semanas de pós-operatório, pois pode ocorrer SIADH em até 20%
dos pacientes e DI transitório em até 30% dos pacientes.13–15 A SIADH se manifesta por hiponatremia, cujo quadro clínico é
inespecífico e pode se confundir com o quadro de insuficiência adrenal (hiporexia, náuseas, tontura, redução do nível de
consciência). A hiponatremia é mais comum nas primeiras 48 horas de pós-operatório, mas um segundo pico de incidência de
hiponatremia sintomática ocorre com 7 a 8 dias de cirurgia.14 Desse modo, é muito importante monitorar a natremia do paciente
nesse período.
file:///C|/Users/AnaMilk/Desktop/Vilar/Endocrinologia%20Cl%EDnica,%20Sexta%20edi%E7%E3o%20(125).html#bib3
file:///C|/Users/AnaMilk/Desktop/Vilar/Endocrinologia%20Cl%EDnica,%20Sexta%20edi%E7%E3o%20(125).html#bib4
file:///C|/Users/AnaMilk/Desktop/Vilar/Endocrinologia%20Cl%EDnica,%20Sexta%20edi%E7%E3o%20(125).html#bib6
file:///C|/Users/AnaMilk/Desktop/Vilar/Endocrinologia%20Cl%EDnica,%20Sexta%20edi%E7%E3o%20(125).html#bib8
file:///C|/Users/AnaMilk/Desktop/Vilar/Endocrinologia%20Cl%EDnica,%20Sexta%20edi%E7%E3o%20(125).html#bib13
file:///C|/Users/AnaMilk/Desktop/Vilar/Endocrinologia%20Cl%EDnica,%20Sexta%20edi%E7%E3o%20(125).html#bib15
file:///C|/Users/AnaMilk/Desktop/Vilar/Endocrinologia%20Cl%EDnica,%20Sexta%20edi%E7%E3o%20(125).html#bib14
	Endocrinologia Clinica - Vilar 6 edicao

Mais conteúdos dessa disciplina