Logo Passei Direto
Buscar
Buscar
Premium Vitalício
Aprender Inglês
PD Concursos
Enviar material
Entrar
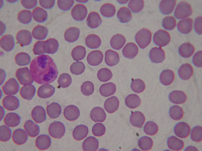
Eosinófilo -
Hematologia
FALS
Elinadia de Sousa Silva
em
02/08/2016
0
Reportar
Reportar
Gabarito
Exercícios
Mapa mental
Resumo
Mais opções
Ferramentas de estudo
Gabarito
Exercícios
Mapa mental
Resumo
Mostrar todas
Conteúdos escolhidos para você
1 pág.
Características dos Eosinófilos
UNIAN - SP
2 pág.
Função dos Neutrófilos e Eosinófilos
FOR
Perguntas dessa disciplina
Os eosinófilos exibem grânulos citoplasmáticos que se coram de vermelho ou vermelho-alaranjado (grânulos eosinófilos). Têm aproximadamente o mesmo ...
UNINASSAU TERESINA
Leia o trecho a seguir: “Os eosinófilos exibem grânulos citoplasmáticos que se coram de vermelho ou vermelho-alaranjado (grânulos eosinófilos). Tê...
UNINASSAU TERESINA
-) Neutrófilos, eosinófilos e basófilos. C. ( ) Neutrófilos, linfócitos e monócitos. D. ( ) Neutrófilos, linfócitos, eosinófilos. 2. As plaquetas s...
Unisselve
5) As imagens 1,2,3,4 e 5 representam, respectivamente: a) Neutrófilo, basófilo, monócito, eosinófilo e linfócito. b) Neutrófilo, eosinófilo, basó...
Material
Conteúdos escolhidos para você
1 pág.
Características dos Eosinófilos
UNIAN - SP
2 pág.
Função dos Neutrófilos e Eosinófilos
FOR
Perguntas dessa disciplina
Os eosinófilos exibem grânulos citoplasmáticos que se coram de vermelho ou vermelho-alaranjado (grânulos eosinófilos). Têm aproximadamente o mesmo ...
UNINASSAU TERESINA
Leia o trecho a seguir: “Os eosinófilos exibem grânulos citoplasmáticos que se coram de vermelho ou vermelho-alaranjado (grânulos eosinófilos). Tê...
UNINASSAU TERESINA
-) Neutrófilos, eosinófilos e basófilos. C. ( ) Neutrófilos, linfócitos e monócitos. D. ( ) Neutrófilos, linfócitos, eosinófilos. 2. As plaquetas s...
Unisselve
5) As imagens 1,2,3,4 e 5 representam, respectivamente: a) Neutrófilo, basófilo, monócito, eosinófilo e linfócito. b) Neutrófilo, eosinófilo, basó...
Mais conteúdos dessa disciplina
Mapa Mental - Hematopoiese
hidrtação galena
AULA 3 PATOLOGIA CLINICA
AULA 2 PATOLOGIA CLINICA
AULA 4 PATOLOGIA ESPECIAL
Mapa Mental - Anemia Macrocítica
ATIVIDADE 1 - HEMATOLOGIA CLINICA - 51_2026
MAPA - HEMATOLOGIA CLINICA - 51_2026
Mapa Mental - Hematologia Clínica
e) Com base no histograma e nas estatísticas média e mediana, obtidos nos itens (b) e (c), respectivamente, RESPONDA docx
a interrupção temporária dos atendimentos durante a manutenção é uma medida necessária. Trabalhar com o equipamento fora de operação clínica e devidam
A hematologia é o ramo da biologia que estuda o sangue. Nesse estudo, podemos destacar diversos conceitos associados. Quais os órgãos que são hematopo
A hematopoiese é um processo pelo qual são formadas as células do sangue. Ela abrange todos os fenômenos relacionados com a origem, multiplicação e ma
As plaquetas são células produzidas na medula óssea, são fundamentais para o equilíbrio orgânico. Diferentemente das hemácias e leucócitos, não são cé
A renovação das hemácias ocorre em um período de 120 dias e ocorre no baço, onde são degradadas as hemácias e a hemoglobina. A porção heme, da molécul
ANEMIA FERROPRIVA QUADRO CLÍNICO A anemia ferropriva é decorrente da deficiência de ferro no organismo, levando à redução da síntese de hemoglobina
2. A comunicação entre as equipes é importante para evitar riscos ao paciente antes de procedimentos invasivos. Sendo assim, é correto afirmar que: Os
____________ que é uma neoplasia maligna originária de células precursoras do sistema nervoso simpático, ocorre, geralmente, em crianças com idade inf
____________ que é uma neoplasia maligna originária de células precursoras do sistema nervoso simpático, ocorre, geralmente, em crianças com idade ...
São responsáveis pela coagulação sanguínea: a glóbulos brancos b glóbulos brancos e glóbulos vermelhos c plaquetas d glóbulos vermelhos
Pular para o conteúdo Histórico de chats Você disse: 1 Zoom automático Roteiro para elaboração com Problem-Based Learning 1. TÍTULO: DESAFIO: O...
anemia normocítica normocrômica, qual principal mecanismo nessa anemia
Questão 5/5 - Desenho Técnico Ler em voz alta O sistema de tolerância ISO, quando bem interpretado, aumenta a qualidade dos produtos e reduz os custos
02 Sistema Ósseo
Migração e circulação de leucócitos
Mostrar mais conteúdos
chevronDownIcon