Logo Passei Direto
Buscar
Material
páginas com resultados encontrados.
páginas com resultados encontrados.
left-side-bubbles-backgroundright-side-bubbles-background

Crie sua conta grátis para liberar esse material. 🤩

Já tem uma conta?

Ao continuar, você aceita os Termos de Uso e Política de Privacidade

left-side-bubbles-backgroundright-side-bubbles-background

Crie sua conta grátis para liberar esse material. 🤩

Já tem uma conta?

Ao continuar, você aceita os Termos de Uso e Política de Privacidade

left-side-bubbles-backgroundright-side-bubbles-background

Crie sua conta grátis para liberar esse material. 🤩

Já tem uma conta?

Ao continuar, você aceita os Termos de Uso e Política de Privacidade

Prévia do material em texto

PRÁTICA 09 -TECIDO NERVOSO 
 
Lâmina - Corte de medula espinhal e gânglio 
Coloração: Tricrômico de Gomori 
 
 
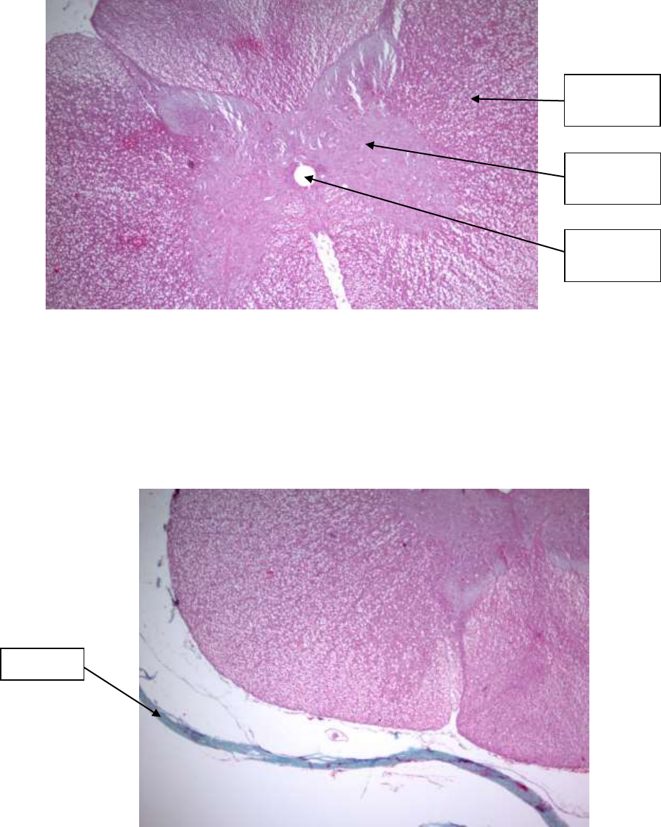
Medula espinhal (40X) 
Observe, na medula, uma área de coloração mais clara. Esta área corresponde à 
substância branca. Além dela, existe uma região mais escura, central, com a forma de 
H, que corresponde à substância cinzenta. 
Note que a substância cinzenta apresenta 2 cornos anteriores (mais globosos) e dois 
posteriores, de tamanho menor. 
 
 
Medula espinhal (40X) 
 
Substância 
branca 
Substância 
cinzenta 
Canal 
medular 
Pia-máter 
 
Colado ao tecido nervoso, na sua periferia, está um tecido conjuntivo, corado em verde. 
É a pia-mater. Daí partem septos, com vasos sanguíneos, que penetram na medula até 
uma certa distância. 
 
 
Medula espinhal (100X) 
 
 
Medula espinhal (1000X) 
Observe a substância branca, mais externa que a cinzenta; aí vamos encontrar 
numerosas fibras nervosas cortadas transversalmente. Estas fibras, 
mielínicas,constituem-se de um ponto negro correspondente ao axônio e em volta dele 
Substância 
branca 
 
Substância 
cinzenta 
 
Neurônios 
motores 
Núcleos 
de céls da 
neuróglia 
Fibra 
nervosa 
Bainha de 
mielina 
a bainha de mielina (em imagem negativa). Por fora existe um contorno rosa escuro – 
são restos de uma trama proteica. 
Passe para a substância cinzenta. Procure identificar os neurônios motores. Seus 
corpos, as únicas partes que aparecem, têm a forma estrelada. Além disso, seus 
núcleos vesiculados são facilmente identificados, principalmente pelo nucléolo, corado 
em vermelho. 
Note também, próximo a estes neurônios motores, um grande número de pequenos 
núcleos. São núcleos de células da neuroglia. 
 
 
Gânglio (400X) 
Observe ao MO o corte de gânglio. Ele é o menor da lâmina (o outro é de medula). 
Verifique que o gânglio também está envolto por um tecido conjuntivo (em verde), a pia-
mater. 
Na parte central do gânglio ocorrem neurônios do tipo pseudounipolar. Eles são 
globosos, grandes, apresentando núcleo vesiculoso e nucléolo bem evidenciável. 
Desenhe abaixo o que você observou.

Mais conteúdos dessa disciplina