Logo Passei Direto
Buscar
Material
páginas com resultados encontrados.
páginas com resultados encontrados.
left-side-bubbles-backgroundright-side-bubbles-background

Crie sua conta grátis para liberar esse material. 🤩

Já tem uma conta?

Ao continuar, você aceita os Termos de Uso e Política de Privacidade

left-side-bubbles-backgroundright-side-bubbles-background

Crie sua conta grátis para liberar esse material. 🤩

Já tem uma conta?

Ao continuar, você aceita os Termos de Uso e Política de Privacidade

Prévia do material em texto

Preparação de lâmina histológica: Coloração
Como a maioria dos tecidos é incolor, para que seja possível observá-los ao microscópio de luz, é necessário que sejam empregados corantes. Diferentes técnicas que não somente evidenciam os componentes teciduais, mas também os distinguem entre si. As técnicas de colorações, de um modo geral, se efetuam por processos físico-químicos ou puramente físicos e variam conforme a modalidade, ação, caráter, grau de ação, tempo, número de corantes e a cromatização.
Antes que o corte seja corado, a parafina em que ele foi incluído deve ser removida (desparafinização). O corte, que já foi aderido à lâmina de vidro por ‘pescagem’ em banho-maria, é banhado no xilol para dissolver a parafina.
Devido ao fato de muitos corantes serem solúveis em água, torna-se necessário remover o xilol do tecido e substituí-lo por água (hidratação). O corte é imerso em uma série de concentrações decrescentes de álcool etílico (álcool mais concentrado → álcool menos concentrado), até que esteja hidratado. Depois que o corte estiver hidratado, procede-se à coloração propriamente dita.
A influência das cores nas estruturas teciduais
De acordo com o número de cores conferidas às estruturas teciduais pelas colorações simples (um único corante) ou combinadas (que usam mais de um corante), estas recebem a denominação de colorações monocrômicas (uma cor), bicrômicas (duas cores), tricrômicas (três cores) ou ainda policrômicas (mais de três cores).
A maioria dos corantes se comporta como substâncias ácidas ou básicas, formando sais (ligações eletrostáticas) com radicais ionizados que estejam presentes nos componentes teciduais. Seguindo este princípio, os componentes teciduais que se coram melhor com corantes básicos, são denominados basófilos, e os que se coram com corantes ácidos, por sua vez, denominam-se acidófilos.
Os constituintes celulares que reagem com os corantes básicos o fazem principalmente por meio de ácidos nucléicos, glicoproteínas ácidas e glicosaminoglicanas. Já os corantes básicos reagem principalmente com proteínas citoplasmáticas, grânulos citoplasmáticos, mitocôndrias e colágeno.
Como fazer a coloração da célula?
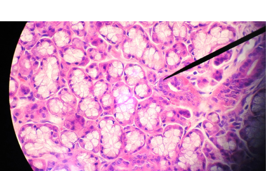
Para se colorir convenientemente a célula, deve-se recorrer a um método de coloração sucessiva do núcleo e do citoplasma. A combinação mais comum de corantes usada em histologia e histopatologia é a hematoxilina e eosina (HE). A hematoxilina é um corante natural obtido das cascas de pau Campeche.
Ela não é realmente um corante e deve ser oxidada em hemateína a fim de tornar-se um corante. Ademais, o corante que resulta (hematoxilina-hemateína) não tem afinidade para os tecidos. Deve ser usado um mordente, como o alumínio ou o ferro, juntamente com a mistura de hematoxilina antes que ela possa corar os tecidos. A mistura cora em azul-púrpura. A eosina é um corante sintético e produz uma coloração avermelhada.
Nas células coradas com HE, os ácidos nucléicos presentes no núcleo são corados pela hematoxilina, corante básico, dando ao núcleo um tom azul-arroxeado. A eosina, por sua vez, um corante ácido, é atraída pelos elementos básicos das proteínas do citoplasma da célula, corando-os de róseo a vermelho.
Algumas peculiaridades de acordo com os corantes
Certos corantes reagem com os componentes do tecido e os coram com uma cor diferente da cor da solução corante. A propriedade de mudança de cor do corante chama-se metracromasia. Os corantes azul-de-metileno, azul-de-toluidina e tionina são exemplos de corantes simples que exibem metacromasia. Nos corantes azuis, a cor muda para vermelho.
A coloração dos mastócitos com o azul-de-metileno constitui um bom exemplo. Os grânulos do citoplasma coram-se em vermelho-púrpura, enquanto o resto do tecido fica azul. A causa da metacromasia não é totalmente compreendida, porém tem sido sugerido que é devido à polimerização das moléculas do corante, por meio de reação com enzimas ou outras moléculas teciduais. Julga-se que a presença de macromoléculas com radicais eletronegativos no tecido facilita a polimerização e provoca a mudança de cor.

Mais conteúdos dessa disciplina