Logo Passei Direto
Buscar
Material
páginas com resultados encontrados.
páginas com resultados encontrados.

Prévia do material em texto

PRÓTESE FIXA 
AULA 1 
INTRODUÇÃO AO ESTUDO DA PRÓTESE FIXA 
POR QUE REABILITAR? 
 • ANATOMIA, FUNÇÃO, ESTÉTICA, 
FONÉTICA, SAÚDE, CONFORTO, PROTEÇÃO DE 
DENTES E FIBROMUCOSA. 
• EQUILÍBRIO DO SISTEMA 
ESTOMATOGNÁTICO. 
O QUE É UMA PRÓTESE FIXA? 
É UM DISPOSITIVO PROTÉTICO 
CONFECCIONADO COM METAL E CERÂMICA 
ODONTOLÓGICA (PORCELANA) INDICADO PARA 
RECONSTRUIR DENTES DESTRUÍDOS POR CÁRIE 
DENTÁRIA OU FRATURAS E REABILITAR ÁREAS 
COM UM OU MAIS DENTES PERDIDOS. 
 
METALOCERÂMICAS 
INDICAÇÕES PARA METALOCERÂMICAS 
• RESTAURAR A COROA CLÍNICA DE UM DENTE. 
• RETENTOR DE PRÓTESE FIXA. 
• CORRIGIR A INCLINAÇÃO DE DENTES QUE 
RECEBERÃO GRAMPOS DE PPRS. 
• SUPORTE DE PPRS. 
• QUANDO O FATOR ESTÉTICO É IMPORTANTE 
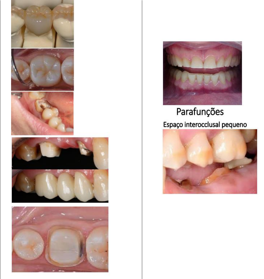
CONTRAINDICAÇÕES PARA 
METALOCERÂMICAS 
• PARAFUNÇÕES 
• ESPAÇO INTEROCCLUSAL PEQUENO1 
 
PASSO A PASSO - TRATAMENTO 
1. EXAME CLÍNICO E RADIOGRÁFICO 
2. TRATAMENTO DE CANAL E INSTALAÇÃO 
DE PINO PROTÉTICO – DEPENDE 
3. PROVISÓRIO ACRÍLICO 
4. MOLDAGENS 
5. INSTALAÇÃO DA PRÓTESE DENTÁRIA 
QUAIS SÃO AS ALTERNATIVAS PARA RESULTADOS 
ESTÉTICOS SUPERIORES AOS OBTIDOS PELA 
PRÓTESE DENTÁRIA METALOCERÂMICA? 
 
 
 
 
 
 
 
 
 
 
 
 
 
 
 
 
 
 
 
 
 
 
 
AULA 2 
EXAME DO PACIENTE EM PRÓTESE FIXA 
• ANAMNESE 
• EXAME EXTRAORAL 
• EXAME INTRAORAL 
• DENTES 
• PERIODONTO 
• EXAME RADIOGRÁFICO 
• MODELO DE ESTUDO 
• PLANEJAMENTO 
 
ANAMNESE 
 É NESSE MOMENTO QUE SE DEVE 
DETERMINAR O ESTADO GERAL DO PACIENTE: 
DOENÇAS CARDIOVASCULAR, HEMORRAGIA, 
ALERGIAS, ESTADO EMOCIONAL, DIABETES, 
ANEMIA ENTRE OUTROS, 
 FICHA CLÍNICA É INDISPENSÁVEL POIS É 
NELA QUE DEVEM SER ANOTADAS TODAS AS 
INFORMAÇÕES COLETADAS NESSE MOMENTO 
 PESQUISAR HÁBITOS PARAFUNCIONAIS 
E VERIFICAR TRATAMENTOS ANTERIORES. 
EXAME EXTRAORAL 
• ASPECTOS FACIAIS: DV, SUPORTE DE LÁBIO E 
LINHA DO SORRISO 
• INSPEÇÃO DA PELE E PALPAÇÃO DOS TECIDOS 
DE SUPORTE 
• AVALIAÇÃO DA ATM E MUSCULATURA. 
• FALA DO PACIENTE 
• ASPECTOS FACIAIS: DV, SUPORTE DE LÁBIO E 
LINHA DO SORRISO 
• INSPEÇÃO DA PELE E PALPAÇÃO DOS TECIDOS 
DE SUPORTE 
• AVALIAÇÃO DA ATM E MUSCULATURA. 
•FALA DO PACIENTE 
LINHA DO SORRISO 
 
EXAME INTRAORAL 
AVALIAR QUEIXA PRINCIPAL NESSE MOMENTO 
• TECIDOS MOLES 
• DENTES 
• PERIODONTO 
DENTES - CÁRIES E RESTAURAÇÕES 
REMANESCENTES; ALTERAÇÃO DA FACETA 
ESTÉTICA; ESTÉTICA; OCLUSÃO; NÚMERO, POSIÇÃO, 
TAMANHO E INCLINAÇÃO DOS DENTES; VITALIDADE 
PULPAR. 
- ALTERAÇÃO DA FACETA ESTÉTICA 
VOCÊ TROCARIA ESSE TRABALHO? - RESPOSTA É 
NÃO!! REPARO DA COBERTURA COM RESINA 
COMPOSTA 
 
ESTÉTICA 
• CONTORNO 
• FORMA 
• PROPORÇÃO LARGURA X ALTURA 
• COR 
• AMEIAS 
• PERFIL DE EMERGÊNCIA 
 
OCLUSÃO 
• SEMPRE OBTER MODELOS DE ESTUDOS E 
MONTAR EM ASA (RC X MIH) 
• SABER DIFERENCIAR OCLUSÃO PATOLÓGICA 
DA FISIOLÓGICA 
NÚMERO, POSIÇÃO, TAMANHO E INCLINAÇÃO 
DOS DENTES 
INCLINAÇÃO = MAIOR DESGASTE 
 
 
COROAS CURTAS MENOR RETENÇÃO4 
VITALIDADE PULPAR4 
 
PERIODONTO 
• EXAME RADIOGRÁFICO 
• EXAME DA PROFUNDIDADE DE SONDAGEM 
• ÍNDICE DE SANGRAMENTO 
• RECESSÃO GENGIVAL 
• ENVOLVIMENTO DE FUÇA 
• MOBILIDADE 
• DISTÂNCIAS BIOLÓGICAS 
• EXAME DA ÁREA EDÊNTULO 
 
Distância biológica 
 
Avaliação da área edêntula 
MODELO DE ESTUDO 
▪ REGISTRO DA SITUAÇÃO INICIAL DO PACIENTE 
▪ OBSERVAÇÃO DOS CONTATOS QUE 
CONDUZEM A MANDÍBULA DA RC PARA MIH 
▪ OBSERVAÇÃO DO MOVIMENTO QUE A 
MANDÍBULA EXECUTA DE RC PARA A MIH 
▪ FACILITA OBSERVAÇÃO DAS RELAÇÕES 
INTERMAXILARES 
▪ OBSERVAÇÃO DOS EFEITOS DE UMA POSSÍVEL 
AJUSTE OCLUSAL 
▪ OBSERVAÇÃO FACILITADA DAS INCLINAÇÕES 
DOS DENTES: 
• ENCERAMENTO DIAGNÓSTICO 
• CONFECÇÃO DE COROAS PROVISÓRIAS 
• CONFECÇÃO DE GUIA CIRÚRGICO PARA 
IMPLANTES 
 
 
 
 
 
 
 
 
 
AULA 3 
PREPARO EM PRÓTESE FIXA 
 
MECÂNICOS 
 • RETENÇÃO 
 • RESISTÊNCIA/ESTABILIDADE 
 • RIGIDEZ ESTRUTURAL 
 • INTEGRIDADE MARGINAL 
BIOLÓGICOS 
 • PRESERVAÇÃO DO TECIDO 
PULPAR 
 • PRESERVAÇÃO DA SAÚDE 
PERIODONTAL 
ESTÉTICOS 
• JUNÇÃO DA ESTÉTICA ROSA X 
ESTÉTICA BRANCA5 
 
MECÂNICOS 
RETENÇÃO FRICCIONAL 
• É A QUALIDADE QUE 
UMA PRÓTESE 
APRESENTA DE ATUAR 
CONTRA AS FORÇAS 
AO LONGO DA SUA 
VIA DE INSERÇÃO 
• RET. FRICCIONAL 
MUITO ALTA 
PREJUDICA O 
ESCOAMENTO DO CIMENTO 
• QUANTO MAIOR A COROA CLÍNICA DE UM 
DENTE PREPARADO MAIOR SERÁ A SUPERFÍCIE 
DE CONTATO E RETENÇÃO FINAL. 
RESISTÊNCIA/ESTABILIDADE 
RESISTÊNCIA OU ESTABILIDADE PREVINE O 
DESLOCAMENTO DA PRÓTESE QUANDO É 
SUBMETIDA A FORÇAS OBLIQUAS QUE PODEM 
PROVOCAR SUA ROTAÇÃO 
• MAGNITUDE E DIREÇÃO DAS FORÇAS 
• INTEGRIDADE DO DENTE PREPARADO 
• RELAÇÃO ALTURA X LARGURA DO 
PREPARO 
LARGURA IGUAL A ALTURA 
PREPARO INADEQUADO: ROTAÇÃO5 
 
RETENÇÃO 
ADICIONAL5 
 
 
 
RIGIDEZ ESTRUTURAL 
O PREPARO DEVE LEVAR EM CONTA O 
MATERIAL QUE IRÁ COMPOR A COROA: METAL, 
METALOCERÂMICA OU CERÂMICA. 
 
INTEGRIDADE MARGINAL 
O CONTROLE DA LINHA DE CIMENTO E A BOA 
HIGIENE SÃO FATORES QUE AUMENTAM A 
LONGEVIDADE DA PRÓTESE 
 
 
 
 
 
 
BIOLÓGICOS 
• PRESERVAÇÃO DO TECIDO PULPAR 
 
• PRESERVAÇÃO DA SAÚDE 
PERIODONTAL6 
ESTÉTICOS 
• JUNÇÃO DA ESTÉTICA ROSA X 
ESTÉTICA BRANCA 
 
 
 
 
 
TIPOS DE TÉRMINOS EM 
PRÓTESE FIXA (TÉRMINOS CERVICAIS) 
• OMBRO OU DEGRAU 
ARREDONDADO 
• OMBRO OU DEGRAU BISELADO 
• CHANFRADO 
• CHANFERETE 
 
OMBRO OU DEGRAU ARREDONDADO 
INDICAÇÃO: 
PREPARO PARA 
COROAS EM 
CERÂMICAS 
CONTRA-
INDICAÇÃO: 
DENTES COM 
COROA CLÍNICA 
CURTA. 
OMBRO OU DEGRAU BISELADO 
INDICAÇÃO: PREPARO 
PARA COROAS COM 
LIGAS ÁUREAS EM ÁREA 
ESTÉTICA (VESTIBULAR 
DE DENTE ANTERIORES) 
CONTRA-INDICAÇÃO: 
MAIOR DESGASTE 
CHANFRADO 
 
PREPARO IDEAL (EXCETO PARA LIGAS ÁUREAS), 
POIS, PERMITE O ESCOAMENTO DO CIMENTO, É 
ESTÉTICO 
DEVE SER REALIZADO SOMENTE EM ÁREAS POIS 
NÃO SE JUSTIFICA UM MAIOR DESGASTE EM 
OUTRAS ÁREAS. 
INDICAÇÃO: ESPESSURA + AJUSTE; REFORÇO 
(DIMINUI A ESPESSURA DA LIGA); MELHOR 
ESCOAMENTO. 
CONTRA-INDICAÇÃO: MAIOR DESGASTE 
(MENOR OMBRO), MENOS ESTÉTICO (FICA UM 
COLARZINHO DE METAL NA CERVICAL). 
 
CHANFERETE 
 
A JUNÇÃO ENTRE A PAREDE AXIAL E A GENGIVAL 
É FEITA UM SEGMENTO DE CÍRCULO DE 
PEQUENA DIMENSÃO, TENDO SOMENTE 
ESPAÇO PARA O METAL. 
INDICAÇÃO: 
• MAIOR CONSERVAÇÃO DE ESTRUTURA 
DENTÁRIA, 
• INDICADO PARA DENTE JÁ PASSOU POR 
AUMENTO DE COROA. 
• MELHOR AJUSTE E ESCOAMENTO 
• MENOR DESGASTE. 
CONTRA-INDICAÇÃO: ESTÉTICA PREJUDICADA 
 
TÉCNICA DA SILHUETA PARA 
METALOCERÂMICA PARA 
DENTES POSTERIORES 
1. SULCO DE ORIENTAÇÃO CERVICAL - PONTA 
DIAMANTADA 1014 (1,4MM) 
2. SULCOS DE ORIENTAÇÃO - OS PREPAROS 
DEVEM RESPEITAR A ANGULAÇÃO DO 
DENTE! - PONTA DIAMANTADA TRONCO 
CONICA COM PONTA CILINDRICA 3216 OU 
2215 (1,2MM) 
3. DESGASTES PROXIMAIS - PONTA 
DIAMANTADA TRONCO CONICA AFILADA 
3203 
4. UNIÃO DOS SULCOS DE ORIENTAÇÃO - 
PONTA DIAMANTADA TROCO CÔNICA COM 
PONTA CILÍNDRICA 3216 OU 2215 (1,2MM) 
5. PREPARO SUBGENGIVAL 
 
TÉCNICA DA SILHUETA PARA 
METALOCERÂMICA PARA 
DENTES ANTERIORES 
1. SULCO CERVICAL MARGINAL8 
2. SULCOS DE ORIENTAÇÃO: NAS FACES 
VESTIBULARES, INCISAL E 
LINGUOCERVICAL 
3. UNIÃO DOS SULCOS DE ORIENTAÇÃO 
E DESGASTE DA CONCAVIDADE 
PALATINA 
4. DESGASTES DA METADE ÍNTEGRA E 
DA FACE PROXIMAL 
5. PREPARO SUBGENGIVAL 
6. ACABAMENTO 
 
 
 
 
 
 
 
 
 
 
 
 
 
 
 
 
 
 
 
 
 
 
 
 
 
 
 
 
 
 
 
AULA 4 
MOLDAGEM EM PRÓTESE FIXA 
1. EXAME DO PACIENTE 
2. MODELO DE ESTUDO 
3. PREPARO 
4. MOLDAGEM FUNCIONAL 
5. PROVISÓRIO 
6. CIMENTAÇÃO 
REQUISITOS PARA UMA BOA MOLDAGEM 
FUNCIONAL 
• EXTENSÃO DO PREPARO DENTRO DO SULCO 
GENGIVAL; 
• NITIDEZ DO TÉRMINO CERVICAL 
• SAÚDE DO TECIDO GENGIVAL. 
 
PARA UMA BOA MOLDAGEM 
1. MISTURA HOMOGÊNEA E UNIFORME DE 
MATERIAL. 
2. MOLDEIRA PREENCHIDA COM QUANTIDADE 
SUFICIENTE DE MATERIAL DE MOLDAGEM. 
3. COMPLETA APLICAÇÃO DO ADESIVO PARA 
MOLDEIRA. 
4. MOLDEIRA RESISTENTE E RÍGIDA.5. MARGEM SEM BOLHAS OU FALHAS. 
6. MARGENS SEM RASGOS OU SUPERFÍCIE 
RUGOSA. 
7. SEM EXPOSIÇÃO DA MOLDEIRA ATRAVÉS DO 
MATERIAL DE MOLDAGEM. 
8. BOA UNIÃO ENTRE O MATERIAL PESADO E O 
LEVE. 
9. BOA RESISTENCIA DE UNIÃO ENTRE O 
MATERIAL DE MOLDAGEM E A MOLDEIRA. 
10. ENVIAR AO LABORATÓRIO TODAS AS 
INFORMAÇÕES SOBRE O MATERIAL DE 
MOLDAGEM UTILIZADO. 
 
MOLDAGEM DE TRABALHO OU PARA 
OBTENÇÃO DO TROQUEL 
• É O MOLDE PARA OBTENÇÃO DO MODELO 
FIEL DO DENTE PREPARADO E POR ISSO DEVE 
SER REALIZADO COM O MATERIAL DE 
MOLDAGEM COM MAIOR QUALIDADE E 
PORTANTO, NECESSARIAMENTE DEVE SER 
UTILIZADO OS ELASTÔMEROS 
 
 
MOLDAGEM DE TRABALHO OU PARA 
OBTENÇÃO DO TROQUEL 
TÉCNICAS PARA OBTENÇÃO 
1. TÉCNICA DO CASQUETE. 
2. TÉCNICA DO REEMBASAMENTO. 
3. TÉCNICA DA DUPLA MISTURA OU UM SÓ 
TEMPO. 
4. TÉCNICA DA MOLDAGEM TRIPLA. 
 
TÉCNICA DO CASQUETE 
• MOLDAGEM INDIVIDUAL DE CADA DENTE 
• NÃO NECESSITA A UTILIZAÇÃO DE FIO 
RETRATOR 
• AFASTAMENTO GENGIVAL OBTIDO É 
APENAS MECÂNICO E O EPITÉLIO 
JUNCIONAL E A INSERÇÃO CONJUNTIVA 
NÃO SÃO AFETADOS, PROMOVENDO DESSA 
MANEIRA MÍNIMA OU NULA RECESSÃO 
GENGIVAL 
• EXTREMAMENTE ÚTIL PARA OS CASOS DE 
TECIDO GENGIVAL FINO9 
MOLDAGEM COM AFASTADOR DUPLO 
• OBJETIVO: AFASTAMENTO GENGIVAL 
ADEQUADO E CONTROLE DE FLUIDOS 
• A OBTENÇÃO DE UM BOM MOLDE ESTÁ 
DIRETAMENTE RELACIONADA À QUALIDADE 
DA SAÚDE DO TECIDO GENGIVAL 
• DEPENDE DO NÍVEL DO TÉRMINO CERVICAL 
NO INTERIOR DO SULCO, DA QUALIDADE DE 
ADAPTAÇÃO DAS COROAS PROVISÓRIAS E 
DA QUALIDADE DA HIGIENE ORAL DO 
PACIENTE. 
DESINFECÇÃO DOS MODELOS – HIPOCLORITO 
SÓDIO A 1% 
 
MODELO DE TRABALHO11 
 
 
 
 
 
 
 
 
 
 
 
 
 
 
 
 
 
 
 
 
 
 
 
 
 
 
 
 
 
 
 
 
 
 
 
 
 
 
 
 
 
 
 
AULA 4 
RETENTORES INTRA RADICULARES 
• DENTES TRATADOS ENDODONTICAMENTE 
• AUMENTO DE RETENÇÃO DAS 
RESTAURAÇÕES 
• GRANDE PERDA DE ESTRUTURA CORONÁRIA 
• APENAS UMA (PINOS) OU NENHUMA 
PAREDE CORONÁRIA (NÚCLEO) 
 
DENTES DESPOLPADOS12 
 
PINOS COM RESINA DIRETA, QUANDO 
USAR?12 
 
RETENTORES INTRA RADICULARES – DENTES 
POSTERIORES 
DIAGNÓSTICO 
1. QUANTIDADE DE ESTRUTURA CORONÁRIA 
REMANESCENTE 
2. CONDIÇÃO E MORFOLOGIA DA RAIZ 
3. LOCALIZAÇÃO DO DENTE NO ARCO 
4. TIPO DE RESTAURAÇÃO A SER 
CONFECCIONADA 
5. EXPECTATIVA ESTÉTICA DO PACIENTE 
6. OCLUSÃO 
 
1. QUANTIDADE DE ESTRUTURA CORONÁRIA 
REMANESCENTE 
• REMOÇÃO DE TECIDO CARIADO E/OU 
RESTAURAÇÕES ANTIGAS DEFICIENTES 
• PERDA DE ESTRUTURA DENTAL DE 50% 
• NÃO REFORÇA O DENTE E SIM AUXILIA NA 
RETENÇÃO DE MATERIAL RESTAURADOR 
• PERDA SIGNIFICATIVA DA ESTRUTURA DENTAL 
 
 
 
2. CONDIÇÃO E MORFOLOGIA DA RAIZ 
• QUANTIDADE DE TECIDO DENTINÁRIO 
REMANESCENTE NA PORÇÃO RADICULAR 
• MORFOLOGIA DO CANAL (OVÓIDE / OCTÓIDE) 
TÉCNICAS ESPECIFICAS (PINOS ANATÔMICOS) 
PINOS ACESSÓRIOS 
• ACENTUADA DILACERAÇÃO APICAL 
LIMITAÇÃO DE USO DE PINOS 
 
 
3. LOCALIZAÇÃO DO DENTE NO ARCO 
• DENTES POSTERIORES (FORÇAS VERTICAIS) 
✓ INDICAÇÃO DE OVERLAY (BASTANTE 
REMANESCENTE) 
✓ PINOS PARA DENTES COM GRANDES 
PERDAS DE REMANESCENTE 
CORONÁRIO 
• DENTES ANTERIORES (FORÇAS OBLÍQUAS, 
HORIZONTAIS OU DE CISALHAMENTO) 
✓ INDICAÇÃO DE PINOS (DISSIPAÇÃO DA 
FORÇA COROA/RAIZ) 
• PRÉ-MOLARES (SUPERIORES) 
✓ DENTES POSTERIORES, PORÉM, REQUER 
ATENÇÃO ESPECIAL 
✓ CUSPIDES ALTAS (ESTRESSE NA REGIÃO 
CERVICAL) 
✓ FORÇAS OBLÍQUAS/HORIZONTAL 
QUANDO EM FUNÇÃO EM GRUPO 
 
 
 
 
 
 
 
 
4. TIPO DE RESTAURAÇÃO A SER 
CONFECCIONADA 
 
• DETERMINA TAMBÉM A INDICAÇÃO DO PINO 
• EX: RESTAURAÇÃO TOTAL - INDICAÇÃO DE 
PINO 
• ADESIVA PARCIAL: ONLAY/OVERLAY OU 
LAMINADOS CERÂMICOS, NÃO É INDICADO 
PINO, DESDE QUE NÃO TENHA INTERVENÇÃO 
DE OUTROS FATORES 
• PILARES DE PRÓTESE UNITÁRIAS E PILARES DE 
FIXAS PARCIAIS UTILIZAMOS PINOS 
 
5. EXPECTATIVA ESTÉTICA DO PACIENTE 
 
6. OCLUSÃO 
 • OVERBITE ACENTUADO (CUSPIDES ALTAS E 
DENTES LONGOS) 
✓ USO DE PINOS RADICULARES 
✓ MAIOR PROPENSÃO A DEFLEXÃO 
(FORÇAS DE CISALHAMENTO) 
 
 
 
 
 
 
 
 
 
 
 
 
 
 
 
 
 
 
SELEÇÃO DE MATERIAL 
• PINO RADICULAR 
• SISTEMA ADESIVO 
• AGENTE DE CIMENTAÇÃO 
• TÉCNICA RESTAURADORA 
 
• TIPO E TÉCNICAS CONTRIBUEM PARA O 
SUCESSO 
• ESTRUTURA RADICULAR 
✓ TÚBULOS DENTINÁRIOS DIMINUEM 
SIGNIFICATIVAMENTE DA PORÇÃO 
CERVICAL ATÉ A PORÇÃO APICAL 
(CONDICIONAMENTO ÁCIDO 
FOSFÓRICO A 35% POR 15 SEGUNDOS) 
• ELEGER O SISTEMA ADESIVO A SER 
EMPREGADO 
✓ MÉTODO DE ATIVAÇÃO: SISTEMA DE 
ADESIVOS “DUAIS” OU QUIMICAMENTE 
ATIVADOS 
✓ NÚMERO DE ETAPAS CLÍNICAS: SISTEMA 
ADESIVO DE 3 ETAPAS (ÁCIDO, PRIMER E 
ADESIVO) EX: SINGLE BOND 2 (3M ESPE) 
AMBAR (FGM) E SCOTCHBOND MULTI-
PURPOSE (3M ESPE) 
• AGENTE DE CIMENTAÇÃO 
✓ CIMENTOS RESINOSO, IONÔMERO DE 
VIDRO E FOSFATO DE ZINCO 
✓ QUIMICAMENTE ATIVADOS 
✓ AUTOCONDICIONANTE (U200 - 3M) 
✓ FOTOATIVADOS 
• TÉCNICA RESTAURADORA 
• DENTES TRATADOS ENDODONTICAMENTE 
✓ DIRETA 
• DENTES TRATADOS ENDODONTICAMENTE 
COM RAIZES FRAGILIZADAS 
✓ DIRETA 
✓ SEMIDIRETA 
✓ INDIRETA 
 
 
 
 
 
 
 
 
 
 
 
 
 
NÚCLEO METÁLICO FUNDIDO 
DENTES TRATADOS ENDODONTICAMENTE - 
NECESSIDADE DE PINOS INTRARRADICULARES 
O QUE É UM NÚCLEO METÁLICO FUNDIDO? 
 É UM DISPOSITIVO PROTÉTICO QUE 
RESTABELECE A PORÇÃO CORONÁRIA DE UM 
DENTE TRATADO ENDODONTICAMENTE 
PERMITINDO SUA REABILITAÇÃO PROTÉTICA. 
PERDA DA COROA DENTAL: IMPOSSIBILIDADE 
DE REALIZAR UM PREPARO PROTÉTICO 
 
RESTABELECIMENTO PORÇÃO CORONÁRIA 
PERDIDA 
OBJETIVOS 
✓ DEVOLVER AO DENTE CONDIÇÕES DE 
RECEBER PREPARO PROTÉTICO 
✓ PERMITIR A RESTAURAÇÃO DA FORMA E 
FUNÇÃO 
✓ POSSIBILITAR O PREPARO DO DENTE COMO 
POSSÍVEL SUPORTE DE PRÓTESE PARCIAL FIXA 
OU PRÓTESE PARCIAL REMOVÍVEL 
 
VANTAGENS 
✓ REMANESCENTE CORONÁRIO PODE SER 
ENGLOBADO NO PREPARO 
 ✓ COROA – PODE SER REFEITA 
✓ LIMITE CERVICAL DO PREPARO EM TECIDO 
DENTAL 
✓ FACILIDADE DE TRABALHO 
 
PROTOCOLO CLINICO – NUCLEO DE 
PREENCHIMENTO 
1. PREPARO DO REMANESCENTE 
CORONÁRIO - TÉCNICA DE PREPARO 
➢ AVALIAÇÃO RADIOGRÁFICA 
➢ PREPARO DO REMANESCENTE CORONÁRIO 
➢ PREPARO DO CONDUTO RADICULAR 
➢ MODELAGEM DO NÚCLEO 
2. DESGASTE CORONÁRIO 
3. ADAPTAÇÃO DOS PINOS 
4. PROVA CLÍNICA DOS NÚCLEOS 
5. ACABAMENTO 
6. CIMENTAÇÃO 
7. REMOÇÃO DOS EXCESSOS DE CIMENTO 
APÓS A SUA PRESA INICIAL 
8. RESTABELECIMENTO DA PORÇÃO 
CORONÁRIA PERDIDA 
 
 
 
 
 
 
 
 
 
 
 
 
 
 
 
 
 
PINOS DE FIBRA DE VIDRO 
O PINO DE FIBRA DE VIDRO É COMPOSTO POR 
UMA ESTRUTURA FORMADA POR FILAMENTOS 
DE FIBRA DE VIDRO CONDENSADOS. ELES 
FORMAM UM CORPO SÓLIDO E ÚNICO, QUE É 
MUITO RESISTENTE E COMPATÍVEL COM O 
DENTE. 
INDICAÇÃO 
PACIENTES APRESENTAM CANAL RADICULAR 
DEVIDAMENTE OBTURADO E A NECESSIDADE 
DE RESTAURAÇÃO CORONÁRIA INDIRETA, 
COMO É O CASO DOS ONLAYS, INLAYS, COROAS 
PARCIAIS, COROAS TOTAIS E PRÓTESES FIXAS. 
PROTOCOLO CLÍNICO PFV 
• SELEÇÃO DO PINO 
• DESOBSTRUÇÃO DO CANAL RADICULAR 
• OTIMIZAÇÃO DA ANATOMIA ENDODÔNTICA 
• CORTE E PREPARO DO PINO 
• CIMENTAÇÃO ADESIVA 
 
 
 
 
 
 
 
 
 
 
 
 
 
 
 
 
 
 
 
 
 
 
 
 
 
 
 
 
 
 
 
 
 
 
 
 
 
 
 
 
 
 
 
 
https://www.dviradiologia.com.br/2021/03/19/restauracao-onlay-e-inlay/

Mais conteúdos dessa disciplina