Logo Passei Direto
Buscar
Material
páginas com resultados encontrados.
páginas com resultados encontrados.
details

Libere esse material sem enrolação!

Craque NetoCraque Neto

Ao continuar, você aceita os Termos de Uso e Política de Privacidade

details

Libere esse material sem enrolação!

Craque NetoCraque Neto

Ao continuar, você aceita os Termos de Uso e Política de Privacidade

Prévia do material em texto

CASO CLÍNICO 
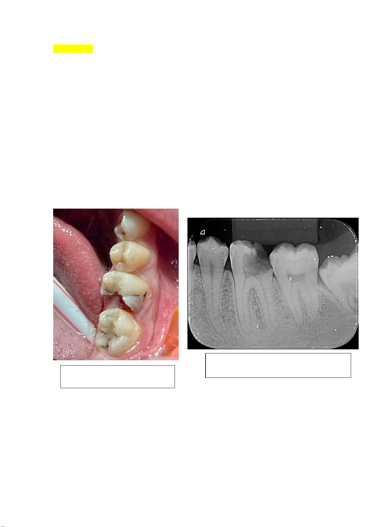
Paciente do sexo feminino, 19 anos, chega à Policlínica Odontológica da Uea com queixa de 
“dente aberto com dor”. Ao ser ques onada acerca da História da Doença Atual (HDA) a 
mesma infere que a mais ou menos um ano notou a presença de uma cárie em seu dente 
posterior que aos poucos começou a fraturar, com relato de dor ao se alimentar, quando 
resquícios de alimento adentravam na cavidade aberta. Se trata de uma dor de declínio rápido, 
não persistente juntamente a um incômodo ao tomar bebidas geladas. Suas dores eram 
apenas provocadas. Posteriormente realizou-se exames sicos extra e intraorais e clinicamente 
observou-se que o dente se apresentava com a coroa parcialmente destruída envolvendo as 
faces: oclusal, distal e lingual (figura 1). Logo após, realizou-se as radiografias interproximais e 
periapical da região (figura 2). 
 Se tratando de um dente nessas condições, os possíveis testes a serem realizados são: 
palpação, percussão, testes pulpares térmicos principalmente o teste frio com Endo Ice. Além 
desses, para diagnós co pulpar pode-se ainda u lizar outros exames complementares como: 
teste de anestesia sele va, teste de cavidade, teste pulpar ao calor u lizando cone de guta 
percha e teste pulpar elétrico embora sejam menos u lizados. 
 
 
 
 
 
Ao realizar os testes, pode-se obter como resposta ao teste frio e quente uma resposta 
nega va, palpação e percussão pode ser posi va ou nega va com raio X normal ou com 
espessamento, porém sem a presença de lesão radiolúcida no ápice dentário indicando 
NECROSE PULPAR como o diagnós co pulpar com indica vo de inicial periodon te apical 
sintomá ca como diagnós co periapical. No caso da periodon te, o teste térmico con nua 
sendo nega vo, porém, a percussão ver cal tende a ser posi va com palpação podendo se dar 
com uma leve sensibilidade dolorosa e radiograficamente com espessamento do LP sem, no 
entanto, a presença de lesão periapical, como já descrito. 
Figura 1: radiografia periapical- elemento 36 
sem a presença de rarefação periapical. Figura 1: Fotografia intrabucal do 
elemento. 
O tratamento proposto para este caso, seria a necropulpectomia (tratamento endodôn co). 
No caso citado, optou-se pela urgência do elemento em questão em virtude do quadro de dor 
da paciente, com acesso dos canais mesio ves bular, mesio pala no (lingual) e distal e 
posterior uso de medicação intracanal TRICRESOL FORMALINA, u lizado em casos de 
necropupectomia quando ainda não se realizou o preparo biomecânico. Ao opar-se pela MIC 
em questão deve-se atentar que trata-se de um medicamento volá l logo agindo a distância, 
devendo-se então remover o excesso ao aplica-lo. Em seguida, u lizou-se coltosol e CIV como 
restauração provisória.

Mais conteúdos dessa disciplina