Logo Passei Direto
Buscar
Material
páginas com resultados encontrados.
páginas com resultados encontrados.
left-side-bubbles-backgroundright-side-bubbles-background

Crie sua conta grátis para liberar esse material. 🤩

Já tem uma conta?

Ao continuar, você aceita os Termos de Uso e Política de Privacidade

left-side-bubbles-backgroundright-side-bubbles-background

Crie sua conta grátis para liberar esse material. 🤩

Já tem uma conta?

Ao continuar, você aceita os Termos de Uso e Política de Privacidade

Prévia do material em texto

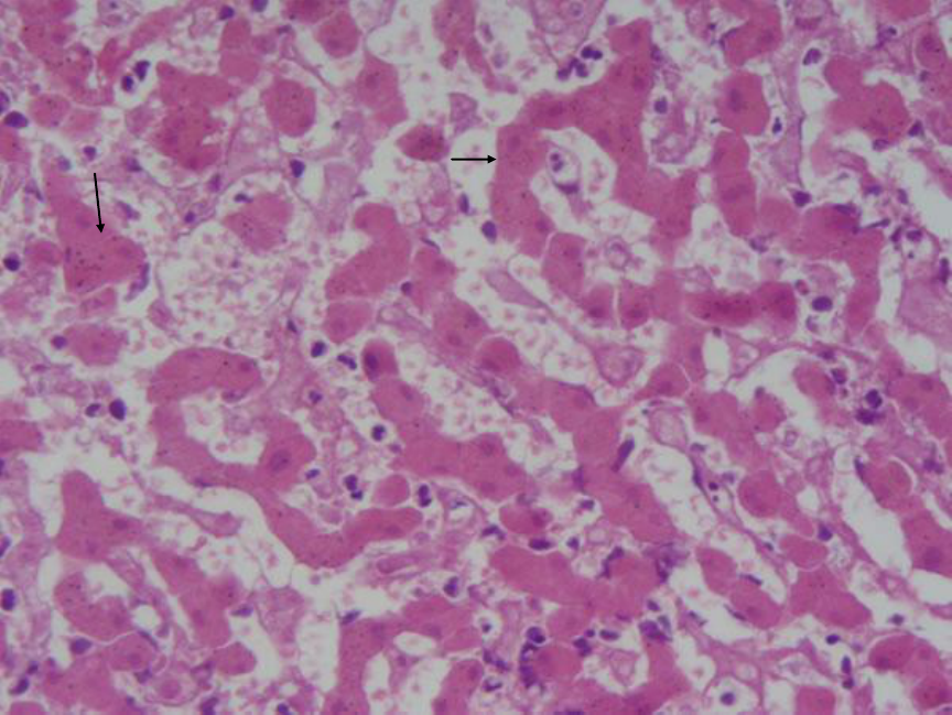
ALTERAÇÕES MICROSCÓPICAS
A perda da integridade nuclear é um importante aspecto da necrose de coagulação. O núcleo sofre alterações visíveis ao microscópio, que são: Picnose, cariorrexe e cariólise.
Fonte: http://www.medicina.ufba.br/patologia_i/microscopia/neccoag.htm
Foto ilustra necrose de coagulação, com pontos que mostra aumento da eosinofilia (célula mais corada que uma mesma célula normal) e ausência de núcleo.
Picnose: redução do tamanho nuclear, aumento da
 eosinofilia
.
Cariólise:
 
dissolução nuclear, perda da coloração nuclear.
Cariorrexe: ruptura do núcleo em vários fragmentos.

Mais conteúdos dessa disciplina