

Cadastre-se ou realize login
Ao continuar, você aceita os Termos de Uso e Política de Privacidade


Cadastre-se ou realize login
Ao continuar, você aceita os Termos de Uso e Política de Privacidade
Prévia do material em texto
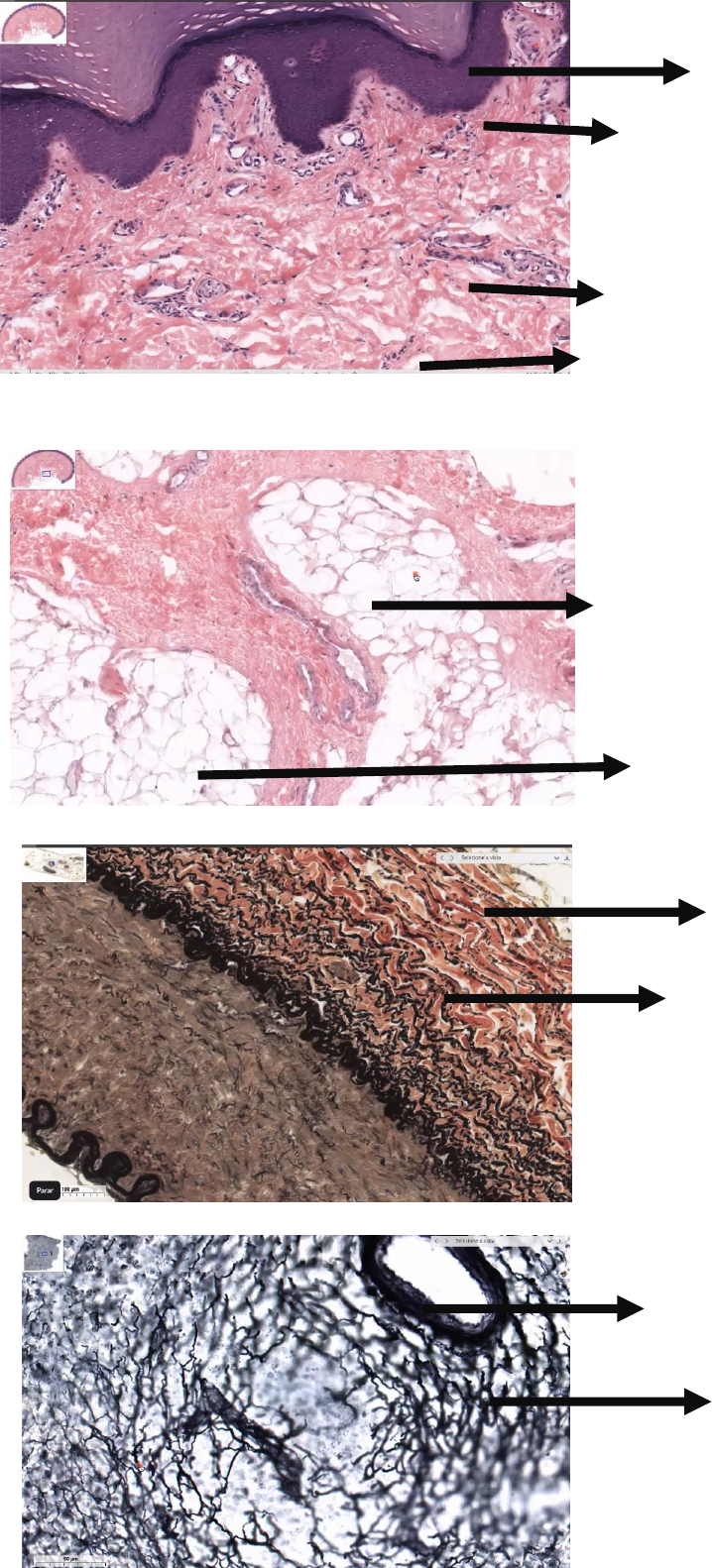
EPITÉLIO TECIDO CONJUNTIVO PRÓPRIO FROUXO TECIDO CONJUNTIVO PRÓPRIO DENSO DESORDENADO SUBSTÂNCIA FUNDAMENTAL AMORFA LÂMINA = MH 091 TECIDO ADIPOSO UNILOCULAR I IMAGEM NEGATIVA DA GOTA LIPIDICA LÂMINA = MH 091 TECIDO CONJUNTIVO PRÓPRIO ELÁSTICO FIBRA ELÁSTICA LÂMINA= MH 024 – 025 – 026 TECIDO CONJUNTIVO PRÓPRIO RETICULAR FIBRA RETICULAR LÂMINA = MHS 293 FIBRAS COLÁGENAS FIBROBLASTOS HEMÁCIAS DENTRO DO VASO SANGUÍNEOS SUBSTÂNCIA FUNDAMENTAL AMORFA LÂMINA = MH 020 MACRÓFAGOS LINFÓCITOS LÂMINA = MH 024 – 026 MASTÓCITOS LÂMINA = MH 003 HEMÁCIAS PLAQUETAS NEUTRÓFILOS MONÓCITOS LÂMINA = MH 033hr