Logo Passei Direto
Buscar
Material
páginas com resultados encontrados.
páginas com resultados encontrados.

Prévia do material em texto

Medicina por Imagem | Dr. Matheus Guelssi
Trauma de tórax
SINAL DO MENISCO
LINHA B E M
SABER DIFERENCIAR DERRAME PLEURAL E PNEUMOTÓRAX; HIDROPNEUMOTÓRAX
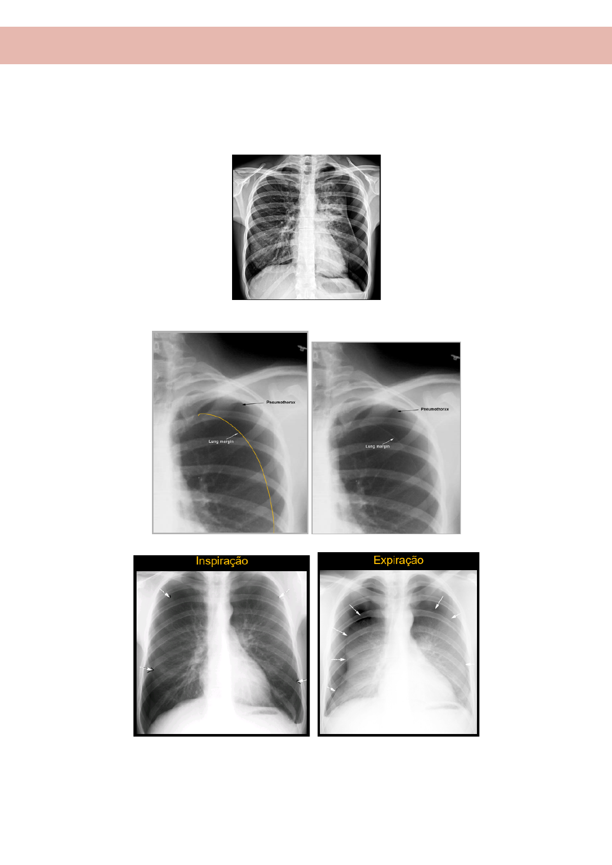
● PNEUMOTÓRAX
Problema no hemitórax esquerdo
É importante pedir em inspiração e expiração para conseguir distinguir as margens
Gabriela de Oliveira | T3 | 8º período
1
Medicina por Imagem | Dr. Matheus Guelssi
Posso aumentar a área de exposição ao raio da máquina, para conseguir ver os limites melhores do pneumotórax
TC
Ponto pulmonar
Gabriela de Oliveira | T3 | 8º período
2
Medicina por Imagem | Dr. Matheus Guelssi
● Sobre USG
POCUS - point of care ultrasound
Se eu não saber se está tudo certo ou não no painel do USG, coloco todas as bolinhas no meio, nenhuma nas pontas
não mexer tanto no ganho
depth é como se fosse um zoom
Nomodo M eu posso ver aquela imagem em código de barras
Transdutores
quanto menor o foco, maior a profundidade
quanto maior o foco menos a profundidade
no convexo eu tenho o limite máximo do foco
preset: pode entrar em contato com o representando para ele arrumar o preset do jeito q eu quero
Líquido na ecografia: ANECOICO
Gabriela de Oliveira | T3 | 8º período
3
Medicina por Imagem | Dr. Matheus Guelssi
• Pesquisa do pneumotórax
Posso ir em qualquer lugar do tórax, não preciso me limitar tanto
Quando as 2 pleuras entram em contato uma com a outra,
além do deslizamento, temos caudas dos cometas
Quando não saber identificar, ir até uma costela e ver as
pleuras que estarão embaixo dela
- pneumotórax
USG MODO B - pneumotórax
Gabriela de Oliveira | T3 | 8º período
4
Medicina por Imagem | Dr. Matheus Guelssi
USG MODO M (modo M sempre avalia movimento)
- pneumotórax
- parte semmovimento e parte commovimento
Lembrar areia da praia: movimento
Drenagem de tórax
RX para ver se está bem posicionado
Pneumotórax hipertensivo → choque obstrutivo
Gabriela de Oliveira | T3 | 8º período
5
Medicina por Imagem | Dr. Matheus Guelssi
Pneumotórax
RX AP no leito
- sinal do sulco profundo
Fratura de costela
RX em oblíquo
● DERRAME PLEURAL
Apagamento do seio costo frênico, diafragma e costela
Gabriela de Oliveira | T3 | 8º período
6
Medicina por Imagem | Dr. Matheus Guelssi
quando o paciente só tem derrame pleural, tenho o sinal do menisco, que é essa parábola do lado; sangue fica no seio
costofrênico,mas contorna o pulmão
qualquer líquido pode fazer o sinal do menisco
TC
Paciente em pé o líquido fica no seio costofrênico; .
Gabriela de Oliveira | T3 | 8º período
7
Medicina por Imagem | Dr. Matheus Guelssi
A linha mais hiperecóica é o diafragma, e temos o espelhamento
o que está pra cima na imagem é superficial
Atelectasia fica mais radiolúcida (mais branca
do que o derrame pleural)
Derrame pleural com maior desvio de linha
média- traquéia
● HIDROPNEUMOTÓRAX
Derrame pleural + pneumotórax junto
Não tenho o sinal do menisco, a linha fica retilínea; há desvio de linha média na segunda foto
Gabriela de Oliveira | T3 | 8º período
8
Medicina por Imagem | Dr. Matheus Guelssi
● CONTUSÃO PULMONAR
Na imagem A temos uma contusão intrapulmonar, que faz criar um espaço no pulmão, simulando como se fosse um
pneumotórax; o RX não é suficiente para dizer o diagnóstico
● LESÃO DE DIAFRAGMA
Estômago deslocado para o interior do hemitórax esquerdo
● CORPO ESTRANHO
- Hiperinsuflação unilateral
Paciente chega com desconforto respiratório;
no RX aparece uma hiperinsuflação unilateral
pede RX em ins e exp;
Gabriela de Oliveira | T3 | 8º período
9
Medicina por Imagem | Dr. Matheus Guelssi
● DERRAME PERICÁRDICO
Aumento da área cardíaca, com aspecto em taça invertida
Gabriela de Oliveira | T3 | 8º período
10
Medicina por Imagem | Dr. Matheus Guelssi
Hemopericárdio
Retificação da borda cardíaca esquerda
Se entrar só superior o esterno vai atrapalhar
Gabriela de Oliveira | T3 | 8º período
11

Mais conteúdos dessa disciplina