Logo Passei Direto
Buscar
Material
páginas com resultados encontrados.
páginas com resultados encontrados.

Prévia do material em texto

MachineTranslatedbyGoogle 
 
 
 
 
272Patologia 
 
 
um. Pneumonia por Pneumocystis 
carinii b. Dano alveolar 
difusoc.Edema 
pulmonarD.Proteinosealveolar 
pulmonare.Pneumonialipídica 
 
252. Abronquioliteobliterantecompneumoniaemorganização(BOOP)écaracterizadahistol
ogicamente no pulmão por a. Corpos 
asteróidesemcélulasgigantesdentrodosbronquíolosb.Teci
dofibrosofrouxodentrodosbronquíolos ealvéolosc. 
Múltiplos nódulos reumatóides no tecido intersticial d. 
Numerososeosinófilosdentrodasparedesdosalvéolose.Numerososlinfócit
osdentro das paredes dos alvéolos 
 
 
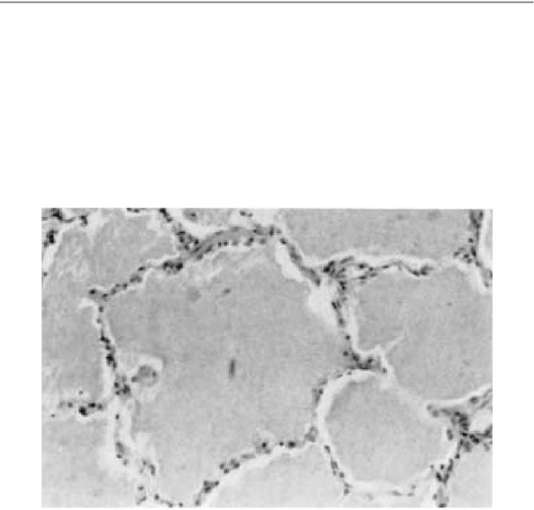
251. Um homem de 45 anos apresenta falta de ar, tosse com expectoração 
mucóideealgumaperdadepeso,alémdeinfiltradosalveolaresbilateraisdifusos na 
radiografia de tórax. Os testes de função pulmonar revelam diminuição da 
capacidade de difusão e hipóxia. O paciente trabalhou durante vários anos na 
retificação de alumínio. A fotomicrografia abaixo é de uma biópsia pulmonar. 
Seudiagnósticoé 
MachineTranslatedbyGoogle 
 
 
 
 
SistemaRespiratório273 
 
253. Um homem de 54 anos apresenta vários problemas envolvendo a face e 
dores no ombro. Ele afirma que fuma 2 maços de cigarro por dia há quase 40 
anos.Oexamefísicorevelaptosedapálpebrasuperioresquerda,constriçãoda 
pupila esquerda e falta de sudorese (anidrose) no lado esquerdo da face. 
Nenhuma outra anormalidade neurológica é encontrada. Este indivíduo 
provavelmente tem um. Carcinoma 
bronquíolo-alveolarenvolvendoolobosuperioresquerdob. 
Umcarcinomadepequenascélulasenvolvendoohilodo 
pulmãoesquerdoc.Carcinomaespinocelularenvolvendoobrônquio 
principal esquerdo d. Um adenocarcinoma envolvendo o 
ápicedopulmãoesquerdoe.Tumorcarcinóideendobrônquicoenvolvendoobrônquioprinci 
 
254. Duranteumexamefísicoderotina,umhomemde43anosapresentauma 
“moeda” de 2,5 cm na porção periférica do lobo superior direito (LSD). Várias 
amostrasdeescarroenviadasparacitologianãoapresentamalteraçõesdignas 
denota,eumexamebroncoscópicotambémnãoapresentaalteraçõesdignas de 
nota. A cirurgia é realizada e a massa é ressecada. O exame histológico 
revela lóbulos de tecido conjuntivo que contêm cartilagem hialina madura. 
Esseslóbulossãoseparadosporfendasrevestidasporepitéliorespiratório.Qual é o 
diagnóstico correto? 
um.Adenocarcinoma 
b. Carcinomabronquioloalveolar 
c. Carcinóide 
d. Fibroma 
e. Hamartoma 
MachineTranslatedbyGoogle 
 
 
 
 
274Patologia 
 
255. Um homem de 67 anos, fumante de longa data, apresenta perda de 
peso, tosse persistente, febre, dor no peito e hemoptise. O exame físico 
revela um homem caquético com baqueteamento digital e macicez à 
percussão no lobo inferior direito. A radiografia de tórax revela massa hilarde 
3,5 cm à direita e pneumonia pós-obstrutiva no lobo inferior direito. A 
citologia do escarro é suspeita de células malignas. O exame histológico de 
umaamostradebiópsiatransbrônquicarevelagruposinfiltrantesdecélulas 
com citoplasma escasso. Não são observadas estruturas glandulares ou produção de quer 
Os núcleos dessas células têm cerca de duas vezes o tamanho dos linfócitos 
normais e não parecem ter nucléolos. Qual o diagnóstico correto da lesão 
pulmonar nesse indivíduo? 
um. Adenocarcinoma 
b. Hamartoma 
c. Carcinomaindiferenciadodegrandescélulas 
d. Carcinomaindiferenciadodepequenascélulas 
e. Carcinoma de células escamosas 
 
256. Uma mulher de 39 anos apresenta tosse e falta de ar crescente. Uma 
radiografia de tórax é interpretada pelo radiologista como mostrando 
pneumonia no lobo inferior direito (LID). Nenhuma lesão de massa é 
observada. A mulher é tratada com antibióticos, mas os sintomas não 
melhoram. Na sua segunda visita, a área de consolidação parece ter 
aumentado. A broncoscopia é realizada. Não são observadas massas 
brônquicas, mas uma biópsia transbrônquica é obtida em uma área de 
eritema da mucosa no LID. Após o diagnóstico ser feito, o RLL é 
removidoeumasecçãodestaamostrarevelacélulasepiteliaiscolunaressecretora
s 
demucobemdiferenciadasqueseinfiltramdealvéoloemalvéolo.Qualéodiagnósticoco 
um.Carcinomabronquioloalveolar 
b. Carcinóide 
 
c. Carcinomadegrandescélulas 
d. Carcinomadepequenascélulas 
e. Carcinoma de células escamosas 
MachineTranslatedbyGoogle 
 
 
 
 
SistemaRespiratório275 
 
257. Qual das anormalidades listadas é um exemplo de tipo de derrame pleural que é 
melhor classificado como exsudato (edema inflamatório) do que como transudato? 
 
 
um.Quilotóraxb. 
Empiemac. 
Hemotórax 
d.Hidrotóraxe. 
Pneumotórax 
 
 
258. Uma mulher de 19 anos apresenta dor torácica súbita e intensa no lado direito, 
que surgiu logo depois de ela ter colocado caixas pesadas nas prateleiras de sua 
garagem. O exame físico revela uma mulher afebril com desconforto respiratório leve. 
Os sons respiratórios estão acentuadamente diminuídos à direita e o pulmão direito é 
hiperressonante à percussão. Qual dos seguintes itens provavelmente está presente 
neste indivíduo? 
um.Pneumoconiose 
b. InfecçãoporPneumocystis 
c. Pneumoniabacterianad. 
PneumoniaviralE. 
Pneumotórax 
MachineTranslatedbyGoogle 
 
 
 
 
276Patologia 
 
 
um.Corposlamelaresvistospormicroscopiaeletrônicab.Microvilosidadeslo
ngasvistaspormicroscopiaeletrônica 
c.Coloraçãodequeratinacitoplasmáticaperiférica 
d. Reação CEA positiva 
e.ColoraçãopositivadeLeu-M1 
 
 
259. Um homem de 57 anos apresenta uma lesão semelhante à observada nesta 
fotografiamacroscópicadeumasecçãosagitaldopulmão.Qualdascaracterísticas listadas, 
se presente nesta lesão, favoreceria o diagnóstico de mesotelioma? 
MachineTranslatedbyGoogle 
 
Respiratório 
Sistema 
 
Respostas 
 
 
234. Arespostaéb.(Cotran,pp549–550,700.)Edemapulmonar 
refere-se ao acúmulo excessivo de líquido nos espaços extravasculares 
dopulmão.Oedemapulmonarpodeserclassificadocombasenaetiologiaemedema 
pulmonar cardiogênico e edema pulmonar não cardiogênico. Edema pulmonar 
cardiogênico resulta de anormalidades hemodinâmicas 
(Starling),enquantooedemapulmonarnãocardiogênicoresultadelesãocelular.As causas 
do edema pulmonar cardiogênico incluem aumento 
forças hidrostáticas, como visto na insuficiência cardíaca congestiva (a forma mais comum 
causa de edema pulmonar); diminuição da pressão oncótica, como resultante 
da diminuição dos níveis de albumina; e obstrução linfática. O edema não cardiogênico 
pode ser resultado de lesão endotelial (infecções, coagulopatia intravascular disseminada 
ou trauma) ou lesão alveolar (decorrente de 
toxinas inaladas, aspiração, afogamento ou quase afogamento). Microscopicamente, 
o edema pulmonar revela que os alvéolos estão cheios de líquido rosa pálido. O edema 
cardiogênico pode levar a hemorragias alveolares e lesões carregadas de hemossiderina. 
macrófagos (células de insuficiência cardíaca). Onde houver edema cardiogênico, 
radiografias de tórax mostram aumento no calibre dos vasos sanguíneos no 
lobos superiores, líquido perivascular e peribrônquico (“cuffing”) e Kerley B 
linhas(líquidonosseptosinterlobulares).Oedemanãocardiogênicoproduz 
“branqueamento” dos pulmões. 
 
235. Arespostaéa.(Cotran,pp699–700.)Atelectasiarefere-seaopulmão 
colapso. Está dividido em quatro tipos. Atelectasia absortiva (obstrutiva) 
resultadeobstruçãodasviasaéreas,comoocorrecommuco,tumoresoucorpos estranhos. O 
ar dentro dos pulmões distal à obstrução é absorvido, 
o pulmão entra em colapso e o mediastino então se desloca em direção ao colapso 
pulmão. Com a compressão, o líquido atelectasiano dentro da cavidade pleural, como 
observada na insuficiência cardíaca congestiva (ICC), causa aumento da pressão pleural, 
que colapsa o tecido pulmonar. Neste caso, o mediastino se desloca 
do pulmão colapsado. Na contração, a fibrose da atelectasia causa colapso 
 
 
277 
MachineTranslatedbyGoogle 
 
 
 
 
278Patologia 
 
dotecidopulmonar.Aatelectasiairregularpoderesultardaperdadesurfactante 
pulmonar,queéobservadanadoençadamembranahialinadorecém-nascido.236. Arespostaéd.(Damjanov,pp1503–1505.Cotran,pp700–703.) 
Asíndromedodesconfortorespiratóriodoadulto(SDRA)éumasíndromecaracterizada 
clinicamente pelo rápido início de insuficiência respiratória grave e com risco de vida. 
ASDRAtambémtemsidochamadadeinsuficiênciarespiratóriadoadulto,pulmão 
dechoque,pulmãoúmidotraumático,pulmãoembombaedanoalveolardifuso(DAD). A 
lesão inicial e básica na SDRA é o dano difuso à parede alveolar. O líquido do 
edemaricoemproteínasvazaparaosespaçosalveolaresesecombinacomfibrinae células 
mortas para produzir membranas hialinas que revestem os alvéolos e são o aspecto 
histológico característico da SDRA. Na fase edematosa aguda, os pulmões ficam 
congestionados (congestão pulmonar) e apresentam edema pulmonar com 
inflamação intersticial. O parênquima pulmonar colapsado e sem ar é denominado 
atelectasiaetambémpodeserobservadonaSDRA.Estasoutrasalterações,embora 
presentes na SDRA, não são patognomônicas. 
Em contraste, infiltrados angioinvasivos de células linfóides pleomórficas são 
observados na granulomatose linfomatóide, uma doença de indivíduos de meia-idade 
quesecaracterizaporuminfiltradoangiocêntricoeangioinvasivodecélulaslinfóides 
atípicas. Depósitos de cristais em forma de agulha das membranas dos eosinófilos, 
chamados cristais de Charcot-Leyden, podem ser observados em pacientes com 
asma, enquanto grupos infiltrantes de células malignas com pontes intercelulares 
caracterizam o carcinoma de células escamosas. Lesões plexiformes nas arteríolas 
pulmonares são diagnósticas de hipertensão pulmonar. 
 
 
237. Arespostaéc.(Cotran,pp130–132,703–704.)Osêmbolospulmonarespodem ser 
causados por trombos, ar (após a cirurgia), líquido amniótico (complicações do 
parto), gordura (associada a traumas que causam fraturas de ossos longos) ou 
tumores (carcinomas de células renais que invadem a veia cava). Os êmbolos 
pulmonares são comuns e encontrados em cerca de 10 a 20% das autópsias 
hospitalares. As oclusões das artérias pulmonares por coágulos sanguíneos são 
quase sempre embólicas, decorrentes de trombos nas veias profundas da perna 
[trombosesvenosasprofundas(TVP)].Oscenáriostípicosparaodesenvolvimentode 
trombose venosa profunda incluem aumento da estase venosa e estados de 
hipercoagulabilidade,comoapóscirurgia.Asensibilidadenapanturrilha,associadaa TVP, 
é um sinal clínico útil que aponta para embolia pulmonar como causa de 
problemasrespiratóriosapósacirurgia.Osêmbolospulmonarespodemproduziroutrossintomasclíni 
MachineTranslatedbyGoogle 
 
 
 
 
SistemaRespiratórioRespostas279 
 
sintomas, como ansiedade, dor torácica pleurítica, dispneia, febre, tosse, 
hemoptiseoumortesúbita.AhipoxemiaresultadoaumentodosgradientesdeAa, 
resultado do aumento do espaço morto alveolar. A maioria dos tromboembolismo 
pulmonar não causa danos e eventualmente se organiza ou lisa; 
entretanto,dependendodotamanhodoêmboloedoestadohemodinâmicodopaciente, pode 
ocorrer infarto pulmonar. Pulmonar 
Os infartos têm grosseiramente um ápice apontando para o vaso ocluído e um 
basepiramidalestendendo-seemdireçãoàsuperfíciepleural.Amarcahistológicaéa necrose 
isquêmica do pulmão. 
 
238. Arespostaéd.(Cotran,pp704–706.)Aesclerosevascularpulmonarrefere-se às 
alterações vasculares associadas à hipertensão pulmonar. 
Aelevaçãodapressãoarterialpulmonarmédiaéresultadodedisfunçãoendoteliale 
alterações vasculares. As alterações vasculares variam com o 
tamanhodaembarcação.Asartériasprincipaisapresentamateromassemelhantesà 
aterosclerose sistêmica, mas não tão graves. Artérias de tamanho médio mostram 
espessamento íntimo e neomuscularização. Artérias e arteríolas menores 
mostram espessamento da íntima, hipertrofia medial e reduplicação da 
membranaselásticasinternaseexternas.Umaalteraçãoarteriolardistinta,uma lesão 
plexiforme, consiste em tufos angiomatosos intraluminais que formam teias. 
Acredita-se que esse padrão seja diagnóstico de hipertensão primária. 
As alterações da esclerose vascular pulmonar podem ser primárias ou secundárias. 
A esclerose vascular pulmonar primária quase sempre ocorre em 
mulheres jovens, que desenvolvem fadiga, síncope (com exercício), dispneia 
esforço(DOE)edornopeito.Aesclerosesecundáriapodeocorreremqualqueridade, e os 
sintomas dependem da causa subjacente. As possíveis causas incluem 
certos tipos de doenças cardíacas, como doença da válvula mitral, ventricular esquerda 
insuficiênciaedoençavalvarcongênitacomshuntdaesquerdaparaadireita,bemcomo certos 
tipos de doença pulmonar, como doença pulmonar obstrutiva crônica ouintersticial e 
êmbolos pulmonares recorrentes. A hipertensão pulmonar também está associada a 
pílulas dietéticas (Redux e Fen-Phen), embora “exóticas” 
as causas incluem Crotalaria spectabilis (“chá do mato”) e azeite adulterado. 
 
239. Arespostaéa.(Cotran,pp712–716.)Asdoençaspulmonaresobstrutivas 
crônicas (DPOC) são caracterizadas por obstrução ao fluxo de ar 
emalgumlugaraolongodasviasaéreas.Estasdoençaspodemafectarosbrônquios, 
bronquíolo ou ácino. Asma, bronquiectasia e bronquite crônica 
afeta principalmenteos brônquios, enquanto o enfisema afeta principalmentea 
MachineTranslatedbyGoogle 
 
 
 
 
280Patologia 
 
não.Aasmaéumadoençapulmonarcausadaporbroncoconstriçãoexcessiva secundária 
às vias aéreas que são hiper-reativas a numerosos 
estímulos.Aasmafoidivididaemcategoriasextrínsecaseintrínsecas. 
Acategoriaextrínsecaincluiasmaatópica(alérgica),ocupacional 
asmaeaspergilosebroncopulmonaralérgica.Acategoriaintrínsecaincluiasmanão 
reagínica e asma farmacológica. O primeiro 
estárelacionadoainfecçõesdotratorespiratório,enquantooúltimoestáfrequentementerelacionadoasensibil
idadeàaspirina.Essespacientessensíveisàaspirinafrequentementeapresentam 
riniteepóliposnasais.Nestespacientes,aaspirinainiciaumataqueasmáticoao inibir a via da 
ciclooxigenase do ácido araquidônico. 
metabolismoácidosemafetaraviadalipoxigenase.Issocausa 
orelativoexcessodeproduçãodeleucotrienos,quesãobroncoconstritores estritores. 
 
240. Arespostaéd.(Cotran,pp707-711.)Enfisema(anormal 
dilatação dos espaços aéreos distais aos bronquíolos terminais) pode ser classificada 
combasenalocalizaçãoanatômicadadilataçãoanormaldentrodolóbulorespiratório. 
Olóbulorespiratórionormalécompostodetrêsacinco 
bronquíolosterminaiseseusácinos,queporsuavezsãocompostosporbronquíolo 
respiratório, ductos alveolares, sacos alveolares e alvéolos. Enfisema 
pode afetar o ácino proximal (enfisema centrolobular), o ácino distal (enfisema 
parasseptal)outodooácino(enfisemapanlobular).Postula-sequeoenfisemaresulta de 
um desequilíbrio entre 
elastase,queéproduzidaporneutrófilosemacrófagosedestrói 
as paredes das vias aéreas e antielastase, que inativa a elastase. Existe um 
associaçãobemestabelecidaentreenfisemapanacinaredeficiênciahereditáriade 
ÿ1antitripsina,enzimaquefuncionacomoantielas-tase.Estaenzimaécodificada por 
genes inibidores de proteinase (Pi) em 
cromossomo 14. O alelo Pi normal é M, e o homozigoto normal é 
Milímetros.OaleloZproduzonívelmaisbaixodeantiproteinase,eoPiZZ o 
homozigoto é o mais deficiente em ÿ1 antitripsina. Fumar cigarro, 
queestáassociadoàproduçãodeenfisemacentrolobular, 
aumentaaatividadedaelastaseediminuiaatividadedaÿ1antitripsina. 
 
241. A resposta é b. (Cotran, pp 716–717.) Pacientes com bronquiectasia 
apresentamtossepersistenteeprodutivadevidoabrônquiosanormalmentedilatados, que 
são o resultado de uma infecção necrosante crônica. Pacientes com síndrome 
deKarta-generapresentamatríadedebronquiectasias,sinusitesrecorrentese 
MachineTranslatedbyGoogle 
 
 
 
 
SistemaRespiratórioRespostas281 
 
situs inverso. Os problemas respiratórios associados a esta síndrome são 
causadapormotilidadeanormaldoscílios,queédevidaaanormalidadesde os 
braços de dineína contendo ATPase. Cílios anormais inibem o normal 
funcionamentodoepitéliorespiratório,queconsisteemeliminarmicroorganismos e 
partículas estranhas no muco respiratório. Isto resultaem repetidos 
infecçõesrespiratórias.Homenscomestacondiçãotendemaserestéreisporque da 
motilidade ineficaz das caudas do esperma. Em contrapartida, pacientes com 
aasmadesenvolvesibilânciaepisódicadevidoàhiperplasiadomúsculolisobrônquicoe à 
produção excessiva de muco. A asma extrínseca (alérgica) pode ser 
relacionadoa reações imunológicasIgE (tipo I); asma intrínseca (não alérgica) 
podeserdesencadeadaporinfecçõesoumedicamentos.Clinicamenteháumaumento 
contagem de eosinófilos no sangue periférico e espirais de Curschmann e 
CristaisdeCharcot-Leydenpodemserencontradosnoescarro.Abronquitecrônicaé 
caracterizada por tosse produtiva que está presente por pelo menos 3 
meses em pelo menos dois anos consecutivos. Há hiperplasiade mucosa 
glândulas com hipersecreção, em grande parte devido à fumaça do tabaco. 
Enfisemaé uma dilatação anormal dos alvéolos devido à destruição da camada 
alveolar. 
paredes.Esteatoserefere-se aoacúmulode triglicerídeosnocitoplasma doshepatócitos. 
 
 
 
242. A respostaéb.(Cotran,pp717–722.Chandrasoma,pp488,794, 
882–883.)Asinfecçõespulmonarespodemsercausadasporbactérias,fungos,vírus, ou 
micoplasma. As infecções bacterianas geralmente resultam em uma resposta 
polimorfonuclear (neutrófilos). Infecção bacteriana do pulmão (pneumonia) 
resulta na consolidaçãodo pulmão, que pode ser irregular ou difuso. Desigual 
a consolidação do pulmão é observada na broncopneumonia (pneumonia lobular), 
enquantooenvolvimentodifusodeumlobointeiroéobservadonapneumonialobar. 
Histologicamente,a broncopneumoniaé caracterizada por múltiplas 
exsudatos supurativos ricos em neutrófilos que preenchem os brônquios e bronquíolos 
etransbordaparaosespaçosalveolaresadjacentes.Emcontraste,apneumonialobaré 
caracterizada por quatro estágios distintos: congestão, hepatização vermelha, 
hepatização cinzenta e resolução. 
 
243. Arespostaéd.(Cotran,p722.)Umabscessopulmonaréumprocessosupurativo 
localizado dentro do parênquima pulmonar que é caracterizado por necrose tecidual e 
inflamação aguda acentuada. Possíveis causas 
deumabscessopulmonarincluemestreptococosaeróbioseanaeróbicos,Staphylococcus 
aureus e muitos organismos gram-negativos. A aspiração mais frequentemente dá uma 
MachineTranslatedbyGoogle 
 
 
 
 
282Patologia 
 
abscesso único do lado direito, pois as vias aéreas do lado direito são mais verticais. 
Apneumonia antecedente dá origem a múltiplos abscessos difusos. O 
a cavidade do abscesso é preenchida com detritos supurativos necróticos, a menos que 
secomunique com uma passagem de ar. Clinicamente, um indivíduo com abscesso 
pulmonartem uma tosse proeminente produzindo grandes quantidades de mau cheiro, 
expectoraçãopurulenta.Mudançasdeposiçãoevocamparoxismosdetosse. 
Há também febre, mal-estar e baqueteamento digital dos dedos das mãos e dos pés. 
Comantibioticoterapia 75% dos abscessos pulmonares desaparecem. Complicações de um 
pulmãoabscesso incluem envolvimento pleural (empiema) e bacteremia, que 
poderesultaremabscessoscerebraisoumeningite. 
 
244. A resposta é b. (Cotran, pp 721-722.) Pneumonia intersticial aguda refere-se 
àinflamação do interstício do pulmão que é o resultado de 
infecção,normalmenteporM.pneumoniaeouvíruscomoinfluenza 
A e B. Este tipo de pneumonia é denominado pneumonia atípica 
primáriaporque é atípica quando comparada à pneumonia bacteriana 
“típica”, 
como produzido por S. pneumoniae. Estas pneumonias bacterianas são caracterizadas 
porinflamação aguda (neutrófilos) dentro dos alvéolos. Em contraste, a pneumonia 
intersticialaguda é caracterizada por linfócitos e 
células plasmáticas dentro do interstício, ou seja, as paredes do septo alveolar. 
Viralefeitos citopáticos, como corpos de inclusão ou células gigantes multinucleadas, 
pode ser visto histologicamente com certas infecções virais. Certos vírus produzem 
pneumoniaem determinados grupos de pacientes, por exemplo, vírus sincicial respiratório 
emcriançaseadenovírusemrecrutasmilitares.InfecçãoporM.pneumoniae 
resulta na produção de um anticorpo IgM frio inespecífico, que reage caracteristicamente 
comhemácias contendo o antígeno I. Já que a maioria dos adultos vermelhos 
células têm antígenos I, sangue de um paciente com pneumonia por 
micoplasmahemaglutinará quando resfriado. Este tipo de reação não é observado 
cominfecção por P. pneumoniae ou Mycobacterium tuberculosis. 
 
245. Arespostaéc.(Damjanov,pp1006–1008.Cotran,p247, 
381–382.) A infecção pelo protozoário P. carinii é caracterizada pela presença de 
organismosovais e em forma de capacete cujas cápsulas são feitas mais 
visível pelo uso da técnica de coloração com prata-metenamina de Gomori. 
Esseorganismo, embora tenha baixa virulência, é oportunista; muitas vezes é 
visto 
atacar pacientes gravemente doentes e imunologicamente deprimidos. É frequentemente 
oprimeira infecção oportunista a ser diagnosticada em pacientes HIV-1 positivos, 
eéumadasprincipaiscausasdemorteempacientescomAIDS.

Mais conteúdos dessa disciplina