Logo Passei Direto
Buscar
Material
páginas com resultados encontrados.
páginas com resultados encontrados.
left-side-bubbles-backgroundright-side-bubbles-background

Crie sua conta grátis para liberar esse material. 🤩

Já tem uma conta?

Ao continuar, você aceita os Termos de Uso e Política de Privacidade

left-side-bubbles-backgroundright-side-bubbles-background

Crie sua conta grátis para liberar esse material. 🤩

Já tem uma conta?

Ao continuar, você aceita os Termos de Uso e Política de Privacidade

left-side-bubbles-backgroundright-side-bubbles-background

Crie sua conta grátis para liberar esse material. 🤩

Já tem uma conta?

Ao continuar, você aceita os Termos de Uso e Política de Privacidade

left-side-bubbles-backgroundright-side-bubbles-background

Crie sua conta grátis para liberar esse material. 🤩

Já tem uma conta?

Ao continuar, você aceita os Termos de Uso e Política de Privacidade

Prévia do material em texto

Ádila Cristie Matos Martins UC9 Aula 4, IMAGINOLOGIA
ACIDENTE VASCULAR ENCEFÁLICO 
• É quando ocorre um distúrbio no fluxo sanguíneo, gerando uma perda súbita de função. Pode ser 
ISQUÊMICO (redução ou paralisação do fluxo) ou HEMORRÁGICO (ruptura vascular).
 AVE ISQUÊMICO 
• AVE isquêmico é causados por uma obstrução nas artérias do cérebro.
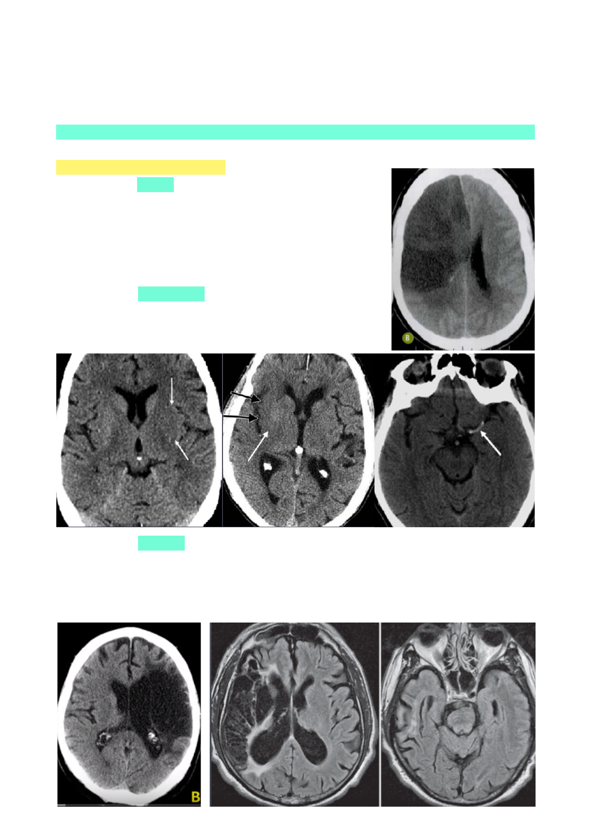
TOMOGRAFIA COMPUTADORIZADA:
AVE ISQUÊMICO AGUDO: são sinais que aparecem em 24 horas

• Edema citotóxico
• Apagamento da diferenciação córtico-subcortical
• Efeito expansivo (diminui sulcos)
• Hipodensidade na região isquemiada
• Desvio da linha média
AVE ISQUÊMICO HIPERAGUDO: são sinais que aparecem em 6 horas
• Núcleo lentiforme obscurecido 
• Sinal da fita insular (perda da diferenciação)
• Sinal da arteria hipertensa (por conta do trombo)
AVE ISQUÊMICO CRÔNICO: 
• Fenômeno ex-vácuo (aumento ventricular ipisilateral)
• Encefalomalácea (efeito cicatricial)
• Líquor ocupa o local degenerado
• Pode levar a demência vascular
Ádila Cristie Matos Martins UC9 Aula 4, IMAGINOLOGIA
RESSONÂNCIA MAGNÉTICA: maior sensibilidade e especificidade que a TC; detecta alterações precoces 
depois de 30 minutos. Detecta edema citotóxico.
• DIFUSÃO: é uma sequência que observa a difusão das moléculas de água pelo tecido. Em um AVE 
isquêmico há uma área de restrição a difusão que obedece território vascular. Na RM a área lesada 
apresenta-se com HIPERSINAL. 
Para confirmação, usa-se o MAPA ADC (coeficiente de difusão aparente). Essa sequência que quantifica o 
deslocamento das moléculas pelo tecido. Se realmente for um AVE isquêmico, a área lesada estará com 
HIPOSINAL. 
*ASPECTS: é uma forma de classificar um AVE isquêmico no território da cerebral média. Quanto maior o 
número de territórios acometidos, maior a extensão do AVE.
• 3D TOF (sem contraste): avalia vasos do encefalo.
PERFUSÃO: pode ser feita na TC ou na RM.
• CORE ISQUÊMICO: área que morreu - não resgata / 
irreversível.
• PENUMBRA: tem hipofluxo sanguíneo, mas ainda é passiva de 
recuperação. 
* O AVE isquêmico pode degenerar com focos de hemorragia.
Ádila Cristie Matos Martins UC9 Aula 4, IMAGINOLOGIA
 AVE HEMORRAGICO 
• O AVE hemorrágico se caracteriza pelo sangramento em uma parte do encéfalo, em consequência do 
rompimento de um vaso sanguíneo. Pode ocorrer para dentro do cérebro ou tronco cerebral (hemorrágico 
intraparenquimatoso) ou para dentro das meninges (hemorragia subaracnóidea).
* EPICENTRO: onde está o hematoma. 
TOMOGRAFIA COMPUTADORIZADA: pode afastar a hipótese de hemorragia.
RESSONÂNCIA MAGNÉTICA: pode ver os focos hemorrágicos de AVE isquêmicos, principalmente no T2 e 
gradiente eco (GRE).
______________________________________________________________________________________
(Adendos) 
* HEMORRAGIA SUBARACNOIDEA: sangue ocupa os sulcos, cisternas, fissuras… É uma sangue extra-
axial.
ESCALA DE FISHER: 
1. TC não detecta sangue
2. < 1mm
Ádila Cristie Matos Martins UC9 Aula 4, IMAGINOLOGIA
3. > 1mm
4. Extensão para parênquima ou para dentro do ventrículo.
* HEMORRAGIA SUBDURAL: encontra-se embaixo da dura-mater (entre a dura e a aracnoide). É côncavo-
convexo - geralmente é sangramento VENOSO.
 * EFEITO HEMATÓCRITO - plasma em cima e hemácias em baixo - sangue novo.
* HEMORRAGIA EPIDURAL: entre a dura e a calota craniana. É biconvexo - geralmente ARTERIAL, dessa 
forma, pode ser mais rápido.

Mais conteúdos dessa disciplina