Logo Passei Direto
Buscar
Material
páginas com resultados encontrados.
páginas com resultados encontrados.
left-side-bubbles-backgroundright-side-bubbles-background

Experimente o Premium!star struck emoji

Acesse conteúdos dessa e de diversas outras disciplinas.

Libere conteúdos
sem pagar

Ajude estudantes e ganhe conteúdos liberados!

left-side-bubbles-backgroundright-side-bubbles-background

Experimente o Premium!star struck emoji

Acesse conteúdos dessa e de diversas outras disciplinas.

Libere conteúdos
sem pagar

Ajude estudantes e ganhe conteúdos liberados!

left-side-bubbles-backgroundright-side-bubbles-background

Experimente o Premium!star struck emoji

Acesse conteúdos dessa e de diversas outras disciplinas.

Libere conteúdos
sem pagar

Ajude estudantes e ganhe conteúdos liberados!

Prévia do material em texto

Endométrio gravídico 
Quando acontece a implantação embrionária, as células do trofoblasto produzem a gonadotrofina coriônica humana (hCG) que estimula o corpo luteo a continuar secretando progesterona. Esse hormônio faz as glândulas uterinas se tornarem mais dilatadas e tortuosas, também as estimula a produzirem mais secreção do que na fase secretória. 
Quando a gravidez se estabelece, a menstruação não ocorre e o ciclo menstrual cessa durante toda a duração dela. 
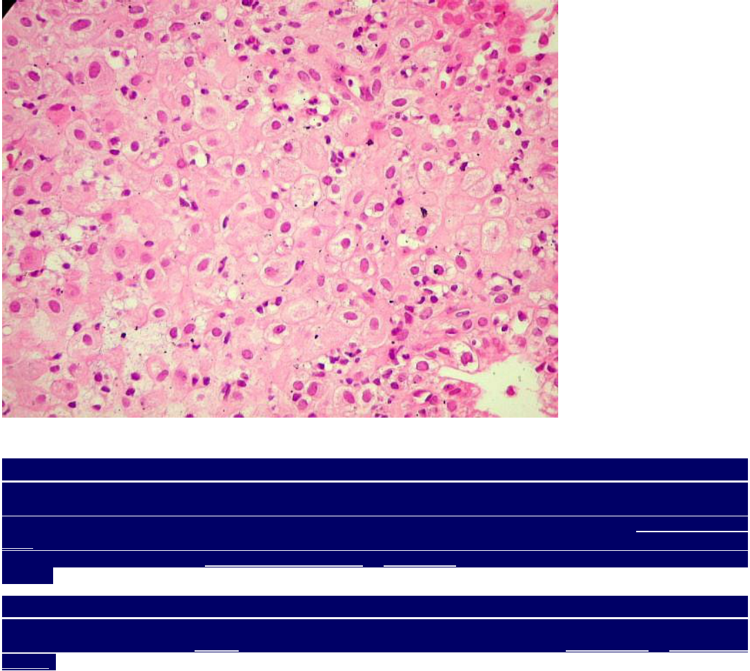
GLÂNDULAS  ENDOMETRIAIS  EM  FASE  SECRETÓRIA.  Este raspado de endométrio provém de um aborto, e mostra acentuada ação progesterônica, uma vez que, na gravidez, os níveis de progesterona são altos. As  glândulas assumem disposição sinuosa dando à luz contorno estrelado. As células glandulares têm citoplasma amplo, róseo e às vezes vacuolado, devido à abundante secreção.    Em muitas, observa-se hipercromatismo nuclear, por vezes acentuado, o que constitui o  fenômeno de Arias-Stella, próprio da gravidez. Este é atribuído a poliploidia das células pelo estímulo progesterônico. As células fazem proeminência na luz da glândula e são chamadas de células em cabeça de prego ou hobnail cells.  Não são observadas mitoses, nas glândulas ou no estroma. 
ESTROMA  ENDOMETRIAL  GRAVÍDICO.   Na gravidez, as células do estroma endometrial sob ação progesterônica  mostram-se volumosas, com citoplasma abundante róseo, e podem assumir contorno arredondado.  O endométrio gravídico é também chamado de decídua, e a modificação das células estromais é referida como decidualização ou transformação decidual. 
Implantação, decídua.
A implantação ou nidação ocorre quando a adesão do embrião às células do epitélio endometrial seguida por penetração do embrião na mucosa uterina – quando ocorre dessa forma é conhecido como implantação intersticial. Começa por volta do sexto dia e no decimo segundo dia, a implantação se completa. 
Após acontecer a implantação, o tecido conjuntivo endometrial sofre algumas mudanças: os fibroblastos da lâmina própria aumentam de tamanho, ficando arredondados e exibem características de células produtoras de proteínas. Esses são chamados então de células deciduais e o endométrio inteiro é chamado de decídua. 
A decídua pode ser dividida em três porções:
 Decídua basal, localizada entre o embrião e o miométrio.
Decídua capsular, entre o embrião e o lúmen uterino.
Decídua parietal, no restante da mucosa uterina. 
Contracepção 
Alguns procedimentos comuns de contracepção feminina são:
Ingestão das pílulas, que são compostas por hormônios ovarianos que ao manterem os níveis hormonais estáveis, inibem o pico de secreção de LH que induz a ovulação. 
Utilização do DIU (dispositivo intrauterino), que é um pequeno pedaço de cobre ou plástico que fica dentro da cavidade uterina e causa uma reação inflamatória local, que é espermicida. 
Ingestão do composto mifepristona na pílula do dia seguinte, que é um análogo da progesterona. Esse composto se liga aos receptores de progesterona no útero e consequentemente previne a ação da progesterona e a implantação do embrião.

Mais conteúdos dessa disciplina