Logo Passei Direto
Buscar
Material
páginas com resultados encontrados.
páginas com resultados encontrados.
left-side-bubbles-backgroundright-side-bubbles-background

Crie sua conta grátis para liberar esse material. 🤩

Já tem uma conta?

Ao continuar, você aceita os Termos de Uso e Política de Privacidade

left-side-bubbles-backgroundright-side-bubbles-background

Crie sua conta grátis para liberar esse material. 🤩

Já tem uma conta?

Ao continuar, você aceita os Termos de Uso e Política de Privacidade

Prévia do material em texto

CASO CLÍNICO 3 
INTRODUÇÃO ÀS ANEMIAS 
 
 Paciente do sexo feminina, L.A.S, 45 anos de idade, portadora de Lúpus Eritematoso 
Sistêmico (LES) e artrite reumatoide (AR) , compareceu à uma emergência apresentando dor 
abdominal, fraqueza muscular, febre e icterícia. Além disso, durante o atendimento foi 
descoberto que a paciente estava com colelitíase (Litíase biliar). Exames laboratoriais 
evidenciaram: 
 
• eritrócitos – 1.9 milhões/mm3; 
• Hemoglobina – 7,2g/dL; 
• Hematócrito 24% 
• Macrocitose; 
• Policromasia; 
• Leucócitos – 8.000/mm3; 
• Plaquetas – 230.300/mm3; 
• Reticulócitos - 3%; 
• LDH – Elevado; 
• bilirrubina Indireta – Elevada ; 
• Bilirrubina direta: – Elevada; 
• Mielograma: Hiperplasia eritroide. 
 
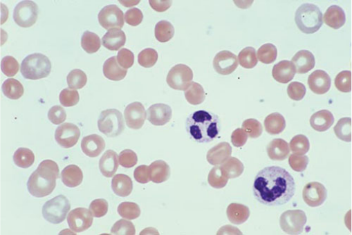
Na lâmina, a seguinte imagem foi evidenciada: 
 
 
Perguntas: 
1) De acordo com os exames e o histórico da paciente, qual a anemia mais provável e quais 
alterações laboratoriais e sintomas clínicos indicam esse diagnóstico? 
2) O aumento da bilirrubina direta pode estar relacionada à anemia da paciente? Se sim, 
explique esse mecanismo

Mais conteúdos dessa disciplina