Logo Passei Direto
Buscar
Material
páginas com resultados encontrados.
páginas com resultados encontrados.
left-side-bubbles-backgroundright-side-bubbles-background

Crie sua conta grátis para liberar esse material. 🤩

Já tem uma conta?

Ao continuar, você aceita os Termos de Uso e Política de Privacidade

left-side-bubbles-backgroundright-side-bubbles-background

Crie sua conta grátis para liberar esse material. 🤩

Já tem uma conta?

Ao continuar, você aceita os Termos de Uso e Política de Privacidade

left-side-bubbles-backgroundright-side-bubbles-background

Crie sua conta grátis para liberar esse material. 🤩

Já tem uma conta?

Ao continuar, você aceita os Termos de Uso e Política de Privacidade

Prévia do material em texto

Daniela Santos Rocha 
BEXIGA E PRÓSTATA 
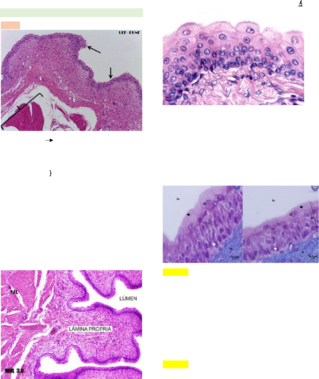
BEXIGA 
 
• Túnica Mucosa 
-Epitélio estratificado de transição 
-10 camadas de células 
-Lâmina própria 
• Túnica Muscular 
-Músculo Liso Frouxamente disposto em 3 camadas: 
-Longitudinal interna 
-Circular média 
-Longitudinal externa 
• Túnica Adventícia 
-envolve externamente a bexiga 
-constituída por tecido conjuntivo fibroelástico frouxo. 
-Em sua porção superior, a bexiga possui uma 
pequena região revestida por uma membrana serosa 
(peritônio). 
-Vasos sanguíneos, nervos e células adiposas 
 
-túnica mucosa bastante preguiada e se torna lisa a 
medida que fica preenchida por urina 
-epitélio com características de ser impermeável a 
agua e íons (células guarda-chuva) 
 
-EPITÉLIO ESTRATIFICADO-particularidades: células de 
grandes dimensões nas partes mais superficiais; 
possibilidade de mudança na espessura e da forma 
dessas células em função do preenchimento pela 
urina (vazia- folheto fica espesso; cheia: epitélio 
delgado e células epiteliais achatadas) 
-células globosas e maiores na superfície 
-células basal: células menores com núcleos mais 
redondos 
 
1 imagem BEXIGA VAZIA: células globosas da 
superfície apresentam um membrana plasmática- 
região mais escura- se aparentam em placas espessas 
e delgadas, membrana se dobra na região mais 
delgada e a espessa se invaginam e se transformam e 
vesículas fusiformes que permanecem próximas a 
superfície 
-células intermediarias poliédricas (seta mais clara) 
-células basal colunar (seta branca) 
-lamina própria de tecido conjuntivo (azul) 
 
2 imagem BEXIGA CHEIA: vesículas fusiformes 
transformam-se em placas que se inserem na 
membrana, aumentando a superfície da célula- 
transformando-se em células achatadas 
-células intermediarias poliédricas (seta mais clara) 
-células basal mais cubica (seta branca) 
-lamina própria de tecido conjuntivo (azul) 
 
Daniela Santos Rocha 
PRÓSTATA 
• A próstata é um conjunto de 30 a 50 glândulas 
tubuloalveolares ramificadas que envolvem uma 
porção da uretra chamada uretra prostática; 
• A próstata tem três zonas distintas: 
-Zona central: cerca de 25% do volume; 
-Zona de transição; 
-Zona periférica: cerca de 70% do volume; 
 
-Cada glandula tem seu ducto excretor que 
desemboca na uretra prostatica 
 
-1: Revestida por uma capsula de tecido conjuntivo 
denso ferroelástico rica em musculo liso 
(esbranquiçado) 
-2: forma septos que penetram para dentro da 
glândula e divida-a em lóbulos (melhor observada em 
jovens) 
-*: Alvéolos glandulares 
-Seta: Uretra prostática 
 
 
-Uretra prostáticas 
-Glândulas prostáticas 
GLÂNDULA PROSTÁTICA 
 
-*: Alvéolo da glândula 
-2: tecido conjuntivo que vem dos septos 
-3 seta: epitélio do alvéolo 
 
aumento maior- alvéolos glandulares 
LU: lúmen dos alvéolos prostáticos 
-Epitélio cuboide alto ou pseudoestratificado colunar 
TC: tecido conjuntivo- formam septos que vai 
estruturando toda a glândula 
 
Daniela Santos Rocha 
 
Epitélio glandular 
-células colunares bem proeminentes 
-células basais descontinuas 
-definir benignidade ou malignidade de um processo 
patológico, nos carcinomas ocorre a perca da 
separação entre células basais e colunares 
CORPORA AMYLACEA
 
-Estruturas dentro dos alvéolos glandulares (4) 
corpora amylacea- pequenos corpos esféricos 
formados por glicoproteínas, podem medir de 0,2 a 
2,0cm de diâmetro, frequentemente são encontrados 
calcificados, normalmente encontrado em próstata de 
adultos- aumentam coma idade, porém ate o 
momento não existe significado conhecido.

Mais conteúdos dessa disciplina