Logo Passei Direto
Buscar
Material
páginas com resultados encontrados.
páginas com resultados encontrados.

Prévia do material em texto

Prática 03: Atividade 
Faça três uploads. O primeiro de uma célula do epitélio intestinal, evidenciando as microvilisidades, o segundo do epitélio pseudoestratificado da traqueia evidenciando as células ciliadas, e o terceiro de uma célula epididimal, evidenciando os estereocílios.
Emanuela Pinacé Amaral
•
25 de abr
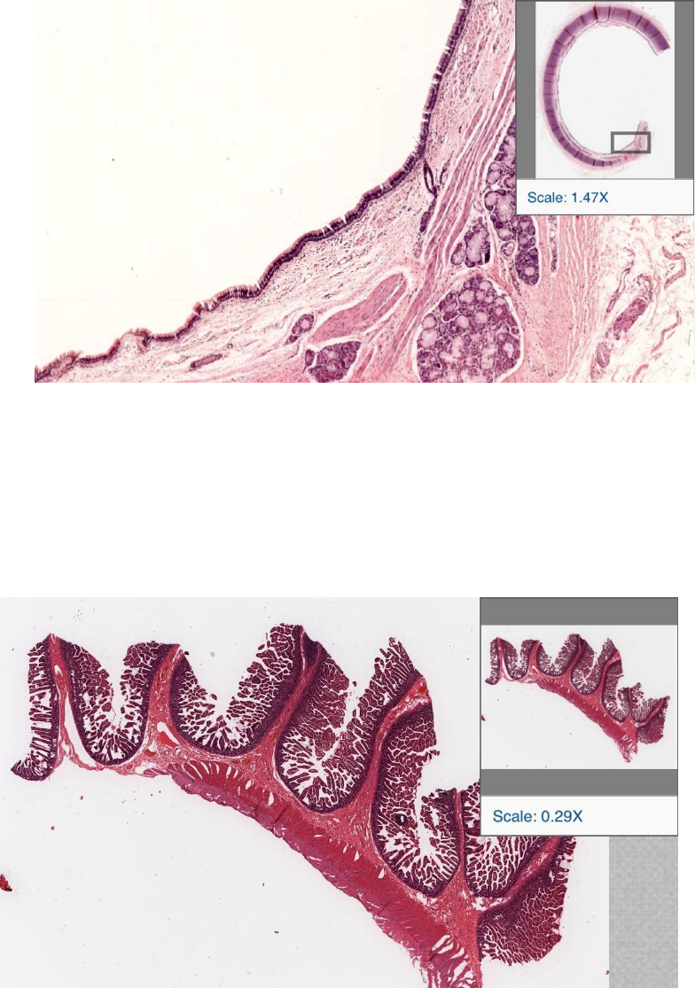
Nas imagens: Aumento de 40x e estilo de corte Transversal.
Traqueia) 
 Ciliação
A ciliação da célula ciliada ajuda a passar elementos durante o fluxo de entrada.
Intestino) 
A seta aponta a microvilosidade:
 
Microvilosidade aumenta a superfície de contato dos alimentos e facilita a sua entrada na corrente sanguínea
Epidídimo)

Mais conteúdos dessa disciplina