Logo Passei Direto
Buscar
Material
páginas com resultados encontrados.
páginas com resultados encontrados.
left-side-bubbles-backgroundright-side-bubbles-background

Crie sua conta grátis para liberar esse material. 🤩

Já tem uma conta?

Ao continuar, você aceita os Termos de Uso e Política de Privacidade

left-side-bubbles-backgroundright-side-bubbles-background

Crie sua conta grátis para liberar esse material. 🤩

Já tem uma conta?

Ao continuar, você aceita os Termos de Uso e Política de Privacidade

left-side-bubbles-backgroundright-side-bubbles-background

Crie sua conta grátis para liberar esse material. 🤩

Já tem uma conta?

Ao continuar, você aceita os Termos de Uso e Política de Privacidade

Prévia do material em texto

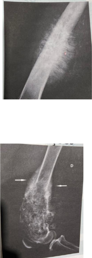
<p>Reações periosteais são as:</p><p>Reação em raios de sol: Que são caracterizadas por espiculas ósseas que irradiam de uma</p><p>lesão osteolidica (manchas de danos ossos) ou ostoprodutiva agressiva, acontece</p><p>principalmente em tumores ósseos malignos</p><p>Triângulo de codman: Reação caracterizada pela elevação do periósteo, resultando em</p><p>neoformação óssea subperiosteal em forma triangular. Ocorre frequentemente em nas</p><p>neoplasias primária malignas, embora também possa ser visualizado em osteomielites</p><p>Reação espiculada ou em paliça: Caracteriza-se como uma neo- formação óssea que se irradia</p><p>per- pendicularmente ao córtex do osso longo. É observada frequente- mente na osteopatia</p><p>hipertrófica e ocasionalmente, na osteomielite.</p><p>Lamelar ou em casca de cebola: é caracterizada pela deposição de múltiplas camadas ósseas</p><p>recém-formadas, paralelas à cortical do osso, que podem assumir o aspecto de “cascas de</p><p>cebola,, resultante de repetidos estímulos, processos irritativos e traumas</p><p>Regular e sólida: é típica de traumas focais em que há hematoma subperiosteal e parte do</p><p>periósteo se distancia do córtex.. É uma reação característica de processos crônicos, podendo</p><p>representar a resolução de outros tipos de periostites</p>

Mais conteúdos dessa disciplina