Logo Passei Direto
Buscar
Material
páginas com resultados encontrados.
páginas com resultados encontrados.
left-side-bubbles-backgroundright-side-bubbles-background

Crie sua conta grátis para liberar esse material. 🤩

Já tem uma conta?

Ao continuar, você aceita os Termos de Uso e Política de Privacidade

Prévia do material em texto

Alternativa C: CORRETA. Essa questão nos traz uma paciente com dismenorreia
há 4 meses e com uma tumoração anexial direita no toque vaginal. O exame de
ultrassonografia demonstra um tumor anexial de 10cm, com aspecto
hipoecogênico, homogêneo e bem delimitado, o que nos leva a pensar em um
ENDOMETRIOMA. A conduta mais adequada consiste na retirada do tumor e de
sua cápsula, com preservação do ovário da paciente, devido ao fato de ser jovem e
nuligesta.
Alternativa D: INCORRETA. Como comentado na alternativa C, esta não é a
melhor conduta para o caso.
▶ ��������: C
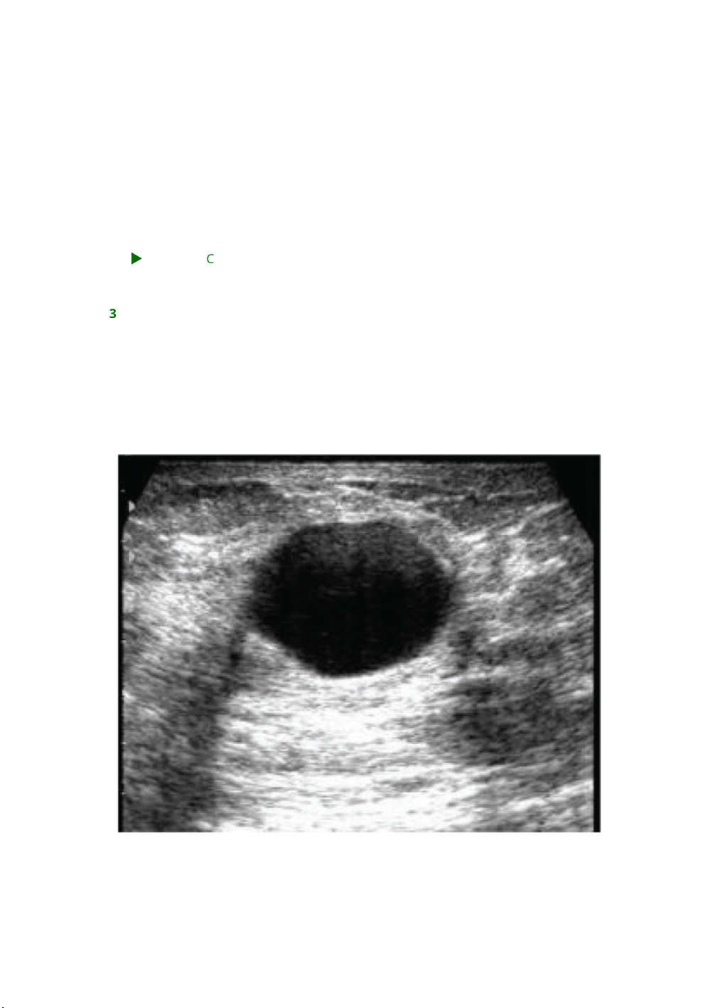
38 (USP – SP – 2018) Paciente de 35 anos de idade refere aparecimento de nódulo
mamário, doloroso, esquerdo, há 1 mês. Neste período, observou pequeno
crescimento do nódulo e dor, com necessidade do uso eventual de anti-
inflamatório não hormonal. Não tem antecedentes mórbidos, pessoais ou
familiares, relevantes. No exame clínico, o nódulo está localizado no quadrante
superolateral esquerdo, tem 3 cm de diâmetro, é móvel e tem limites regulares. O
ultrassom da lesão está mostrado a seguir. Considerando a principal hipótese para
o quadro clínico e imagem apresentada, qual é a melhor conduta para o caso?
A. Biópsia com agulha grossa.
B. Exérese cirúrgica.
C. Mamotomia por ultrassom.

Mais conteúdos dessa disciplina