Logo Passei Direto
Buscar

MANUAL TEÓRICO PRÁTICO DE CITOLOGIA CLÍNICA 2020

Ferramentas de estudo

Questões resolvidas

Explique as diferenças metodológicas entre a Citopatologia e Histopatologia.

Pacientes fazendo uso de anticoncepcional apresentam uma junção escamo-colunar ectocervical. A zona de transformação típica relaciona-se citologicamente a células:
a) Parabasais.
b) Metaplásicas.
c) Escamosas ciliadas.
d) Glandulares atípicas.
e) Queratinizadas.

Por quê realizamos a fixação de material cérvico - vaginal. Qual o seu mecanismo de ação e os mais utilizados atualmente?

Na coloração de Papanicolaou após corarmos a lâmina pelo EA, iremos cobrir a preparação com meio de montagem e lamínula. Para isto necessitamos de mais duas etapas. Quais são elas e em que sequência:
a) Hidratar e clarificar.
b) Desidratar e clarificar.
c) Hidratar e desidratar.
d) Clarificar e desidratar.
e) Clarificar e hidratar.

Do ponto de vista técnico temos possibilidade de melhorar os esfregaços hemorrágicos através da lise dos eritrócitos. Qual a melhor substância para este fim:
a) Álcool a 95%.
b) Acetona pura.
c) Bicloreto de mercúrio.
d) Formol a 10%.
e) Solução de ácido acético.

Os esfregaços citológicos por força de legislação têm que serem armazenados e mantidos em condições de leitura por pelo menos 5 anos. Atendendo essa condição após a coloração do esfregaço é executado a montagem. Em relação ao meio de montagem, avalie as afirmacoes a seguir: I - Substância que funciona como vínculo entre lâmina e lamínula. II - Protege o material celular do ar, evitando ação oxidativa sobre a coloração. III - Índex de refração deve ser próximo ao da lâmina. IV - Ser transparente. V - Não ser miscível com o agente clarificante. É CORRETO apenas o que se afirma em:
a) I, III e IV.
b) II, IV e V.
c) I, II e IV.
d) I, II, III e IV.
e) I, II, III e V.

A distinção entre células metaplásticas maturas e imaturas é principalmente baseada em:
a) Tamanho da célula.
b) Tamanho do núcleo.
c) Queratinização do citoplasma.
d) Picnose nuclear.
e) Forma da célula.

Para o melhor entendimento das alterações citológicas, é necessário conhecer a anatomia e a histologia do trato genital feminino. Sabe-se que o epitélio do orifício cervical externo sem alterações patológicas pode ser revestido por epitélio: Estão CORRETOS apenas os itens:
I - Colunar (cilíndrico) simples.
II - Pavimentoso simples.
III - Pavimentoso estratificado.
IV - Metaplásico.
a) I, II e III.
b) I, II e IV.
c) I, III e IV.
d) II, III, e IV.
e) III, e IV.

Qual das sequências abaixo representa a diferenciação CORRETA das células metaplásicas?
a) Hiperplasia das células de reserva subcilíndricas; metaplasia imatura; metaplasia em maturação e metaplasia madura.
b) Células escamosas basais; células parabasais; metaplasia imatura e metaplasia em maturação.
c) Células glandulares endocervicais; metaplasia imatura, metaplasia madura e epitélio escamoso.
d) Células glandulares endocervicais; células metaplásicas e células escamosas.
e) Hiperplasia das células de reserva subcilíndricas; células glandulares endocervicais; metaplasia imatura e células escamosas parabasais.

Tendo em vistas os efeitos dos contraceptivos orais sobre a cérvice e epitélio vaginal, assinale a alternativa CORRETA.
a) Por ação dos contraceptivos orais a junção escamo-colunar torna-se retrovertida.
b) A condição de retroversão da junção escamo-colunar, por ação dos contraceptivos, favorece ao aparecimento de processos inflamatórios das células glandulares.
c) O uso de contraceptivos orais habitualmente causa a formação de epitélio colunar na ectocérvice em uma condição conhecida por ectopia ou ectrópio.
d) O padrão de trofismo do epitélio escamoso independe da composição dos contraceptivos orais.
e) As mulheres que usam pílulas com altas doses de progesterona têm um muco cervical com aspecto gelatinoso e transparente, e um esfregaço citológico típico da fase ovulatória.

A M. N. S., ao receber o resultado do Exame Colpocitológico, observou a presença de frequentes células metaplásicas imaturas. Ficando preocupada, perguntou a sua vizinha, que é citologista.
a) Qual a importância da metaplasia escamosa no esfregaço citológico do trato genital feminino?
b) a minha idade com 62 anos, o que caracteriza a metaplasia escamosa?
c) Existe possibilidade de evolução para uma lesão maligna? ( ) sim ou ( ) não? Justifique sua resposta.

Associe as colunas:
1 - Endocérvice.
2 - Ectocérvice.
3 - Junção Escamo-colunar.
- Células superficiais, intermediárias, parabasais e basais ( ).
- Células metaplásicas ( ).
- Células secretoras de muco ( ).
- Epitélio cilíndrico ciliado ( ).
- Epitélio pavimentoso multiestratificado ( ).

A partir da classificação de Papanicolaou foram desenvolvidas diversas metodologias de descrição de resultados citopatológicos. O objetivo principal é facilitar a comunicação entre os profissionais de áreas afins. Dentre essas metodologias Richart propôs a classificação de lesões celulares em neoplasias intra-epiteliais cervicais (NIC), avalie as afirmacoes a seguir:
É CORRETO apenas o que se afirma em:
I - NIC III representa lesão do tipo carcinoma in situ.
II - NIC II representa lesão intra-epitelial de baixo grau (LSIL) e alto grau (HSIL).
III - NIC II representa lesão intra-epitelial de e alto grau.
IV - NIC I representa lesão intra-epitelial de baixo grau e infecção por papiloma vírus humano.
V - NIC III representa lesão intra-epitelial de e alto grau e carcinoma invasivo.
a) I, III e IV.
b) II, IV e V.
c) I, II e IV.
d) I, II, III e IV.
e) I, II, III e V.

O sistema de Bethesda apresenta uma nomenclatura importante na descrição dos laudos quando o citologista não tem certeza do tipo de lesão celular apresentada no esfregaço citológico, também conhecida como as atipias em células escamosas ou glandulares de significados indeterminados ('ASCUS/ASGUS'). Em relação às atipias de significados indeterminados, avalie as afirmações a seguir:
É CORRETO apenas o que se afirma em:
I - A presença de células parabasais isoladas, com irregularidade de membrana nuclear, aumento de volume nunclear e hipercromasia caracterizam um dos quadros citológicos enquadrados neste diagnóstico.
II - O seguimento citológico da maioria das mulheres com esse diagnóstico citológico irá demonstrar lesões intra-epiteliais escamosas de alto grau.
III - Quando usado com critério este diagnóstico citológico não deve exceder de 2 a 3 vezes os diagnósticos de lesões intra-epiteliais escamosas.
IV - Corresponde aos quadros citológicos anteriormente descritos como de paraceratose.
V - Não são descritos em esfregaços de mulheres na pós-menopausa.
a) I e IV.
b) II e V.
c) I, II e IV.
d) III.
e) I, II, IV e V.

De acordo com os critérios do Sistema Bethesda, para ser considerado satisfatório, um espécime citológico deve conter:
Qual das alternativas abaixo é a correta?
a) Identificação, informações clínicas pertinentes e presença de células endocervicais e/ou metaplásicas.
b) Informações clínicas, mais de 10% de células escamosas bem preservadas, células endocervicais e/ou metaplásicas.
c) Informações clínicas, mais de 10% de células escamosas bem preservadas, identificação e células endocervicais e/ou metaplásicas em mulheres com cérvice.
d) Identificação, informações clínicas, presença de células endocervicais em mulheres com cérvice.
e) Identificação, informação clínica, mais de 10% de células escamosas bem preservadas com presença de células parabasais.

Considere uma paciente de 25 anos de idade, cujo esfregaço contém células intermediárias e parabasais, com núcleos levemente aumentados, de cromatina grumosa, abundantes halos perinucleares, acompanhadas por células pequenas piriformes ou arredondadas, com núcleos também pequenos, pálidos e excêntricos, além de muitos neutrófilos por vezes formando grumos. Assinale a opção que apresenta o diagnóstico mais provável, tendo como referência as informações apresentadas.
a) Infecção por Trichomonas vaginalis.
b) Alterações por radiação.
c) Lesão intraepitelial de alto grau.
d) Alterações citoplasmáticas de significado indeterminado (AGUS).
e) Infecção por Gardnerella vaginalis.

A vaginose bacteriana é caracterizada por desequilíbrio da flora vaginal normal devido ao aumento exagerado de bactérias anaeróbias de Gardnerella vaginalis, Bacteroides sp, Mobiluncus sp, Mycoplasma, Peptoestreptococcus sp. Esse aumento é associado à ausência ou diminuição acentuada dos lactobacilos. Analisando o contexto avalie as afirmações a seguir:
É CORRETO apenas o que se afirma em:
I - Prurido vulvovaginal (principal sintoma e de intensidade variável), associado a corrimento branco, grumoso, e com aspecto caseoso (leite coalhado), geralmente aderido à parede vaginal.
II - Corrimento vaginal, branco acinzentado, geralmente em pequena ou moderada quantidade, de odor fétido, mais acentuado depois do coito e no período menstrual.
III - Corrimento abundante amarelo-esverdeado, bolhoso e com odor fétido associado a processo inflamatório importante (vagina e colo uterino).
IV - Após período de incubação variável de um a seis meses surge lesão nodular subcutânea única ou múltipla na vulva, cuja erosão forma ulceração com base granulosa de aspecto vermelho vivo e sangramento fácil.
V - Fluxo vaginal transparente ou branco, inodoro, de aspecto mucoide, homogêneo ou pouco grumoso. O pH vaginal é normal e o teste das aminas negativo.
a) III e V.
b) II e III.
c) II.
d) I e IV.
e) II, IV e V.

Quanto aos processos inflamatórios, analise os itens e responda:
I - A Candida glabrata apresenta 2 (duas) formas, esporos e hifas, enquanto a Candida sp apenas a forma de esporos.
II - Os critérios de processos inflamatórios mais comuns em esfregaço com Trichomonas vaginalis são: edema nuclear, halo perinuclear, binucleação, pseudoeosinofilia e metacromasia.
III - A secreção esbranquiçada e de odor fétido é normalmente observada em paciente portadora de Gardnerella vaginalis.
IV - O diagnóstico de candidíase e tricomoníase não é seguro pela citologia esfoliativa.
V - A coleta citológica para o diagnóstico de Chlamydia sp em mulheres é necessário atingir a JEC.
a) I e II.
b) I, II e III.
c) I, IV e V.
d) II, III e V.
e) I, II, IV e V.

Explique como acontece a vaginose química em mulheres que faz uso de anticoncepcional.

Explique como o Trichomonas vaginalis produz lesões na vulva, vagina e no colo uterino.

Material
páginas com resultados encontrados.
páginas com resultados encontrados.
left-side-bubbles-backgroundright-side-bubbles-background

Crie sua conta grátis para liberar esse material. 🤩

Já tem uma conta?

Ao continuar, você aceita os Termos de Uso e Política de Privacidade

left-side-bubbles-backgroundright-side-bubbles-background

Crie sua conta grátis para liberar esse material. 🤩

Já tem uma conta?

Ao continuar, você aceita os Termos de Uso e Política de Privacidade

left-side-bubbles-backgroundright-side-bubbles-background

Crie sua conta grátis para liberar esse material. 🤩

Já tem uma conta?

Ao continuar, você aceita os Termos de Uso e Política de Privacidade

left-side-bubbles-backgroundright-side-bubbles-background

Crie sua conta grátis para liberar esse material. 🤩

Já tem uma conta?

Ao continuar, você aceita os Termos de Uso e Política de Privacidade

left-side-bubbles-backgroundright-side-bubbles-background

Crie sua conta grátis para liberar esse material. 🤩

Já tem uma conta?

Ao continuar, você aceita os Termos de Uso e Política de Privacidade

left-side-bubbles-backgroundright-side-bubbles-background

Crie sua conta grátis para liberar esse material. 🤩

Já tem uma conta?

Ao continuar, você aceita os Termos de Uso e Política de Privacidade

left-side-bubbles-backgroundright-side-bubbles-background

Crie sua conta grátis para liberar esse material. 🤩

Já tem uma conta?

Ao continuar, você aceita os Termos de Uso e Política de Privacidade

left-side-bubbles-backgroundright-side-bubbles-background

Crie sua conta grátis para liberar esse material. 🤩

Já tem uma conta?

Ao continuar, você aceita os Termos de Uso e Política de Privacidade

left-side-bubbles-backgroundright-side-bubbles-background

Crie sua conta grátis para liberar esse material. 🤩

Já tem uma conta?

Ao continuar, você aceita os Termos de Uso e Política de Privacidade

left-side-bubbles-backgroundright-side-bubbles-background

Crie sua conta grátis para liberar esse material. 🤩

Já tem uma conta?

Ao continuar, você aceita os Termos de Uso e Política de Privacidade

Questões resolvidas

Explique as diferenças metodológicas entre a Citopatologia e Histopatologia.

Pacientes fazendo uso de anticoncepcional apresentam uma junção escamo-colunar ectocervical. A zona de transformação típica relaciona-se citologicamente a células:
a) Parabasais.
b) Metaplásicas.
c) Escamosas ciliadas.
d) Glandulares atípicas.
e) Queratinizadas.

Por quê realizamos a fixação de material cérvico - vaginal. Qual o seu mecanismo de ação e os mais utilizados atualmente?

Na coloração de Papanicolaou após corarmos a lâmina pelo EA, iremos cobrir a preparação com meio de montagem e lamínula. Para isto necessitamos de mais duas etapas. Quais são elas e em que sequência:
a) Hidratar e clarificar.
b) Desidratar e clarificar.
c) Hidratar e desidratar.
d) Clarificar e desidratar.
e) Clarificar e hidratar.

Do ponto de vista técnico temos possibilidade de melhorar os esfregaços hemorrágicos através da lise dos eritrócitos. Qual a melhor substância para este fim:
a) Álcool a 95%.
b) Acetona pura.
c) Bicloreto de mercúrio.
d) Formol a 10%.
e) Solução de ácido acético.

Os esfregaços citológicos por força de legislação têm que serem armazenados e mantidos em condições de leitura por pelo menos 5 anos. Atendendo essa condição após a coloração do esfregaço é executado a montagem. Em relação ao meio de montagem, avalie as afirmacoes a seguir: I - Substância que funciona como vínculo entre lâmina e lamínula. II - Protege o material celular do ar, evitando ação oxidativa sobre a coloração. III - Índex de refração deve ser próximo ao da lâmina. IV - Ser transparente. V - Não ser miscível com o agente clarificante. É CORRETO apenas o que se afirma em:
a) I, III e IV.
b) II, IV e V.
c) I, II e IV.
d) I, II, III e IV.
e) I, II, III e V.

A distinção entre células metaplásticas maturas e imaturas é principalmente baseada em:
a) Tamanho da célula.
b) Tamanho do núcleo.
c) Queratinização do citoplasma.
d) Picnose nuclear.
e) Forma da célula.

Para o melhor entendimento das alterações citológicas, é necessário conhecer a anatomia e a histologia do trato genital feminino. Sabe-se que o epitélio do orifício cervical externo sem alterações patológicas pode ser revestido por epitélio: Estão CORRETOS apenas os itens:
I - Colunar (cilíndrico) simples.
II - Pavimentoso simples.
III - Pavimentoso estratificado.
IV - Metaplásico.
a) I, II e III.
b) I, II e IV.
c) I, III e IV.
d) II, III, e IV.
e) III, e IV.

Qual das sequências abaixo representa a diferenciação CORRETA das células metaplásicas?
a) Hiperplasia das células de reserva subcilíndricas; metaplasia imatura; metaplasia em maturação e metaplasia madura.
b) Células escamosas basais; células parabasais; metaplasia imatura e metaplasia em maturação.
c) Células glandulares endocervicais; metaplasia imatura, metaplasia madura e epitélio escamoso.
d) Células glandulares endocervicais; células metaplásicas e células escamosas.
e) Hiperplasia das células de reserva subcilíndricas; células glandulares endocervicais; metaplasia imatura e células escamosas parabasais.

Tendo em vistas os efeitos dos contraceptivos orais sobre a cérvice e epitélio vaginal, assinale a alternativa CORRETA.
a) Por ação dos contraceptivos orais a junção escamo-colunar torna-se retrovertida.
b) A condição de retroversão da junção escamo-colunar, por ação dos contraceptivos, favorece ao aparecimento de processos inflamatórios das células glandulares.
c) O uso de contraceptivos orais habitualmente causa a formação de epitélio colunar na ectocérvice em uma condição conhecida por ectopia ou ectrópio.
d) O padrão de trofismo do epitélio escamoso independe da composição dos contraceptivos orais.
e) As mulheres que usam pílulas com altas doses de progesterona têm um muco cervical com aspecto gelatinoso e transparente, e um esfregaço citológico típico da fase ovulatória.

A M. N. S., ao receber o resultado do Exame Colpocitológico, observou a presença de frequentes células metaplásicas imaturas. Ficando preocupada, perguntou a sua vizinha, que é citologista.
a) Qual a importância da metaplasia escamosa no esfregaço citológico do trato genital feminino?
b) a minha idade com 62 anos, o que caracteriza a metaplasia escamosa?
c) Existe possibilidade de evolução para uma lesão maligna? ( ) sim ou ( ) não? Justifique sua resposta.

Associe as colunas:
1 - Endocérvice.
2 - Ectocérvice.
3 - Junção Escamo-colunar.
- Células superficiais, intermediárias, parabasais e basais ( ).
- Células metaplásicas ( ).
- Células secretoras de muco ( ).
- Epitélio cilíndrico ciliado ( ).
- Epitélio pavimentoso multiestratificado ( ).

A partir da classificação de Papanicolaou foram desenvolvidas diversas metodologias de descrição de resultados citopatológicos. O objetivo principal é facilitar a comunicação entre os profissionais de áreas afins. Dentre essas metodologias Richart propôs a classificação de lesões celulares em neoplasias intra-epiteliais cervicais (NIC), avalie as afirmacoes a seguir:
É CORRETO apenas o que se afirma em:
I - NIC III representa lesão do tipo carcinoma in situ.
II - NIC II representa lesão intra-epitelial de baixo grau (LSIL) e alto grau (HSIL).
III - NIC II representa lesão intra-epitelial de e alto grau.
IV - NIC I representa lesão intra-epitelial de baixo grau e infecção por papiloma vírus humano.
V - NIC III representa lesão intra-epitelial de e alto grau e carcinoma invasivo.
a) I, III e IV.
b) II, IV e V.
c) I, II e IV.
d) I, II, III e IV.
e) I, II, III e V.

O sistema de Bethesda apresenta uma nomenclatura importante na descrição dos laudos quando o citologista não tem certeza do tipo de lesão celular apresentada no esfregaço citológico, também conhecida como as atipias em células escamosas ou glandulares de significados indeterminados ('ASCUS/ASGUS'). Em relação às atipias de significados indeterminados, avalie as afirmações a seguir:
É CORRETO apenas o que se afirma em:
I - A presença de células parabasais isoladas, com irregularidade de membrana nuclear, aumento de volume nunclear e hipercromasia caracterizam um dos quadros citológicos enquadrados neste diagnóstico.
II - O seguimento citológico da maioria das mulheres com esse diagnóstico citológico irá demonstrar lesões intra-epiteliais escamosas de alto grau.
III - Quando usado com critério este diagnóstico citológico não deve exceder de 2 a 3 vezes os diagnósticos de lesões intra-epiteliais escamosas.
IV - Corresponde aos quadros citológicos anteriormente descritos como de paraceratose.
V - Não são descritos em esfregaços de mulheres na pós-menopausa.
a) I e IV.
b) II e V.
c) I, II e IV.
d) III.
e) I, II, IV e V.

De acordo com os critérios do Sistema Bethesda, para ser considerado satisfatório, um espécime citológico deve conter:
Qual das alternativas abaixo é a correta?
a) Identificação, informações clínicas pertinentes e presença de células endocervicais e/ou metaplásicas.
b) Informações clínicas, mais de 10% de células escamosas bem preservadas, células endocervicais e/ou metaplásicas.
c) Informações clínicas, mais de 10% de células escamosas bem preservadas, identificação e células endocervicais e/ou metaplásicas em mulheres com cérvice.
d) Identificação, informações clínicas, presença de células endocervicais em mulheres com cérvice.
e) Identificação, informação clínica, mais de 10% de células escamosas bem preservadas com presença de células parabasais.

Considere uma paciente de 25 anos de idade, cujo esfregaço contém células intermediárias e parabasais, com núcleos levemente aumentados, de cromatina grumosa, abundantes halos perinucleares, acompanhadas por células pequenas piriformes ou arredondadas, com núcleos também pequenos, pálidos e excêntricos, além de muitos neutrófilos por vezes formando grumos. Assinale a opção que apresenta o diagnóstico mais provável, tendo como referência as informações apresentadas.
a) Infecção por Trichomonas vaginalis.
b) Alterações por radiação.
c) Lesão intraepitelial de alto grau.
d) Alterações citoplasmáticas de significado indeterminado (AGUS).
e) Infecção por Gardnerella vaginalis.

A vaginose bacteriana é caracterizada por desequilíbrio da flora vaginal normal devido ao aumento exagerado de bactérias anaeróbias de Gardnerella vaginalis, Bacteroides sp, Mobiluncus sp, Mycoplasma, Peptoestreptococcus sp. Esse aumento é associado à ausência ou diminuição acentuada dos lactobacilos. Analisando o contexto avalie as afirmações a seguir:
É CORRETO apenas o que se afirma em:
I - Prurido vulvovaginal (principal sintoma e de intensidade variável), associado a corrimento branco, grumoso, e com aspecto caseoso (leite coalhado), geralmente aderido à parede vaginal.
II - Corrimento vaginal, branco acinzentado, geralmente em pequena ou moderada quantidade, de odor fétido, mais acentuado depois do coito e no período menstrual.
III - Corrimento abundante amarelo-esverdeado, bolhoso e com odor fétido associado a processo inflamatório importante (vagina e colo uterino).
IV - Após período de incubação variável de um a seis meses surge lesão nodular subcutânea única ou múltipla na vulva, cuja erosão forma ulceração com base granulosa de aspecto vermelho vivo e sangramento fácil.
V - Fluxo vaginal transparente ou branco, inodoro, de aspecto mucoide, homogêneo ou pouco grumoso. O pH vaginal é normal e o teste das aminas negativo.
a) III e V.
b) II e III.
c) II.
d) I e IV.
e) II, IV e V.

Quanto aos processos inflamatórios, analise os itens e responda:
I - A Candida glabrata apresenta 2 (duas) formas, esporos e hifas, enquanto a Candida sp apenas a forma de esporos.
II - Os critérios de processos inflamatórios mais comuns em esfregaço com Trichomonas vaginalis são: edema nuclear, halo perinuclear, binucleação, pseudoeosinofilia e metacromasia.
III - A secreção esbranquiçada e de odor fétido é normalmente observada em paciente portadora de Gardnerella vaginalis.
IV - O diagnóstico de candidíase e tricomoníase não é seguro pela citologia esfoliativa.
V - A coleta citológica para o diagnóstico de Chlamydia sp em mulheres é necessário atingir a JEC.
a) I e II.
b) I, II e III.
c) I, IV e V.
d) II, III e V.
e) I, II, IV e V.

Explique como acontece a vaginose química em mulheres que faz uso de anticoncepcional.

Explique como o Trichomonas vaginalis produz lesões na vulva, vagina e no colo uterino.

Prévia do material em texto

1 
 
MANUAL TEÓRICO PRÁTICO 
DE 
CITOLOGIA CLÍNICA 
 
 
 
 
 
 
 
 
 
 
 
 
 
 
 
 
 
 
 
PROFESSOR MSc EDIBERTO NUNES 
 
 
BELÉM - PARÁ 
AGOSTO DE 2020 
 
 
2 
 
ÍNDICE 
 
1 - CITOLOGIA DO TRATO GENITAL FEMININO 03 
2 - EPITÉLIO DE REVESTIMENTO DO TRATO GENITAL FEMININO 09 
3 - CÉLULAS E ARTEFATOS ENCONTRADOS NO ESFREGAÇO DO TGF 18 
4 - DIAGNÓSTICO DESCRITIVO EM CITOPATOLOGIA 21 
5 - PROCESSOS INFLAMATÓRIOS DO TRATO GENITAL FEMININO 25 
5.1 - LESÃO CELULAR 25 
5.2 - CRITÉRIOS CITOLÓGICOS EM PROCESSOS INFLAMATÓRIOS 27 
5.3 - AGENTES POTENCIALMENTE CAUSADORES DE INFLAMAÇÃO NO TGF 32 
6 - ASPECTOS CLÍNICOS LABORATORIAIS DO PAPILOMAVIRUS HUMANO 48 
7 - ESTUDO DAS LESÕES PRÉ-MALIGNAS DE CÉLULAS ESCAMOSAS 58 
8 - ESTUDO DAS LESÕES MALIGNAS DE CÉLULAS ESCAMOSAS 69 
9 - ESTUDO DAS LESÕES MALIGNAS DE CÉLULAS ENDOCERVICAIS 80 
10 - ESTUDO DAS LESÕES MALIGNAS DE CÉLULAS ENDOMETRIAIS 85 
 - LITERATURA CONSULTADA E MATERIAL BIBLIOGRÁFICO UTILIZADO 89 
 
 
 
 
 
 
 
 
 
 
 
 
 
 
 
 
 
3 
 
1 - CITOLOGIA DO TRATO GENITAL FEMININO 
 CONCEITO 
Estuda as estruturas e as funções celulares, analisando as diversas formas morfológicas 
assumidas frente às condições fisiológicas e patológicas. 
 HISTÓRICO 
 Advento do Miscroscópio Óptico Comum ou de Luz no século XVIII. 
 Rubin: 1910. 
 Kermuner: 1912 - lesão cancerosa. 
 Papanicolaou (Dr George Nicholas Papanicolaou): 1928 - lesão cancerosa. 
 Mac Farlane 1938: 1º ambulatório visando diagnóstico precoce do câncer ginecológico no 
mundo. 
 Atlas de Donné: 1845. 
 NO BRASIL 
 O Presidente Juscelino Kubitschek patrocinou a construção, em 1956, do Centro de Pesquisas 
Luíza Gomes de Lemos, da Fundação das Pioneiras Sociais, no Rio de Janeiro – atualmente 
integrado ao INCA – para atender aos casos de câncer de mama e aparelho genital feminino, 
e que tinha Arthur Campos da Paz em sua direção. Esta, possivelmente, foi a primeira 
iniciativa de dimensão institucional direcionada para o controle do câncer do colo do útero em 
nosso país. 
 Em 1968, José Aristodemo Pinotti, iniciou um programa de controle do câncer do colo do útero 
para Campinas e região com base na Universidade Estadual de Campinas (Unicamp). 
 No início dos anos 1970, João Sampaio Góes Júnior iniciou programa semelhante, atingindo 
vários municípios do Estado de São Paulo com base na Fundação Centro de Pesquisa em 
Oncologia – hoje designada Fundação Oncocentro de São Paulo (Fosp) e no Instituto 
Brasileiro de Controle do Câncer (IBCC). Outras iniciativas em menor dimensão ocorreram 
em outros locais do Brasil. 
 Entre 1972 e 1975, o Ministério da Saúde, por meio de sua recém-instituída Divisão Nacional 
de Câncer, desenvolveu e implementou o Programa Nacional de Controle do Câncer, que se 
destinava a enfrentar o câncer em geral, mas que deu destaque ao rastreamento do câncer 
de colo do útero. Esta foi a primeira ação de âmbito nacional do Ministério da Saúde para a 
prevenção do câncer do colo do útero. 
 Após a criação do SUS pela Constituição de 1988, o INCA passou a ser o órgão responsável 
pela formulação da política nacional de prevenção e controle do câncer, incorporando o PRO-
ONCO. A manutenção das altas taxas de mortalidade por câncer do colo uterino levou o 
Ministério da Saúde a elaborar, ao longo de 1996, um projeto-piloto designado “Viva Mulher”, 
dirigido a mulheres com idade entre 35 e 49 anos. Foram desenvolvidos protocolos para a 
padronização da coleta de material e para o seguimento e conduta frente a cada alteração 
citológica. Introduziu-se também a cirurgia de alta frequência (CAF) para tratamento das 
lesões pré-invasivas do câncer. 
 Por ser um projeto-piloto, sua ação ficou restrita a Curitiba, Recife, Distrito Federal, Rio de 
Janeiro, Belém e o Estado de Sergipe. Com base nessa experiência, as ações foram 
expandidas, em 1998, para todo o Brasil como Programa Nacional de Controle do Câncer do 
Colo do Útero – Viva Mulher, com a adoção de estratégias para estruturação da rede 
assistencial, estabelecimento de um sistema de informações para o monitoramento das ações 
 
4 
 
(Siscolo) e dos mecanismos para mobilização e captação de mulheres, assim como definição 
das competências nos três níveis de governo. 
 Arnaldo de Moraes:1948 - fundador do 1º ambulatório de citologia e colposcopia no Brasil 
– UFRJ. 
 Grimaldo Carvalho: 1960 - um eterno defensor da citologia esfoliativa no Brasil e no exterior. 
 SÍNTESE DA ANATOMIA, HISTOLOGIA E FISIOLOGIA DO TRATO GENITAL 
FEMININO 
 Vulva. 
 Vagina. 
 Colo Uterino. 
 Útero. 
 Trompas de Falópio. 
 Ovários. 
 
 
 
 
 
 
 
 
 
 
 
 
 
 
 
 
 
 
 
 
 
 
 COLETA DE MATERIAL CITOLÓGICO DO TRATO GENITAL FEMININO 
 Importância: coletar as células representativas da parede vaginal, fundo do saco vaginal e 
colo uterino (ectocevix e endocervix). 
 Cuidados especiais antes e durante a coleta: a paciente deve receber orientações 
oportunas para não comprometer a qualidade da coleta da amostra. 
 Dados clínicos: preenchimento da ficha com os dados da mesma. 
 Periodicidade: anualmente; e a cada 3 anos, após 2 exames anuais consecutivos 
negativos. 
 Rastreamento: 25 - 60 anos (SUS). 
 Histerectomizada: Mulheres submetidas à histerectomia total por lesões benignas, sem 
história prévia de diagnóstico ou tratamento de lesões cervicais de alto grau, podem ser 
excluídas do rastreamento, desde que apresentem exames anteriores normais. Em casos 
Fonte: The Ciba Collction Of 
Medical Illustrations. Frank H. 
Netter M. D. 
 
 
5 
 
de histerectomia por lesão precursora ou câncer do colo do útero, a mulher deverá ser 
acompanhada de acordo com a lesão tratada. 
 
 
 
 
 
 
 
 
 
 
 
 
 
 
 
 
 
 
 
 
 
 TIPOS DE COLETAS CITOLÓGICAS DO TRATO GENITAL FEMININO 
 COLETA TRÍPLICE DE PAPANICOLAOU 
 Parede vaginal. 
 Fundo de saco vaginal. 
 Ectocervix-endocervix (colo uterino). 
 Em meio líquido ou base líquida. 
 Endometrial. 
 
 
 
 
 
 
 
 
 
 
 
 
 
 
 
 
 
 
 MATERIAL UTILIZADO NA COLETA CERVICO-VAGINAL 
 Especulo vaginal. 
 Espátula de Ayres. 
 
 
Legenda: Colo uterino normal. 
 
6 
 
 Escova cervical. 
 Swab. 
 Lâmina de vidro de extremidade fosca. 
 Porta lâmina. 
 Pinças Cherron. 
 Compressa de gaze. 
 Algodão. 
 Fixador (álcool à 92º) 
 ESFREGAÇO CITOLÓGICO 
 Padrão – aceitável. 
 Fino. 
 Espesso. 
 Hemorrágico. 
 
 
 
 
 
 
 
 
 
 
 
 
 
 FIXAÇÃO DE MATERIAL CITOLÓGICO 
 Função: insolubiliza as proteínas celulares, evitando a autólise pelas suas próprias enzimas ou 
bactérias. 
 TIPOS DE FIXADORES 
 Álcool a 96%. 
 Álcool - éter (50/50). 
 Álcool isopropílico + polietileno glicol (spray). 
 TEMPO DE FIXAÇÃO: no mínimo 20 (vinte) minutos e no máximo 7 (sete) dias. 
 
 
 
 
 
 
 
 
 
 
 
 
 
 
 
Legenda: Modo de espalhamento das 
células coletadas das regiões: vaginal, 
cervical e endocervical. 
 
Legenda: Maneira correta de fixar 
material citológico. (20 - 30 cm a 
distância entre o frasco fixador e o 
material). 
 
7 
 
 COLETA EM MEIO LÍQUIDO OU BASE LÍQUIDA 
A citologia em meio líquido ou em base líquida é um método de preparação de amostras 
para exame em citopatologia cujo objetivo é aumentar a sensibilidade e especificidade do 
exame de Papanicolaou. 
 VANTAGENS 
 Melhor padronização do preparo técnico, sem necessidade de artefatos de dessecamento 
e de variações na espessura do esfregaço. 
 Diminuindo a presença de artefatos e dando maior representatividade, o que facilita a 
interpretação para um melhor diagnóstico. 
 Possibilidade de realizar exames complementares, tais como a captura híbrida e a 
hibridação in situ para a pesquisa de papilomavírus humano (HPV). 
 Manutenção da estabilidade da amostra por até 60 dias após a coleta, tanto para o estudo 
citológico como para o diagnóstico molecular de infecção peloHPV. 
 Sensibilidade 30 - 87%. 
 
 COLORAÇÃO DE ESFREGAÇO CITOLÓGICO 
 MÉTODOS 
 Papanicolaou. 
 Shorr. 
 Automático. 
 MATERIAIS UTILIZADOS PARA A COLORAÇÃO DE PAPANICOLAOU 
 Corantes: hematoxilina de Harris, EA 36 e Orange “G”. 
 HCl à 0,5%. 
 Água potável. 
 Álcool etílico. 
 Xilol P.A. 
 Suporte para lâminas. 
 TÉCNICA DE COLORAÇÃO DE PAPANICOLAOU 
 FASE DE HIDRATAÇÃO. 
 FASE DE DESIDRATAÇÃO. 
1) As lâminas são colocadas em uma cestinha, e esta para uma cuba com ÁGUA POTÁVEL 
CORRENTE (3 MINUTOS). 
2) Escorrer a cestinha e coloca - lá na cuba de ÀGUA DESTILADA (MEGULHAR 10 VEZES). 
3) Escorrer a cestinha e coloca - lá na cuba de HEMATOXILINA, tempo conforme o potencial 
do corante (3 MINUTOS). 
OBS: a HEMATOXILINA tem que ser FILTRADA todos os dias, quanto for usada. 
4) Escorrer a cestinha e coloca – lá novamente na cuba de ÁGUA POTÁVEL CORRENTE 
(MERGULHAR 10 VEZES). 
5) Escorrer a cestinha e coloca - lá em uma cuba com ÁCIDO CLORÍDRICO À 0,5 % 
(MERGULHAR RAPIDAMENTE 2 VEZES). 
6) Escorrer a cestinha e coloca - lá na cuba de ÁGUA POTÁVEL CORRENTE (3 MINUTOS). 
7) Escorrer a cestinha e coloca – lá em uma cuba com ÁLCOOL AMONIACAL (MERGULHAR 
10 VEZES). 
8) Escorrer a cestinha e coloca - lá em uma cuba com ÁLCOOL ABSOLUTO (MERGULHAR 
10 VEZES). 
 
8 
 
9) Escorrer a cestinha e coloca - lá em uma cuba com ÁLCOOL ABSOLUTO: (MERGULHAR 
10 VEZES). 
10) Escorrer a cestinha e coloca - lá em uma cuba com ORANGE “G” (3 MINUTOS). 
11) Escorrer a cestinha e coloca - lá em uma cuba com ÁLCOOL ABSOLUTO (MERGULHAR 
10 VEZES). 
12) Escorrer a cestinha e coloca - lá em uma cuba com ÁLCOOL ABSOLUTO (MERGULHAR 
10 VEZES). 
13) Escorrer a cestinha e coloca - lá em uma cuba com “EA” (3 MINUTOS). 
14) Escorrer a cestinha e coloca - lá em uma cuba com ÁLCOOL ABSOLUTO (MERGULHAR 
10 VEZES). 
15) Escorrer a cestinha e coloca - lá em uma cuba com ÁLCOOL ABSOLUTO (MERGULHAR 
10 VEZES). 
16) Escorrer a cestinha e coloca - lá numa cuba com XILOL (MERGULHAR 10 VEZES). 
17) Escorrer a cestinha e coloca - lá numa cuba com XILOL (MERGULHAR 10 VEZES). 
OBS: evitar contaminação dos corantes, deixando as cubas tampadas mesmo durante a 
coloração, destampando-as individualmente. 
 MONTAGEM DE ESFREGAÇO CITOLÓGICO 
A montagem de esfregaço citológico tem o objetivo de manter o material estável por um 
longo tempo, mantendo suas características tintoriais e morfológicas. 
 TIPOS DE MONTAGENS: 
 Com lamínula (permanente). 
 Com merckoglas. 
 MATERIAIS UTILIZADOS NAS MONTAGENS: Entellan ou outros materiais sintéticos 
que possuam transparência e não produza nenhuma alteração celular. 
 LEITURA DE ESFREGAÇO CITOLÓGICO: a leitura deve ser realizada em toda a 
extensão da lâmina e em quantas lâminas forem coletadas. 
 OUTROS EXAMES DE INVESTIGAÇÃO DIAGNÓSTICA 
 EXAME À FRESCO: excelente método laboratorial para o diagnóstico de candidíase e 
tricomoníase. 
 BACTERIOSCOPIA: excelente método laboratorial para o estudo da morfologia bacteriana. 
 CULTURA COM ANTIBIOGRAMA: excelente método laboratorial para a identificação 
bacteriana. 
 HISTOPATOLÓGICO: excelente método laboratorial para o estudo das lesões teciduais. 
 IMPORTÂNCIA DA COLPOCITOLOGIA 
Trabalhos de pesquisas mostram que a colpocitologia é, sem dúvida, em termos de saúde 
pública, a grande arma de combate ao carcinoma do colo uterino. 
Na década de 1950 existiam nos EUA 44 casos de câncer do colo uterino para 100.000 
habitantes, e por meio da instituição da colpocitologia de forma ampla nos ambulatórios, essa 
taxa caiu, 15 anos após, para 8/100.000, e 30 anos para 2/100.000. Uma redução de 95% pode-
se observar o valor da citologia esfoliativa na prevenção do câncer uterino. 
 QUESTÕES PARA REVISÃO DO CONTEÚDO MINISTRADO 
1) Por quê realizamos a fixação de material cérvico - vaginal. Qual o seu mecanismo de ação e 
os mais utilizados atualmente? 
 
9 
 
2) Em relação a metaplasia escamosa, responda as perguntas abaixo: 
a) Qual sua importância na prevenção do câncer do colo uterino? 
b) Quando é observada normalmente? 
c) Quando e como tratá-la? 
3)Explique as diferenças metodológicas entre a Citopatologia e Histopatologia. 
4) Pacientes fazendo uso de anticoncepcional apresentam uma junção escamo-colunar 
ectocervical. A zona de transformação típica relaciona-se citologicamente a células: 
a) Parabasais. 
b) Metaplásicas. 
c) Escamosas ciliadas. 
d) Glandulares atípicas. 
e) Queratinizadas. 
5) Na coloração de Papanicolaou após corarmos a lâmina pelo EA, iremos cobrir a preparação 
com meio de montagem e lamínula. Para isto necessitamos de mais duas etapas. Quais são elas 
e em que sequência: 
a) Hidratar e clarificar. 
b) Desidratar e clarificar. 
c) Hidratar e desidratar. 
d) Clarificar e desidratar 
e) Clarificar e hidratar. 
6) Do ponto de vista técnico temos possibilidade de melhorar os esfregaços hemorrágicos 
através da lise dos eritrócitos. Qual a melhor substância para este fim: 
a) Álcool a 95%. 
b) Acetona pura. 
c) Bicloreto de mercúrio. 
d) Formol a 10%. 
e) Solução de ácido acético. 
7) Os esfregaços citológicos por força de legislação têm que serem armazenados e mantidos em 
condições de leitura por pelo menos 5 anos. Atendendo essa condição após a coloração do 
esfregaço é executado a montagem. Em relação ao meio de montagem, avalie as afirmações a 
seguir: 
I - Substância que funciona como vínculo entre lâmina e lamínula. 
II - Protege o material celular do ar, evitando ação oxidativa sobre a coloração. 
III - Índex de refração deve ser próximo ao da lâmina. 
IV - Ser transparente. 
V - Não ser miscível com o agente clarificante. 
É CORRETO apenas o que se afirma em: 
a) I, III e IV. 
b) II, IV e V. 
c) I, II e IV. 
d) I, II, III e IV. 
e) I, II, III e V. 
2 - EPITÉLIO DE REVESTIMENTO DO TRATO GENITAL FEMININO 
http://www.vegarcez.com.br/erro1.htm
http://www.vegarcez.com.br/erro.htm
http://www.vegarcez.com.br/erro3.htm
http://www.vegarcez.com.br/erro1.htm
http://www.vegarcez.com.br/acerto.htm
 
10 
 
 EPITÉLIO ESCAMOSO ESTRATIFICADO NÃO QUERATINIZADO 
 ORIGEM: endoderma. 
 FUNÇÃO: revestimento, proteção e lubrificação. 
 CONSTITUIÇÃO CITOLÓGICA: células escamosas distribuídas em camadas. 
 CAMADA DE CÉLULAS BASAIS 
 CÉLULAS BASAIS: raramente encontradas no esfregaço citológico e são as menores 
células do epitélio escamoso (12 - 16 micras). 
 CITOPLASMA: cora - se em cianófilo (azul). 
 NÚCLEO: relativamente grande, forma arredondada ou oval, localização levemente 
excêntrica e com padrão cromatínico finamente granular. 
 
 
 
 
 
 
 
 
 
 
 
 
 
 CAMADA DE CÉLULAS PARABASAIS 
 CÉLULAS PARABASAIS: são distintamente maiores que as células basais (16 - 20 
micras). 
 CITOPLASMA: tem um grau maior de transparência e cora menos intensamente que as 
células basais (cianófilo). 
 NÚCLEO: forma redonda ou oval, localização levemente excêntrica, cromatina é 
finamente granular com cromocentros ocasionais. 
 
 
 
 
 
 
 
 
 
 
 
 
 CAMADA DE CÉLULAS INTERMEDIÁRIAS 
 CÉLULAS INTERMEDIÁRIAS: são maiores que as células parabasais (20 - 36 micras). 
 CITOPLASMA: forma poligonal, cora em cianófilo claro, translúcido e margens celulares 
delimitadas. 
 
Legenda: Célula Basal corada pela coloração 
de Papanicolaou. 
 
Legenda: Célula Parabasal corada pela 
coloração de Papanicolaou. 
 
11 
 
 NÚCLEO: vesicular, localização central, padrão cromatínico finamente granular, 
uniformemente distribuída e com cromocentros. 
 
 
 
 
 
 
 
 
 
 
 
 
 
 
 
Legenda: A) Célula Intermediária (aumento de 400X) e B) Células intermediárias (aumento de 100X). 
 CAMADA DE CÉLULAS SUPERFICIAIS 
 CÉLULAS SUPERFICIAIS: são as células maduras do epitélio escamoso, tamanho cerca 
de 32 - 45 micras de diâmetro. 
 CITOPLASMA: forma poligonal, cor levemente cianófilo ou eosinófilo (rosa), brilhante, 
translúcido e as margens são proeminentes. 
 NÚCLEO:picnótico (cerca de 6 micras), padrão cromatínico granular uniformemente 
distribuído e condensado. 
 
 
 
 
 
 
 
 
 
 
 
 
 
Legenda: A) Células Superficiais Eosinofílicas e B) Células Superficiais Cianofílicas (coradas pela coloração de 
Papanicolaou). 
 EPITÉLIO DE REVESTIMENTO DA ENDOCEVIX 
 EPITÉLIO CILÍNDRICO ENDOCERVICAL (GLANDULAR) 
 FUNÇÃO: proteção e lubrificação. 
 CONSTITUIÇÃO CITOLÓGICA: há dois tipos celulares (ciliada e secretora). 
 CÉLULAS ENDOCERVICAIS CILIADAS 
 CITOPLASMA: cora cianófilo ou eosinofilamente e é ocasionalmente vacuolizado, placa 
terminal e cílios são frequentemente observados. 
 
A B 
 
A B 
 
12 
 
 NÚCLEO: forma redonda ou oval e usualmente de localização basal. Padrão de cromatina 
fina, uniformemente granular e com vários cromocentros. Ocasionalmente os nucléolos 
são visíveis. 
 CÉLULAS ENDOCERVICAIS SECRETORAS (MUCIPARAS) 
 CITOPLASMA: cora em lavanda ou cianófilo claro, vacuolizado ou granulado e vacúolos 
secretórios de vários tamanho. 
 NÚCLEO: forma redonda ou oval e usualmente de localização basal. Padrão de cromatina 
fina, uniformemente granular e com vários cromocentros. Ocasionalmente os nucléolos 
são visíveis. 
 
 
 
 
 
 
 
 
 
 
 
 
 
 
Legenda: A) Células Endocervicais Ciliadas (placa terminal) e B) Células Endocervicais Secretoras (coradas pela 
coloração de Papanicolaou). 
 ARRANJO CELULAR ENDOCERVICAL 
 Formação Favo de Mel. 
 Formação Paliçada. 
 Formação Isolada. 
 
 
 
 
 
 
 
 
 
 
 
 
 
 
 
 
 
Legenda: A) Células Endocervicais Secretoras em formação de Favo de Mel e B) Células Endocervicais Secretoras 
em Formação Paliçada (coradas pela coloração de Papanicolaou). 
 
 
 
A B 
 
A B 
 
 
13 
 
 
 
 
 
 
 
 
 
 
 
 
 
 EPITÉLIO DE REVESTIMENTO DO ÚTERO 
 EPITÉLIO CILINDRÍCO ENDOMETRIAL (GLANDULAR) 
 FUNÇÃO: proteção, secreção e nutrição. 
 CONSTITUIÇÃO citológica: dois tipos celulares (ciliada e secretora). 
 CÉLULAS ENDOMETRIAIS CILIADAS 
 CITOPLASMA: cora cianófilo ou eosinofilamente e ocasionalmente vacuolizado. Placa 
terminal e cílios são frequentemente observados. 
 NÚCLEO: forma redonda ou oval e usualmente de localização basal. Padrão de cromatina 
fina, uniformemente granular e com vários cromocentros. 
 CÉLULAS ENDOMETRIAIS SECRETORAS (MUCIPARAS) 
 CITOPLASMA: cora em cianófilomente vacuolizado e sem margens celulares nítidas. 
 NÚCLEO: redondo ou oval, localização basal. Padrão de cromatina regularmente 
distribuída, finamente granular e podendo mostrar cromocentros. 
 OBS: normalmente são observadas no esfregaço citológico somente até o dia 10º - 12º 
dia do ciclo menstrual. 
 
 
 
 
 
 
 
 
 
 
 
 
 
 
 
 
 JUNÇÃO ESCAMO - COLUNAR (JEC) 
 ORIGEM HISTOLÓGICA: endoderma (células de reserva). 
 LOCALIZAÇÃO: depende da idade da paciente, condição de saúde e uso hormonal. 
Legenda: Células Endocervicais Ciliadas 
isoladas e uma célula Intermediária. (coradas 
pela coloração de Papanicolaou) - (SETA). 
 
 
Legenda: Células Endometriais 
observadas durante a coleta de fundo 
de saco vaginal no 8º dia após a 
menstruação. (coradas pela coloração 
de Papanicolaou). 
 
 
 
14 
 
 IMPORTÂNCIA: 95% dos casos de câncer ginecológico são observados na JEC. A coleta 
obrigatoriamente deve obter células deste local. 
 
 
 
 
 
 
 
 
 
 
 
 
 
 
 
 
 
 
 
 
 
 
 
 
 
 
 
 
 CÉLULAS DE REPARO 
 CITOPLASMA: cora em cianófilo com margens nítidas e disposição em lençol. 
 NÚCLEO: oval ou redondo, padrão de cromatina granular fino e uniforme, com 
cromocentros, macronucléolo único e proeminente. 
 CARACTERÍSTICA GERAL DE PROCESSO REPARATIVO 
 Falta de diátese tumoral. 
 Ausência de células isoladas. 
 Falta de padrão de cromatina grosseira. 
 Ausência de organização sincicial com perda de polaridade. 
 METAPLASIA ESCAMOSA 
 CONCEITO: transformação celular com objetivo reparativo ou protetivo. 
 TIPOS CELULARES: 
 MATURAS: células metaplásicas grandes e poligonais que irão originar as células 
intermediárias e superficiais. 
 IMATURAS: células metaplásicas pequenas e arredondadas que irão originar as células 
basais e parabasais. 
 ORIGEM HISTOLÓGICA: endoderma (células de reserva). 
 IMPORTÂNCIA: proteção contra possíveis lesões celulares na JEC. 
 
 
Legenda: A) JEC do tipo Entropia 
(observada durante a menopausa), 
B) JEC do tipo Normotropia 
(observada na fase reprodutiva em 
mulhes hígidas) e C) JEC do tipo 
Ectropia (observada em condição 
patológica e em mulheres durante a 
fase da pré-menarca normalmente). 
 
A B C 
 
Legenda: Colposcopia (aumento 
de 10X) mostrando a JEC em uma 
paciente hígida. 
 
 
 
15 
 
 
 
 
 
 
 
 
 
 
 
 
 
 
 
 
 
 
 
 
 
 
 
 
 
 
 
 
 
 
 
 
 
 
 
 
 
 
 
 
 
 
 
 
 
 
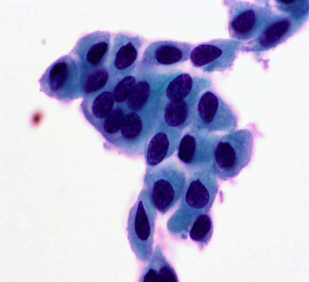
Legenda: A) Células Metaplásicas Imaturas com citoplasma arredondado e nucléolos proeminentes e B) Células 
Metaplásicas Imaturas com citoplasma arredondado e nucléolos pouco proeminentes (acima várias células 
intermediárias e superficiais) - (SETA). 
 
 
B 
A 
Legenda: Células Metaplásicas Maturas com 
citoplasma poligonal e nucléolos proeminentes 
(SETA). 
Legenda: Células Metaplásicas Maturas com 
citoplasma poligonal e nucléolos proeminentes 
(SETA). 
 
 
 
16 
 
 
 
 
 
 
 
 
 
 
 
 
 
 
 
 
 
 
Fonte: Oncologia Ginecológica. C. Thomas Griffiths. 
 
 
 
 
 
 
 
 
 
 
 
 
 
 
 
 
 
 QUESTÕES PARA REVISÃO DO CONTEÚDO MINISTRADO 
1) A distinção entre células metaplásticas maturas e imaturas é principalmente baseada em: 
a) Tamanho da célula. 
b) Tamanho do núcleo. 
c) Queratinização do citoplasma. 
d) Picnose nuclear. 
e) Forma da célula. 
2) Para o melhor entendimento das alterações citológicas, é necessário conhecer a anatomia e 
a histologia do trato genital feminino. Sabe-se que o epitélio do orifício cervical externo sem 
alterações patológicas pode ser revestido por epitélio: 
I - Colunar (cilíndrico) simples. 
II - Pavimentoso simples. 
III - Pavimentoso estratificado. 
IV - Metaplásico. 
 
 
 
Fonte: The Ciba Collection Of Medical Illustrations. Frank H. Netter M. D. 
Legenda: JEC envolvidas em lesões malignas. 
 
 
17 
 
Estão CORRETOS apenas os itens: 
a) I, II e III. 
b) I, II e IV. 
c) I, III e IV. 
d) II, III, e IV. 
e) III, e IV. 
3) Qual das sequências abaixo representa a diferenciação CORRETA das células metaplásicas? 
a) Hiperplasia das células de reserva subcilíndricas; metaplasia imatura; metaplasia em 
maturação e metaplasia madura. 
b) Células escamosas basais; células parabasais; metaplasia imatura e metaplasia em 
maturação. 
c) Células glandulares endocervicais; metaplasia imatura, metaplasia madura e epitélio 
escamoso. 
d) Células glandulares endocervicais; células metaplásicas e células escamosas. 
e) Hiperplasia das células de reserva subcilíndricas; células glandulares endocervicais; 
metaplasia imatura e células escamosas parabasais. 
4) Tendo em vistas os efeitos dos contraceptivos orais sobre a cérvice e epitélio vaginal, assinale 
a alternativa CORRETA. 
a) Por ação dos contraceptivos orais a junção escamo-colunar torna-se retrovertida. 
b) A condição de retroversão da junção escamo-colunar, por ação dos contracepivos, favorece 
ao aparecimento. de processos inflamatorios das células glandulares. 
c) O uso de contraceptivos orais habitualmente causa a formação de epitélio colunar na 
ectocérvice em uma condição conhecida por ectopia ou ectrópio. 
d) O padrão de trofismo do epitélio escamoso independe da composição dos contraceptivos 
orais. 
e) As mulheres que usam pílulas com altas doses de progesterona têm um muco cervical com 
aspecto gelatinoso e transparente, e um esfregaço citológico típico da fase ovulatória. 
5) A M. N. S., ao receber o resultado do Exame Colpocitológico, observou a presença de 
frequentes células metaplásicas imaturas. Ficando preocupada, perguntou a sua vizinha, 
que é citologista. 
a) Qual a importância da metaplasiaescamosa no esfregaço citológico do trato genital 
feminino? 
b) a minha idade com 62 anos, o que caracteriza a metaplasia escamosa? 
c) Existe possibilidade de evolução para uma lesão maligna? ( ) sim ou ( ) não? 
Justifique sua resposta. 
6) Associe as colunas: 
1 - Endocérvice. 
2 - Ectocérvice 
3 - Junção Escamo-colunar. 
- Células superficiais, intermediárias, parabasais e basais ( ). 
- Células metaplásicas ( ). 
- Células secretoras de muco ( ). 
- Epitélio cilíndrico ciliado ( ). 
- Epitélio pavimentoso multiestratificado ( ). 
a) 2; 2; 1; 1 e 3. 
b) 2; 3; 1; 1 e 2. 
c) 2; 3; 2; 1 e 2. 
 
18 
 
d) 2; 3; 1; 1 e 1. 
e) 2; 1; 1; 1 e 2. 
3 - CÉLULAS E ARTEFATOS ENCONTRADOS EM ESFREGAÇO 
 CITOLÓGICO DO TRATO GENITAL FEMININO 
 TIPOS CELULARES 
 POLIMORFONUCLEARES DO TIPO NEUTRÓFILOS 
 TAMANHO: cerca de 12 micras de diâmetro. 
 FUNÇÃO: destruição de agentes bacterianos, fúngicos e protozoários. Normalmente 
aumenta seu número em processos agudos (purulento). 
 ORIGEM: sangue. 
 POLIMORFONUCLEARES DO TIPO EOSINÓFILOS 
 TAMANHO: cerca de 12 micras de diâmetro. 
 FUNÇÃO: processos inflamatórios e alérgicos. 
 ORIGEM: sangue. 
 
 
 
 
 
 
 
 
 
 
 
 
 
 
 
 
Legenda: A) Polimorfonucleares do tipo Neutrófilos e eritrócitos e B) Polimorfonucleares do tipo Eosinófilos, 
neutrófilos e eritrócitos (corados pelo método de Papanicolaou) - (SETA). 
 LINFÓCITOS 
 TAMANHO: cerca de 7 - 9 micras de diâmetro. 
 FUNÇÃO: imunidade celular e humoral. A sua presença indica processo inflamatório 
crônico. 
 ORIGEM: sangue. 
 PLASMÓCITOS 
 TAMANHO: cerca de 12 micras de diâmetro. 
 FUNÇÃO: imunidade humoral. A sua presença indica processo inflamatório crônico. 
 ORIGEM: sangue. 
 ERITRÓCITOS 
 TAMANHO: cerca de 7 - 9 micras de diâmetro. 
 ORIGEM: sangue. 
 IMPORTÂNCIA DIAGNÓSTICA: indica traumatismo da coleta, erosão ou ulceração e, 
ainda neoplasia cervical. 
 
 
 
A B 
 
19 
 
 
 
 
 
 
 
 
 
 
 
 
 
 
 
 
Legenda: A) Linfócitos e B) Plasmócitos (SETA). 
 
 
 
 
 
 
 
 
 
 
 
 
 
 CÉLULAS DA MUSCULATURA LISA 
 ORIGEM: erosão provocada durante a coleta, lesão maligna ou processo inflamatório 
grave. 
 MACRÓFAGOS 
 TAMANHO: cerca de 12 - 40 micras de diâmetro. 
 CITOPLASMA: cianófilo ou acidófilo, vacuolizado e de forma redonda ou oval. 
 NÚCLEO: forma variada e localização excêntrica. Multinucleação frequente. 
 ORIGEM: sangue. 
 FUNÇÃO: fagocitose, remoção de células mortas. 
 OBS: importante fazer diferenciação com células endocervicais. 
 
 
 
 
 
 
 
 
 
 
 
 
 Legenda: A) Macrófagos mono e binucleados e B) Macrófagos mono - binucleados e polimorfonuclear neutrófilo. 
 FORMAÇÃO SINCICIAL 
 
A B 
 
Legenda: Eritrócitos e células intermediárias em 
esfregaço citológico com lesão inflamatória 
acentuada. (corados pelo método de 
Papanicolaou) - (SETA). 
 
A B 
 
20 
 
 TAMANHO: variável, pode chegar até 80 micras de diâmetro. 
 CITOPLASMA: cianófilo ou acidófilo, vacuolizado ou não e geralmente células 
fagocitadas no seu interior. 
 NÚCLEO: forma, quantidade variada e localização central. 
 FUNÇÃO: fagocitose. 
 ORIGEM: sangue. 
 OBS: não confundir com células malignas e células citotrofoblásticas. 
 
 
 
 
 
 
 
 
 
 
 
 
 
 
 
Legenda: Macrófagos em Formação Sincicial. 
 BACILOS DODERLEIN (LACTOBACILOS) 
 FUNÇÃO: manutenção do pH vaginal. 
 ORIGEM: flora normal da vagina. 
 OBS: não confundir com Leptothrix vaginales. 
 ÓVULO HUMANO: raro a observação do esfregaço citológico vaginal. 
 ESPERMATOZÓIDE 
 ORIGEM: sêmen. 
 OBS: não deve ser registrado no laudo citológico. 
 
 
 
 
 
 
 
 
 
 
 
 
 
 
 
 
 
 
 
 
 
Legenda: A) Bacilos de Doderlein e núcleos de células intermediárias desnudos (citólise) e B) Espermatozóides. 
 ARTEFATOS 
 
 
A B 
 
21 
 
 MUCO CERVICAL 
 FORMA: variada, depende da ação hormonal. 
 COR: esbranquiçado ou levemente acinzentado. 
 CONSTITUIÇÃO QUÍMICA: água, cloreto de sódio e proteína. 
 IMPORTÂNCIA: defesa, impedindo a entrada de microrganismos e também dos 
espermatozóides no ambiente vaginal. 
 
 
 
 
 
 
 
 
 
 
 
 
 
 
 
 
Legenda: A) Muco cervical denso e filamentoso (paciente menopausada) - (SETA) e B) Muco cervical após 
período fértil (18º dia do ciclo menstrual). 
OBS: na fase estrogênica é transparente e praticamente invisível, e na fase luteínica é 
grumoso, viscoso e corável. 
 CISTOS DE PROTOZOÁRIOS 
 OVOS E LARVAS DE HELMINTOS 
 CONTAMINANTES 
 Talco. 
 Cremes. 
 Fibra de algodão. 
 Grãos de pólen. 
 Fungo do ambiente. 
 
4 - DIAGNÓSTICO DESCRITIVO EM CITOPATOLOGIA 
 CLASSIFICAÇÃO DE PAPANICOLAOU (1943 - 1949) 
 CLASSE I: ausência de células atípicas. 
 CLASSE II: presença de células atípicas. 
 CLASSE III: sugestivo, mas não conclusivo de malignidade. 
 CLASSE IV: fortemente sugestivo de malignidade. 
 CLASSE V: conclusivo para malignidade. 
 REAGAN (1953) 
 CÉLULAS DE REPARO: classe II. 
 CÉLULAS METAPLÁSICAS: classe II. 
 
A B 
 
22 
 
 DISPLASIA: LEVE, moderada e grave. 
 CARCINOMA IN SITU E MICRO INVASIVO. 
 CARCINOMA INVASIVO (ESCAMOSO OU GLANDULAR). 
 RICHART (1968) 
 NEOPLASIA INTRA - EPITELIAL CERVICAL (NIC): NIC I, NIC II E NIC III. 
 MÜNCHNER (1976 - 1990) 
 CLASSE I: células benignas, sem inflamação, sem metaplasia e sem reparação. 
 CLASSE II: células benignas, cervicite e metaplasia. 
 CLASSE III: suspeito de malignidade. 
 CLASSE III D: displasia leve e moderada. 
 CLASSE IV A: displasia grave e carcinoma in situ. 
 CLASSE IV B: displasia grave/carcinoma in situ e suspeito de micro invasão. 
 CLASSE V: carcinoma invasivo (escamoso ou glandular). 
 SISTEMA DE BETHESDA (1988 - 2014) 
 OBJETIVOS: 
 Proteção judicial. 
 Uniformizar as terminologias. 
 Facilitar a comunicação entre laboratórios e médicos. 
 CLASSIFICAÇÃO DA AMOSTRA COMO: 
 AMOSTRA ADEQUADA (SATISFATÓRIA) PARA ANÁLISE CITOLÓGICA: 
 Identificação da amostra e da paciente. 
 Informações clínicas relevantes. 
 Número adequado de células epiteliais escamosas bem preservadas: células epiteliais 
devem cobrir 10 % da superfície da lâmina. 
 Um adequado componente endocervical (zona de transformação): no mínimo dois 
grupos de cinco células endocervicais e ou metaplásicas bem preservadas. 
 OBS: a presença de células metaplásicas ou células endocervicais, representativas 
da junção escamocolunar (JEC), tem sido considerada como indicador da qualidade 
da coleta, pelo fato de essa coleta buscar obter elementos celulares representativos 
do local onde se situa a quase totalidade dos cânceres do colo do útero. 
 AMOSTRA INSATISFATÓRIA: 
 Ausência de identificação da paciente na amostra e ou na requisição do exame. 
 Lâmina quebrada e que não pode ser reconstituída. 
 Componentes celulares insuficientes. 
 Presença de sangue, áreas densas, que prejudiquem a interpretação de igual ou superior 
a 75 % das células epiteliais. 
 OBS: solicitar nova coleta com 6 - 12 semanas com a correção do problema que 
motivou o resultado insatisfatório. 
 
 DIAGNÓSTICO DESCRITIVO 
 CÉLULAS BENIGNAS: esfregaço normal. 
 ALTERAÇÕES CELULARES BENIGNAS 
 
23 
 
 PROCESSOS INFLAMATÓRIOS: fungos, bactérias, vírus, protozoários, etc. 
 ATERAÇÕES REATIVAS: 
 Reparo. 
 Atrófico. 
 Radiação. 
 DIU. 
 Metaplasias. 
 CÉLULAS EPITELIAIS ANORMAIS 
 CÉLULAS ESCAMOSAS: 
 Células Escamosas Atípicas de Significado Indeterminado (ASCUS): foi definido como 
achados citológicos caracterizados pela presença de alterações celulares 
insuficientes para o diagnóstico de lesão intra - epitelial, mas alterações mais 
significativas do que as encontradas em processos inflamatórios. 
 Lesões Escamosas Intra - epiteliais de Baixo Grau (LSIL): abrange infecção por HPV 
(Displasia Leve/NICI). 
 Lesões Escamosas Intra - epiteliais de Alto Grau (HSIL): Abrange (Displasia 
Moderada, Displasia Grave, CarcinomaIn Situ, Adenocarcinoma In Situ, 
Displasia Moderada e Grave de células endocervicais). 
 Carcinoma de Células Escamosas. 
 CÉLULAS GLANDULARES: 
 Células Glandulares Atípicas de Significado Indeterminado (AGUS): são modificações 
morfológicas que excedem as alterações inflamatórias, sem no entanto preencher as 
características citológicas de malignidade. 
 Adenocarcinoma de células endocervicais e endometriais. 
 
PROPHYLAX DIAGNÓSTICO 
MATRIZ: AV. CONSELHEIRO FURTADO, 1891 - NAZARÉ - BELÉM - PARÁ 
FONES: (91)3223 - 8106 - 3223 - 3286 
 NOME DA PACIENTE: Edinéia Almeida Silva Nº 198999 
 MÉDICO: Dr Cláudio Silva dos Reis IDADE: 17 anos 
 DATA DA REALIZAÇÃO DO EXAME: 10/12/2010 
 EXAME: COLPOCITOLÓGICO 
 MATERIAL: CÉRVICO – VAGINAL 
 
 RESULTADO 
 
 CÉLULAS DO EPITÉLIO ESCAMOSO: INTERMEDIÁRIAS e SUPERFICIAIS (F). 
 CÉLULAS DO EPITÉLIO COLUNAR: ENDOCERVICAIS REATIVAS (F). 
 ELEMENTOS SANGUINEOS: POLIMORFONUCLEARES e MACRÓFAGOS (F). 
 FLORA BACTERIANA NORMAL: BACILOS DE DODERLEIN (R). 
 OUTRAS CÉLULAS: METAPLÁSICAS IMATURAS REATIVAS (F). 
 PROVÁVEL AGENTE ETIOLÓGICO: Gardnerella e Trichomonas vaginalis. 
ALTERAÇÕES CELULARES: CÉLULAS INTERMEDIÁRIAS e SUPERFICIAIS 
 COM VOLUME NUCLEAR AUMENTADO, HIPERCROMASIA e CROMATINA GRANULAR REGULAR. 
 CONCLUSÃO: ALTERAÇÕES CELULARES, SUGESTIVO DE LESÃO INTRA-EPITELIAL DE BAIXO GRAU 
(LSIL) – NIC I. 
 AVALIAÇÃO DA AMOSTRA: AMOSTRA SATISFATÓRIA PARA AVALIAÇÃO CITOLÓGICA. 
 
 QUESTÕES PARA REVISÃO DO CONTEÚDO MINISTRADO 
1) A partir da classificação de Papanicolaou foram desenvolvidas diversas metodologias de 
descrição de resultados citopatológicos. O objetivo principal é facilitar a comunicação entre os 
 
24 
 
profissionais de áreas afins. Dentre essas metodologias Richart propôs a classificação de lesões 
celulares em neoplasias intra-epiteliais cervicais (NIC), avalie as afirmações a seguir: 
I - NIC III representa lesão do tipo carcinoma in situ. 
II - NIC II representa lesão intra-epitelial de baixo grau (LSIL) e alto grau (HSIL). 
III - NIC II representa lesão intra-epitelial de e alto grau. 
IV - NIC I representa lesão intra-epitelial de baixo grau e infecção por papiloma vírus humano. 
V - NIC III representa lesão intra-epitelial de e alto grau e carcinoma invasivo. 
É CORRETO apenas o que se afirma em: 
a) I, III e IV. 
b) II, IV e V. 
c) I, II e IV. 
d) I, II, III e IV. 
e) I, II, III e V. 
2) O sistema de Bethesda apresenta uma nomenclatura importante na descrição dos laudos 
quando o citologista não tem certeza do tipo de lesão celular apresentada no esfregaço 
citológico, também conhecida como as atipias em células escamosas ou glandulares de 
significados indeterminados ("ASCUS/ASGUS"). Em relação às atipias de significados 
indeterminados, avalie as afirmações a seguir: 
I - A presença de células parabasais isoladas, com irregularidade de membrana nuclear, aumento 
de volume nunclear e hipercromasia caracterizam um dos quadros citológicos enquadrados 
neste diagnóstico. 
II - O seguimento citológico da maioria das mulheres com esse diagnóstico citológico irá 
demonstrar lesões intra-epiteliais escamosas de alto grau. 
III - Quando usado com critério este diagnóstico citológico não deve exceder de 2 a 3 vezes os 
diagnósticos de lesões intra-epiteliais escamosas. 
IV - Corresponde aos quadros citológicos anteriormente descritos como de paraceratose. 
V - Não são descritos em esfregaços de mulheres na pós-menopausa. 
É CORRETO apenas o que se afirma em: 
a) I e IV. 
b) II e V. 
c) I, II e IV. 
d) III. 
e) I, II, IV e V. 
3) De acordo com os critérios do Sistema Bethesda, para ser considerado satisfatório, um 
espécime citológico deve conter: 
a) Identificação, informações clínicas pertinentes e presença de células endocervicais e/ou 
metaplásicas. 
b) Informações clínicas, mais de 10% de células escamosas bem preservadas, células 
endocervicais e/ou metaplásicas. 
c) Informações clínicas, mais de 10% de células escamosas bem preservadas, identificação e 
células endocervicais e/ou metaplásicas em mulheres com cérvice. 
d) Identificação, informações clínicas, presença de células endocervicais em mulheres com 
cérvice. 
e) Identificação, informação clínica, mais de 10% de células escamosas bem preservadas com 
presença de células parabasais. 
http://www.vegarcez.com.br/erro1.htm
http://www.vegarcez.com.br/erro.htm
http://www.vegarcez.com.br/erro3.htm
http://www.vegarcez.com.br/erro1.htm
http://www.vegarcez.com.br/acerto.htm
http://www.vegarcez.com.br/erro1.htm
http://www.vegarcez.com.br/erro.htm
http://www.vegarcez.com.br/erro3.htm
http://www.vegarcez.com.br/erro1.htm
http://www.vegarcez.com.br/acerto.htm
 
25 
 
4) De acordo com os critérios do Sistema Bethesda, para ser considerado satisfatório, um 
espécime citológico deve conter: 
a) Identificação, informações clínicas pertinentes e presença de células endocervicais e/ou 
metaplásicas. 
b) Informações clínicas, mais de 10% de células escamosas bem preservadas, células 
endocervicais e/ou metaplásicas. 
c) Informações clínicas, mais de 10% de células escamosas bem preservadas, identificação e 
células endocervicais e/ou metaplásicas em mulheres com cérvice. 
d) Identificação, informações clínicas, presença de células endocervicais em mulheres com 
cérvice. 
e) Identificação, informação clínica, mais de 10% de células escamosas bem preservadas com 
presença de células parabasais. 
5 - PROCESSOS INFLAMATÓRIOS DO TRATO GENITAL FEMININO 
5.1 - LESÃO CELULAR 
 CONCEITOS 
 ESTÍMULOS ADAPTATIVOS 
 Hipertrofia Muscular: aumento da fibra muscular. 
 Atrofia Muscular: diminuição do tamanho da fibra muscular. 
 ESTÍMULOS NÃO ADAPTATIVOS 
 Reversível. 
 Irreversível (morte celular). 
 APOPTOSE 
 Fisiológico: é a morte celular programada. 
 CAUSAS DE LESÃO CELULAR 
 HIPÓXIA 
 Isquemia: trombose, arteriosclerose, etc. 
 AGENTES FÍSICOS 
 Trauma Mecânico. 
 Temperatura Extrema: queimadura e frio intenso. 
 Súbitas Mudanças de Pressão Atmosférica. 
 Radiação. 
 Choque Elétrico. 
 REAÇÕES IMUNOLÓGICAS 
 Anafiláticas. 
 Auto – imunes. 
 AGENTES QUÍMICOS E DROGAS 
 Glicose em Concentração Hipertônica. 
 Oxigênio em Altas Concentrações. 
 Venenos: arsênio, cianeto, sais de mercúrio, etc. 
 Monóxido de Carbono. 
 Inseticidas, Herbicidas, etc. 
 Álcool e Narcóticos. 
 AGENTES INFECCIOSOS 
 Virais: HPV, HIV, Herpes, etc. 
 
26 
 
 Bacterianos: enterobactérias, etc. 
 Fúngicos: candidas, etc. 
 Protozoários: Trichomonas, etc. 
 Helmintos: Schistosoma, etc. 
 DISTÚRBIOS GENÉTICOS 
 Má Formação Congênita: sídrome de Down. 
 Hemoglobinopatias: hemoglobina S (anemia falciforme), etc. 
 DESEQUILÍBRIOS NUTRICIONAIS 
 Deficiências Calóricas – protéicas. 
 Excessos Nutricionais: lipídios, predisposição à arteriosclerose, obesidade, etc. 
OBS: a lesão celular depende do tipo, da intensidade e da duração do estímulo. 
 MECANISMOS GERAIS DE LESÃO CELULAR: geralmente são moleculares. 
 FATORES PREDISPONENTES 
 Hormonais: gravidez, menopausa, uso de anticoncepcional oral e injetável, etc. 
 Fatores Locais: pH, cirurgias, traumatismos, etc. 
 Doenças: diabetes, distúrbios imunológicos, etc. 
 Fatores Iatrogênicos: quimioterapia, radiação, etc. 
 SISTEMAS CELULARES 
 Manutenção da Integridade das Membranas Celulares: homeostasia iônica e smótica. 
 Respiração Aeróbica: fosforilação oxidativa e produção de ATP. 
 Síntese de Proteínas Enzimáticas e Estruturais. 
 Preservação do Conteúdo Genético da Célula. 
 
 
 
 
 
 
 
 
 
 
 
 
 
 
 
 
 
Fonte: Site científico. 
Legenda: A célula é a unidade funcional do corpo humano. 
 
 
ALTERAÇÕES NUCLEARES MAIS FREQUENTES EM LESÕES CELULARES 
 
 
 
27 
 
 
 
 
 
 
 
 
 
 
 
 
 
 
Legenda: A) 1) Granulosa fina e regular;2) Granulosa com blocos de cromatina; 3) Opaca (densa); 4) Nucléolo 
volumoso e 5) Hipercromática e B) 1) Oval; 2) Arredondado; 3) Irregular e 4) Multinucleado. 
 
 
 
 
 
 
 
 
 
 
 
 
 
 
 EXEMPLO DE LESÃO CELULAR POR ISQUEMIA: dependendo do tempo e da célula 
afetada pode ser reversível ou irreversível: 
 Pertubação da fosfarilação oxidativa pela mitocôndria: produção de ATP diminuída 
ou ausência. Critérios morfológicos: edema de núcleo e ou celular. 
 Desequilíbrio da pressão coloidosmótica Intracelular: exercida pela bomba de sódio 
e potássio. 
 Deslocamento dos ribossomos do retículo endoplasmático granular e a dissolução 
dos polissomos em monossomos. 
 Rompimento dos lisossomos e autólise: critérios degenerativos. 
 
 
 
 
 
 
 
 
 
 
 
5.2 - PROCESSOS INFLAMATÓRIOS - CRITÉRIOS CITOLÓGICOS 
 
 
Legenda: Células metaplásicas 
com alterações nucleares em lesão 
de alto grau (HSIL). 
 
Legenda: Célula intermediária com 
vacuolização citoplasmática após lesão 
celular oxidativa por agentes biológicos 
(SETA). 
A 
 
 
 
B 
 
 
 
 
28 
 
 ALTERAÇÕES CITOLÓGICAS ORIUNDAS DE AGRESSÕES DIVERSAS 
 ALTERAÇÕES CELULARES REATIVAS 
 INESPECÍFICAS 
 ESPECÍFICAS 
 ALTERAÇÕES CELULARES DE SUPERFÍCIE 
 HIPERCERATOSE: é o aparecimento de uma camada córnea. Observamos nas 
leucoplasias. Características morfológicas: 
 CITOPLASMA: cora em eosinófilo intensamente ou orangiofílico, núcleo ausente ou 
mancha deste. 
 
 
 
 
 
 
 
 
 
 
 
 
 
 
 PARACERATOSE: é uma queratinização incompleta das camadas superficiais do 
epitélio estratificado não queratinizado, apresentando as seguintes características 
morfológicas: 
 CITOPLASMA: cora em orangiofílico ou avermelhado com condesamento. Forma 
variável: oval, poligonal, fusiforme ou arredondada. 
 NÚCLEO: picnótico e condensado. 
 DISPOSIÇÃO: em agrupamento frouxo ou isoladamente. 
 
 
 
 
 
 
 
 
 
 
 
 
 
 
 
 
 ALTERAÇÕES CELULARES DEGENERATIVAS 
 CARIORREX: fragmentação da cromatina. 
 CARIOPICNOSE PRECOCE: condensamento nunclear. 
 
Legenda: Hiperceratose em paciente 
com infecção por HPV (SETA). 
 
Legenda: Paraceratose em paciente 
com infecção por HPV (SETA). 
 
29 
 
 ROTURA DA CARIOTECA: às vezes só é visualizada com aumento de 1000 X 
(objetiva de imersão). 
 CARIÓLISE: desvanecimento ou dissolução da cromatínica. 
 LIQUEFAÇÃO CITOPLASMÁTICA: depósito glicogênio, água. 
 VACUOLIZAÇÃO CITOPLASMÁTICA: entrada de água ou aumento de cálcio. 
 VACUOLIZAÇÃO NUCLEAR: geralmente irreversível. 
 EOSINOFILIA EM CÉLULAS PROFUNDAS: degeneração protéica. 
 
 
 
 
 
 
 
 
 
 
 
 
 
 
 
Legenda: A) Cariorrex em célula Parabasal e B) Cariopicnose em células Parabasais de paciente com esfregaço 
atrófico (menopausada) - (SETA). 
 ALTERAÇÕES CELULARES INFLAMATÓRIAS 
 EM RELAÇÃO AO CITOPLASMA 
 APAGAMENTO OU PERDA DE BORDAS CITOPLASMÁTICAS: perda da 
individualidade celular, ocorre frequentemente em células intermediárias eosinófilas. 
 RAREFAÇÃO CITOPLASMÁTICA: células ceratinizadas ou eosinófilas com critérios 
degenerativos. 
 CONDENSAÇÃO CITOPLASMÁTICA: pode ser de cor cianófila, eosinófila ou 
orangiofílica. Observamos geralmente em formação de pérolas, paraceratose, etc. 
 
 
 
 
 
 
 
 
 
 
 
 
 
 
 
 
 
A 
 
 
 
B 
 
 
 
 
Legenda: Condensação citoplasmática 
(SETA). 
 
30 
 
 
 
 VACUOLIZAÇÃO CITOPLAMÁTICA: indica intensa atividade celular. 
 HALO PERINUCLEAR: é uma digestão citoplasmática, onde se limita a periferia 
nuclear, podendo ser visualizado em células cianófilas ou eosinófilas. 
 FORMAS ABERRANTES OU BIZARRAS: geralmente é observada em células 
escamosas do tipo intermediárias e superficiais. Não confundir com células malignas. 
 CERATINIZAÇÃO: apresenta em orangiofílico, vermelho, condensado e enrugado. 
Aparece nas paraceratose, prolapso uterino, hipercertose, etc. 
 
 
 
 
 
 
 
 
 
 
 
 
 
 
Legenda: Halo perinuclear em células escamosas. O halo perinuclear frequentemente são visualizados nos 
processos inflamatórios quando o agente etiológico é o Trichomonas, Candida, etc. (SETA) 
 
 
 
 
 
 
 
 
 
 
 
 
Legenda: A) Aberração citoplasmática e B) Vacuolização citoplasmáticas (SETA). 
 
 
A 
 
 
 
B 
 
 
 
Legenda Apagamento ou perda de 
bordas citoplasmáticas (SETA). 
 
 
31 
 
 CITOPLASMA FRAGMENTADO 
 CÉLULA FANTASMA: é quando a célula por acúmulo de queratina e ou cariólise, o 
núcleo não é visualizado ou apenas vestigio deste. 
 PSEUDOEOSINOFILIA: é quando o citoplasma normalmente cora em cianófilo e 
passa a corar em eosinófilo (células parabasais e intermediárias). 
 METACROMASIA: é quando o citoplasma cora com mais de uma tonalidade de cor 
(basofilia, eosinofilia e orangiofilia). 
 
 
 
 
 
 
 
 
 
 
 
 
 
 
 
 
 
 
 
 
 
 
 
 
 
 
 
 
Legenda: A) Citoplasma fragmentado e núcleos desnudos (citólise); B) Pseudoeosinofilia e Halo perinuclear; C) 
Pseudoeosinofilia, Metacromasia e Edema Nuclear e D) Metacromasia (SETA). 
 EM RELAÇÃO AO NÚCLEO 
 ESPESSAMENTO UNIFORME DA MEMBRANA NUCLEAR: sinal de 
degeneração, quando a cromatina torna - se rarefeita. 
 EDEMA NUCLEAR: é o aumento nuclear pelo maior conteúdo cromatínico. Observa - 
se agrupamentos de grânulos cromatínicos espalhados pelo interior do núcleo, 
assumindo uma leve hipercromasia. 
 
 
A 
 
 
 
B 
 
 
 
C 
 
 
 
D 
 
 
 
 
32 
 
 INCHAÇO NUCLEAR: ocorre pela entrada de substância no interior do núcleo e 
geralmente há uma hipocromasia. 
 BINUCLEAÇÃO OU MULTINUCLEAÇÃO: ocorre quando o núcleo se divide e não 
há o companhamento da divisão do citoplasma. 
 FIGURA DE MITOSE: 
 EM RELAÇÃO À CÉLULA 
 FORMAÇÃO DE PÉROLA BENIGNA: geralmente constituída de células 
intermediárias e superficiais eosinófilas ou ceratinizadas. 
 PARACERATOSE 
 NÚCLEO EXCÊNTRICO 
 
 
 
 
 
 
 
 
 
 
 
 
 
 
 
 
 
 
 
 
 
 
 
 
 
 
 
 
 
 
Legenda: A) Edema Nuclear, Núcleo Excêntrico e Metacromasia; B) Binucleação e Edema Nuclear; C) 
Multinucleação e Edema Nuclear e D) Multinucleação, Edema Nuclear e Núcleo Excêntrico (SETA). 
 
5.3 - AGENTES POTENCIALMENTE CAUSADORES DE PROCESSOS 
INFLAMATÓRIOS NO TRATO GENITAL FEMININO 
 BACTERIANOS 
 Gardnerella vaginalis 
 SECREÇÃO: presente (frequente/abundante). 
 
 
A 
 
 
 
B 
 
 
 
C 
 
 
 
D 
 
 
 
 
33 
 
 ASPECTO: bolhoso ou líquido. 
 COR: branco-acinzentado. 
 ODOR: fétido (peixe podre). Liberando as aminas: cadaverina, putrescina e trimetilamina. 
 PRURIDO: geralmente ausente. 
 pH VAGINAL: maior que 5,0. 
 CARACTERÍSTICAS MORFOLÓGICAS: cocos bacilos que pela coloração de 
Papanicolaou cora em roxo, cianófilo escuro ou eosinófilo claro, tem afinidade pelo citoplasma 
de células intermediárias e superficiais, formando células indicadora, clue cell ou células guia. 
 CRITÉRIOS CITOLÓGICOS MAIS FREQUENTES: cariopicnose e edema nuclear. 
 CARACTERÍSTICAS DO ESFREGAÇO: 
 Polimorfonucleares: raros. 
 Bacilos de Doderlein: raros ou ausentes. 
 OBS: outras bactérias anaeróbias podem favorecer a ação. 
 
 
 
 
 
 
 
 
 
 
 
 
 
 
 
 
 
 
 
 
 
 
 
 
 
 
 
 
 
 
 
 
 
 TRATAMENTO PARA VAGINOSE POR Gardnerella vaginalis: 
 A droga de escolha é o METRONIDAZOL na dose de 500 mg 12/12 horas por 7 dias ou 
2 gramas em dose única. 
 Metronidazol intravaginal. 
 Tinidazol: 2 gramas em dose única. 
 
 
Legenda: Gardnerella vaginalis 
(célula guia) e Apagamento de 
Bordas Citoplasmáticas (SETA). 
Legenda: Gardnerella vaginalis 
(célula guia), Metacromasia, 
Binucleação e Halo Perinuclear 
(SETA). 
 
34 
 
 Tiafenicol 500 mg 8/8 horas por 7 dias. 
 Doxiciclina 100 mg 12/12 horas por 7 dias. 
OBS: o tratamento do parceiro sexual é necessário para que não haja recidivas. 
 FLORA COCÁCEA 
 SECREÇÃO: geralmente presente e abundante. 
 ASPECTO: líquido ou bolhoso. 
 COR: amarela ou esbranquiçada. 
 ODOR: moderadamente fétido. PRURIDO: geralmente ausente. 
 pH VAGINAL: maior que 5,0. 
 CARACTERÍSTICAS MORFOLÓGICAS: cocos agrupados ou isolados, intra ou extra 
celular, pela coloração de Papanicolaou cora em roxo ou em cianófilo escuro. 
 CRITÉRIOS CITOLÓGICOS MAIS FREQUENTES: edema nuclear e halo 
perinuclear. 
 CARACTERÍSTICAS DO ESFREGAÇO: 
 Polimorfonucleares: frequentes ou abundantes. 
 Macrófagos: raros. 
 Bacilos de Doderlein: raros ou frequentes. 
 FLORA BACILAR CURTA 
 SECREÇÃO: geralmente presente. 
 ASPECTO: bolhoso. 
 COR: esbranquiçada ou às vezes amarelada. 
 ODOR: moderadamente fétido. 
 Prurido: geralmente ausente. 
 pH VAGINAL: maior que 5,0. 
 CARACTERÍSTICAS MORFOLÓGICAS: bacilos curtos, pela coloração de Papanicolaou 
cora em eosinófilo claro. 
 CRITÉRIOS CITOLÓGICOS MAIS FREQUENTES: edema nuclear pseudoeosinofilia 
e cariopicnose. 
 CARACTERÍSTICAS DO ESFREGAÇO: 
 Polimorfonucleares: raros ou frequentes. 
 Bacilos de Doderlein: raros. 
 
 
 
 
 
 
 
 
 
 
 
 Legenda: A) Flora Cocácea e B) Flora Bacilar Curta (SETA). 
 
A 
 
 
 
B 
 
 
 
 
35 
 
 Mobiluncus sp (mulieris e curtisii) 
 SECREÇÃO: presente. 
 ASPECTO: bolhoso. 
 COR: esbranquiçada. 
 ODOR: moderadamente fétido. 
 PRURIDO: geralmente ausente. 
 pH VAGINAL: maior que 5,0. 
 CARACTERÍSTICAS MORFOLÓGICAS: bacilos curtos (curtisii) ou longos (mulieris), 
curvos, com as extremidades romba (curtisii) ou afiladas (mulieris), pela coloração de 
Papanicolaou coram em eosinófilo claro. 
 CRITÉRIOS CITOLÓGICOS MAIS FREQUENTES: edema nuclear, pseudoeosinofilia 
e cariopicnose. 
 CARACTERÍSTICAS DO ESFREGAÇO: 
 Polimorfonucleares: raros ou frequentes. 
 Bacilos de Doderlein: raros. 
OBS: geralmente estão associados com a Gardnerella. 
 
 
 
 
 
 
 
 
 
 
 
 
 
 
 
 
 Legenda: A e B) Mobiluncus mulieris e curtisii (SETA). 
 Chlamydia sp 
 SECREÇÃO: inespecífica ou ausente. 
 PRURIDO: geralmente ausente. 
 pH VAGINAL: maior que 5,0. 
 CARACTERÍSTICAS MORFOLÓGICAS: Inclusões intracitoplasmáticas em células 
endocervicais, metaplásicas e raramente em células escamosas. Pode ser única ou várias. 
 CRITÉRIOS CITOLÓGICOS MAIS FREQUENTES: edema nuclear e halo perinuclear. 
 
A 
 
 
 
B 
 
 
 
 
36 
 
 CARACTERÍSTICAS DO ESFREGAÇO: 
 Polimorfonucleares: raros ou frequentes no início da infecção e abundantes no final. 
 Macrófagos: frequentes e às vezes multinucleados. 
 Bacilos de Doderlein: raros. 
 
 
 
 
 
 
 
 
 
 
 
 
 
 
 
 
 
 
 
 
 
Legenda: A) Lesão ulcerativa na orofaringe induzida pela Chlamydia sp e B) Célula escamosa com inclusão 
intracitoplasmática, sugestivo de infecção por Chlamydia sp (SETA). 
 Actomyces sp : pacientes usuárias de DIU. 
 CARACTERÍSTICAS MORFOLÓGICAS: bactérias anaeróbias, filamentosas, 
ramificadas e coram em violeta. 
 Leptothrix vaginalis: geralmente quando sozinho é saprófito, comumente está associada 
à Trichomonas vaginalis. 
 CARACTERÍSTICAS MORFOLÓGICAS: bactérias anaeróbias filamentosas, não 
ramificadas e muito longas. 
 
 
 
 
 
 
 
 
 
 
 
 
 
 
 
 
 
 
 
 
 
 
 
 
 
 
 
 
 
 
 
 
 
 
 
 
 
 
 
 
Legenda: A) Leptrotrix vaginalis e Trichomonas vaginalis. CRITÉRIOS CITOMORFOLÓGICOS: Pseudoeosinofilia 
e Apagamento de Bordas Citoplasmáticas e B) Leptrotrix vaginalis e Trichomonas vaginalis. CRITÉRIOS 
CITOMORFOLÓGICOS: Pseudoeosinofilia, Apagamento de Bordas Citoplasmáticas, Halo perinuclear e Edema. 
Nuclear (SETA). 
 
 
A 
 
 
 
B 
 
 
 
 
A 
 
 
 
B 
 
 
 
 
37 
 
 Fusobacterium sp: secreção amarelo-esbranquiçada. 
 CARACTERÍSTICAS MORFOLÓGICAS: bacilos longos e finos, semelhante à Leptothrix, 
apenas de menor tamanho. 
 BACILOS DIFTERÓIDES 
 CARACTERÍSTICAS MORFOLÓGICAS: apresentam em ambas as extremidades um 
espessamento arredondado, dano-lhes o aspecto de halteres ou palito de fósforo de duas 
cabeças. 
 
 
 
 
 
 
 
 
 
 
 
 
 
 
 
 
 
 
 Legenda: A) Actomyces sp e B) Bacilos Difteróides (SETA). 
 
 BACILOS DA TUBERCULOSE 
 CARACTERÍSTICAS DO ESFREGAÇO: 
 Polomorfonucleares: frequentes ou abundantes. 
 Formação sincicial: frequentes ou abundantes. 
 Linfócitos e macrófagos: frequentes. 
 BACILOS DE DODERLEIN 
 SECREÇÃO: presente. 
 ASPECTO: líquido ou bolhoso. 
 COR: esbranquiçada. 
 ODOR: pouco fétido. 
 PRURIDO: ausente, apenas queimação na mucosa vaginal. 
 pH VAGINAL: menor que 4,0. 
 CARACTERÍSTICAS MORFOLÓGICAS: bacilo longo ou médio, causa digestão 
citoplasmática em células intermediárias, deixando no esfregaço citológico inúmeros núcleos 
desnudos (citólise), pela coloração de Papanicolaou cora em cinza escuro ou cianófilo 
escuro. 
 CRITÉRIOS CITOLÓGICOS MAIS FREQUENTES: pseudoeosinofilia, metacromasia, 
apagamento de bordas citoplasmáticas e edema nuclear. 
 CARACTERÍSTICAS DO ESFREGAÇO: 
 Polimorfonucleares: frequentes. 
 
A 
 
 
 
B 
 
 
 
 
38 
 
 Bacilos de Doderlein: abundantes e com citólise. 
 Possíveis Causas de Inflamação Química: diabetes, obesidade, uso de 
anticoncepcional, pré - menopausa, etc. 
 
 
 
 
 
 
 
 
 
 
 
 
 
 
 
 
 
 
 
 COCOS AOS PARES 
 SECREÇÃO: presente. 
 ASPECTO: líquido. 
 COR: amarela. 
 ODOR: fétido. 
 pH VAGINAL: maior que 5,0. 
 CARACTERÍSTICAS MORFOLÓGICAS: cocos aos pares intra ou extra celular, 
polimorfonucleares abundantes e bacilos Doderlein raros ou ausentes. 
 
 
 
 
 
 
 
 
 
 
 
 
 
 
 
 
 
 FATORES QUE PREDISPOEM A CANDIDÍASE: 
 Gestantes. 
 Período perimenopausico. 
 
Legenda: Bacilos de Doderlein com 
citólise de células intermediárias em 
paciente com secreção vaginal 
esbranquiçada abundante e ardência na 
mucosa vaginal (SETA). 
 
Legenda: Cocos aos pares intra e 
extracelular em paciente com secreção 
vaginal amarelada abundante (SETA). 
 
39 
 
 Final do período menstrual. 
 Diabéticas. 
 Uso de anticoncepcional do tipo combinado. 
 Condições que favoreçam o aumento do pH vaginal. 
 Meio permanentemente úmido, quente e rico em glicogênio. 
 BACILO DE Calymmatobacterium (DONOVANOSE) 
 OBSERVAÇÃOES IMPORTANTES 
 ACHADOS MICROBIOLÓGICOS COMO: 
 Bacilo de Doderlein. 
 Cocos. 
 Outros Bacilos. 
 Sem a presença de critérios evidentes de processos inflamatórios, são considerados 
achados normais, pois fazem parte da microbiota normal da vagina. 
 Na ausência de sinais e sintomas, a presença desses microorganismos não necessita 
tratamento. 
 FÚNGICOS 
 Candida sp 
 SECREÇÃO: presente e às vezes abundante. 
 ASPECTO: grumoso, formando placa que adere a parede vaginal e raramente ao colo 
uterino. 
 COR: esbranquiçada. 
 ODOR: inodoro. 
 PRURIDO: presente e às vezes intenso. 
 pH VAGINAL: menor que 4,0. 
 CARACTERÍSTICAS MORFOLÓGICAS: esporos que medem cerca de 2 - 4 micras de 
diâmetros, cora pela coloração de Papanicolaou em marrom ou amarelo escuro, apresenta-
se na forma oval. Enquanto que as Hifas são estruturas contínuas, septadas ou micélios. 
 CRITÉRIOS CITOLÓGICOS MAIS FREQUENTES: edema nuclear, pseudoeosinofilia, 
metacromasia, apagamento de bordas citoplasmáticas e halo perinuclear. 
 CARACTERÍSTICAS DO ESFREGAÇO: 
 Polimorfonucleares: frequentes. 
 Bacilo de Doderlein: frequentes e raramente abundantes. 
 Candida glabrata ou Torulopsis glabrata 
 SECREÇÃO: presente. 
 ASPECTO: grumoso, formando placa que adere a parede vaginal. 
 COR: esbranquiçada. 
 PRURIDO: presente e às vezes intenso. 
 pH VAGINAL: menor que 4,0. 
 CARACTERÍSTICAS MORFOLÓGICAS: esporos que medem cerca de 4 micras de 
diâmetros, cora pela coloração de Papanicolaou em marrom ou amarelo escuro, apresenta 
- se intra ou extra celular. 
 
40 
 
 
 
 
 
 
 
 
 
 
 
 
 
 
 
 
 
 
 
 
 
 
 
 
Legenda: A) Lesão ulcerativa com as bordas lisa, característica de Candida sp e B) Secreção vaginal 
esbranquiçada, grumosa e em forma de placa (SETA).Legenda: A) Hifas septadas de Candida sp e B) Hifas septadas e esporos de Candida sp (SETA). 
 
 
 
 
 
 
 
 
 
 
 
 
 
 
 
 
 
 
A 
 
 
 
B 
 
 
 
 
A 
 
 
 
B 
 
 
 
 
Legenda: Esporos intra e extracelular de 
Candida glabrata ou tourulopsis (SETA). 
 
 
41 
 
 Geotrichum candidum 
 FUNGOS CONTAMINATES: normalmente cresce sobre a lâmina e contamina o material 
de coleta. 
 
 
 
 
 
 
 
 
 
 
 
 
 
 
 
Legenda: Fungo de contaminação. A) Aspergilus e B) Alternaria (SETA). 
 FATORES QUE PREDISPOEM A CANDIDÍASE 
 Gestantes. 
 Período perimenopausico. 
 Final do período menstrual. 
 Diabéticas. 
 Uso de anticoncepcional do tipo combinado. 
 Condições que favoreçam o aumento do pH vaginal. 
 Meio permanentemente úmido, quente e rico em glicogênio. 
 Terapêutica com imunossupressores. 
 Tabagismo. 
 TRATAMENTO PARA VAGINITE POR CANDIDÍASE 
 A terapêutica tem preferência ao tratamento local, em uso tópico por 14 dias consecutivos 
com antimicóticos modernos: 
 Econazol. 
 Clotrimazol. 
 Miconazol. 
 Terconazol. 
OBS1: o tratamento em dose única deve ser evitado para que não haja recidivas. 
OBS2: o tratamento do parceiro sexual é necessário para que não haja recidivas. 
 PROTOZOÁRIOS 
 Trichomonas vaginalis 
 SECREÇÃO: presente e às vezes abundante. 
 ASPECTO: líquido ou bolhoso. 
 COR: amarela e às vezes abundante. 
 ODOR: fétido. 
 PRURIDO: presente e às vezes intenso. 
 
A 
 
 
 
B 
 
 
 
 
42 
 
 Ph VAGINAL: maior que 4,5. 
 CARACTERÍSTICAS MORFOLÓGICAS: 
 FORMA: oval (periforme) ou arredondada. 
 TAMANHO: variável (10 - 20 micras). 
 COR: variável (cinza, cianófilo ou eosinófilo). 
 FLAGELOS: pela coloração de Papanicolaou não são visíveis. 
 NÚCLEO: pequeno, localização excêntrica e forma oval. 
 CRITÉRIOS CITOLÓGICOS MAIS FREQUENTES: edema nuclear, halo perinuclear, 
binucleação, pseudoeosinofilia e metacromasia. 
 CARACTERÍSTICAS DO ESFREGAÇO: 
 Polimorfonucleares: abundantes. 
 Bacilo de Doderlein: raros. 
 Restos celulares: frequentes ou abundantes (sujo). 
 Bala de canhão: é o aglomerado de polimorfonucleares (geralmente presente). 
 
 
 
 
 
 
 
 
 
 
 
 
 
 
Legenda: Secreção vaginal levemente amarelada, bolhosa e abundante. Colo uterino edemaciado e irritativo 
(SETA). 
 
 
 
 
 
 
 
 
 
 
 
 
 
 
 
Legenda: Lesão epitelial na vulva do tipo irritativa produzida pelos flagelos e ação das toxinas liberadas pelos 
Trichomonas vaginalis (SETA). 
 
 
 
 
 
 
43 
 
 
 
 
 
 
 
 
 
 
 
 
 
 
 
 
 
 
 
 
 
 
 
 
 
 
 
 
 
 
 
 
 
 
Legenda: A) Trichomonas vaginalis (halo perinuclear; metacromasia e pseudoeosinofilia); B) Trichomonas 
vaginalis; C) Trichomonas vaginalis (perda de bordas citoplasmática e pseudoeosinofilia) e D) Trichomonas 
vaginalis (variação de forma e tamanho) - (SETA). 
 TRATAMENTO PARA VAGINITE POR Trichomonas vaginalis 
 A droga de escolha é o METRONIDAZOL na dose de 500 mg 12/12 horas por 7 dias ou 2 
gramas em dose única. 
 Metronidazol intravaginal. 
 Tinidazol: 2 gramas em dose única. 
 OBS: o tratamento do parceiro sexual é necessário para que não haja recidivas. 
 Toxoplasma gondi 
 AMEBAS: contaminação fecal. 
 VIRAIS 
 HERPES GENITAIS (HSV 2) 
 SECREÇÃO: inespecífica. 
 CARACTERÍSTICAS MORFOLÓGICAS: 
 INCLUSÕES: intranucleares em células escamosas, colunares e metaplásicas, cor 
eosinófila ou basófila e aparecem geralmente no período final do ciclo viral. 
 
A 
 
 
 
B 
 
 
 
 
 
C 
 
 
 
D
 
 
 
 
 
44 
 
 AMOLDAMENTO NUCLEAR E MULTINUCLEAÇÃO: presentes. 
 CROMATINA NUCLEAR: aspecto de vidro fosco. 
 MARGINALIZAÇÃO CROMATÍNICA OU ESPESSAMENTO DA CARIOTECA. 
 CRITÉRIOS CITOLÓGICOS: multinucleação. 
 CARACTERÍSTICAS DO ESFREGAÇO: 
 Polimorfonucleares: frequentes ou abundantes. 
 Bacilo de Doderlein: raros ou frequentes. 
 
 
 
 
 
 
 
 
 
 
 
 
 
 
 Legenda: A) Lesão vesiculosa labial, característica de Herpes sp e B) Lesão ulcerativa labial, característica de 
Herpes sp na fase final da infecção (SETA). 
 
 
 
 
 
 
 
 
 
 
 
 
 
 
 
 
Legenda: A) Multinucleação; inclusões nucleares; amoldamento nuclear; marginalização cromatínica e 
espessamento da carioteca, sugestivo de infecção por Herpes sp e B) Multinucleação e amoldamento nuclear, 
sugestivo de infecção por Herpes sp (SETA). 
 CITOMEGALOVÍRUS 
 TRANSMISSÃO VIA PLACENTÁRIA OU ADQUIRIDO NOS 1º ANOS DE VIDA. 
 É OBSERVADO GERALMENTE EM PACIENTE IMUNODEPRIMIDO. 
 CARACTERÍSTICAS MORFOLÓGICAS IDÊNTICAS AO DO HERPES. 
 PAPILOMAVÍRUS: será estudado em lesão pré-maligna. 
 HELMINTOS 
 
A 
 
 
 
B 
 
 
 
 
A 
 
 
 
B 
 
 
 
 
45 
 
 ENTERÓBIOS. 
 ÁSCARIS. 
 STRANGILÓIDES. 
 SCHISTOSOMA, ETC. 
 ASSOCIAÇÕES DE AGENTES 
 Gardnerella vaginalis + Mobiluncus sp. 
 Gardnerella vaginalis + Candida sp. 
 Gardnerella vaginalis + Trichomonas vaginalis. 
 Trichomonas vaginalis + Leptothrix vaginalis. 
 Gardnerella + Trichomonas + Candida sp. 
 Gardnerella + Trichomonas + Mobiluncus sp. 
 
 
 
 
 
 
 
 
 
 
 
 
 
 
 Legenda: A) Leptothrix vaginalis + Trichomonas vaginalis e B) Espóros de Candida sp + Trichomonas vaginalis 
(SETA). 
 QUESTÕES PARA REVISÃO DO CONTEÚDO MINISTRADO 
1) A base diagnóstica dos citopatologistas são os critérios morfológicos apresentados pelas 
células analisadas nos esfregaços. Em relação aos critérios de processos inflamatórios e 
degenerativos avalie as afirmações a seguir: 
I - O halo perinuclear e edema nuclear são critérios morfológicos de lesões pré-malignas. 
II - A citologia esfoliativa é um método diagnóstico de excelência para diagnosticar alterações 
morfológicas em processos patológicos diversos. Antes do aparecimento dos sinais e sintomas 
da doença. 
III - A presença de cariólise, cariorrex e cariopicnose em células profundas, caracteriza 
morfológicamente modificações de processos degenerativos. 
IV - A Gardnerella vagiinalis produz secreção vaginal esbranquiçada e de odor fétido. 
V - A Candida sp pode produzir alterações celulares do tipo edema nuclear, pseudoeosinofilia 
entre outras. 
É CORRETO apenas o que se afirma em: 
a) I e II. 
b) I, II e III. 
c) I, IV e V. 
 
A 
 
 
 
B 
 
 
 
 
46 
 
d) II, III, IV e V. 
e) I, II, IV e V. 
2) Explique como realizar o diagnóstico de processo inflamatório do trato genital feminino, 
utilizando a citologia esfoliativa. 
3) Em relação aos critérios de processos inflamatórios e degenerativos avalie as afirmações a 
seguir: 
I - O halo perinuclear e edema núclear são critérios morfológicos patognomônicos de processo 
inflamatório causado por Trichomonas vaginalis. 
II - A citologia esfoliativa é um método diagnóstico de excelência para diagnosticar alterações 
morfológicas em processos patológicos diversos, somente após o aparecimento dos sinais e 
sintomas da doença. 
III - A presença de pseudoeosinofilia, cariólise e cariorrex em células profundas, caracteriza 
morfológicamente modificações de origem inflamatória. 
IV - A resposta discreta dos neutrófilos em pacientes com Gardnerella vaginalis é devido a 
integridade imunológica. 
V - As alterações morfológicas em células pertencente as camadas intermediárias e superficiais 
são consideradas de superfície em função do contato (ação física) e da ação química (enzimas 
líticas) liberadas pelos agentes agressores. 
É CORRETO apenas o que se afirma em: 
a) IV e V. 
b) I, II e III. 
c) I, IV e V. 
d) II, III, IV e V. 
e) I, II, IV e V. 
4) O halo perinuclear e grupamento de neutrófilos sobre as células escamosas (bala de canhão) 
com inflamação moderada/acentuada devem intensificar a busca de: 
a) Tricomoníase. 
b) Gardnerella. 
c) Candidíase. 
d) Infecção herpética. 
e) Infecção por Papilomavírus. 
5) Considere uma paciente de 25 anos de idade, cujo esfregaço contém células intermediáriase 
parabasais, com núcleos levemente aumentados, de cromatina grumosa, abundantes halos 
perinucleares, acompanhadas por células pequenas piriformes ou arredondadas, com núcleos 
também pequenos, pálidos e excêntricos, além de muitos neutrófilos por vezes formando 
grumos. Assinale a opção que apresenta o diagnóstico mais provável, tendo como referência as 
informações apresentadas. 
a) Infecção por Trichomonas vaginalis. 
b) Alterações por radiação. 
c) Lesão intraepitelial de alto grau. 
d) Alterações citoplasmáticas de significado indeterminado (AGUS). 
e) Infecção por Gardnerella vaginalis. 
6) A vaginose bacteriana é caracterizada por desequilíbrio da flora vaginal normal devido ao 
aumento exagerado de bactérias anaeróbias de Gardnerella vaginalis, Bacteroides sp, 
 
47 
 
Mobiluncus sp, Mycoplasma, Peptoestreptococcus sp. Esse aumento é associado à ausência ou 
diminuição acentuada dos lactobacilos. Analisando o contexto avalie as afirmações a seguir: 
I - Prurido vulvovaginal (principal sintoma e de intensidade variável), associado a corrimento 
branco, grumoso, e com aspecto caseoso (leite coalhado), geralmente aderido à parede vaginal. 
II - Corrimento vaginal, branco acinzentado, geralmente em pequena ou moderada quantidade, 
de odor fétido, mais acentuado depois do coito e no período menstrual. 
III - Corrimento abundante amarelo-esverdeado, bolhoso e com odor fétido associado a processo 
inflamatório importante (vagina e colo uterino). 
IV - Após período de incubação variável de um a seis meses surge lesão nodular subcutânea 
única ou múltipla na vulva, cuja erosão forma ulceração com base granulosa de aspecto 
vermelho vivo e sangramento fácil. 
V - Fluxo vaginal transparente ou branco, inodoro, de aspecto mucoide, homogêneo ou pouco 
grumoso. O pH vaginal é normal e o teste das aminas negativo. 
É CORRETO apenas o que se afirma em: 
a) III e V. 
b) II e III. 
c) II. 
d) I e IV. 
e) II, IV e V. 
7) Quanto aos processos inflamatórios, analise os itens e responda: 
I - A Candida glabrata apresenta 2 (duas) formas, esporos e hifas, enquanto a Candida sp apenas 
a forma de esporos. 
II - Os critérios de processos inflamatórios mais comuns em esfregaço com Trichomonas 
vaginalis são: edema nuclear, halo perinuclear, binucleação, pseudoeosinofilia e metacromasia. 
III - A secreção esbranquiçada e de odor fétido é normalmente observada em paciente portadora 
de Gardnerella vaginalis. 
IV - O diagnóstico de candidíase e tricomoníase não é seguro pela citologia esfoliativa. 
V - A coleta citológica para o diagnóstico de Chlamydia sp em mulheres é necessário atingir a 
JEC. 
Estão CORRETOS os itens: 
a) I e II. 
b) I, II e III. 
c) I, IV e V. 
d) II, III e V. 
e) I, II, IV e V. 
8) Explique como acontece a vaginose química em mulheres que faz uso de anticoncepcional. 
9) Explique como o Trichomonas vaginalis produz lesões na vulva, vagina e no colo uterino. 
10) Em um esfregaço de material cérvico - vaginal foi observado o seguinte: pseudoeosinofilia 
em células escamosas profundas, cariorrex, cariopicnose, cariólise, polimorfonucleares (AB), 
macrófagos (F), bacilo Doderlein (ausente), muco filamentoso e denso (AB). Assinale a 
alternativa correta. 
a) Processo inflamatório inespecífico. 
b) Início da menopausa. 
c) Processo degenerativo por deficiência estrogênica. 
d) Provável fase pré - menstrual. 
 
48 
 
e) Processo inflamatório leve. 
11) Ao proceder a coleta de material cérvico - vaginal para o exame colpocitológico, observou – 
se abundante leucorréia e odor fétido. A coleta basicamente foi da secreção, pois nesta é que 
pode ser mais bem visualizado os agentes potencialmente causadores de doenças cérvico – 
vaginais. ( ) certo ou ( ) errado? Justifique sua resposta. 
6 - ASPECTOS CLÍNICO-LABORATORIAIS DO PAPILOMAVÍRUS 
HUMANO (HPV) 
 INTRODUÇÃO 
As infecções pelo HPV são disseminadas e ocorrem em todo o mundo. O HPV infecta a 
pele e a membrana das mucosas e podem induzir a formação de tumores benignos e malignos. 
 Estudos têm revelado que alguns tipos de HPV são um importante fator de risco para 
desenvolver o câncer cervical, anal, oral, pele, etc. Sendo mais freqüentes entre as mulheres. 
O DNA viral é observado em cerca de 97% dos casos de câncer cervical. 
Dentre os diversos subtipos de HPV causadores de tumores cervicais malignos os mais 
frequentes são os 16 e 18. 
 EPIDEMIOLOGIA 
Os papilomavírus têm sido detectados em um grande número de vertebrados, porém são 
altamente específicos da espécie. 
Atualmente mais de 120 tipos de HPV são conhecidos e numerosas sequências parciais 
novas de DNA de HPV indicam a existência de muitos outros tipos. Os tipos de HPV são definidos 
pela análise da sequência de DNA e representa, portanto genótipos. 
Um genoma de HPV é considerado como representativo de um novo tipo quando suas 
sequências de genes E6, E7 e LI diferem em mais de 10% de qualquer tipo de HPV previamente 
conhecido. 
Os tipos de HPV variam no seu tropismo tecidual, nas suas associações a lesões 
diferentes e no seu potencial oncogênico. De acordo com a sua homologia da sequência de DNA 
e a sua associação a lesões clínicas, eles podem ser agrupados em: 
 TIPOS MUCOSOS: 6, 11, 13, 44, 55, 16, 31, 33, 35, 52, 58, 67, 18, 39, 45, 59, 68, 70, 26, 
51, 69, 30, 53, 56, 66, 32, 42, 34, 64, 73 e 54. 
 TIPOS CUTÂNEOS: 1, 63, 4, 48, 60, 65 e 41. 
 TIPOS CUTÂNEOS / ASSOCIADOS À EPIDERMODISPLASIA VERRUCIFORME: 5, 8, 12, 
36, 47, 9, 15, 17, 37, 38, 14, 19, 20, 46,, 21, 25, 22, 23, 24, 23, 24, 49 e 50. 
 TIPOS CUTÂNEOS E OU MUCOSOS: 2, 27, 57, 3, 10, 28, 29, 7, 40, 43, 61, 62 e 72. 
 PREVALÊNCIA DOS PAPILOMAVÍRUS HUMANOS 
Os tipos de HPV frequentemente encontrados em lesões cervicais de baixo grau (NIC I) e 
raramente em cânceres cervicais são definidos como tipos de BAIXO RISCO, aqueles que são 
frequentemente encontrados em lesões cervicais de alto grau (NIC II e III), mas com menos 
frequência em cânceres, são os tipos de MÉDIO RISCO, e aqueles que são frequentemente 
detectados em CARCINOMA IN SITU e em CÂNCERES são de ALTO RISCO. 
Consequentemente: 
 HPV: 6, 11, 30, 42, 43 e 44 são considerados como tipos BAIXO RISCO. 
 HPV: 39, 51, 52 e 61 são considerados como MÉDIO RISCO. 
 HPV: 16, 18, 31, 33, 35, 45, 56, 58 e 68 são considerados como ALTO RISCO. 
 
 
49 
 
 INCIDÊNCIA E PREVALÊNCIA DAS INFECÇÕES POR PAPILOMAVÍRUS 
HUMANOS 
Nas últimas 3 décadas a incidência de verrugas genitais tem aumentado cerca de 3 – 8 
vezes. 
A prevalência máxima de HPV em mulheres está entre 16 - 24 anos, depois ocorre uma 
declinação com a idade devido à resposta imune celular e mudanças hormonais. 
Os HPV 16 e 18 podem ser detectado em 1 - 2% das mulheres na faixa etária de 16 - 24 
anos. 
Menos de 10% das mulheres HPV positivas apresentam anormalidades citológicas. 
O DNA do HPV genital tem sido detectado em até 80% dos homens. 
 TRANSMISSÃO DOS PAPILOMAVÍRUS HUMANOS 
Dependendo do tipo de HPV e das lesões clínicas associadas a ele, os HPV são 
transmitidos por contato da pele, sexual ou perianal. 
 PERÍODO DE INCUBAÇÃO: condiloma acuminado (HPV 6 e 11) variam de 3 semanas a 8 
meses e aqueles para verrugas cutâneas de 2 semanas a mais de 1 ano. 
 VERRUGAS CUTÂNEAS: são frequentemente adquiridas por meio de microtraumas. A 
transmissão ocorre tanto diretamente de uma pessoa para outra, como indiretamente via 
objetos ou superfícies contaminadas. 
 LESÕES ANOGENITAIS: em geral sexualmente transmissíveis e são provavelmente a 
infecção venérea mais frequente. 
Estudos têm mostrado que o DNA do HPV pode ser detectado em 70% das mulheres 
sexualmente ativas. 
A infecção genital por HPV ocorre por contato direto com o epitélio infectado cervical, 
vaginal, vulvar, peniano ou anal. A cérvice uterina é o sítio genital mais comum da infecção pelo 
fato da constante exposição das células que proliferam na junção escamo-colunar. 
O sexo oralé uma possível via de transmissão do condiloma acuminado na língua. 
Um simples contato sexual pode ser suficiente para a transmissão do HPV. 
 TIPOS DE LESÕES 
 LESÕES CLÍNCAS 
 VERRUGAS MACROPAPILARES. 
 PAPULOSA. 
 CONDILOMA ACUMINADO. 
 LESÕES SUBCLÍNICAS 
São aquelas lesões invisíveis a olho nu, necessitando do auxílio de colposcópio. 
 CONDILOMA PLANO. 
 CONDILOMA ESPICULADO. 
 MICROPAPILAS. 
 MÁCULAS. 
 ACETOBRANCO. 
 PONTILHADO. 
 LEUCOPLASIA. 
 
50 
 
 
 
 
 
 
 
 
 
 
 
 
 
 
 
Legenda: A) Lesões verrucosas macropapilares e B) Lesões papulosas disseminadas nas áreas cutâneas vulvar 
e perianal (SETA). 
 
 
 
 
 
 
 
 
 
 
 
 
 
 
 
 
 
 
 
 
 
 
 
 
 
 
 
 
 
 
 
 
Legenda: A) Lesão papiloma labial, B) Lesão acetobranca com ectopia, C) Lesões verrucosas acuminada no 
pênis e D) Lesões verrucosas papulares no pênis (SETA). 
 FATORES DE RISCO PARA INFECÇÃO POR PAPILOMAVÍRUS HUMANOS 
 
C D 
A B 
 
B 
 
A B 
 
D 
C D 
 
51 
 
A atividade sexual, a imunidade celular reduzida e certos fatores genéticos do hospedeiro 
têm sido identificados como importantes fatores de risco para a infecção por HPV e neoplasias 
associadas ao HPV. 
 O NÚMERO DE PARCEIROS SEXUAIS: o HPV cervical ou vulvar pode ser detectado em 
mulheres por PCR em 21% das mulheres com apenas um parceiro sexual masculino e 
em até 80% das mulheres com recente exposição a cinco ou mais parceiros sexuais. 
 TIPO DE HPV: 16 e 18. 
 HORMÔNIOS: progesterona e estrógenos intensificam a expressão genética do HPV. 
 ATIVIDADE SEXUAL PRECOCE: 
 DEFICIÊNCIA NUTRICIONAL: ácido fólico, Vitamina B12, anti-oxidantes, etc. Levando a 
diminuição da imunidade. 
 TABAGISMO: atingindo o sistema imunológico. 
 IMUNOSSUPRESSÃO: HIV positivo, etc. 
 ASSOCIAÇÃO COM HERPES TIPO 2 (HSV2): foi observado a presença de anticorpos 
anti-HSV2 em mulheres afetadas por carcinoma cervical invasivo e pela evidenciação do 
genoma viral nas células cancerosas. 
 CITOMEGALOVÍRUS: em grau menor que o herpes vírus na carcinogênese cervical. 
 PATOGÊNESE E PAPEL ONCOGÊNICO DOS PAPILOMAVÍRUS HUMANOS 
A infecção por HPV por si só não é suficiente para a carcinogênese. A progressão tumoral 
ocorre em pequena percentagem de indivíduos infectados por HPV e está estimulada por 
mutágenos químicos ou físicos. Os tumores malignos induzidos por HPV são monoclonais e o 
tempo de intervalo entre a infecção e o desenvolvimento do carcinoma varia de no mínimo vários 
meses até mais de 10 anos. 
 PROTEÍNAS E5, E6 e E7 
Essas 03 proteínas demonstraram ter atividade oncogênica. Sua interação com proteínas 
celulares implica no controle do ciclo celular e por conseqüência estimulam a proliferação ou 
interferem na diferenciação das células infectadas. 
 PRINCÍPIOS GERAIS DO DIAGNÓSTICO 
 CITOPATOLOGIA 
Consiste no estudo morfológico das células obtidas da vulva, vagina, colo uterino, anus, 
pênis, etc. 
 MATERIAL: células obtidas por raspagem superficiais e espalhadas em lâminas 
(esfregaço). 
 VANTAGEM: coilocitose e lesão celular. São fenômenos específicos. 
 DESVANTAGEM: sensibilidade limitada e não tipa o HPV. 
 
 
 CRITÉRIOS CITOLÓGICOS SECUNDÁRIOS DE INFECÇÃO POR HPV 
 
52 
 
 
 
 
 
 
 
 
 
 
 
 
 
 
 
 
 
 
 
 
 
 
 
 
 
 
 
 
 
 
 
 
 
 
 
 
 
 
 
 
Legenda: A; B e F) Células intermediárias apresentando condensação citoplasmática, ceratinização, aumento de 
volume nuclear e hipercromasia; C) Célula intermediária binucleada; D e E) Célula intermediária multinucleada, 
aumento de volume nuclear e hipercromasia. 
 CARACTERÍSTICAS DOS COILÓCITOS 
 Degradação do citoesqueleto em 1/3 do conteúdo citoplasmático. 
 Núcleo com aumento de volume e hipercromasia (NIC I). 
 
 
A B 
C 
D 
 
E F 
 
53 
 
 Células envolvidas: intermediárias e ou superficiais. 
 Geralmente bi ou multinucleação. 
 Contorno da degradação citoplasmática irregular. 
 
 
 
 
 
 
 
 
 
 
 
 
 
 
 
 
 
 
 
 
 
 
 
 
 
 
 
 
 
 
 
 
 
Legenda: Coilocitose em células intermediárias e superficiais de pacientes com infecção ativa de HPV (SETA). 
 
 
 
 
 
 
 
54 
 
 COLPOSCOPIA 
Consiste na amplificação da vulva, vagina, colo uterino, anus, pênis, etc. Objetivo é 
eminentemente para a localização da lesão e direcionamento da biópsia. 
 MATERIAL: análise visual da vulva, vagina, cérvice, pênis, anus, etc. 
 VANTAGEM: técnica sensível para detecção de lesões associadas ao HPV. 
 DESVANTAGEM: não específica, não tipa o HPV, sugestiva e requer experiência. 
 
 
 
 
 
 
 
 
 
 
 
 
 
 
 
 
 
 
 
 
 
 
 
 
 
 
 
 
 
 HISTOPATOLOGIA 
Consiste no estudo morfológico das células obtidas da vulva, vagina, colo uterino, anus, 
pênis, etc. 
 MATERIAL: células obtidas por biópsia e preparada em cortes histológicos. 
 VANTAGEM: coilocitose e lesão celular. São fenômenos específicos. 
 DESVANTAGEM: sensibilidade limitada e não tipa o HPV. 
 MÉTODOS DE DETECÇÃO VIRAL (MICROSCOPIA ELETRÔNICA DE 
TRANSMISSÃO) 
Consiste na visualização das partículas virais. 
 MATERIAL: esfregaço ou corte histológico. 
 VANTAGEM: detecção específica de partículas virais. 
 DESVANTAGEM: laborioso, consome muito tempo no preparo da amostra, alto custo, 
não é utilizado na rotina e não tipa o HPV. 
 
 
Legenda: Colposcopia mostrando lesão 
acetobranca e ectopia extensa em 
pacientes com HPV (SETA). 
 
 
Legenda: Colposcopia mostrando extensa 
ectopia com teste de Schiller positivo em 
paciente com HPV (SETA). 
 
 
 
55 
 
 BIOLOGIA MOLECULAR 
Consiste na detecção do DNA do HPV por métodos: captura híbrida; PCR e hibridização 
in situ. 
 MATERIAL: esfregaço ou corte histológico. 
 VANTAGEM: identificação de diferentes tipos de HPV. Análise quantitativa da carga viral, 
sensibilidade e especificidade. Método padrão ouro para o uso clínico e em pesquisa. 
 DESVANTAGEM: laborioso e alto custo dos exames. 
 PRINCÍPIOS GERAIS DO TRATAMENTO DE PAPILOMAVÍRUS HUMANO 
Uma vez que não exista um tratamento antiviral para o HPV, o papel do clínico é de tratar 
as lesões detectáveis no sentido de ajustar o sistema imune do paciente a lutar contra o vírus e 
a prevenir a transmissão, uma vez que se acredita que o HPV é transmitido por contato comas 
lesões. 
As lesões associadas ao HPV têm sido tratadas com uma ampla série de modalidades, 
as quais podem ser divididas em métodos químicos, cirúrgicos e estimuladores de imunidade. 
 MÉTODOS DE TRATAMENTO 
 TERAPIA QUÍMICA 
 ÁCIDO SALICÍLICO / COMBINAÇÕES. 
 VITAMINA “A” ÁCIDA (TRETINOÍNA). 
 FORMALINA. 
 GLUTARALDEÍDO. 
 PODOFILOTOXINA (WARTEC) 
 5-FLUOROURACIL (EFURIX). 
 BLEOMICINA (BONAR) 
 ÁCIDO MONOCLOROACÉTICO. 
 ÁCIDO TRICLOACÉTICO. 
 TERAPIA CIRÚRGICA 
 CIRURGIA FRIA: curetagem, excisão com tesoura e excisão com bisturi. 
 ELETROCIRURGIA: cautério - fulguração, excisão com alça e excisão com agulha. 
 CRIOTERAPIA. 
 CIRURGIA A LASER: laser de dióxido de carbono e laser Nd-YAG. 
 IMUNOTERAPIA 
 INOSINA PRANOBEX: oral. 
 INTERFERONS: intralesional, intramusculares, subcutâneos e gel. 
 INDUTORES DE CITOXINA: oral e gel. 
 RETINÓIDES: oral. 
 IMUNOGLUCAN: intramuscular. 
 MÉTODOS DE PREVENÇÃO 
 USO DE PRESERVATIVO 
 Proteção parcial. 
 USO DE VACINAÇÃO 
 Vacinas: existem duas vacinas profiláticas contra HPV aprovadas e registradas 
pela ANVISA e que estão comercialmente disponíveis: a vacina 
QUADRIVALENTE, da empresa Merck Sharp & Dohme (Gardasil), que confere 
 
56 
 
proteção contra HPV 6, 11, 16 e 18; e a vacina BIVALENTE, da empresa 
GlaxoSmithKline (Cervarix), que confere proteção contra HPV 16 e 18. 
 Administração: em 2 doses, sendo a 2ª dose 6 meses após a 1ª (meninas de 9 a 
14 anos e meninos de 11 a 13 anos). 
 Outros grupos etários podem dispor das vacinas em serviços privados, se indicado 
por seus médicos. 
 De acordo com o registro na ANVISA,a vacina QUADRIVALENTE é aprovada 
para mulheres entre 9 a 45 anos e homens entre 9 e 26 anos, e a vacina 
BIVALENTE para mulheres entre 10 e 25 anos. 
 No momento, as clínicas não estão autorizadas a aplicar as vacinas em faixas 
etárias diferentes às estabelecidas pela ANVISA. 
 Ambas as vacinas possuem maior indicação para meninas e meninos que ainda 
não iniciaram a vida sexual, uma vez que apresentam maior eficácia na proteção 
de indivíduos não expostos aos tipos virais presentes nas vacinas. 
 QUESTÕES PARA REVISÃO DO CONTEÚDO MINISTRADO 
1) Com relação ao HPV analise os itens abaixo e responda: 
I - Lesão causada pelo “HPV” do tipo latente é diagnosticada precocemente pela polimerase 
em cadeia (PCR). 
II - Os sub tipos de “HPV” 31, 33 e 35 são de médio risco oncogênico devido a ligação com 
as proteínas p53 e pRB. 
III - O condiloma acuminado é uma lesão comumente observada na vulva de pacientes 
infectadas com HPV associado com Trichomonas vaginalis. 
IV - A sequência de exames para tratamento de uma lesão causada pelo “HPV” é: citologia 
esfoliativa, colposcopia e histopatologia. 
V - Coilócito é uma lesão celular obsevada em células superficiais e ou intermedárias. 
Estão CORRETOS os itens: 
a) I e II. 
b) I, II e III. 
c) I, IV e V. 
d) IV e V. 
e) I, II, IV e V. 
2) Explique os métodos de tratamento das lesões provocadas pelo HPV na vulva e no colo 
uterino. 
3) Quais tipos de papiloma vírus humano (HPV) são considerados de “baixo risco”? 
a) 39, 51, 52 e 61. 
b) 6, 16, 18, 33 e 68. 
c) 6, 11, 30, 42, 43 e 44. 
d) 16, 18, 31, 33, 35, 45, 58 e 68. 
e) 6, 11, 18, 31 e 30. 
4) Estudos epidemiológicos da relação HPV e câncer genital demonstram que as afirmativas 
abaixo são válidas, EXCETO: 
a) Os tipos de HPV mais prevalentes no mundo são 16 e 18. 
b) Em pacientes com citologia negativa para HPV os métodos baseados no DNA identificam 
o vírus em menos de 1% dos casos. 
 
57 
 
c) Os estudos revelam maiores índices de infecção nas mulheres entre os 20 e 24 anos de 
idade. 
d) As infecções clinicamente aparentes apresentam maior frequência durante a gravidez. 
e) As infecções pelo HPV do tipo 6 e 11 progridem raramente para lesões de tipo alto grau. 
5) Em relação ao HPV, qual alternativa está INCORRETA? 
a) O DNA viral é observado em cerca de 95% dos casos de câncer cervical. 
b) Dentre os diversos subtipos de HPV causadores de tumores cervicais malignos os mais 
frequentes são os 11, 16 e 18. 
c) Os tipos de HPV frequentemente encontrados em NIC de baixo grau e raramente em 
cânceres cervicais são definidos como tipos de baixo risco. 
d) A prevalência máxima de HPV em mulheres está entre 16 - 24 anos, depois ocorre uma 
declinação com a idade devido à resposta imune celular e mudanças hormonais. 
e) Estudos têm mostrado que o DNA do HPV pode ser detectado em 70% das mulheres 
sexualmente ativas. 
6) Com relação ao HPV analise os itens abaixo e responda: 
I - São considerados fatores de risco para infecção por HPV os seguintes aspectos: 
precocidade sexual, deficiência nutricional, tabagismo e associação com Trichomonas 
vaginalis. 
II - A proteína viral E6 degrada a proteína P53, levando o indivíduo a ficar suscetível a divisão 
celular sem o efetivo controle de qualidade. 
III - A apoptose ocorre toda vez que as células do nosso organismo são agredidas pelas 
proteínas virais E5, E6 e E7. 
IV - O diagnóstico do HPV realizado pela citologia esfoliativa considera o colilócito como lesão 
celular NIC I. 
V - O tratamento para o HPV quando eficaz desaparece totalmente as partículas virais. 
Estão CORRETOS os itens: 
a) I e II. 
b) I, II e III. 
c) I, IV e V. 
d) II e IV. 
e) I, II, IV e V. 
7) Explique o mecanismo de carcinogênese do HPV. 
8) Em relação ao HPV podem-se dizer que: 
I - A prevalência máxima de HPV em mulheres está entre 16 - 26 anos, depois ocorre uma 
declinação com a idade devido à resposta imune celular e mudanças hormonais. 
II – As lesões podem ser clínicas, vistas a olho nu (condiloma acuminado, acetobranco, etc) e 
lesões subclínica, vista pelo colposcópio (leucoplasia). 
III – Fatores de risco para infecção por HPV: número de parceiros sexuais; uso de 
anticoncepcional; tabagismo; deficiência nutricional e uso de antiflamatórios. 
IV - A presença de coilócitos em esfregaço de material cérvico - vaginal é confirmativo de 
infecção por “HPV. 
V - O método de detecção viral microscopia eletrônica de transmissão tem como 
desvantagem: laborioso, consome muito tempo no preparo da amostra, alto custo, não é 
utilizado na rotina e não tipa o HPV. 
São verdadeiros os itens: 
a) I, II, III, IV e V. 
 
58 
 
b) I, II, III e V. 
c) II, III, IV e V. 
d) I, III e IV. 
e) I e V. 
7 - ESTUDO DAS LESÕES PRÉ - MALIGNAS EM CÉLULAS 
ESCAMOSAS 
 ESTATÍSTICA DAS LESÕES DO COLO UTERINO 
 
 
 
 
 
 
 
 
 
 
 VULVA 
 VAGINA 
 CÉRVICE UTERINA 
 ÚTERO 
 OVÁRIOS 
Consiste nas anomalias, essencialmente nucleares, se manifestam por um aumento de 
volume, irregularidade das formas e dos contornos, hipercromasia, binucleação e às vezes 
multinucleação. 
 DEFINIÇÕES 
 DISCARIOSES: terminologia utilizada por Papanicolaou a partir de 1949. 
 DISPLASIAS: terminologia utilizada por Reagan a partir de 1953. 
 NIC: neoplasia intra-epitelial cervical (Richart - 1967). 
 FATORES PREDISPONENTES AS LESÕES PRÉ - MALIGNAS 
 Uso de anticoncepcional. 
 Idade precoce na primeira gestão. 
 Curtos intervalos entre gestações. 
 Atividade sexual precoce (abaixo de 16 anos). 
 Múltiplos companheiros de sexo. 
 Doenças sexualmente transmissíveis (HIV). 
 Baixo nível econômico (desnutrição). 
 Tabaco. 
 Drogas. 
 Infecção por Papiloma Vírus Humano (HPV). 
 Infecção por Herpes simples tipo 2 (HSV2). 
TIPO DE LESÃO ENTRE OS EXAMES 
ENTRE OS EXAMES 
ALTERADOS 
LSIL 0,8% 27,6% 
HSIL 0,20% 9,1% 
CARCINOMAS 0,04% 1,4% 
ADENOCARCINOMAS 0,01% 0,29% 
ASCUS 1,6% 57% 
AGUS 0,13% 4,7% 
 
 
59 
 
 Ectopia. 
 COLETA DE MATERIAL CÉRVICO - VAGINAL 
 JUNÇÃO ESCAMOCOLUNAR 
 Pacientes com HIV e imunossupressão: coleta deve ser realizada a cada seis meses 
ou conforme o tipo de lesão apresentada. 
 MATERIAL UTILIZADO 
 Fixação. 
 Coloração. 
 Montagem. 
 Leitura. 
 Arquivamento da lâmina. 
 AGENTES CAUSAIS 
 Biológicos. 
 Físicos. 
 Químicos. 
 Intrínsecos (hormonais). 
 MECANISMOS DAS LESÕES PRÉ - MALIGNAS 
 CLASSIFICAÇÃO 
 Lesões Escamosas Intra - Epiteliais de Baixo Grau (LSIL) - NIC I. 
 Lesões Escamosas Intra - Epiteliais de Alto Grau (HSIL) - NIC II, NIC III e CARCINOMA 
IN SITU. 
 MÉTODOS DIAGNÓSTICOS 
 CITOLOGIA ESFOLIATIVA 
 CRITÉRIOS CITOMORFOLÓGICOS DE LESÕES PRÉ-MALIGNAS 
 EM RELAÇÃO AO CITOPLASMA: 
 Coloração. 
 Forma. 
 Coilocitose. 
 EM RELAÇÃO AO NÚCLEO: 
 Aumento da relação núcleo citoplasma. 
 Hipercromasia. 
 Bi ou multinucleação. 
 Espessamento da membrana nuclear. 
 Alterações nos grânulos cromatínicos. 
 CARACTERÍSTICAS GERAIS DA LESÃO INTRA - EPITELIAL DE BAIXO GRAU 
(LSIL) - NIC I 
 NÚCLEO: aumento moderado de volume, binucleação ou multinucleação. 
 MEMBRANA NUCLEAR: redonda ou oval, raramente lobulada. 
 CROMATINA: finamente granular, regular e hipercromasia, às vezes leve ou moderada. 
 CITOPLASMA: basófilo, eosinófilo ou anfófilo, discretas variações de tamanho e de 
forma. 
 TIPO CELULAR: superficial e intermediária. 
 
60 
 
 
 
 
 
 
 
 
 
 
 
 
 
 
 
 
 
 
 
 
 
 
Legenda: Células intermedárias com aumento de volume nuclear e hipercromasia (LSIL - NIC I) - (SETA). 
 
 
Legenda: Coilocitose em células intermediárias mono e binucleadas (LSIL - NIC I) - (SETA). 
 CARACTERÍSTICAS GERAIS DA LESÕÃO INTRA - EPITELIAL DE ALTO GRAU 
(HSIL) - NIC II 
 NÚCLEO: aumento de volume é maior que em NIC I, binucleação e multinucleação (rara). 
 MEMBRANA NUCLEAR: lobulação e às vezes com leve irregularidade de contorno. 
 CROMATINA: granular, levementegrosseira com cromocentro e hipercromasia moderada 
ou acentuada. 
 CITOPLASMA: tendência a eosinofilia, podendo ter sinais de ceratinização, discretas 
variações de tamanho e formas. 
 TIPO CELULAR: parabasal. 
 
 
 
61 
 
 
 
 
 
 
 
 
 
 
 
 
 
 
 
 
 
 
 
 
 
Legenda: Células metaplásicas imaturas e parabasais com volume nuclear aumentado, hipercromasia e alteração 
de contorno da membrana nuclear do tipo lobulação. (HSIL - NIC II) - (SETA). 
 
 
 
 
 
 
 
 
 
 
 
 
 
 
 
 
 
Legenda: Células metaplásicas imaturas e parabasais com volume nuclear aumentado, hipercromasia e alteração 
de contorno da membrana nuclear do tipo lobulação. (HSIL - NIC II) - (SETA). 
 CARACTERÍSTICAS GERAIS DA LESÃO INTRA - EPITELIAL DE ALTO GRAU 
(HSIL) - NIC III 
 NÚCLEO: aumento acentuado de volume, binucleação e multinucleação (rara). 
 MEMBRANA NUCLEAR: irregularidade de contorno acentuado (denteada e serrilhada). 
 CROMATINA: granular, moderadamente grosseira com cromocentro, hipercromasia 
acentuada, mas sem zona livre de cromatina. 
 CITOPLASMA: em geral eosinófilo ou ceratinizado e às vezes cianófilo, espessado, 
acentuada variações de tamanho e forma. 
 TIPO CELULAR: parabasal e basal. 
 
 
 
62 
 
 
 
 
 
 
 
 
 
 
 
 
 
 
 
 
 
 
 
 
 
 
Legenda: Células metaplásicas imaturas, basais e parabasais com volume nuclear aumentado, hipercromasia e 
alteração de contorno da membrana nuclear (lobulação, denteada e serrilhada) (HSIL - NIC III) - (SETA). 
 
 
 
 
 
 
 
 
 
 
 
 
 
 
 
 
 
 
Legenda: Células metaplásicas imaturas, basais e parabasais com volume nuclear aumentado, hipercromasia e 
alteração de contorno da membrana nuclear (lobulação, denteada e serrilhada) (HSIL - NIC III) - (SETA). 
 
 CARCINOMA ESCAMOSO IN SITU (HSIL) 
 DEFINIÇÃO: neoplasia intra-epitelial cervical (NIC). 
 DENOMINAÇÕES: pré-invasivo, incipiente, intra-epitelial e Bowen de cérvice. 
 ORIGEM: NIC III. 
 INCIDÊNCIA: 23 - 45 anos. 
 EVOLUÇÃO: lenta. 
 PROGNÓSTICO: pode evoluir para carcinoma invasivo. 
 DISTRIBUIÇÃO ANATÔMICA: JEC. 
 
 
 
63 
 
 MÉTODOS DIAGNÓSTICOS 
 CITOLOGIA. 
 COLPOSCOPIA. 
 HISTOPATOLOGIA. 
 MARCADOR TUMORAL. 
 CITOLOGIA. 
 CRITÉRIOS CITOMORFOLÓGICOS 
 Células do 3° tipo ou indiferenciada ceratinizada ou não, geralmente de origem 
metaplásicas. 
 Zonas livres de cromatina. 
 Fila indiana. 
 Ausência de diátese tumoral (infiltrado inflamatório, hemorrágico e necrose 
tecidual). 
 Ausência de glicogênio celular. 
 CARACTERÍSTICAS GERAIS DA LESÃO INTRA - EPITELIAL DE ALTO GRAU 
(HSIL) - CARCINOMA IN SITU 
 NÚCLEO: volume extremamente aumentado e mononucleado. 
 MEMBRANA NUCLEAR: redonda, oval ou fusiforme, proeminente, irregular do tipo 
serrilhada com leve espessamento. 
 CROMATINA: hipercromática, grosseira e uniformemente granular, com agrupamento 
cromatínico e zona livre de cromatina. 
 CITOPLASMA: eosinófilo, ceratinizado, espessado, variações de tamanho e forma. 
 TIPO CELULAR: parabasal e basal (3º tipo). Arranjo: em sincício, fila indiana e raramente 
isolada. 
 CONSIDERAÇÕES GERAIS NA AVALIAÇÃO DO ESFREGAÇO CITOLÓGICO 
 FUNDO DA LÂMINA: um critério geral importante na avaliação do esfregaço citológico. 
 NÚMERO DE CÉLULAS ANORMAIS: células malignas se dissociam mais prontamente. 
 ARRANJO DAS CÉLULAS: importante na classificação da lesão celular. 
 TAMANHO E FORMA DAS CÉLULAS: a forma celular indica a origem e o estado funcional. 
 FUNÇÃO CELULAR: ciliadas e secretoras.NÚCLEO: atividade biológica e potencial 
maligno. 
 
 
 
 
 
 
 
 
 
 
 
 
 
 
 
 
Legenda: HSIL - CARCINOMA IN SITU. 
 
 
64 
 
 
 
 
 
 
 
 
 
 
 
 
 
 
 
 
 
Legenda: HSIL - CARCINOMA IN SITU: células metaplásicas imaturas, basais e parabasais com volume nuclear 
aumentado, hipercromasia e alteração de contorno da membrana nuclear (lobulação, denteada e serrilhada); 
cromatina nuclear grosseira e apresentando zonas livres. Arranjo celular em sincício e fila indiana (SETA). 
 
 
PROPHYLAX DIAGNÓSTICO 
MATRIZ: AV. CONSELHEIRO FURTADO, 1891 - NAZARÉ - BELÉM - PARÁ 
FONES: (91)3223 - 8106 - 3223 - 3286 
NOME DA PACIENTE: Eda Almeida Silva N 198999 
MÉDICO: Dr Cláudio Silva dos Reis IDADE: 24 anos 
DATA DA REALIZAÇÃO DO EXAME: 10/18/2010 
EXAME: COLPOCITOLÓGICO 
MATERIAL: CÉRVICO - VAGINAL 
RESULTADO 
 CÉLULAS DO EPITÉLIO ESCAMOSO: INTERMEDIÁRIAS e SUPERFICIAIS (F). 
 CÉLULAS DO EPITÉLIO COLUNAR: ENDOCERVICAIS REATIVAS (F). 
 ELEMENTOS SANGUINEOS: POLIMORFONUCLEARES e MACRÓFAGOS (F). 
 FLORA BACTERIANA NORMAL: BACILOS DE DODERLEIN (R). 
 OUTRAS CÉLULAS: METAPLÁSICAS IMATURAS REATIVAS (F). 
 PROVÁVEL AGENTE ETIOLÓGICO: Trichomonas vaginalis. 
 ALTERAÇÕES CELULARES: CÉLULAS BASAIS, PARABASAIS E METAPLÁSICAS 
IMATURAS COM VOLUME NUCLEAR AUMENTADO, HIPERCROMASIA INTENSA, 
CROMATINA GRANULAR IRREGULAR E PRESENÇA DE ZONAS LIVRES. 
 CONCLUSÃO: ALTERAÇÕES CELULARES, SUGESTIVO DE LESÃO INTRA-EPITELIAL 
DE ALTO GRAU (HSIL) – CARCINOMA IN SITU. 
 AVALIAÇÃO DA AMOSTRA: AMOSTRA SATISFATÓRIA PARA AVALIAÇÃO 
CITOLÓGICA. 
 
 
 
65 
 
 COLPOSCOPIA: Consiste na ampliação da vulva, vagina, colo uterino, anus, pênis, etc. 
 
 
 
 
 
 
 
 
 
 
 
 
 
 
Legenda: Colposcopias em pacientes com lesões no colo uterino do tipo HSIL (confirmadas pela citologia e 
histopatologia) - (SETA). 
 HISTOPATOLOGIA 
 
 
 
 
 
 
 
 
 
 
 
 
 
 
 
 
 
 
 
 
 
 
 
 
 
 
 MARCADORES TUMORAIS 
 
 
 
 
 
 
Legenda: Histopatologia em pacientes 
com lesão no colo uterino do tipo HSIL -
NIC III (SETA). 
Legenda: Histopatologia em pacientes 
com lesão no colo uterino do tipo HSIL - 
NIC III. 
 
 
66 
 
 IMUNOCITOQUÍMICA E IMUNOHISTOQUÍMICA: MMP - 3 (stromilisina); MMP - 8 
(colagenase), etc. 
 
 TRATAMENTO DAS LESÕES PRÉ - MALIGNAS 
A escolha do tratamento depende do: 
 GRAU DA LESÃO. 
 IDADE DA PACIENTE. 
 ASSOCIAÇÃO COM OUTRAS PATOLOGIAS. 
 TIPO DE TRATAMENTO: 
 CIRÚRGICO: retirada parcial ou total. 
 BIÓPSIA INCISIONAL: NIC I/NIC II (obtenção do material para investigação 
diagnóstica). 
 BIÓPSIA POR CONIZAÇÃO: esta indicada em lesões do tipo (NIC III e CARCINOMA 
IN SITU). 
 
 TRATAMENTO PARA CARCINOMA ESCAMOSO IN SITU (HSIL) 
 LOCAL OU RADICAL 
 EXPECTATIVA DE CURA: excelente. 
 
 
 
 
 
 
 
 
 
 
 
 
 
 
 
 
 
 
 
 
Fonte: Oncologia Ginecológica. C. Thomas Griffiths. 
Legenda: Tratamento cirúrgico (conização) de lesão no colo uterino do tipo HSIL – CARCINOMA IN SITU. 
 TERAPIA LOCAL (DESTRUIÇÃO FÍSICA) 
 Coagulação a frio. 
 Eletrocoagulação com alça diatérmica. 
 Crioterapia. 
 Terapia a laser: laser de dióxido de carbono e laser Nd-YAG. 
 ASPECTOS IMPORTANTES DO TRATAMENTO DAS LESÕES PRÉ-MALIGNAS 
 A possibilidade de regressão das lesões do tipo NIC I associadas ao HPV de baixa 
oncogenicidade, oscila entre 30 e 70%. Sendo assim, podem ser apenas acompanhadas. 
 
 
67 
 
 Nas NIC I associadas a HPV de média oncongenicidade, a regressão à normalidade gira 
em torno de 30%, sendo que mais ou menos 16,6% progredirão para NIC II e 1,4% para 
NIC III e Carcinoma In Situ. 
 A evolução de NIC II até Carcinoma In Situ é de aproximadamente 38 meses, sendo que 
apenas 11,3% evoluirão desta forma. 
 QUESTÕES PARA REVISÃO DO CONTEÚDO MINISTRADO 
1) A neoplasia intra-epitelial cervical (NIC) é o conjunto de alterações caracterizadas por 
atipias celulares dos epitélios do colo do útero. De acordo com o caráter evolutivo, 
classificam-se em três 
graus. Assinale a opção que apresenta o critério de caracterização do NIC II. 
a) Alterações limitadas ao terço do epitélio que se encontra mais próximo da camada basal. 
b) Alteração de cerca de 50% do epitélio. 
c) Todo o epitélio apresenta alteração, mas ainda sem desarranjo na estratificação das 
camadas das células. 
d) Alterações epiteliais detodo epitélio, com lesão não-invasiva da camada basal. 
e) Alteração lateral do epitélio, com preservação da camada basal. 
2) Os principais critérios citológicos que permitem o diagnóstico diferencial entre uma lesão 
intraepitelial escamosa de alto grau de um carcinoma epidermóide invasivo são: 
a) Presença de pleomorfismo mais acentuado nos carcinomas. 
b) Presença de mitoses nas células do carcinoma invasivo. 
c) Presença de paraceratose polimorfa e macronucléolos. 
d) Presença de nucléolo e diátese tumoral. 
e) Presença de hipercromasia mais acentuada nas lesões intraepiteliais escamosas. 
3) Mulher, 55 anos, doméstica, apresenta na citologia cérvico-vaginal, esfregaço com células 
escamosas agrupadas em lençóis ou agregados sinciciais. Núcleos das células das camadas 
intermediárias, parabasais e basais, aumentados de volume, hipercromáticos, nucléolos não 
visíveis e bordas irregulares. Citoplasma cianófilo e anfófilo e nítida desproporção núcleo-
citoplasmática. Assinalar o provável diagnóstico. 
a) Lesão escamosa de baixo grau. 
b) Lesão escamosa de alto grau. 
c) Carcinoma escamoso microinvasor. 
d) Carcinoma escamoso invasor. 
e) Carcinoma escamoso in situ. 
4) Mulher, 43 anos, branca, doméstica, realizou o teste de Papanicolaou, cujo esfregaço 
cérvico-vaginal apresentou alterações morfológicas em células epiteliais escamosas, 
superficiais e intermediárias, tais como: aumento nuclear (3 vezes a área de um núcleo de 
célula intermediária normal), bi e multinucleação, hipercromasia, moderada anisocariose e 
pleomorfismo. No citoplasma, vêem-se degradação citoplasmática irregular e volumosa. 
Assinalar o diagnóstico mais provável. 
a) Alterações celulares reativas. 
b) Alterações celulares reparativas. 
c) Atipias em células escamosas de alto grau. 
d) Atipias em células escamosas de baixo grau. 
e) Carcinoma escamoso in situ. 
 
68 
 
5) Quanto ás lesões pré - malignas e malignas. Pergunta - se? 
a) Classificação de Bethesda e Papanicolaou. 
b) Células envolvidas nos processos diferenciados. 
6) A citologia esfoliativa surgiu com o propósito de eliminar o câncer do colo uterino. 
Infelizmente em alguns paises não está conseguindo. Explique as causas destes insucessos 
e por que? 
7) Em relação as lesões celulares do trato genital feminino podem-se dizer que: 
I - As lesões pré-malignas consistem nas anomalias, essencialmente nucleares, se manifestam 
por um aumento de volume, irregularidade das formas e dos contornos, hipercromasia, 
binucleação e às vezes multinucleação. 
II - Os fatores predisponentes as lesões pré-malignas são: uso de anticoncepcional, idade 
precoce na primeira gestão, curtos intervalos entre as gestações, tabaco, HPV e ingestão de 
antiinflamatórios. 
III - O diagnóstico das lesões pré-malignas pode ser realizado através da: citologia esfoliativa, 
colposcopia e histopatologia; 
IV - A escolha do tipo de tratamento das lesões pré-malignas depende do: grau da lesão, 
idade da paciente e associação com outras patologias. 
V - A biópsia por conização está indicada na lesão NIC I. 
São verdadeiros os itens: 
a) I, II, III, IV e V. 
b) I, II, III e IV. 
c) II, III, IV e V. 
d) I, III e IV. 
e) I e III. 
8) Você é Secretário de Saúde do Município de Rondonópolis – MT. O Prefeito Municipal 
solicita a realização de um Projeto para diminuir a incidência de Câncer do Colo Uterino no 
Município. Baseado nesta solicitação elabore um Projeto com as seguintes ações: objetivo, 
público alvo, faixa etária, investimento em material e pessoal e período de duração do 
projeto. 
9) É uma alteração onde células em proliferação são vistas de forma anormal acima da 
camada basal e células superficiais ainda apresentam algum grau de diferenciação. 
a) Metaplasia escamosa. 
b) NIC I. 
c) Carcinoma in situ. 
d) Carcinoma invasivo. 
e) Processo inflamatório. 
10) Com relação as lesões pré – malignas do colo uterino: 
a) Relação com uso de anticoncepcional e idade; 
b) O retrocesso da lesão do tipo NIC I é obtido com a eliminação do agente etiológico, por 
outro lado no carcinoma in situ, apenas a eliminação do agente etiológico não é suficiente 
para desaparecer a lesão. ( ) certo ou ( ) errado? Justifique sua resposta. 
11) Resultado de exame de paciente de 40 anos de idade, que apresenta esfregaço 
predominantemente de células intermediárias sem atipias nucleares, porém contendo 
 
69 
 
numerosas células de tamanho grande com núcleos ovais e arredondados, cromatina 
grumosa e hipercromática, relação núcleo-citoplasma muito aumentada, com escasso 
citoplasma cianofílico, fundo límpido e flora lactobacilar é indicativo de: 
a) Lesão intra-epitelial cervical de alto grau. 
b) Lesão intra-epitelial cervical de baixo grau. 
c) Carcinoma epidermóide invasor ceratinizante. 
d) Alterações citopáticas relacionadas à infecção viral pelo herpes vírus. 
e) Processo inflamatório acentuado. 
 
8 - ESTUDO DAS LESÕES MALIGNAS DE CELULAS ESCAMOSAS 
 VULVA 
 VAGINA 
 CÉRVICE UTERINA 
 ÚTERO 
 OVÁRIOS 
Consiste nas anomalias celulares, se manifestam por um aumento de volume nuclear às 
vezes exagerado, intensa hipercromasia (tinta nanquim) ou com zonas livres de cromatina e 
alterações citoplasmáticas diversas. 
 ESTATÍSTICA DO CÂNCER NO BRASIL 2017 (INCA) 
 
 
 
 
 
 
 
 
 
 
 
 
 EPIDEMIOLOGIA DO CANCER DO COLO UTERINO 
 O câncer do colo uterino ainda é um dos mais frequentes nos países em desenvolvimento. 
 Nos países desenvolvidos, assim como nas grandes cidades brasileiras, o câncer de mama 
vem suplantando o do colo uterino, quando não se considera por faixa etária. 
 A incidência do câncer do colo uterino em países como EUA é 2/100.000 mulheres. 
 
 
70 
 
 No Brasil a incidência do câncer do colo uterino é a maior do mundo 19,18/100.000 
mulheres. Na Região Norte (a maior incidência do Brasil) 24/100.000 mulheres. 
 COLETA DE MATERIAL CÉRVICO - VAGINAL 
 JUNÇÃO ESCAMOCOLUNAR 
 MATERIAL UTILIZADO 
 Fixação. 
 Coloração. 
 Montagem. 
 Leitura. 
 Arquivamento da lâmina. 
 AGENTES CAUSAIS 
 Biológicos. 
 Físicos. 
 Químicos. 
 Intrínsecos (hormonais). 
 FATORES DE RISCOS PARA ESSA NEOPLASIA SÃO: 
 Início precoce da atividade sexual. 
 Múltiplos parceiros sexuais. 
 Parceiro sexual promíscuo. 
 Tabagismo. 
 Infecção pelo HPV. 
 CLASSIFICAÇÃO 
 Carcinoma micro invasivo. 
 Carcinoma invasivo. 
 MÉTODOS DIAGNÓSTICOS 
 CITOLOGIA ESFOLIATIVA 
 CRITÉRIOS CITOMORFOLÓGICOS DE LESÕES MALIGNAS 
 EM RELAÇÃO AO CITOPLASMA: 
 Coloração. 
 Forma. 
 Hialinização. 
 Vacuolização. 
 Ceratinização. 
 EM RELAÇÃO AO NÚCLEO: 
 Aumento da relação núcleo citoplasma. 
 Hipercromasia (núcleo em tinta nanquim). 
 Zonas livres de cromatina. 
 Espessamento irregular e acentuado da membrana nuclear. 
 Formações aberrantes ou bizarras da cromatina 
 Figura de mitose anormal. 
 Nucléolos grandes e ou aumentado numericamente. 
 
71 
 
 Irregularidade no contorno da membrana nuclear, multinucleação, 
amoldamento e anisocariose. 
 EM GERAL 
 Pleomorfismo celular. 
 Aumento do tamanho da célula. 
 Posição do núcleo e anisocitose. 
 Grupamento denso de células e núcleos desnudos. 
 Polimorfosnucleares e eritrócitos (abundantes). 
 Diátese tumoral. 
ALTERAÇÕES DA CROMATINA MAIS FREQUENTES EM LESÕES 
MALIGNAS 
 
 
 
 
 
 
 
 
 
 
 
 
 
 
 
 
 
 CARCINOMA ESCAMOSO MICRO INVASIVO 
 DEFINIÇÃO: quando infiltrou a membrana basal, histologicamente < de 6 mm. 
 DENOMINAÇÕES: lesão maligna. 
 ORIGEM: carcinoma in situ. 
 INCIDÊNCIA: 35 - 65 anos. 
 EVOLUÇÃO: moderada. 
 PROGNÓSTICO: evoluir para carcinoma invasivo. 
 DISTRIBUIÇÃO ANATÔMICA: JEC. 
 CRITÉRIOS CITOMORFOLÓGICOS 
 Algumas células em fibra e em fuso isoladas. 
 Presença de células do 3° tipo. 
 Zonas livres de cromatina. 
 Núcleo com amoldamento. 
 
Legenda: ANOMALIAS DA 
CROMATINA: 1) Granulosa finae 
regular; 2) Granulosa com blocos de 
cromatina; 3) Opaca (densa); 4) 
Nucléolo volumoso e 5) Hipercromática e 
irregular. 
 
72 
 
 Presença de pouca diátese tumoral. 
 Ceratinização geralmente presente. 
 Pérola córnea geralmente presente. 
 
 CARACTERÍSTICAS GERAIS CARCINOMA MICRO INVASIVO 
 NÚCLEO: volume aumentado e às vezes bi ou multinucleado, podendo apresentar 
pleomorfismo. 
 MEMBRANA NUCLEAR: geralmente oval, arredondada, raramente fusiforme, espessada e 
podendo formar amoldamento. 
 CROMATINA E NUCLÉOLO: hipercromática, grosseiramente granular, com agrupamento 
cromatínico e zona livre de cromatina. Nucléolo: às vezes presente (25%), forma irregular, 
cor rosa ou vermelho e tamanho irregular. 
 CITOPLASMA: eosinofílico ou cianofílico, espessado, formas variáveis tais como: fibra, fuso, 
e raramente girino. 
 TIPO CELULAR: basal, parabasal, intermediária e superficial. Arranjo: sozinha ou em 
sincício. 
 FUNDO DA LÂMINA: diátese tumoral presente. 
 CONSIDERAÇÕES GERAIS NA AVALIAÇÃO DO ESFREGAÇO CITOLÓGICO 
 FUNDO DA LÂMINA: um critério geral importante na avaliação do esfregaço citológico. 
 NÚMERO DE CÉLULAS ANORMAIS: células malignas se dissociam mais prontamente. 
 ARRANJO DAS CÉLULAS: importante na classificação da lesão celular. 
 TAMANHO E FORMA DAS CÉLULAS: a forma celular indica a origem e o estado 
funcional. 
 FUNÇÃO CELULAR: ciliadas e secretoras. 
 NÚCLEO: atividade biológica e potencial maligno. 
 
 
 
 
 
 
 
 
 
 
 
 
 
 
 
 
 
 
Legenda: CARCINOMA MICRO INVASIVO: células escamosas com volume nuclear aumentado, hipercromasia 
intensa, cromatina granular e irregular com zonas livres. Célula multinucleada e apresentando amoldamento 
nuclear. Fundo da lâmina apresentando restos de células necrosadas (diátese tumoral) - (SETA). 
 
 
73 
 
 
 
 
 
 
 
 
 
 
 
 
 
 
 
Legenda: CARCINOMA MICRO INVASIVO: células escamosas com volume nuclear aumentado, hipercromasia 
intensa, cromatina granular e grosseira com zonas livres. Células bi e multinucleadas e apresentando 
amoldamento nuclear (SETA). 
 CARCINOMA ESCAMOSO INVASIVO 
 DEFINIÇÃO: quando infiltrou a membrana basal, com possibilidade de formação de 
metástase. 
 GRADUAÇÃO: de acordo com o grau de diferenciação: 
 Grau I: diferenciado. 
 Grau II: moderadamente diferenciado. 
 Grau III: indiferenciado. 
 ORIGEM: neoplasias intra-epiteliais (NIC III). 
 INCIDÊNCIA: 35 – 65 anos. 
 EVOLUÇÃO: rápida. 
 INCIDÊNCIA: é o tumor do colo uterino mais frequente, correspondendo a até a 95% dos 
neoplasmas invasivos. 
 ASPECTOS CLÍNICOS 
 VISÍVEIS AO EXAME CLÍNICO 
 FORMA EXOFÍTICA: formação tumoral para fora do epitélio. 
 FORMA ENDOFÍLICA: formação tumoral para dentro do epitélio. 
 CRITÉRIOS CITOMORFOLÓGICOS 
 Células em fibra. 
 Células em fuso. 
 Células em girino. 
 Células amebóides. 
 Cromatina nuclear: tinta nanquim. 
 Diátese tumoral: bem evidente. 
 Pérola córnea: geralmente presente. 
 TIPOS DE CARCINOMA ESCAMOSO INVASIVO 
 CARCINOMA ESCAMOSO INVASIVO CERATINIZADO DIFERENCIADO 
 CARACTERÍSTICAS GERAIS: 
 Diátese tumoral: geralmente ausente. 
 
 
74 
 
 Pérola córnea: geralmente presente. 
 Cromatina nuclear: em tinta nanquim. 
 Formato das células: paraceratosa e ceratinizada. 
 Tamanho das células: grande. 
 Nucléolos: não são visíveis. 
 Multinucleação: pode acontecer, porém não muito frequente. 
 Relação núcleo citoplasma: muito aumentada. 
 
 CARACTERÍSTICAS GERAIS CARCINOMA INVASIVO 
 NÚCLEO: volume aumentado e na maioria mononuclear com pleomorfismo. 
 MEMBRANA NUCLEAR: oval, arredondada, frequentemente pleomorfa e espessamento 
nítido. 
 CROMATINA E NUCLÉOLO: hipercromática, grosseiramente granular, com agrupamento 
cromatínico e zona livre de cromatina. Frequentemente tinta nanquim. Nucléolo: geralmente 
não é visualizado. 
 CITOPLASMA: eosinofílico ou cianofílico, espessado, abundantes formas pleomorfas (fibra, 
fuso, girino, etc). 
 TIPO CELULAR: basal, parabasal, intermediária e superficial (quando diferenciado). 
Arranjos: sozinha ou em sincício. 
 FUNDO DA LÂMINA: diátese tumoral presente. Normalmente muitas células na lâmina. 
 
 TIPOS DE CÉLULAS ENCONTRADOS EM CARCINOMA ESCAMOSO INVASIVO 
a) CÉLULA DO 3º TIPO: 
 TIPO CELULAR: basais e parabasais em sincícios ou isoladas. 
 CITOPLASMA: espessado, eosinofílico (ceratinizado) ou cianofílico, arredondado às 
vezes levemente oval e com núcleo central. 
 NÚCLEO: membrana nuclear irregular do tipo serrilhada (enrugada), cromatina granular, 
uniformemente grosseira, hipercromática e zonas livres de cromatina. 
 
b) CÉLULA EM FIBRA (2º TIPO): 
 TIPO CELULAR: parabasais, intermedárias e superficiais. Isoladas ou em grupamentos. 
 CITOPLASMA: bordas bem delineadas com núcleo localizado em sua parte central. 
Geralmente eosinofilico, espessado, forma alongada, lembrando uma fibra muscular lisa 
ou fibroblasto. 
 NÚCLEO: hipercromasia acentuada (tinta nanquim), geralmente com zonas livres de 
cromatina, bordas bem delineadas, porém irregular e às vezes com forma alongada. 
Critério importante para diferenciar de outras células benignas, consiste na membrana 
nuclear se supõe a membrana citoplasmática em ambos os lados. 
 
c) CÉLULA EM GIRINO, RAQUETE OU SERPENTE (1º TIPO): 
 TIPO CELULAR: parabasais, intermedárias e superficiais. Geralmente isoladas. 
 CITOPLASMA: espessado, eosinofílico ou cianofílico, prolongamentos laterais com o 
pseudópodes especialmente ao longo da cauda de formação. 
 NÚCLEO: bi ou multinucleação é muito comum. Núcleos grandes, hipercromasia 
acentuada (tinta nanquim), zonas livres de cromatina nem sempre estão presentes. 
Pleomorfismo nuclear é frequente. 
 
75 
 
 
 
 
 
 
 
 
 
 
 
 
 
 
 
Legenda: CARCINOMA INVASIVO CERATINIZADO. Células escamosas com volume nuclear aumentado, 
hipercromasia intensa (tinta nanquim), cromatina granular e grosseira com zonas livres. Células bi e multinucleadas 
com amoldamento nuclear. Células do tipo: em fibra, em girino, em fuso e do 3º tipo (SETA). 
 
 
 
 
 
 
 
 
 
 
 
 
 
 
 
 
 
 
 
 
 
 
 
 
 
 
 
 
 
Legenda: CARCINOMA INVASIVO CERATINIZADO E NÃO CERATINIZADO: células escamosas com volume 
nuclear aumentado, hipercromasia intensa (tinta nanquim), cromatina granular e grosseira com zonas livres. Células 
bi e multinucleadas e apresentando amoldamento nuclear. Células do tipo: em fibra, em girino, em fuso e do 3º tipo 
(SETA). 
 
 
 
 
76 
 
 CARCINOMA ESCAMOSO INVASIVO MODERADAMENTE DIFERENCIADO 
 CARACTERÍSTICAS GERAIS: 
 Tipo de descamação: agrupada, não muito definida. 
 Diátese tumoral: presente. 
 Cromatina nuclear: irregular, grosseira com zonas livres bem definidas. 
 Origem: processos metaplásicos. 
 Tamanho das células: variável. 
 Relação núcleo citoplasma: aumentada. 
 Citoplasma: mais ou menos evidente. 
 
 
 
 
 
 
 
 
 
 
 
 
 
 
 
 
 
 
 
 
 
 
 
 
 
 
 
 
 
 
 
 
 
Legenda: CARCINOMA INVASIVO MODERADAMENTE DIFERENCIADO: células escamosas com volume 
nuclear aumentado, hipercromasia intensa (tinta nanquim), cromatina granular e grosseira com zonas livres. 
Células mono e binucleadas e apresentando amoldamento nuclear, citoplasma mais ou menos evidente. Fundo da 
lâmina apresentando restos de células necrosadas (diátese tumoral) - (SETA). 
 CARCINOMA ESCAMOSO INVASIVO INDIFERENCIADO 
 CARACTERÍSTICAS GERAIS: 
 Tipo de descamação: em sincícios. 
 Diátese tumoral: presente. 
 
 
77 
 
 Cromatina nuclear: irregular, grosseira com zonas livres bem definidas. 
 Formato das células: mais arredondadas. 
 Tamanho das células: variável. 
 Nucléolos: são frequentemente visíveis. 
 Multinucleação: muito comum. 
 Relação núcleo citoplasma: muito aumentada. 
 Citoplasma: delicado e escasso. 
 
 
 
 
 
 
 
 
 
 
 
 
 
 
 
Legenda: CARCINOMAINVASIVO INDIFERENCIADO: células escamosas com volume nuclear aumentado, 
hipercromasia intensa cromatina granular e grosseira com zonas livres. Células mono e multinucleadas e 
apresentando amoldamento nuclear, citoplasma delicado e escasso e com presença de diátese tumoral (SETA). 
 
 
 
 
 
PROPHYLAX DIAGNÓSTICO 
MATRIZ: AV. CONSELHEIRO FURTADO, 1891 - NAZARÉ - BELÉM - PARÁ 
FONES: (91) 3223 - 8106 - 3223 - 3286 
NOME DA PACIENTE: Edna da Silva N 20000 
MÉDICO: Dr Cláudio Silva dos Reis IDADE: 47 anos 
DATA DA REALIZAÇÃO DO EXAME: 19/05/2011 
EXAME: COLPOCITOLÓGICO 
MATERIAL: CÉRVICO - VAGINAL 
RESULTADO 
 CÉLULAS DO EPITÉLIO ESCAMOSO: PARABASAIS, INTERMEDIÁRIAS e SUPERFICIAIS (F). 
 CÉLULAS DO EPITÉLIO COLUNAR: ENDOCERVICAIS REATIVAS (F). 
 ELEMENTOS SANGUINEOS: POLIMORFONUCLEARES e MACRÓFAGOS (AB). 
 FLORA BACTERIANA NORMAL: BACILOS DE DODERLEIN (R). 
 OUTRAS CÉLULAS: METAPLÁSICAS IMATURAS (F). 
 ALTERAÇÕES CELULARES: CÉLULAS ESCAMOSAS COM VOLUME NUCLEAR AUMENTADO, 
HIPERCROMASIA INTENSA, MEMBRANA NUCLEAR IRREGULAR, CROMATINA GRANULAR 
IRREGULAR E GROSSEIRA, AGRUPAMENTO CROMATÍNICO C/ ZONAS LIVRES. PRESENÇA 
DECÉLULAS COM ALTERAÇÕES CITOPLASMÁTICAS DOS TIPOS EM FIBRA E GIRINO. 
 CONCLUSÃO: ALTERAÇÕES CELULARES, SUGESTIVO DE CARCINOMA INVASIVO 
DIFERENCIADO CERATINIZADO. 
 AVALIAÇÃO DA AMOSTRA: AMOSTRA SATISFATÓRIA PARA AVALIAÇÃO CITOLÓGICA. 
 
 
 
78 
 
 COLPOSCOPIA: 
 Consiste na amplificação da vulva, vagina, colo uterino, anus, pênis, etc. As lesões 
malignas do colo uterino na maioria das vezes é visível macroscopicamente. 
 HISTOPATOLOGIA 
 
 
 
 
 
 
 
 
 
 
 
 
 
 
 
Legenda: A) Biopsia do colo uterino com lesão macroscópica de malignidade e B) Histopatológico de CARCINOMA 
ESCAMOSO. 
 MARCADORES TUMORAIS 
 IMUNOCITOQUÍMICA E IMUNOHISTOQUÍMICA: MMP - 3 (stromilisina); MMP - 8 
(colagenase), etc. 
 TRATAMENTO DAS LESÕES MALIGNAS 
 TIPO DE TRATAMENTO: 
 CIRÚRGICO: retirada parcial ou total (histerectomia). 
 
 
 
 
 
 
 
 
 
 
 
 
 
 
 
 
Legenda: A) Cirurgia radical e reparadora e B) Histerectomia em CARCINOMA ESCAMOSO INVASIVO. 
 
A B 
 
A B 
 
79 
 
 RADIOTERAPIA: pode ser utilizado isoladamente ou associado à outra metodologia de 
tratamento como: cirurgia. 
 QUESTÕES PARA REVISÃO DO CONTEÚDO MINISTRADO 
1) Houve melhora da expectativa de vida das mulheres e, desta forma, o aumento da 
incidência do câncer do corpo uterino, com o seu pico estimado por volta dos 50 anos de 
idade. Em relação ao tema, é CORRETO afirmar que: 
a) O tipo mais comum de câncer do corpo uterino é o sarcoma, por degeneração de mioma. 
b) Houve piora da sobrevida, relacionada à impossibilidade do diagnóstico precoce. 
c) O câncer do corpo uterino é o menos frequente entre os tumores malignos do sistema 
reprodutor feminino. 
d) O diagnóstico do câncer do corpo uterino é confirmado pela ultrassonografia transvaginal, 
pela tomografia pélvica e pela colpocitologia oncótica. 
e) A obesidade, a menopausa tardia e a terapia de reposição hormonal estão entre os 
principais fatores de risco para o câncer do corpo uterino. 
2) Com relação ao câncer cérvico uterino, é CORRETO afirmar que: 
a) A atividade física regular, bons hábitos alimentares, multiparidade são considerados 
fatores protetores na saúde da mulher. 
b) A presença de neoplasia intra-cervical grau I indica persistência da lesão e desordenação 
celular de intensidade moderada a grave. 
c) A presença de neoplasia intra-cervical grau II indica desarranjo completo das estruturas 
celulares caracterizando o caráter invasor tecidual do carcinoma uterino 
d) O uso de contraceptivo oral, tabagismo são fatores de risco de grande magnitude que 
determinam o aparecimento da doença. 
e) A infecção pelo vírus do papiloma humano, multiplicidade de parceiros sexuais, baixa 
ingestão de vitamina A e C são fatores de risco para o desenvolvimento da doença. 
3) Assinale a afirmativa que expressa melhor os critérios citológicos de malignidade. 
a) Cariomegalia, metacromasia forma aberrante da célula. 
b) Hipercromasia, pseudoeosinofilia, forma aberrante da célula. 
c) Metacromasia, cariomegalia, formas bizarras de células. 
d) Cromatina grosseira, espaços vazios nos núcleos e presença de nucléolos. 
e) Hipercromasia, vacuolização do citoplasma e metacromasia. 
4) A respeito dos fatores de risco para câncer cervical, considere: 
I - Risco aumentado em pacientes infectados pelo HIV. 
II - Risco está diminuído em pacientes que usam contraceptivos orais. 
III - Risco diminuído em pacientes que utilizam os programas de prevenção. 
Está CORRETO o que se afirma apenas em: 
a) I. 
b) II. 
c) III. 
d) I e III. 
e) II e III. 
5) Ao fazer o estadiamento do tumor, concluiu-se o seguinte: existência de foco secundário 
do tumor na bexiga. pergunta - se? 
 
80 
 
a) Qual a possibilidade de cura desta paciente e por quê? 
b) Quais as características do esfregaço citológico do material cérvico vaginal? 
6) Explique a sequência de exames utilizados para o diagnóstico e tratamento do câncer 
cervical. 
7) É característica incontestável de tumores malignos. 
a) Capacidade de desenvolver vasos sanguíneos para trazer nutrientes e oxigênio 
necessários para o tumor. 
b) Ter aumento descontrolado na frequência das divisões celulares. 
c) Possuir célula tumoral com capacidade de atravessar a lâmina basal. 
d) Apresentar células tumorais com variedade anormal no tamanho, na forma do núcleo e no 
número de estruturas cromossomais. 
e) Alterações na diferenciação e divisão celular. 
8) Com relação ao câncer do colo uterino no Brasil, podemos desenvolver os seguintes 
temas. 
a) Relação com a idade: 
b) Fatores de riscos: 
c) Fatores individuais: 
d) Hereditariedade: 
9) I.D.B., 54 anos de idade, residindo em Altamira - PA, fez um PCCU, onde teve como 
resultado carcinoma invasivo diferenciado ceratinizado. Pergunta - se: 
a) Quais as etapas de diagnóstico e tratamento desta lesão? 
b) Explique o mecanismo que leve esta lesão a formação de metástase. 
c) O câncer no colo uterino, segundo alguns conceitos dos anos 80 é uma lesão de mulheres 
idosas. Como você explica o fato que nos dias atuais observamos óbitos em mulheres na 
faixa etária de 30 – 40 anos de idade? 
10) Um mecanismo que pode ser útil para diferenciar lesão intra-epitelial de alto grau 
queratinizante do carcinoma queratinizante invasivo é: 
a) Diátese tumoral, aumento do pleomorfismo celular no carcinoma. 
b) Nucléolo na lesão intra-epitelial de alto grau. 
c) Aumento da atividade mitótica na lesão intra-epitelial de alto grau. 
d) Presença da formação de pérolas no carcinoma. 
e) Cromatina irregular com espaços claros na lesão intra-epitelial de alto grau. 
9 - ESTUDO DAS LESÕES MALIGNAS DE CELULAS 
ENDOCERVICAIS 
 COLETA DE MATERIAL CÉRVICO - VAGINAL 
 JUNÇÃO ESCAMOCOLUNAR 
 MATERIAL UTILIZADO 
 Fixação. 
 Coloração. 
 Montagem. 
 Leitura. 
 Arquivamento da lâmina. 
 
81 
 
 AGENTES CAUSAIS 
 Biológicos. 
 Físicos. 
 Químicos. 
 Intrínsecos (hormonais). 
 MECANISMOS DAS LESÕES MALIGNAS 
 EPITÉLIO CILÍNDRICO ENDOCERVICAL (GLANDULAR) 
 FUNÇÃO: revestimento, proteção e lubrificação. 
 CONSTITUIÇÃO CITOLÓGICA: células ciliadas e secretoras. 
 
 
 
 
 
 
 
 
 
 
 
 
 
 
 
 
Legenda: Grupos de células endocervicais secretoras normais. 
 MÉTODOS DIAGNÓSTICOS 
 CITOLOGIA ESFOLIATIVA 
 PRINCIPAIS CRITÉRIOS CITOMORFOLÓGICOS DE LESÃO ENDOCERVICAL 
 Hipercromasia. 
 Aumento nuclear. 
 Alteração da forma nuclear. 
 Perda da disposição celular. 
 Cromatina granular levemente grosseira a acentuada. 
 Macronucléolos arredondo e central. 
 OBS: Diversas alterações celulares podem confundir, tais como: metaplasia atípica, 
cervicite crônica,agudas e fenômeno de reparação. 
 
a) CARACTERÍSTICAS DAS CÉLULAS DE REPARO 
 NÚCLEO: volume levemente aumentado, mononuclear, leve anisocariose, ocasionalmente 
pode observar figura de mitose. 
 MEMBRANA NUCLEAR: oval ou arredondada e sem espessamento. 
 CROMATINA E NUCLÉOLO: granular fina, uniformemente regular, com cromocentros 
ocasionais e sem hipercromasia. Nucléolo: macronucléolo proeminente, único, lateral, forma 
irregular ou em galho e nunca com halo perinucleolar. 
 CITOPLASMA: a maioria é cianófilo. 
 
 
82 
 
 TIPO CELULAR: reserva (escamosas ou colunares) em grupamentos tipo lençois 
numerosos. 
 FUNDO DA LÂMINA: limpo com poucas células. 
 TIPOS DE ADENOCARCINOMAS 
 ADENOCARCINOMA IN SITU 
 CRITÉRIO CITOMORFOLÓGICOS: 
 Abundância de células e em aglomerados. 
 Perda da disposição celular normal (plumagem). 
 Hipercromasia moderada / acentuada. 
 Aumento do núcleo. 
 Forma nuclear redonda ou oval. 
 Cromatina granular grosseiramente irregular (pontilhado) com agrupamento 
cromatínico e zonas livres. 
 Macronucléolos geralmente não estão visíveis. 
 
 CARACTERÍSTICAS DO ADENOCARCINOMA IN SITU (HSIL) 
 NÚCLEO: volume aumentado, anisocariose, localização excêntrica, figuras de mitoses 
atípicas e sobreposição frequente. 
 MEMBRANA NUCLEAR: redonda ou oval, às vezes lobulada, raramente alongada e 
espessada. 
 CROMATINA E NUCLÉOLO: granular grosseiramente irregular com agrupamento 
cromatínico, zonas livres de cromatina e hipercromática. Nucléolo: geralmente ausente. 
 CITOPLASMA: geralmente cianófilo e às vezes com vacuolização. 
 TIPO CELULAR: reserva. Agrupadas ou isoladas, com perda da disposição celular 
normal e geralmente em formação de plumagem. 
 FUNDO DA LÂMINA: limpo com muitas células. 
 
 
 
 
 
 
 
 
 
 
 
 
 
 
 
 
 
 
 
 
83 
 
 
 
 
 
 
 
 
 
 
 
 
 
 
 
 
 
 
 
 
 
 
 
 
 
 
 
 
 
 
 
Legenda: A e B) Adenocarcinoma Endocervical In Situ com formação das células em plumagen; C e D) 
Adenocarcinoma Endocervical In Situ com formação das células em roseta. CRITÉRIOS CITOMORFOLÓGICOS: 
perda da disposição celular normal (plumagem) e cromatina granular grosseiramente irregular (pontilhado) com 
agrupamento cromatínico e zonas livres (SETA). 
 ADENOCARCINOMA MICRO INVASIVO 
 CRITÉRIO CITOMORFOLÓGICOS: 
 Abundância de células e em aglomerados. 
 Perda da disposição celular normal e polaridade. 
 Hipercromasia leve / moderada. 
 Aumento do núcleo. 
 Forma nuclear redonda ou oval com espessamento. 
 Cromatina granular moderadamente irregular com agrupamento cromatínico e 
zonas livres. 
 Macronucléolos arredondados e centrais são frequentes e as vezes com halo 
perinucleolar. 
 Diátese tumoral pode estar presente. 
 Amoldamento nuclear frequente. 
 
 
 
 
C D 
A B 
 
84 
 
 
 
 
 
 
 
 
 
 
 
 
 
 
 
 
 
 
 
 
Legenda: ADENOCARCINOMA ENDOCERVICAL MICRO INVASIVO. CRITÉRIOS CITOMORFOLÓGICOS: 
abundância de células e em aglomerados; hipercromasia leve / moderada; macronucléolos arredondados e centrais 
e às vezes com halo perinucleolar e amoldamento nuclear (SETA). 
 ADENOCARCINOMA INVASIVO 
 CRITÉRIO CITOMORFOLÓGICOS: 
 Abundância de células e em aglomerados. 
 Perda da disposição celular normal e polaridade. 
 Hipercromasia leve / moderada. 
 Aumento do núcleo e anisocariose aumentada. 
 Forma nuclear redonda ou oval c/ espessamento. 
 Cromatina granular grosseira e irregular com agrupamento cromatínico e zonas 
livres. 
 Macronucléolos centrais redondo estão presentes, podendo ser avermelhado e com 
halo perinucleolar. 
 Diátese tumoral presente. 
 Secreção de mucina (anel de sinete). 
 CARACTERÍSTICAS DO ADENOCARCINOMA INVASIVO DE CÉLULAS 
ENDOCERVICAIS 
 NÚCLEO: volume moderadamente aumentado, anisocariose, sobreposição e 
geralmente mononucleado. 
 MEMBRANA NUCLEAR: arredondada, oval, afilada ou deformada pelo vacúolo 
citoplasmático e espessamento acentuado. 
 CROMATINA E NUCLÉOLO: granular e moderadamente irregular com feixes 
cromatínicos. Nucléolo: presente na maioria das células, sendo macronucléolo, central, 
redondo, cor avermelhada e às vezes com halo perinucleolar. 
 CITOPLASMA: cianófilo, granulado, vacuolizado, quando com mucina leva o nome de 
anel de sinete. 
 TIPO CELULAR: reserva. Agrupadas ou isoladas, com perda da disposição celular 
normal e polaridade. 
 
 
85 
 
 FUNDO DA LÂMINA: diátese tumoral e muitas células. 
 
 
 
 
 
 
 
 
 
 
 
 
 
 
 
 
 
 
 
 
 
 
 
 
 
 
 
 
 
 
 
 
 
 
 
 
 
Legenda: ADENOCARCINOMA INVASIVO ENDOCERVICAL. A) Macronucéolos redondos, avermelhado com 
halo perinucleolar; B) Macronucéolos redondos, diátese tumoral, cromatina granular grosseiramente irregular 
(pontilhado) com agrupamento cromatínico e zonas livres; C) Macronucéolos redondos, cromatina granular 
grosseiramente irregular (pontilhado) com agrupamento cromatínico e zonas livres e D) Anel de sinete e diátese 
tumoral (SETA). 
10 - ESTUDO DAS LESÕES MALIGNAS DE CELULAS 
ENDOMETRIAIS 
 COLETA DE MATERIAL 
 CONSIDERAÇÕES IMPORTANTES DA COLETA 
 Esfregaço cervical pouco sensível. 
 Coleta de fundo de saco vaginal posterior: mais sensível que esfregaço cervical, 
porém células má conservada, dificulta sua identificação. 
 Aspirado endometrial é a coleta ideal. 
 MATERIAL UTILIZADO: seringa adaptada para aspiração ou instrumento próprio. 
 Fixação. 
 
 
A B 
C D 
 
86 
 
 Coloração. 
 Montagem. 
 Leitura. 
 Arquivamento da lâmina. 
 EPITÉLIO DE REVESTIMENTO DO ÚTERO 
 EPITÉLIO CILINDRÍCO ENDOMETRIAL (GLANDULAR) 
 Função: proteção, secreção e nutrição. 
 Constituição citológica: dois tipos celulares (ciliada e secretora). 
 CÉLULAS ENDOMETRIAIS CILIADAS 
 CITOPLASMA: cora ciano ou eosinofilamente e ocasionalmente vacuolizado. Placa 
terminal e cílios são frequentemente observados. 
 NÚCLEO: forma redonda ou oval e usualmente de localização basal. Padrão de 
cromatina fina, uniformemente granular e com vários cromocentros. 
 CÉLULAS ENDOMETRIAIS SECRETORAS (MUCIPARAS) 
 CITOPLASMA: cora em cianófilofinamente vacuolizado e sem margens celulares 
nítidas. 
 NÚCLEO: redondo ou oval, localização basal. Padrão de cromatina regularmente 
distribuída, finamente granular e podendo mostrar cromocentros. 
 OBS: normalmente células endometriais são observadas no esfregaço citológico somente 
até o 10º - 12º dia do ciclo menstrual. 
 PATOLOGIAS UTERINA MAIS FREQUENTES 
 Inflamação: exsudato purulento (Herpes, Citomegavírus, etc). 
 Tuberculose. 
 Anormalidades citológicas provocadas pelos dispositivos intra – uterinos (fibrose, 
edema, hipervascularização, etc). 
 Reparação do endométrio após biópsia, curetagem ou qualquer traumatismo. 
 Hiperplasia: causa hormonal. 
 Endometriose. 
 Anormalias citológicas durante o uso de hormônios esteróides. 
 TUMORES MALIGNOS DO ENDOMÉTRIO 
 Sarcomas (leiomiosarcoma). 
 Adenocarcinoma: geralmente a partir de 50 anos. 
 CRITÉRIO CITOMORFOLÓGICOS 
 Número de células abundantes. 
 Núcleo com aumento moderado de volume. 
 Núcleo hipercromático. 
 
87 
 
 Nucléolos bem proeminentes. 
 Elementos sanguíneos abundantes. 
 
 
 
 
 
 
 
 
 
 
 
 
 
 
 
 
 
 
 
 
 
 
 
 
 
 
 
 
 
 
 
 
 
 
 
 
 
 
 
 
 
 
 
 
 
 
 
 
 
 
Legenda: ADENOCARCINOMA ENDOMETRIAL: macronucéolos redondos proeminentes, grupamentos de 
células, diátese tumoral, cromatina granular grosseiramente irregular (pontilhado) com agrupamento 
cromatínico e zonas livres (SETA). 
 
 
 
88 
 
 
 
 
 
 
 
 
 
 
 
 
 
 
 
 
 
 
 
 
 
 
 
 
 
 
 
 
 
 
 
 
 
 
 
 
 
 
 
 
 
 
 
 
 
 
 
Legenda: ADENOCARCINOMA ENDOMETRIAL: macronucéolos redondos proeminentes (vermelho), 
grupamentos de células, diátese tumoral, cromatina granular grosseiramente irregular (pontilhado) com 
agrupamento cromatínico e zonas livres(SETA). 
 
 QUESTÕES PARA REVISÃO DO CONTEÚDO MINISTRADO 
1) Marque a alternativa INCORRETA sobre as formas de aparecimento das células malignas: 
a) Células do Adenocarcinoma podem aparecer com citoplasma espesso formando estrutura 
fibrilar perinuclear. 
b) A tipificação do Câncer é difícil entre as células do Carcinoma Epidermóide não- 
queratinizante, células grandes do Carcinoma Indiferenciado e células do Adenocarcinoma 
Indiferenciado. 
 
 
 
 
89 
 
c) Células do Carcinoma Indiferenciado de células pequenas, do tipo linfocítica, diferenciam-
se dos linfócitos pela anisonucleose, amoldamento e distribuição cromatínica irregular. 
d) Forma papilomatosa irregular é observada na maioria dos Adenocarcinomas. 
e) Características das células do Sarcoma são: núcleos com invaginação, multinucleação, 
cerebriforme e nucléolos gigantes, irregulares e múltiplos. 
2) Num esfregaço vaginal de uma mulher de 60 anos observamos maturação de células 
escamosas, sangue e macrófagos. Este conjunto de achados impõem que se investigue a 
possibilidade de: 
a) Adenocarcinoma de endométrio 
b) Carcinoma invasivo de colo 
c) NIC 3 
d) Adenocarcinoma endocervical 
e) Carcinoma metastático extra-genital 
3) Esfregaço cérvico-vaginal mostra grupamentos de células grandes, com citoplasma 
vacuolizado, núcleos volumosos com nucléolos proeminentes, encontrados em meio a 
células escamosas normais, fundo hemorragico. Este quadro sugere: 
a) Adenocarcinoma invasor endocervical. 
b) Carcinoma in situ. 
c) Adenocarcinoma endocervical in situ. 
d) Adenocarcinoma endometrial. 
e) Carcinoma invasor. 
3) A.J.S., 55 anos de idade, residindo em Castanhal - PA, fez um PCCU, onde teve como 
resultado adenocarcinoma invasivo. Pergunta – se: 
a) Quais as etapas de diagnóstico e tratamento desta lesão? 
b) Explique o mecanismo que leve esta lesão a formação de metástase. 
LITERATURA CONSULTADA E MATERIAL BIBLIOGRÁFICO 
UTILIZADO 
1) BRUCE, Alberts et al. Biologia molecular da célula. 5. ed. Porto Alegre: Artes Médicas, 2013. 
2) CARVALHO, Hernandes F.; RECCO-PIMENTEL, Shirlei M. A célula. São Paulo: Manole, 
2001. 
3) CARNEIRO, José; JUNQUEIRA, L. C. Biologia celular e molecular. 7. ed. Rio de Janeiro: 
Guanabara, 2010. 
4) GARTNER, Leslie. P.; HIATT, James L. Tratado de Histologia. Rio de Janeiro: Guanabara, 
2010. 
5) BARRASSO, Renzo - Infecção por Papilomavírus humano. Porto Alegre: Artmed; 1997. 
6) FLECK, James - Câncer integração clínica – biológica. Rio de Janeiro: Medsi; 1991. 
7) GRIMALDO, Carvalho - Citologia do trato genital feminino. Rio de Janeiro: Atheneu; 1994. 
8) HUNSAIN, O. A. - Atlas colorido de citologia ginecológica. São Paulo: Artes Médicas; 92. 
9) JACYNTO, Claúdia – HPV - infecção genital feminino e masculino. Rio de Janeiro: Revinter; 
 1994. 
10) KOSS, Leopoldo G. - Citologia ginecológica. 1. ed. São Paulo: Editora Manole; 1997. 
11) ROBBINS, K. Contran - Patologia estrutural e funcional. 5. ed. Rio de Janeiro: Guanabara 
 Koogan; 1996. 
12) SCHNEIDER, Marie Luise - Citologia ginecológica. Rio de Janeiro: Revinter; 1998. 
 
90 
 
13) TAKAHASHI, Masayoshi - Atlas colorido de citologia do câncer. 2. ed. São Paulo: Editora 
 Manole; 1982. 
14) GRIFFITHS, Thomas – Oncologia Ginecológica. 3. ed. São Paulo: Editora Artes Médica; 
 2010. 
15) McKEE, Grace – Citopatologia. 2. ed. São Paulo: Editora Artes Médica; 2009.

Mais conteúdos dessa disciplina