Logo Passei Direto
Buscar
Material
páginas com resultados encontrados.
páginas com resultados encontrados.
left-side-bubbles-backgroundright-side-bubbles-background

Crie sua conta grátis para liberar esse material. 🤩

Já tem uma conta?

Ao continuar, você aceita os Termos de Uso e Política de Privacidade

left-side-bubbles-backgroundright-side-bubbles-background

Crie sua conta grátis para liberar esse material. 🤩

Já tem uma conta?

Ao continuar, você aceita os Termos de Uso e Política de Privacidade

left-side-bubbles-backgroundright-side-bubbles-background

Crie sua conta grátis para liberar esse material. 🤩

Já tem uma conta?

Ao continuar, você aceita os Termos de Uso e Política de Privacidade

Prévia do material em texto

(
Cirurgias abertas
.
 
)Exodontia
Resumo exodontia – Vanessa Wünsch
· 
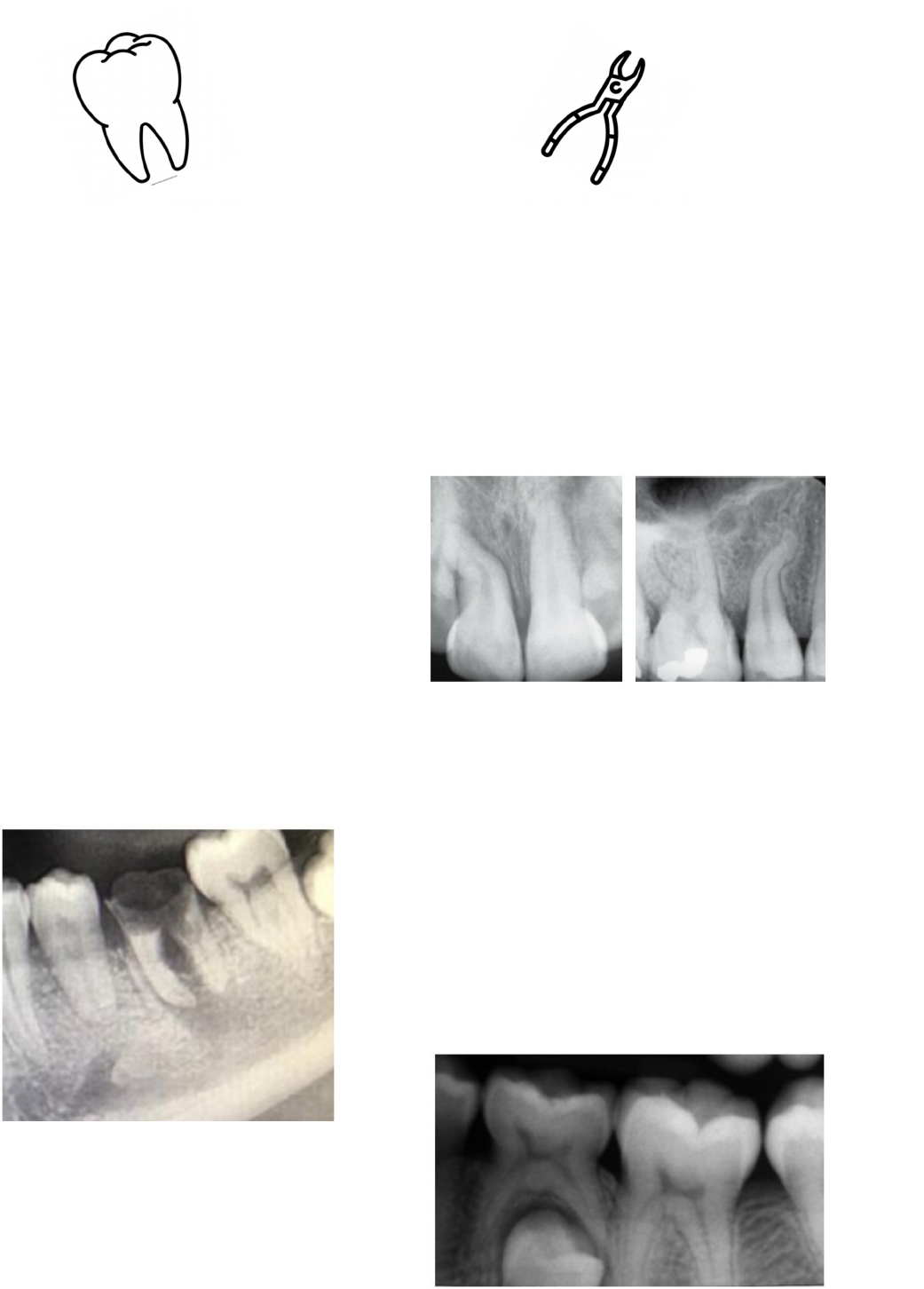
· Dentes com destruições coronárias, dilacerações apicais e anquiloses
Dentes com amplas destruições coronárias, dilacerações apicais e anquiloses poderão ter abordagens muito parecidas. Estes dentes são grandes candidatos à extração aberta..
↳ Destruições coronárias:
Embora o dente seja abraçado pelo fórceps principalmente pela raiz, uma parte da força é aplicada à coroa. Tais pressões podem produzir fratura da coroa dos dentes que possuem cárie extensa ou grandes restaurações. Ao contrário do que pode parecer, a extração aberta, que não é um procedimento necessariamente difícil, poderá evitar a necessidade de força excessiva e resultar em uma extração mais fácil e mais rápida.
Primeiro molar com ampla destruição coronária por cárie.
↳ Dilacerações apicais: 
Dentes com grandes dilacerações apicais ou com raízes amplamente divergentes (em especial as raízes do 1º MS) podem se tornar difíceis de serem removidas caso o profissional não opte por uma extração aberta, pois poderá ter o risco de fratura de uma ou mais raízes. Ao optarmos pela realização de um retalho mucoperiostal seguindo da divisão das raízes com uma broca, a extração fica mais controlada, planejada e com menores riscos.
Dentes com dilacerações apicais.
↳ Dentes anquilosados:
A anquilose é encontrada com frequência em molares decíduos que ficaram retidos e encontram-se em infraoclusão. Além disso, é também encontrada, ocasionalmente, em dentes não-vitais que passaram por tratamento endodôntico vários anos antes da extração. Radiograficamente podemos observar a ausência do ligamento periodontal em sua totalidade ou apenas em parte da porção radicular dentária. Se o clínico desconfiar de que o dente esteja anquilosado, é melhor planejar sua remoção cirúrgica com abertura de retalho, realização de osteotomia e, em alguns casos, odontossecção.
2º molar decíduos anquilosado
TÉCNICA OPERATÓRIA:
· Dentes monorradiculares
No caso de extrações abertas em dentes monorradiculares, pode-se realizar a seguinte abordagem:
1. Retalho envelope e descolamento mucoperiostal
Pode ser que nesta etapa, apenas com a exposição do dente subgengival, já seja possível introduzir a alavanca e realizar o movimento de luxação.
2. Ostectomia
Liberação da porção cervical até permitir a exposição dentária necessária para que a alavanca possa ser inserida.
3. Odontossecção
Em alguns casos, especialmente em graves dilacerações ou anquiloses importantes, deveremos realizar odontossecção. Esta poderá ser realizada no sentido longitudinal do dente, permitindo a divisão do mesmo em duas porções: mesial e distal.
· Dentes polirradiculares:
No caso de extrações abertas em dentes polirradiculares, pode-se realizar a seguinte planejamento:
1. Retalho envelope e descolamento mucoperiostal
Pode ser que nesta etapa, apenas com a exposição do dente subgengival, já seja possível introduzir a alavanca e realizar o movimento de luxação.
Ainda, em dentes polirradiculares, especialmente se a visualização estiver muito prejudicada, podemos lançar mão do retalho em L aberto.
2. Ostectomia
Liberação da porção cervical até permitir a exposição dentária necessária para que a alavanca possa ser inserida.
3. Odontossecção
Divisão das raízes para que seja possível extraí-las de maneira individual.
A divisão deverá seguir de acordo com o número das raízes:
→ Pré-molares superiores com 2 raízes: Divisão longitudinal no sentido mesiodistal.
→ Pré-molares inferiores com 2 raízes: divisão longitudinal no sentido mesiodistal.
→ Molares superiores: apresentam 3 raízes. Realizar divisão em forma de T ou Y.
→ Molares inferiores: apresentam 2 raízes. Realizar divisão longitudinal no sentido vestíbulo-lingual.
Odontossecção longitudinal no sentido mesiodistal de prémolares.
Odontossecção em T para molares superiores
.
Odontossecção em longitudinal no sentido vestíbulo-lingual
para molares inferiores.

Mais conteúdos dessa disciplina